JavaScript is disabled in your browser. Please enable JavaScript to view this website.
AB300555

Anti-COMP/Cartilage oligomeric matrix protein antibody [EPR25364-6]

  • BOND RX™ Validated
  • 20ul selling size
  • RabMAb
  • Recombinant
  • What is this?

Be the first to review this product! Submit a review

|

(2 Publications)

Rabbit Recombinant Monoclonal COMP/Cartilage oligomeric matrix protein antibody. Suitable for WB, IHC-P, IHC-Fr, IP and reacts with Human, Mouse, Rat samples. Cited in 2 publications.

View Alternative Names

Cartilage oligomeric matrix protein, COMP, Thrombospondin-5, TSP5

13 Images
Immunohistochemistry (Formalin/PFA-fixed paraffin-embedded sections) - Anti-COMP/Cartilage oligomeric matrix protein antibody [EPR25364-6] (AB300555)
  • IHC-P

Supplier Data

Immunohistochemistry (Formalin/PFA-fixed paraffin-embedded sections) - Anti-COMP/Cartilage oligomeric matrix protein antibody [EPR25364-6] (AB300555)

Immunohistochemical analysis of paraffin-embedded Human skeletal muscle tissue labeling COMP/Cartilage oligomeric matrix protein with ab300555 at 1/2000 (0.246 ug/ml) followed by a ready to use LeicaDS9800 (Bond™ Polymer Refine Detection) was used. Positive staining on human skeletal muscle (PMID : 19808781). The section was incubated with ab300555 for 30 mins at room temperature. The immunostaining was performed on a Leica Biosystems BOND® RX instrument. Counterstained with Hematoxylin.

Secondary antibody only control : Secondary antibody is a ready to use LeicaDS9800 (Bond™ Polymer Refine Detection) was used.

Heat mediated antigen retrieval with Tris-EDTA buffer (pH 9.0, epitope retrieval solution2) for 20 mins.

Immunohistochemistry (Formalin/PFA-fixed paraffin-embedded sections) - Anti-COMP/Cartilage oligomeric matrix protein antibody [EPR25364-6] (AB300555)
  • IHC-P

Supplier Data

Immunohistochemistry (Formalin/PFA-fixed paraffin-embedded sections) - Anti-COMP/Cartilage oligomeric matrix protein antibody [EPR25364-6] (AB300555)

Immunohistochemical analysis of paraffin-embedded Human liver tissue labeling COMP/Cartilage oligomeric matrix protein with ab300555 at 1/2000 (0.246 ug/ml) followed by a ready to use LeicaDS9800 (Bond™ Polymer Refine Detection) was used. Negative control : no staining on human liver (PMID : 14748877). The section was incubated with ab300555 for 30 mins at room temperature.The immunostaining was performed on a Leica Biosystems BOND® RX instrument Counterstained with Hematoxylin.

Secondary antibody only control : Secondary antibody is a ready to use LeicaDS9800 (Bond™ Polymer Refine Detection) was used.

Heat mediated antigen retrieval with Tris-EDTA buffer (pH 9.0, epitope retrieval solution2) for 20 mins.

Immunoprecipitation - Anti-COMP/Cartilage oligomeric matrix protein antibody [EPR25364-6] (AB300555)
  • IP

Supplier Data

Immunoprecipitation - Anti-COMP/Cartilage oligomeric matrix protein antibody [EPR25364-6] (AB300555)

COMP/Cartilage oligomeric matrix protein was immunoprecipitated from 0.35 mg Human skeletal muscle tissue 10 ug with ab300555 at 1/30 dilution (2ug in 0.35mg lysates). Western blot was performed on the immunoprecipitate using ab300555 at 1/1000 dilution. Blocking and dilution buffer and concentration : 5% NFDM/TBST.

