JavaScript is disabled in your browser. Please enable JavaScript to view this website.
AB316964

Anti-Collybistin antibody [EPR28024-32] - BSA and Azide free

Be the first to review this product! Submit a review

|

(0 Publication)

Rabbit Recombinant Monoclonal ARHGEF9 antibody. Carrier free. Suitable for WB, IP and reacts with Recombinant fragment - Human, Human, Mouse, Rat samples.

View Alternative Names

ARHDH9, KIAA0424, ARHGEF9, Rho guanine nucleotide exchange factor 9, Collybistin, PEM-2 homolog, Rac/Cdc42 guanine nucleotide exchange factor 9

5 Images
Immunoprecipitation - Anti-Collybistin antibody [EPR28024-32] - BSA and Azide free (AB316964)
  • IP

Supplier Data

Immunoprecipitation - Anti-Collybistin antibody [EPR28024-32] - BSA and Azide free (AB316964)

This data was developed using ab316963, the same antibody clone in a different buffer formulation.

Collybistin was immunoprecipitated from 0.35 mg SH-SY5Y (human neuroblastoma epithelial cell) whole cell lysate with ab316963 at 1/30 dilution (2ug in 0.35mg lysates). Western blot was performed on the immunoprecipitate using ab316963 at 1/1000 dilution. VeriBlot for IP secondary antibody(HRP)(ab131366) was used at 1/5000 dilution.

Lane 1 : SH-SY5Y (human neuroblastoma epithelial cell) whole cell lysate
Lane 2 : ab316963 IP in SH-SY5Y (human neuroblastoma epithelial cell) whole cell lysate
Lane 3 : Rabbit monoclonal IgG (ab172730) instead of ab316963 in SH-SY5Y whole cell lysate

All lanes:

Immunoprecipitation - Anti-Collybistin antibody [EPR28024-32] (<a href='/en-us/products/primary-antibodies/collybistin-antibody-epr28024-32-ab316963'>ab316963</a>) at 1/30 dilution

All lanes:

SH-SY5Y (human neuroblastoma epithelial cell) whole cell lysate

Secondary

All lanes:

Immunoprecipitation - VeriBlot for IP Detection Reagent (HRP) (<a href='/en-us/products/reagents/veriblot-for-ip-detection-reagent-hrp-ab131366'>ab131366</a>) at 1/5000 dilution

false

Exposure time: 84s

Western blot - Anti-Collybistin antibody [EPR28024-32] - BSA and Azide free (AB316964)
  • WB

Supplier Data

Western blot - Anti-Collybistin antibody [EPR28024-32] - BSA and Azide free (AB316964)

This data was developed using ab316963, the same antibody clone in a different buffer formulation.

Negative control : HUVEC (PMID : 19911011).

The expression profile/ molecular weight observed is consistent with what has been described in the literature (PMID : 10607391).

In Western blot, Anti-GAPDH antibody [EPR16891] - Loading Control (ab181602) staining at 1/200000 dilution.

All lanes:

Western blot - Anti-Collybistin antibody [EPR28024-32] (<a href='/en-us/products/primary-antibodies/collybistin-antibody-epr28024-32-ab316963'>ab316963</a>) at 1/1000 dilution

Lane 1:

SK-N-BE(2) (human neuroblastoma neuroblast) whole cell lysate at 40 µg

Lane 2:

SH-SY5Y (human neuroblastoma epithelial cell) whole cell lysate at 40 µg

Lane 3:

HUVEC (human umbilical vein endothelial cell) whole cell lysate at 40 µg

Secondary

All lanes:

Western blot - Goat Anti-Rabbit IgG H&L (HRP) (<a href='/en-us/products/secondary-antibodies/goat-rabbit-igg-h-l-hrp-ab97051'>ab97051</a>) at 1/100000 dilution

Observed band size: 49 kDa,55 kDa,61 kDa,36 kDa

false

Exposure time: 70s

Western blot - Anti-Collybistin antibody [EPR28024-32] - BSA and Azide free (AB316964)
  • WB

Supplier Data

Western blot - Anti-Collybistin antibody [EPR28024-32] - BSA and Azide free (AB316964)

This data was developed using ab316963, the same antibody clone in a different buffer formulation.

