JavaScript is disabled in your browser. Please enable JavaScript to view this website.
AB278045

Anti-Complement factor 8 beta/C8B antibody [EPR23764-1]

Be the first to review this product! Submit a review

|

(1 Publication)

Rabbit Recombinant Monoclonal CO8B antibody. Suitable for IP, WB, IHC-P and reacts with Human, Recombinant full length protein - Human samples. Cited in 1 publication.

View Alternative Names

Complement component C8 beta chain, Complement component 8 subunit beta, C8B

7 Images
Immunohistochemistry (Formalin/PFA-fixed paraffin-embedded sections) - Anti-Complement factor 8 beta/C8B antibody [EPR23764-1] (AB278045)
  • IHC-P

Supplier Data

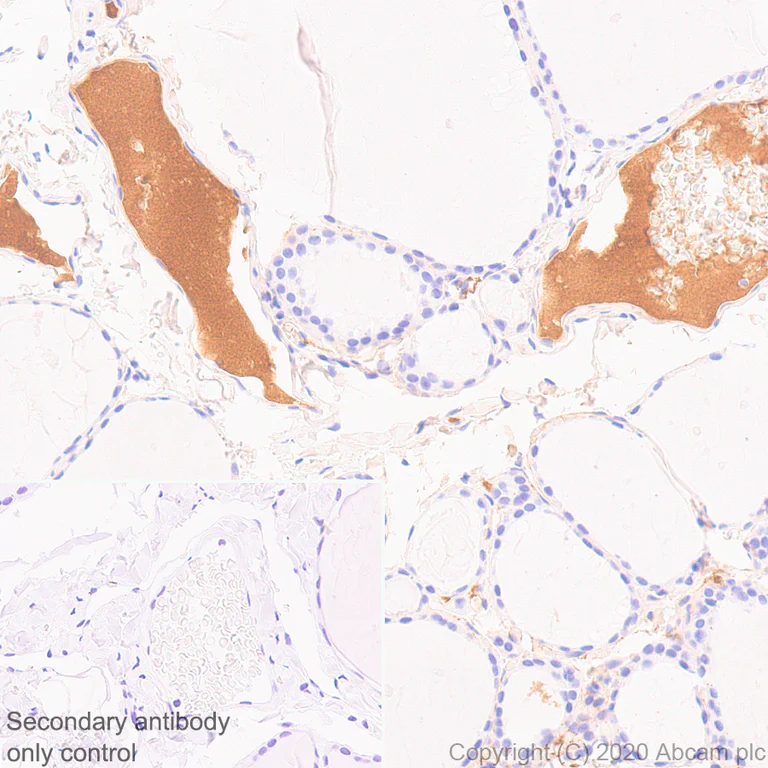
Immunohistochemistry (Formalin/PFA-fixed paraffin-embedded sections) - Anti-Complement factor 8 beta/C8B antibody [EPR23764-1] (AB278045)

Immunohistochemical analysis of paraffin-embedded human thyroid tissue labeling Complement factor 8 beta/C8B with ab278045 at 1/1000 (0.533 μg/ml) dilution followed by a ready to use secondary antibody. Positive staining on the blood plasma in human thyroid (PMID : 9476128). The section was incubated with ab278045 for 30 mins at room temperature. The immunostaining was performed on a Leica Biosystems BOND®RX instrument. Counterstained with Hematoxylin.

Secondary antibody only control : Secondary antibody is a ready to use secondary antibody.

Heat mediated antigen retrieval with Tris-EDTA buffer (pH 9.0, epitope retrieval solution2) for 20 mins.

Immunohistochemistry (Formalin/PFA-fixed paraffin-embedded sections) - Anti-Complement factor 8 beta/C8B antibody [EPR23764-1] (AB278045)
  • IHC-P

Supplier Data

Immunohistochemistry (Formalin/PFA-fixed paraffin-embedded sections) - Anti-Complement factor 8 beta/C8B antibody [EPR23764-1] (AB278045)

Immunohistochemical analysis of paraffin-embedded human cerebrum tissue labeling Complement factor 8 beta/C8B with ab278045 at 1/1000 (0.533 μg/ml) dilution followed by a ready to use secondary antibody. The section was incubated with ab278045 for 30 mins at room temperature. The immunostaining was performed on a Leica Biosystems BOND® RX instrument. Counterstained with Hematoxylin.