All lanes:

Immunoprecipitation - Anti-COMP/Cartilage oligomeric matrix protein antibody [EPR25364-6] (ab300555) at 1/1000 dilution

Lanes 1 - 2:

Human skeletal muscle tissue lysate

Lane 3:

Rabbit monoclonal IgG (<a href='/en-us/products/primary-antibodies/rabbit-igg-monoclonal-epr25a-isotype-control-ab172730'>ab172730</a>) instead of ab300555 in Human skeletal muscle tissue lysate

Secondary

All lanes:

Immunoprecipitation - VeriBlot for IP Detection Reagent (HRP) (<a href='/en-us/products/reagents/veriblot-for-ip-detection-reagent-hrp-ab131366'>ab131366</a>) at 1/5000 dilution

false

Exposure time: 76s

Immunohistochemistry (Formalin/PFA-fixed paraffin-embedded sections) - Anti-COMP/Cartilage oligomeric matrix protein antibody [EPR25364-6] (AB300555)
  • IHC-P

Supplier Data

Immunohistochemistry (Formalin/PFA-fixed paraffin-embedded sections) - Anti-COMP/Cartilage oligomeric matrix protein antibody [EPR25364-6] (AB300555)

Immunohistochemical analysis of paraffin-embedded Mouse cartilage tissue labeling COMP/Cartilage oligomeric matrix protein with ab300555 at 1/2000 (0.246 ug/ml) followed by a ready to use LeicaDS9800 (Bond™ Polymer Refine Detection) was used. Positive staining on mouse cartilage (PMID : 33668140, PMID : 16542502 ).The section was incubated with ab300555 for 30 mins at room temperature.The immunostaining was performed on a Leica Biosystems BOND® RX instrument Counterstained with Hematoxylin. Secondary antibody only control : Secondary antibody is a ready to use LeicaDS9800 (Bond™ Polymer Refine Detection) was used. Heat mediated antigen retrieval with Tris-EDTA buffer (pH 9.0, epitope retrieval solution2) for 20 mins

Immunohistochemistry (Frozen sections) - Anti-COMP/Cartilage oligomeric matrix protein antibody [EPR25364-6] (AB300555)
  • IHC-Fr

Supplier Data

Immunohistochemistry (Frozen sections) - Anti-COMP/Cartilage oligomeric matrix protein antibody [EPR25364-6] (AB300555)

Immunohistochemical analysis of 4% PFA-fixed, 0.2% Triton X-100 permeabilized frozen Rat liver (fresh) tissue labeling COMP/Cartilage oligomeric matrix protein with ab300555 at 1/500 (0.982 ug/ml) dilution followed by ab150081 Goat Anti-Rabbit IgG H&L (Alexa Fluor® 488) preadsorbed at 1/1000 2 ug/mL dilution (Green). Negative control : no staining on rat liver (PMID : 14748877). is observed. The nuclear counterstain was DAPI (Blue). Secondary antibody control : Secondary antibody is ab150081 Goat Anti-Rabbit IgG H&L (Alexa Fluor® 488) preadsorbedat 1/1000 2 ug/mL dilution. .

Immunohistochemistry (Frozen sections) - Anti-COMP/Cartilage oligomeric matrix protein antibody [EPR25364-6] (AB300555)
  • IHC-Fr

Supplier Data

Immunohistochemistry (Frozen sections) - Anti-COMP/Cartilage oligomeric matrix protein antibody [EPR25364-6] (AB300555)

Immunohistochemical analysis of 4% PFA-fixed, 0.2% Triton X-100 permeabilized frozen Mouse liver (fresh) tissue labeling COMP/Cartilage oligomeric matrix protein with ab300555 at 1/500 (0.982 ug/ml) dilution followed by ab150081 Goat Anti-Rabbit IgG H&L (Alexa Fluor® 488) preadsorbed at 1/1000 2 ug/mL dilution (Green). Negative control : no staining on mouse liver (PMID : 14748877). is observed. The nuclear counterstain was DAPI (Blue). Secondary antibody control : Secondary antibody is ab150081 Goat Anti-Rabbit IgG H&L (Alexa Fluor® 488) preadsorbedat 1/1000 2 ug/mL dilution. .