Negative control : liver (PMID : 10607391), spleen (PMID : 10607391).

The expression profile/ molecular weight observed is consistent with what has been described in the literature (PMID : 10607391).

In Western blot, Anti-GAPDH antibody [EPR16891] - Loading Control (ab181602) staining at 1/200000 dilution.

All lanes:

Western blot - Anti-Collybistin antibody [EPR28024-32] (<a href='/en-us/products/primary-antibodies/collybistin-antibody-epr28024-32-ab316963'>ab316963</a>) at 1/1000 dilution

Lane 1:

Human cerebellum tissue lysate at 20 µg

Lane 2:

Human hippocampus tissue lysate at 20 µg

Lane 3:

Human liver tissue lysate at 20 µg

Lane 4:

Human spleen tissue lysate at 20 µg

Secondary

All lanes:

Goat Anti-Rabbit IgG (HRP) with minimal cross-reactivity with human IgG at 1/2000 dilution

Observed band size: 49 kDa,55 kDa,61 kDa,36 kDa

false

Exposure time: 26s

Western blot - Anti-Collybistin antibody [EPR28024-32] - BSA and Azide free (AB316964)
  • WB

Supplier Data

Western blot - Anti-Collybistin antibody [EPR28024-32] - BSA and Azide free (AB316964)

This data was developed using ab316963, the same antibody clone in a different buffer formulation.

Negative control : liver (PMID : 10607391), spleen (PMID : 10607391).

The expression profile/ molecular weight observed is consistent with what has been described in the literature (PMID : 10607391).

In Western blot, Anti-GAPDH antibody [EPR16891] - Loading Control (ab181602) staining at 1/200000 dilution.

All lanes:

Western blot - Anti-Collybistin antibody [EPR28024-32] (<a href='/en-us/products/primary-antibodies/collybistin-antibody-epr28024-32-ab316963'>ab316963</a>) at 1/1000 dilution

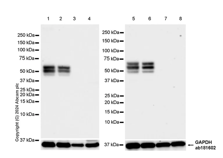
Lane 1:

Mouse hippocampus tissue lysate at 20 µg

Lane 2:

Mouse brain tissue lysate at 20 µg

Lane 3:

Mouse spleen tissue lysate at 20 µg

Lane 4:

Mouse liver tissue lysate at 20 µg

Lane 5:

Rat hippocampus tissue lysate at 20 µg

Lane 6:

Rat brain tissue lysate at 20 µg

Lane 7:

Rat spleen tissue lysate at 20 µg

Lane 8:

Rat liver tissue lysate at 20 µg

Secondary

All lanes:

Western blot - Goat Anti-Rabbit IgG H&L (HRP) (<a href='/en-us/products/secondary-antibodies/goat-rabbit-igg-h-l-hrp-ab97051'>ab97051</a>) at 1/100000 dilution

Observed band size: 49 kDa,55 kDa,61 kDa,36 kDa

false

Exposure time: 26s

Western blot - Anti-Collybistin antibody [EPR28024-32] - BSA and Azide free (AB316964)
  • WB

Supplier Data

Western blot - Anti-Collybistin antibody [EPR28024-32] - BSA and Azide free (AB316964)

This data was developed using ab316963, the same antibody clone in a different buffer formulation.

This antibody does not cross-react with human ARHG4.

In Western blot, Anti-6X His tag® antibody [EPR20547] - ChIP Grade (ab213204) staining at 1/5000 dilution.

All lanes:

Western blot - Anti-Collybistin antibody [EPR28024-32] (<a href='/en-us/products/primary-antibodies/collybistin-antibody-epr28024-32-ab316963'>ab316963</a>) at 1/1000 dilution

Lane 1:

His-tagged human Collybistin fragment at 10 ng

Lane 2:

His-tagged human ARHG4 recombinant protein at 10 ng

Secondary

All lanes:

Western blot - Goat Anti-Rabbit IgG H&L (HRP) (<a href='/en-us/products/secondary-antibodies/goat-rabbit-igg-h-l-hrp-ab97051'>ab97051</a>) at 1/100000 dilution

Observed band size: 43 kDa

false

Exposure time: 6s

Key facts

Host species

Rabbit

Clonality

Monoclonal

Clone number

EPR28024-32

Isotype

IgG

Carrier free

Yes

Reacts with

Human, Mouse, Rat

Applications

IP, WB

applications

Immunogen

The exact immunogen used to generate this antibody is proprietary information.