Negative control : no staining on human cerebrum.

Secondary antibody only control : Secondary antibody is a ready to use secondary antibody.

Heat mediated antigen retrieval with Tris-EDTA buffer (pH 9.0, epitope retrieval solution2) for 20 mins.

Immunohistochemistry (Formalin/PFA-fixed paraffin-embedded sections) - Anti-Complement factor 8 beta/C8B antibody [EPR23764-1] (AB278045)
  • IHC-P

Supplier Data

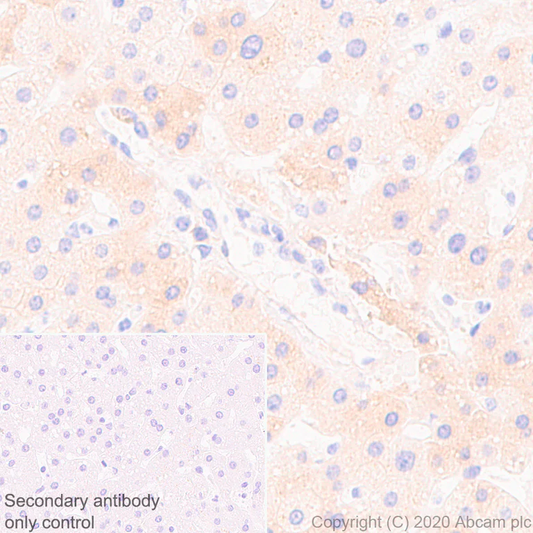
Immunohistochemistry (Formalin/PFA-fixed paraffin-embedded sections) - Anti-Complement factor 8 beta/C8B antibody [EPR23764-1] (AB278045)

Immunohistochemical analysis of paraffin-embedded human liver tissue labeling Complement factor 8 beta/C8B with ab278045 at 1/1000 (0.533 μg/ml) dilution followed by a ready to use secondary antibody. Cytoplasmic staining on human liver. The section was incubated with ab278045 for 30 mins at room temperature. The immunostaining was performed on a Leica Biosystems BOND® RX instrument. Counterstained with Hematoxylin.

Secondary antibody only control : Secondary antibody is a ready to use secondary antibody).

Heat mediated antigen retrieval with Tris-EDTA buffer (pH 9.0, epitope retrieval solution2) for 20 mins.

Immunoprecipitation - Anti-Complement factor 8 beta/C8B antibody [EPR23764-1] (AB278045)
  • IP

Supplier Data

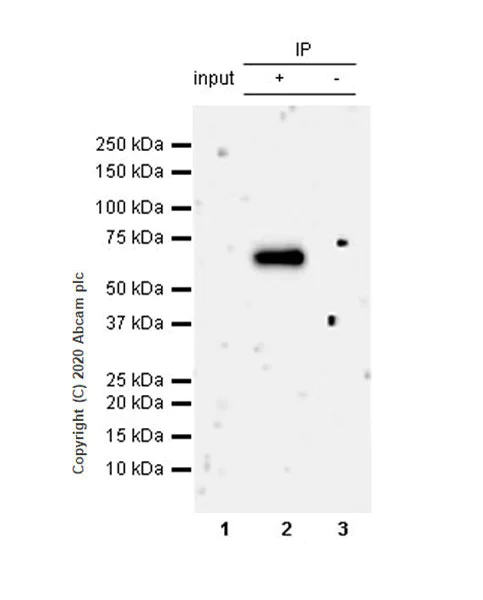
Immunoprecipitation - Anti-Complement factor 8 beta/C8B antibody [EPR23764-1] (AB278045)

Complement factor 8 beta/C8B was immunoprecipitated from 0.35 mg human kidney tissue lysate with ab278045 at 1/30 dilution (2μg in 0.35 mg lysates). Western blot was performed on the immunoprecipitate using ab278045 at 1/1000 dilution. VeriBlot for IP Detection Reagent (HRP)(ab131366) was used at 1/5000 dilution.