Immunohistochemistry (Frozen sections) - Anti-COMP/Cartilage oligomeric matrix protein antibody [EPR25364-6] (AB300555)
  • IHC-Fr

Supplier Data

Immunohistochemistry (Frozen sections) - Anti-COMP/Cartilage oligomeric matrix protein antibody [EPR25364-6] (AB300555)

Immunohistochemical analysis of 4% PFA-fixed, 0.2% Triton X-100 permeabilized frozen Mouse P0 articular cartilage (fresh) tissue labeling COMP/Cartilage oligomeric matrix protein with ab300555 at 1/500 (0.982 ug/ml) dilution followed by ab150081 Goat Anti-Rabbit IgG H&L (Alexa Fluor® 488) preadsorbed at 1/1000 2 ug/mL dilution (Green). Positive staining on mouse P0 articular cartilage is observed. The nuclear counterstain was DAPI (Blue). Secondary antibody control : Secondary antibody is ab150081 Goat Anti-Rabbit IgG H&L (Alexa Fluor® 488) preadsorbedat 1/1000 2 ug/mL dilution. .

Immunohistochemistry (Frozen sections) - Anti-COMP/Cartilage oligomeric matrix protein antibody [EPR25364-6] (AB300555)
  • IHC-Fr

Supplier Data

Immunohistochemistry (Frozen sections) - Anti-COMP/Cartilage oligomeric matrix protein antibody [EPR25364-6] (AB300555)

Immunohistochemical analysis of 4% PFA-fixed, 0.2% Triton X-100 permeabilized frozen Rat P0 articular cartilage (fresh) tissue labeling COMP/Cartilage oligomeric matrix protein with ab300555 at 1/500 (0.982 ug/ml) dilution followed by ab150081 Goat Anti-Rabbit IgG H&L (Alexa Fluor® 488) preadsorbed at 1/1000 2 ug/mL dilution (Green). Positive staining on rat P0 articular cartilage is observed. The nuclear counterstain was DAPI (Blue). Secondary antibody control : Secondary antibody is ab150081 Goat Anti-Rabbit IgG H&L (Alexa Fluor® 488) preadsorbedat 1/1000 2 ug/mL dilution. .

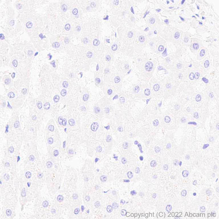
Immunohistochemistry (Formalin/PFA-fixed paraffin-embedded sections) - Anti-COMP/Cartilage oligomeric matrix protein antibody [EPR25364-6] (AB300555)
  • IHC-P

Supplier Data

Immunohistochemistry (Formalin/PFA-fixed paraffin-embedded sections) - Anti-COMP/Cartilage oligomeric matrix protein antibody [EPR25364-6] (AB300555)

Immunohistochemical analysis of paraffin-embedded Mouse liver tissue labeling COMP/Cartilage oligomeric matrix protein with ab300555 at 1/2000 (0.246 ug/ml) followed by a ready to use LeicaDS9800 (Bond™ Polymer Refine Detection) was used. Negative control : no staining on mouse liver (PMID : 14748877). The section was incubated with ab300555 for 30 mins at room temperature. The immunostaining was performed on a Leica Biosystems BOND® RX instrument Counterstained with Hematoxylin.

Secondary antibody only control : Secondary antibody is a ready to use LeicaDS9800 (Bond™ Polymer Refine Detection) was used.

Heat mediated antigen retrieval with Tris-EDTA buffer (pH 9.0, epitope retrieval solution2) for 20 mins.

