JavaScript is disabled in your browser. Please enable JavaScript to view this website.
AB224727

Anti-COMMD1/MURR1 antibody

Be the first to review this product! Submit a review

|

(3 Publications)

Rabbit Polyclonal COMMD1/MURR1 antibody. Suitable for IP, WB, IHC-P and reacts with Human samples. Cited in 3 publications. Immunogen corresponding to Recombinant Full Length Protein corresponding to Human COMMD1.

View Alternative Names

C2orf5, MURR1, COMMD1, COMM domain-containing protein 1, Protein Murr1

4 Images
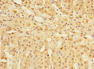
Immunohistochemistry (Formalin/PFA-fixed paraffin-embedded sections) - Anti-COMMD1/MURR1 antibody (AB224727)
  • IHC-P

Supplier Data

Immunohistochemistry (Formalin/PFA-fixed paraffin-embedded sections) - Anti-COMMD1/MURR1 antibody (AB224727)

Paraffin-embedded human liver cancer tissue stained for COMMD1/MURR1 with ab224727 at 1/20 dilution in immunohistochemical analysis.

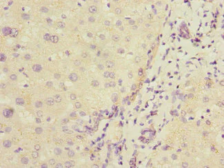
Immunohistochemistry (Formalin/PFA-fixed paraffin-embedded sections) - Anti-COMMD1/MURR1 antibody (AB224727)
  • IHC-P

Supplier Data

Immunohistochemistry (Formalin/PFA-fixed paraffin-embedded sections) - Anti-COMMD1/MURR1 antibody (AB224727)

Paraffin-embedded human adrenal gland tissue stained for COMMD1/MURR1 with ab224727 at 1/20 dilution in immunohistochemical analysis.

Immunoprecipitation - Anti-COMMD1/MURR1 antibody (AB224727)
  • IP

Supplier Data

Immunoprecipitation - Anti-COMMD1/MURR1 antibody (AB224727)

COMMD1/MURR1 was immunoprecipitated from 0.5 mg of HepG2 (human liver hepatocellular carcinoma cell line) whole cell lysate with ab224727 at 1/200 dilution. Western blot was performed from the immunoprecipitate using ab224727 at 1/1000 dilution. HRP-conjugated anti-rabbit IgG, specific to the non-reduced form of IgG, was used as secondary antibody at 1/10000 dilution.

Lane 1 : Rabbit monoclonal IgG instead of ab224727 in HepG2 whole cell lysate.

Lane 2 : ab224727 IP in HepG2 whole cell lysate.

Lane 3 : HepG2 whole cell lysate 20 μg (Input).

All lanes:

Immunoprecipitation - Anti-COMMD1/MURR1 antibody (ab224727)

Predicted band size: 21 kDa

false

Western blot - Anti-COMMD1/MURR1 antibody (AB224727)
  • WB

Supplier Data

Western blot - Anti-COMMD1/MURR1 antibody (AB224727)

All lanes:

Western blot - Anti-COMMD1/MURR1 antibody (ab224727) at 1/1000 dilution

Lane 1:

A549 (human lung carcinoma cell line) whole cell lysate

Lane 2:

Jurkat (human T cell leukemia cell line from peripheral blood) whole cell lysate

Lane 3:

MCF7 (human breast adenocarcinoma cell line) whole cell lysate

Lane 4:

HeLa (human epithelial cell line from cervix adenocarcinoma) whole cell lysate

Lane 5:

HepG2 (human liver hepatocellular carcinoma cell line) whole cell lysate

Secondary

All lanes:

Goat polyclonal to Rabbit IgG at 1/10000 dilution

Predicted band size: 21 kDa

Observed band size: 21 kDa

false

Key facts

Host species

Rabbit

Clonality

Polyclonal

Isotype

IgG

Carrier free

No

Reacts with

Human

Applications

IP, WB, IHC-P

applications

Immunogen

Recombinant Full Length Protein corresponding to Human COMMD1.

Q8N668

Reactivity data

{ "title": "Reactivity Data", "filters": { "stats": ["", "Species", "Dilution Info", "Notes"], "tabs": { "all-applications": {"fullname" : "All Applications", "shortname": "All Applications"}, "IP" : {"fullname" : "Immunoprecipitation", "shortname":"IP"}, "WB" : {"fullname" : "Western blot", "shortname":"WB"}, "IHCP" : {"fullname" : "Immunohistochemistry (Formalin/PFA-fixed paraffin-embedded sections)", "shortname":"IHC-P"} }, "product-promise": { "all": "all", "testedAndGuaranteed": "tested", "guaranteed": "expected", "predicted": "predicted", "notRecommended": "not-recommended" } }, "values": { "Human": { "IP-species-checked": "testedAndGuaranteed", "IP-species-dilution-info": "1/200 - 1/2000", "IP-species-notes": "<p></p>", "WB-species-checked": "testedAndGuaranteed", "WB-species-dilution-info": "1/1000 - 1/5000", "WB-species-notes": "<p></p>", "IHCP-species-checked": "testedAndGuaranteed", "IHCP-species-dilution-info": "1/20 - 1/200", "IHCP-species-notes": "<p></p>" } } }