Lane 1 : Human kidney tissue lysate 10 μg

Lane 2 : ab278045 IP in human kidney tissue lysate

Lane 3 : Rabbit monoclonal IgG (ab172730) instead of ab278045 in human kidney tissue lysate

Blocking and dilution buffer and concentration : 5% NFDM/TBST.

Exposure time : 3 minutes.

All lanes:

Immunoprecipitation - Anti-Complement factor 8 beta/C8B antibody [EPR23764-1] (ab278045)

Predicted band size: 67 kDa

Observed band size: 67 kDa

false

Western blot - Anti-Complement factor 8 beta/C8B antibody [EPR23764-1] (AB278045)
  • WB

Lab

Western blot - Anti-Complement factor 8 beta/C8B antibody [EPR23764-1] (AB278045)

Blocking and diluting buffer and concentration : 5% NFDM/TBST.

The observed MW is consistent with what has been described in the literature (PMID : 21750743).

Negative : human brain (PMID : 16483657, PMID : 27005612).

Exposure time : 3 minutes.

All lanes:

Western blot - Anti-Complement factor 8 beta/C8B antibody [EPR23764-1] (ab278045) at 1/1000 dilution

Lane 1:

Human kidney tissue lysate at 20 µg

Lane 2:

Human liver tissue lysate at 20 µg

Lane 3:

Human large intestine tissue lysate at 20 µg

Lane 4:

Human brain tissue lysate at 20 µg

Secondary

All lanes:

VeriBlot for IP secondary antibody(HRP)(<a href='/en-us/products/reagents/veriblot-for-ip-detection-reagent-hrp-ab131366'>ab131366</a>) at 1/1000 dilution

Predicted band size: 67 kDa

Observed band size: 67 kDa

false

Western blot - Anti-Complement factor 8 beta/C8B antibody [EPR23764-1] (AB278045)
  • WB

Lab

Western blot - Anti-Complement factor 8 beta/C8B antibody [EPR23764-1] (AB278045)

Blocking and diluting buffer and concentration : 5% NFDM/TBST.

The observed MW is consistent with what has been described in the literature (PMID : 21750743).

Exposure time : 15 seconds.

All lanes:

Western blot - Anti-Complement factor 8 beta/C8B antibody [EPR23764-1] (ab278045) at 1/1000 dilution

All lanes:

Human serum at 20 µL

Secondary

All lanes:

Goat Anti-Rabbit IgG (HRP) with minimal cross-reactivity with human IgG at 1/2000 dilution

Predicted band size: 67 kDa

Observed band size: 67 kDa

false

Western blot - Anti-Complement factor 8 beta/C8B antibody [EPR23764-1] (AB278045)
  • WB

Lab

Western blot - Anti-Complement factor 8 beta/C8B antibody [EPR23764-1] (AB278045)

Blocking and diluting buffer and concentration : 5% NFDM/TBST.

This antibody has no cross reaction with human C8A and C9.

Sample loaded onto lane 1 was purified protein extracted from HEK293 expressing C8B, which contains a LIF-tag (40 kDa).

C8A and C9 recombinant proteins were expressed in E.coil expression systems.

Exposure time : 26 seconds.

All lanes:

Western blot - Anti-Complement factor 8 beta/C8B antibody [EPR23764-1] (ab278045) at 1/1000 dilution

Lane 1:

LIF-tagged human C8B recombinant protein, 30 ng

Lane 2:

E.coli extracts containing his-tagged human C8A recombinant protein, 30 ng

Lane 3:

E.coli extracts containing his-tagged human C9 recombinant protein, 30 ng

Secondary

All lanes:

Goat Anti-Rabbit IgG, (H+L), Peroxidase conjugated (<a href='/en-us/products/secondary-antibodies/goat-rabbit-igg-h-l-hrp-ab97051'>ab97051</a>) at 1/50000 dilution

Predicted band size: 67 kDa

false

Key facts

Host species

Rabbit

Clonality

Monoclonal

Clone number

EPR23764-1

Isotype

IgG

Carrier free

No

Reacts with

Human

Applications

IP, WB, IHC-P

applications

Immunogen

The exact immunogen used to generate this antibody is proprietary information.