Immunohistochemistry (Formalin/PFA-fixed paraffin-embedded sections) - Anti-COMP/Cartilage oligomeric matrix protein antibody [EPR25364-6] (AB300555)
  • IHC-P

Supplier Data

Immunohistochemistry (Formalin/PFA-fixed paraffin-embedded sections) - Anti-COMP/Cartilage oligomeric matrix protein antibody [EPR25364-6] (AB300555)

Immunohistochemical analysis of paraffin-embedded Mouse skeletal muscle tissue labeling COMP/Cartilage oligomeric matrix protein with ab300555 at 1/2000 (0.246 ug/ml) followed by a ready to use LeicaDS9800 (Bond™ Polymer Refine Detection) was used. Positive staining on mouse skeletal muscle (PMID : 19808781). The section was incubated with ab300555 for 30 mins at room temperature. The immunostaining was performed on a Leica Biosystems BOND® RX instrument. Counterstained with Hematoxylin.

Secondary antibody only control : Secondary antibody is a ready to use LeicaDS9800 (Bond™ Polymer Refine Detection) was used.

Heat mediated antigen retrieval with Tris-EDTA buffer (pH 9.0, epitope retrieval solution2) for 20 mins.

Immunoprecipitation - Anti-COMP/Cartilage oligomeric matrix protein antibody [EPR25364-6] (AB300555)
  • IP

Supplier Data

Immunoprecipitation - Anti-COMP/Cartilage oligomeric matrix protein antibody [EPR25364-6] (AB300555)

COMP/Cartilage oligomeric matrix protein was immunoprecipitated from 0.35 mg Mouse articular cartilage tissue lysate 10 ug with ab300555 at 1/30 dilution (2ug in 0.35mg lysates). Western blot was performed on the immunoprecipitate using ab300555 at 1/1000 dilution. Blocking and dilution buffer and concentration : 5% NFDM/TBST.

All lanes:

Immunoprecipitation - Anti-COMP/Cartilage oligomeric matrix protein antibody [EPR25364-6] (ab300555) at 1/1000 dilution

Lanes 1 - 2:

Mouse articular cartilage tissue lysate

Lane 3:

Rabbit monoclonal IgG (<a href='/en-us/products/primary-antibodies/rabbit-igg-monoclonal-epr25a-isotype-control-ab172730'>ab172730</a>) instead of ab300555 in mouse articular cartilage tissue lysate

Secondary

All lanes:

Immunoprecipitation - VeriBlot for IP Detection Reagent (HRP) (<a href='/en-us/products/reagents/veriblot-for-ip-detection-reagent-hrp-ab131366'>ab131366</a>) at 1/5000 dilution

false

Exposure time: 6s

Western blot - Anti-COMP/Cartilage oligomeric matrix protein antibody [EPR25364-6] (AB300555)
  • WB

Supplier Data

Western blot - Anti-COMP/Cartilage oligomeric matrix protein antibody [EPR25364-6] (AB300555)

Blocking and diluting buffer and concentration : 5% NFDM/TBST The expression profile and molecular weight observed are consistent with what has been described in the literature (PMID : 24917676). The band at 82 KDa likely represents the unglycosylated form of the COMP monomer (PMID : 9143347).

All lanes:

Western blot - Anti-COMP/Cartilage oligomeric matrix protein antibody [EPR25364-6] (ab300555) at 1/5000 dilution

All lanes:

Human articar cartilage tissue lysate 20

Secondary

All lanes:

Goat Anti-Rabbit IgG (HRP) with minimal cross-reactivity with human IgG at 1/10000 dilution

Observed band size: 100 kDa,82 kDa

false

Exposure time: 15s

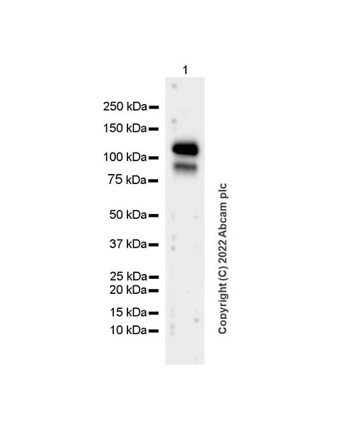
Western blot - Anti-COMP/Cartilage oligomeric matrix protein antibody [EPR25364-6] (AB300555)
  • WB