Reactivity data

{ "title": "Reactivity Data", "filters": { "stats": ["", "Species", "Dilution Info", "Notes"], "tabs": { "all-applications": {"fullname" : "All Applications", "shortname": "All Applications"}, "WB" : {"fullname" : "Western blot", "shortname":"WB"}, "IP" : {"fullname" : "Immunoprecipitation", "shortname":"IP"}, "IHCP" : {"fullname" : "Immunohistochemistry (Formalin/PFA-fixed paraffin-embedded sections)", "shortname":"IHC-P"}, "ICCIF" : {"fullname" : "Immunocytochemistry/ Immunofluorescence", "shortname":"ICC/IF"}, "IHCFr" : {"fullname" : "Immunohistochemistry (Frozen sections)", "shortname":"IHC-Fr"}, "FlowCytIntra" : {"fullname" : "Flow Cytometry (Intracellular)", "shortname":"Flow Cyt (Intra)"} }, "product-promise": { "all": "all", "testedAndGuaranteed": "tested", "guaranteed": "expected", "predicted": "predicted", "notRecommended": "not-recommended" } }, "values": { "Human": { "WB-species-checked": "testedAndGuaranteed", "WB-species-dilution-info": "", "WB-species-notes": "<p></p>", "IP-species-checked": "testedAndGuaranteed", "IP-species-dilution-info": "", "IP-species-notes": "<p></p>", "IHCP-species-checked": "notRecommended", "IHCP-species-dilution-info": "", "IHCP-species-notes": "<p></p>", "ICCIF-species-checked": "notRecommended", "ICCIF-species-dilution-info": "", "ICCIF-species-notes": "<p></p>", "IHCFr-species-checked": "notRecommended", "IHCFr-species-dilution-info": "", "IHCFr-species-notes": "", "FlowCytIntra-species-checked": "notRecommended", "FlowCytIntra-species-dilution-info": "", "FlowCytIntra-species-notes": "<p></p>" }, "Mouse": { "WB-species-checked": "testedAndGuaranteed", "WB-species-dilution-info": "", "WB-species-notes": "<p></p>", "IP-species-checked": "guaranteed", "IP-species-dilution-info": "", "IP-species-notes": "", "IHCP-species-checked": "notRecommended", "IHCP-species-dilution-info": "", "IHCP-species-notes": "<p></p>", "ICCIF-species-checked": "notRecommended", "ICCIF-species-dilution-info": "", "ICCIF-species-notes": "<p></p>", "IHCFr-species-checked": "notRecommended", "IHCFr-species-dilution-info": "", "IHCFr-species-notes": "<p></p>", "FlowCytIntra-species-checked": "notRecommended", "FlowCytIntra-species-dilution-info": "", "FlowCytIntra-species-notes": "" }, "Rat": { "WB-species-checked": "testedAndGuaranteed", "WB-species-dilution-info": "", "WB-species-notes": "<p></p>", "IP-species-checked": "guaranteed", "IP-species-dilution-info": "", "IP-species-notes": "", "IHCP-species-checked": "notRecommended", "IHCP-species-dilution-info": "", "IHCP-species-notes": "<p></p>", "ICCIF-species-checked": "notRecommended", "ICCIF-species-dilution-info": "", "ICCIF-species-notes": "<p></p>", "IHCFr-species-checked": "notRecommended", "IHCFr-species-dilution-info": "", "IHCFr-species-notes": "<p></p>", "FlowCytIntra-species-checked": "notRecommended", "FlowCytIntra-species-dilution-info": "", "FlowCytIntra-species-notes": "" }, "Recombinant fragment - Human": { "WB-species-checked": "testedAndGuaranteed", "WB-species-dilution-info": "", "WB-species-notes": "<p></p>", "IP-species-checked": "notRecommended", "IP-species-dilution-info": "", "IP-species-notes": "", "IHCP-species-checked": "notRecommended", "IHCP-species-dilution-info": "", "IHCP-species-notes": "", "ICCIF-species-checked": "notRecommended", "ICCIF-species-dilution-info": "", "ICCIF-species-notes": "", "IHCFr-species-checked": "notRecommended", "IHCFr-species-dilution-info": "", "IHCFr-species-notes": "", "FlowCytIntra-species-checked": "notRecommended", "FlowCytIntra-species-dilution-info": "", "FlowCytIntra-species-notes": "" } } }

Product details

ab316964 is the carrier-free version of ab316963.