Reactivity data

{ "title": "Reactivity Data", "filters": { "stats": ["", "Species", "Dilution Info", "Notes"], "tabs": { "all-applications": {"fullname" : "All Applications", "shortname": "All Applications"}, "ICCIF" : {"fullname" : "Immunocytochemistry/ Immunofluorescence", "shortname":"ICC/IF"}, "IP" : {"fullname" : "Immunoprecipitation", "shortname":"IP"}, "FlowCyt" : {"fullname" : "Flow Cytometry", "shortname":"Flow Cyt"}, "WB" : {"fullname" : "Western blot", "shortname":"WB"}, "IHCP" : {"fullname" : "Immunohistochemistry (Formalin/PFA-fixed paraffin-embedded sections)", "shortname":"IHC-P"} }, "product-promise": { "all": "all", "testedAndGuaranteed": "tested", "guaranteed": "expected", "predicted": "predicted", "notRecommended": "not-recommended" } }, "values": { "Human": { "ICCIF-species-checked": "notRecommended", "ICCIF-species-dilution-info": "", "ICCIF-species-notes": "<p></p>", "IP-species-checked": "testedAndGuaranteed", "IP-species-dilution-info": "1/30", "IP-species-notes": "<p></p>", "FlowCyt-species-checked": "notRecommended", "FlowCyt-species-dilution-info": "", "FlowCyt-species-notes": "<p></p>", "WB-species-checked": "testedAndGuaranteed", "WB-species-dilution-info": "1/1000", "WB-species-notes": "<p></p>", "IHCP-species-checked": "testedAndGuaranteed", "IHCP-species-dilution-info": "1/1000", "IHCP-species-notes": "<p></p>" }, "Mouse": { "ICCIF-species-checked": "notRecommended", "ICCIF-species-dilution-info": "", "ICCIF-species-notes": "<p></p>", "IP-species-checked": "notRecommended", "IP-species-dilution-info": "1/30", "IP-species-notes": "<p></p>", "FlowCyt-species-checked": "notRecommended", "FlowCyt-species-dilution-info": "", "FlowCyt-species-notes": "<p></p>", "WB-species-checked": "notRecommended", "WB-species-dilution-info": "1/1000", "WB-species-notes": "<p></p>", "IHCP-species-checked": "notRecommended", "IHCP-species-dilution-info": "1/1000", "IHCP-species-notes": "<p></p>" }, "Rat": { "ICCIF-species-checked": "notRecommended", "ICCIF-species-dilution-info": "", "ICCIF-species-notes": "<p></p>", "IP-species-checked": "notRecommended", "IP-species-dilution-info": "", "IP-species-notes": "", "FlowCyt-species-checked": "notRecommended", "FlowCyt-species-dilution-info": "", "FlowCyt-species-notes": "<p></p>", "WB-species-checked": "notRecommended", "WB-species-dilution-info": "1/1000", "WB-species-notes": "<p></p>", "IHCP-species-checked": "notRecommended", "IHCP-species-dilution-info": "1/1000", "IHCP-species-notes": "<p></p>" }, "Recombinant full length protein - Human": { "ICCIF-species-checked": "notRecommended", "ICCIF-species-dilution-info": "", "ICCIF-species-notes": "", "IP-species-checked": "notRecommended", "IP-species-dilution-info": "", "IP-species-notes": "", "FlowCyt-species-checked": "notRecommended", "FlowCyt-species-dilution-info": "", "FlowCyt-species-notes": "", "WB-species-checked": "testedAndGuaranteed", "WB-species-dilution-info": "1/1000", "WB-species-notes": "<p></p>", "IHCP-species-checked": "notRecommended", "IHCP-species-dilution-info": "", "IHCP-species-notes": "" } } }

Product details

Patented technology
Our RabMAb® technology is a patented hybridoma-based technology for making rabbit monoclonal antibodies. For details on our patents, please refer to RabMAb® patents.