Supplier Data

Western blot - Anti-COMP/Cartilage oligomeric matrix protein antibody [EPR25364-6] (AB300555)

Blocking and diluting buffer and concentration : 5% NFDM/TBST The expression profile and molecular weight observed are consistent with what has been described in the literature (PMID : 24917676). The band at 82 KDa likely represents the unglycosylated form of the COMP monomer (PMID : 9143347).Negative control : liver (PMID : 14748877)

All lanes:

Western blot - Anti-COMP/Cartilage oligomeric matrix protein antibody [EPR25364-6] (ab300555) at 1/1000 dilution

Lane 1:

Mouse articar cartilage tissue lysate 20

Lane 2:

Mouse liver tissue lysate

Lane 3:

Rat articar cartilage tissue lysate 20

Lane 4:

Rat liver tissue lysate

Secondary

All lanes:

Western blot - Goat Anti-Rabbit IgG H&L (HRP) (<a href='/en-us/products/secondary-antibodies/goat-rabbit-igg-h-l-hrp-ab97051'>ab97051</a>) at 1/50000 dilution

Observed band size: 100 kDa,82 kDa

false

Exposure time: 15s

  • Carrier free

    Anti-COMP/Cartilage oligomeric matrix protein antibody [EPR25364-6] (BSA and Azide free)

  • 519 Alexa Fluor® 488

    Alexa Fluor® 488 Anti-COMP/Cartilage oligomeric matrix protein antibody [EPR25364-6]

  • 665 Alexa Fluor® 647

    Alexa Fluor® 647 Anti-COMP/Cartilage oligomeric matrix protein antibody [EPR25364-6]

Key facts

Host species

Rabbit

Clonality

Monoclonal

Clone number

EPR25364-6

Isotype

IgG

Carrier free

No

Reacts with

Human, Mouse, Rat

Applications

IHC-P, IHC-Fr, WB, IP

applications

Immunogen

The exact immunogen used to generate this antibody is proprietary information.