Patented technology
Our RabMAb® technology is a patented hybridoma-based technology for making rabbit monoclonal antibodies. For details on our patents, please refer to RabMAb® patents.

What are the advantages of a recombinant monoclonal antibody?
This product is a recombinant monoclonal antibody, which offers several advantages including:

  • - High batch-to-batch consistency and reproducibility
  • - Improved sensitivity and specificity
  • - Long-term security of supply
  • - Animal-free batch production

For more information, read more on recombinant antibodies.

Conjugation ready
Our carrier-free antibodies are typically supplied in a PBS-only formulation, purified and free of BSA, sodium azide and glycerol. This conjugation-ready format is designed for use with fluorochromes, metal isotopes, oligonucleotides, and enzymes, which makes them ideal for antibody labelling, functional and cell-based assays, flow-based assays (e.g. mass cytometry) and Multiplex Imaging applications.

Use our conjugation kits for antibody conjugates that are ready-to-use in as little as 20 minutes with 1 minute hands-on-time and 100% antibody recovery: available for fluorescent dyes, HRP, biotin and gold.

Compatibility
This product is compatible with the Maxpar® Antibody Labeling Kit from Fluidigm, without the need for antibody preparation. Maxpar® is a trademark of Fluidigm Canada Inc.

Properties and storage information

Form
Liquid
Purification technique
Affinity purification Protein A
Storage buffer
pH: 7.2 - 7.4 Constituents: PBS
Shipped at conditions
Blue Ice
Appropriate short-term storage conditions
+4°C
Appropriate long-term storage conditions
+4°C

Supplementary information

This supplementary information is collated from multiple sources and compiled automatically.

Collybistin also known as ARHGEF9 is a protein that functions as a guanine nucleotide exchange factor (GEF) primarily for the small GTPase Cdc42. This mechanism is essential in the regulation of actin cytoskeleton dynamics with an approximate molecular mass of 46 kDa. You can find Collybistin mainly in the brain where it plays a significant role in synaptic formation and function particularly in the postsynaptic sites of inhibitory synapses.
Biological function summary

Collybistin plays a critical role in clustering and trafficking of specific proteins required for synapse maturation and stability. It participates as a part of a larger complex that includes key synaptic proteins like Gephyrin a scaffolding protein important for neurotransmitter receptor localization. This interaction between Collybistin and synaptic components ensures proper synaptic inhibitory signaling by controlling receptor clustering and distribution.

Pathways

Collybistin is essential within the pathways associated with synaptic vesicle function and cytoskeletal dynamics. This protein interacts with important pathways like the Rho GTPase signaling pathway and Cdc42 effector pathways which are vital for cytoskeletal rearrangements. Through these pathways Collybistin engages with proteins such as F-actin influencing synaptic plasticity and neural connectivity by altering actin dynamics.

Collybistin is linked to neurological conditions with particular relevance to epilepsy. Mutations in the Collybistin encoding gene ARHGEF9 have been associated with forms of epilepsy and intellectual disabilities. In these conditions disrupted interactions between Collybistin and other synaptic proteins like Gephyrin can lead to altered synaptic signaling illustrating the importance of its proper function in neurological health.

Product protocols

For this product, it's our understanding that no specific protocols are required. You can visit:

Target data

Acts as a guanine nucleotide exchange factor (GEF) for CDC42. Promotes formation of GPHN clusters (By similarity).
See full target information ARHGEF9

Product promise

We are committed to supporting your work with high-quality reagents, and we're here for you every step of the way. In the unlikely event that one of our products does not perform as expected, you're protected by our Product Promise.
For full details, please see our Terms & Conditions

Please note: All products are 'FOR RESEARCH USE ONLY. NOT FOR USE IN DIAGNOSTIC OR THERAPEUTIC PROCEDURES'.

For licensing inquiries, please contact partnerships@abcam.com