What are the advantages of a recombinant monoclonal antibody?
This product is a recombinant monoclonal antibody, which offers several advantages including:

  • - High batch-to-batch consistency and reproducibility
  • - Improved sensitivity and specificity
  • - Long-term security of supply
  • - Animal-free batch production

For more information, read more on recombinant antibodies.

Properties and storage information

Form
Liquid
Purification technique
Affinity purification Protein A
Storage buffer
Preservative: 0.01% Sodium azide Constituents: PBS, 40% Glycerol (glycerin, glycerine), 0.05% BSA
Shipped at conditions
Blue Ice
Appropriate short-term storage duration
1-2 weeks
Appropriate short-term storage conditions
+4°C
Appropriate long-term storage conditions
-20°C
Aliquoting information
Upon delivery aliquot
Storage information
Avoid freeze / thaw cycle

Supplementary information

This supplementary information is collated from multiple sources and compiled automatically.

Complement factor 8 beta (C8B) is an essential protein component of the complement system an important part of the immune response. Commonly referred to as C8B this protein has a molecular mass of approximately 64 kilodaltons. C8B is primarily expressed in liver tissue where it contributes to the formation of the C8 protein complex a component necessary for the assembly of the membrane attack complex (MAC). Other names for this target include complement component C8 beta chain emphasizing its role in the complement cascade.
Biological function summary

The C8B protein facilitates the stabilization of the C8 complex which also consists of the alpha and gamma chains to perform its role in the immune system. It plays an important role in forming the MAC an important structure for lysing pathogenic cells like bacteria by disrupting their plasma membranes. This action highlights the importance of C8B in innate immunity where it enables the host to eliminate harmful cells effectively.

Pathways

C8B's activities are integral to the complement cascade specifically within the terminal membrane attack pathway. It functions in conjunction with other complement factors like complement factor 5 to 9 forming a cascade of sequential activations. C8B works closely with complement factor 8 alpha and complement factor C5 within this pathway to achieve effective immune responses. These interactions ensure the proper function of the immune surveillance mechanism allowing the organism to protect itself against microbial infections.

C8B has significant connections to immunodeficiencies and inflammatory conditions. Patients with deficiencies in any of the components forming the MAC including C8B often suffer from recurrent Neisserial infections due to impaired bacterial lysis. C8B mutations contribute to properdin-independent pathway issues that can lead to susceptibility to such infections. Moreover malfunction in C8B can associate with autoimmune disorders implying a disruption in the delicate balance of the immune response where proteins like factor 8 and complement factor 5 play critical roles in maintaining immunity.

Product protocols

For this product, it's our understanding that no specific protocols are required. You can visit:

Target data

Constituent of the membrane attack complex (MAC) that plays a key role in the innate and adaptive immune response by forming pores in the plasma membrane of target cells.
See full target information C8B

Publications (1)

Recent publications for all applications. Explore the full list and refine your search

iScience 26:106417 PubMed37153444

2023

Ultra-rare complement factor 8 coding variants in families with age-related macular degeneration.

Applications

Unspecified application

Species

Unspecified reactive species

Lina Zelinger,Tammy M Martin,Jayshree Advani,Laura Campello,Milton A English,Alan Kwong,Claire Weber,Jennifer Maykoski,Yuri V Sergeev,Robert Fariss,Emily Y Chew,Michael L Klein,Anand Swaroop
View all publications

Product promise

We are committed to supporting your work with high-quality reagents, and we're here for you every step of the way. In the unlikely event that one of our products does not perform as expected, you're protected by our Product Promise.
For full details, please see our Terms & Conditions

Please note: All products are 'FOR RESEARCH USE ONLY. NOT FOR USE IN DIAGNOSTIC OR THERAPEUTIC PROCEDURES'.

For licensing inquiries, please contact partnerships@abcam.com