Reactivity data

{ "title": "Reactivity Data", "filters": { "stats": ["", "Species", "Dilution Info", "Notes"], "tabs": { "all-applications": {"fullname" : "All Applications", "shortname": "All Applications"}, "WB" : {"fullname" : "Western blot", "shortname":"WB"}, "IHCP" : {"fullname" : "Immunohistochemistry (Formalin/PFA-fixed paraffin-embedded sections)", "shortname":"IHC-P"}, "IHCFr" : {"fullname" : "Immunohistochemistry (Frozen sections)", "shortname":"IHC-Fr"}, "ICCIF" : {"fullname" : "Immunocytochemistry/ Immunofluorescence", "shortname":"ICC/IF"}, "FlowCytIntra" : {"fullname" : "Flow Cytometry (Intracellular)", "shortname":"Flow Cyt (Intra)"}, "IP" : {"fullname" : "Immunoprecipitation", "shortname":"IP"} }, "product-promise": { "all": "all", "testedAndGuaranteed": "tested", "guaranteed": "expected", "predicted": "predicted", "notRecommended": "not-recommended" } }, "values": { "Human": { "WB-species-checked": "testedAndGuaranteed", "WB-species-dilution-info": "1/1000", "WB-species-notes": "<p></p>", "IHCP-species-checked": "testedAndGuaranteed", "IHCP-species-dilution-info": "1/2000", "IHCP-species-notes": "<p></p> Perform heat-mediated antigen retrieval with Tris/EDTA buffer pH 9.0 before commencing with IHC staining protocol.", "IHCFr-species-checked": "guaranteed", "IHCFr-species-dilution-info": "", "IHCFr-species-notes": "", "ICCIF-species-checked": "notRecommended", "ICCIF-species-dilution-info": "", "ICCIF-species-notes": "<p></p>", "FlowCytIntra-species-checked": "notRecommended", "FlowCytIntra-species-dilution-info": "", "FlowCytIntra-species-notes": "<p></p>", "IP-species-checked": "testedAndGuaranteed", "IP-species-dilution-info": "1/30", "IP-species-notes": "<p></p>" }, "Mouse": { "WB-species-checked": "testedAndGuaranteed", "WB-species-dilution-info": "1/1000", "WB-species-notes": "<p></p>", "IHCP-species-checked": "testedAndGuaranteed", "IHCP-species-dilution-info": "1/2000", "IHCP-species-notes": "<p></p> Perform heat-mediated antigen retrieval with Tris/EDTA buffer pH 9.0 before commencing with IHC staining protocol.", "IHCFr-species-checked": "testedAndGuaranteed", "IHCFr-species-dilution-info": "1/500", "IHCFr-species-notes": "<p>Not Applicable.</p>", "ICCIF-species-checked": "notRecommended", "ICCIF-species-dilution-info": "", "ICCIF-species-notes": "", "FlowCytIntra-species-checked": "notRecommended", "FlowCytIntra-species-dilution-info": "", "FlowCytIntra-species-notes": "", "IP-species-checked": "testedAndGuaranteed", "IP-species-dilution-info": "1/30", "IP-species-notes": "<p></p>" }, "Rat": { "WB-species-checked": "testedAndGuaranteed", "WB-species-dilution-info": "1/1000", "WB-species-notes": "<p></p>", "IHCP-species-checked": "notRecommended", "IHCP-species-dilution-info": "1/2000", "IHCP-species-notes": "<p></p> Perform heat-mediated antigen retrieval with Tris/EDTA buffer pH 9.0 before commencing with IHC staining protocol.", "IHCFr-species-checked": "testedAndGuaranteed", "IHCFr-species-dilution-info": "1/500", "IHCFr-species-notes": "<p>Not Applicable.</p>", "ICCIF-species-checked": "notRecommended", "ICCIF-species-dilution-info": "", "ICCIF-species-notes": "", "FlowCytIntra-species-checked": "notRecommended", "FlowCytIntra-species-dilution-info": "", "FlowCytIntra-species-notes": "", "IP-species-checked": "guaranteed", "IP-species-dilution-info": "", "IP-species-notes": "" } } }

Product details

Patented technology
Our RabMAb® technology is a patented hybridoma-based technology for making rabbit monoclonal antibodies. For details on our patents, please refer to RabMAb® patents.

What are the advantages of a recombinant monoclonal antibody?
This product is a recombinant monoclonal antibody, which offers several advantages including:

  • - High batch-to-batch consistency and reproducibility
  • - Improved sensitivity and specificity
  • - Long-term security of supply
  • - Animal-free batch production

For more information, read more on recombinant antibodies.

Properties and storage information

Form
Liquid
Purification technique
Affinity purification Protein A
Storage buffer
pH: 7.2 - 7.4 Preservative: 0.01% Sodium azide Constituents: PBS, 40% Glycerol (glycerin, glycerine), 0.05% BSA
Shipped at conditions
Blue Ice
Appropriate short-term storage duration
1-2 weeks
Appropriate short-term storage conditions
+4°C
Appropriate long-term storage conditions
-20°C
Aliquoting information
Upon delivery aliquot
Storage information
Avoid freeze / thaw cycle

Supplementary information

This supplementary information is collated from multiple sources and compiled automatically.