Properties and storage information

Form
Liquid
Purification technique
Affinity purification Immunogen
Storage buffer
pH: 7.3 Preservative: 0.02% Sodium azide Constituents: PBS, 50% Glycerol (glycerin, glycerine)
Shipped at conditions
Blue Ice
Appropriate short-term storage duration
1-2 weeks
Appropriate short-term storage conditions
+4°C
Appropriate long-term storage conditions
-20°C
Aliquoting information
Upon delivery aliquot
Storage information
Avoid freeze / thaw cycle

Product protocols

For this product, it's our understanding that no specific protocols are required. You can visit:

Target data

Proposed scaffold protein that is implicated in diverse physiological processes and whose function may be in part linked to its ability to regulate ubiquitination of specific cellular proteins. Can modulate activity of cullin-RING E3 ubiquitin ligase (CRL) complexes by displacing CAND1; in vitro promotes CRL E3 activity and dissociates CAND1 from CUL1 and CUL2 (PubMed : 21778237). Promotes ubiquitination of NF-kappa-B subunit RELA and its subsequent proteasomal degradation. Down-regulates NF-kappa-B activity (PubMed : 15799966, PubMed : 17183367, PubMed : 20048074). Involved in the regulation of membrane expression and ubiquitination of SLC12A2 (PubMed : 23515529). Modulates Na(+) transport in epithelial cells by regulation of apical cell surface expression of amiloride-sensitive sodium channel (ENaC) subunits and by promoting their ubiquitination presumably involving NEDD4L. Promotes the localization of SCNN1D to recycling endosomes (PubMed : 14645214, PubMed : 20237237, PubMed : 21741370). Promotes CFTR cell surface expression through regulation of its ubiquitination (PubMed : 21483833). Down-regulates SOD1 activity by interfering with its homodimerization (PubMed : 20595380). Plays a role in copper ion homeostasis. Involved in copper-dependent ATP7A trafficking between the trans-Golgi network and vesicles in the cell periphery; the function is proposed to depend on its association within the CCC complex and cooperation with the WASH complex on early endosomes (PubMed : 25355947). Can bind one copper ion per monomer (PubMed : 17309234). May function to facilitate biliary copper excretion within hepatocytes. Binds to phosphatidylinositol 4,5-bisphosphate (PtdIns(4,5)P2) (PubMed : 18940794). Involved in the regulation of HIF1A-mediated transcription; competes with ARNT/Hif-1-beta for binding to HIF1A resulting in decreased DNA binding and impaired transcriptional activation by HIF-1 (PubMed : 20458141). Negatively regulates neuroblastoma G1/S phase cell cycle progression and cell proliferation by stimulating ubiquitination of NF-kappa-B subunit RELA and NF-kappa-B degradation in a FAM107A- and actin-dependent manner (PubMed : 28604741).
See full target information COMMD1

Publications (3)

Recent publications for all applications. Explore the full list and refine your search

Translational cancer research 13:2691-2703 PubMed38988918

2024

Increase in GPIHBP1 expression in advanced stage colorectal cancer indicates poor immune surveillance.

Applications

Unspecified application

Species

Unspecified reactive species

Min Gao,Liting Liao,Zhijie Lin,Xiangyu Hu,Linhui Jia,Weijuan Gong,Xiaoqin Jia

Cancers 13: PubMed33669398

2021

COMMD1, from the Repair of DNA Double Strand Breaks, to a Novel Anti-Cancer Therapeutic Target.

Applications

Unspecified application

Species

Unspecified reactive species

Amila Suraweera,Pascal H G Duijf,Christian Jekimovs,Karsten Schrobback,Cheng Liu,Mark N Adams,Kenneth J O'Byrne,Derek J Richard

Molecular and cellular biochemistry 476:1063-1074 PubMed33170429

2020

Long non-coding RNA SNHG5 suppresses the development of acute respiratory distress syndrome by targeting miR-205/COMMD1 axis.

Applications

Unspecified application

Species

Unspecified reactive species

Jiao Wang,Yang Zhang,Lihai Zhang
View all publications

Product promise

We are committed to supporting your work with high-quality reagents, and we're here for you every step of the way. In the unlikely event that one of our products does not perform as expected, you're protected by our Product Promise.
For full details, please see our Terms & Conditions

Please note: All products are 'FOR RESEARCH USE ONLY. NOT FOR USE IN DIAGNOSTIC OR THERAPEUTIC PROCEDURES'.

For licensing inquiries, please contact partnerships@abcam.com