The Cartilage Oligomeric Matrix Protein (COMP) also known as oligomeric protein or COMP cartilage protein is a structural component found in the extracellular matrix of cartilage tissues. This matrix protein has a mass of approximately 524 kDa and is predominantly expressed in cartilage particularly hyaline cartilage. COMP forms pentameric structures which make it an important supporting element in the stability and resilience of cartilage. Researchers often use techniques like COMP ELISA to quantify its levels in biological samples.
Biological function summary

COMP interacts with other extracellular matrix components to enhance structural integrity and function of cartilage tissue. It performs significant roles in the organization and maintenance of the matrix tethering fibrillar proteins and supporting cellular interaction. COMP is not typically part of a large complex but works closely with collagens and other matrix proteins to form a robust and flexible extracellular environment.

Pathways

COMP participates in pathways associated with cartilage formation and turnover. It engages in chondrocyte-mediated processes that are vital for endochondral ossification and cartilage repair. Within these pathways it interacts with proteins such as collagen type II and decorin which facilitate the organization and mineralization of cartilage matrix. These interactions highlight the protein's importance in maintaining cartilage architecture and function.

COMP plays a role in chondrodysplasias and osteoarthritis. Mutations in the COMP gene can lead to skeletal disorders like pseudoachondroplasia and multiple epiphyseal dysplasia causing growth and developmental anomalies. In osteoarthritis alterations in COMP levels may serve as an indicator of cartilage degradation. COMP's relationships with proteins like aggrecan and matrilin-3 in these contexts highlight its involvement in pathologies that affect cartilage structure and health.

Product protocols

For this product, it's our understanding that no specific protocols are required. You can visit:

Target data

Plays a role in the structural integrity of cartilage via its interaction with other extracellular matrix proteins such as the collagens and fibronectin. Can mediate the interaction of chondrocytes with the cartilage extracellular matrix through interaction with cell surface integrin receptors (PubMed : 16051604, PubMed : 16542502). Could play a role in the pathogenesis of osteoarthritis (PubMed : 16542502). Potent suppressor of apoptosis in both primary chondrocytes and transformed cells. Suppresses apoptosis by blocking the activation of caspase-3 and by inducing the IAP family of survival proteins (BIRC3, BIRC2, BIRC5 and XIAP) (PubMed : 17993464). Essential for maintaining a vascular smooth muscle cells (VSMCs) contractile/differentiated phenotype under physiological and pathological stimuli. Maintains this phenotype of VSMCs by interacting with ITGA7 (By similarity).
See full target information COMP

Publications (2)

Recent publications for all applications. Explore the full list and refine your search

Cell proliferation 58:e13818 PubMed39902627

2025

New Anti-Fibrotic Strategies for Keloids: Insights From Single-Cell Multi-Omics.

Applications

Unspecified application

Species

Unspecified reactive species

Songyun Zhao,Jiaheng Xie,Qian Zhang,Tianyi Ni,Jinde Lin,Weicheng Gao,Liping Zhao,Min Yi,Liying Tu,Pengpeng Zhang,Dan Wu,Qikai Tang,Chenfeng Ma,Yucang He,Liqun Li,Guoping Wu,Wei Yan

Cancer letters 600:217180 PubMed39154702

2024

Single-cell RNA sequencing of OSCC primary tumors and lymph nodes reveals distinct origin and phenotype of fibroblasts.

Applications

Unspecified application

Species

Unspecified reactive species

Qian Zhang,Liang Ding,Jingyi Li,Kunyu Liu,Chengwan Xia,Sheng Chen,Xiaofeng Huang,Yumei Pu,Yuxian Song,Qingang Hu,Yuxin Wang
View all publications

Product promise

We are committed to supporting your work with high-quality reagents, and we're here for you every step of the way. In the unlikely event that one of our products does not perform as expected, you're protected by our Product Promise.
For full details, please see our Terms & Conditions

Please note: All products are 'FOR RESEARCH USE ONLY. NOT FOR USE IN DIAGNOSTIC OR THERAPEUTIC PROCEDURES'.

For licensing inquiries, please contact partnerships@abcam.com