JavaScript is disabled in your browser. Please enable JavaScript to view this website.
AB309149

Anti-Complement factor B antibody [EPR27443-6]

  • BOND RX™ Validated
  • 20ul selling size
  • RabMAb
  • Recombinant
  • What is this?

Be the first to review this product! Submit a review

|

(0 Publication)

Rabbit Recombinant Monoclonal CFAB antibody. Suitable for WB, IHC-P and reacts with Human, Mouse, Rat samples.

View Alternative Names

BF, BFD, CFB, Complement factor B, C3/C5 convertase, Glycine-rich beta glycoprotein, PBF2, Properdin factor B, GBG

6 Images
Immunohistochemistry (Formalin/PFA-fixed paraffin-embedded sections) - Anti-Complement factor B antibody [EPR27443-6] (AB309149)
  • IHC-P

Supplier Data

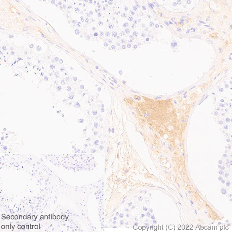
Immunohistochemistry (Formalin/PFA-fixed paraffin-embedded sections) - Anti-Complement factor B antibody [EPR27443-6] (AB309149)

Immunohistochemical analysis of paraffin-embedded Human testis tissue labeling Complement factor B with ab309149 at 1/500 (1.092 ug/ml) followed by a ready to use LeicaDS9800 (Bond™ Polymer Refine Detection) was used. Positive staining on plasma in blood vessels of human testis. The section was incubated with ab309149 for 30 mins at room temperature. The immunostaining was performed on a Leica Biosystems BOND® RX instrument Counterstained with Hematoxylin. Secondary antibody only control : Secondary antibody is a ready to use LeicaDS9800 (Bond™ Polymer Refine Detection) was used. Heat mediated antigen retrieval using ab93678 (Citrate buffer, pH 6.0). for 20 mins.

Immunohistochemistry (Formalin/PFA-fixed paraffin-embedded sections) - Anti-Complement factor B antibody [EPR27443-6] (AB309149)
  • IHC-P

Supplier Data

Immunohistochemistry (Formalin/PFA-fixed paraffin-embedded sections) - Anti-Complement factor B antibody [EPR27443-6] (AB309149)

Immunohistochemical analysis of paraffin-embedded Human colon tissue labeling Complement factor B with ab309149 at 1/500 (1.092 ug/ml) followed by a ready to use LeicaDS9800 (Bond™ Polymer Refine Detection) was used. Positive staining on plasma in blood vessels of human colon. The section was incubated with ab309149 for 30 mins at room temperature. The immunostaining was performed on a Leica Biosystems BOND® RX instrument Counterstained with Hematoxylin. Secondary antibody only control : Secondary antibody is a ready to use LeicaDS9800 (Bond™ Polymer Refine Detection) was used. Heat mediated antigen retrieval using ab93678 (Citrate buffer, pH 6.0) for 20 mins.

Immunohistochemistry (Formalin/PFA-fixed paraffin-embedded sections) - Anti-Complement factor B antibody [EPR27443-6] (AB309149)
  • IHC-P

Supplier Data

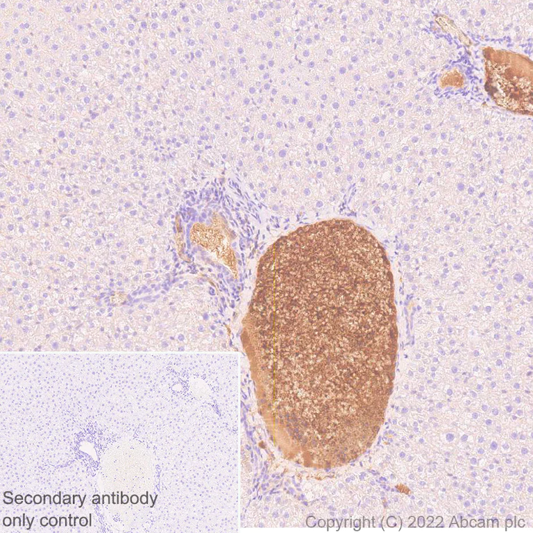
Immunohistochemistry (Formalin/PFA-fixed paraffin-embedded sections) - Anti-Complement factor B antibody [EPR27443-6] (AB309149)

Immunohistochemical analysis of paraffin-embedded Non-perfused fixed r tissue labeling Complement factor B with ab309149 at 1/500 (1.092 ug/ml) followed by a ready to use LeicaDS9800 (Bond™ Polymer Refine Detection) was used. Positive staining on plasma of non-perfused fixed rat liver. The section was incubated with ab309149 for 30 mins at room temperature. The immunostaining was performed on a Leica Biosystems BOND® RX instrument Counterstained with Hematoxylin. Secondary antibody only control : Secondary antibody is a ready to use LeicaDS9800 (Bond™ Polymer Refine Detection) was used. Heat mediated antigen retrieval using ab93678 (Citrate buffer, pH 6.0) for 20 mins.

Immunohistochemistry (Formalin/PFA-fixed paraffin-embedded sections) - Anti-Complement factor B antibody [EPR27443-6] (AB309149)
  • IHC-P

Supplier Data

Immunohistochemistry (Formalin/PFA-fixed paraffin-embedded sections) - Anti-Complement factor B antibody [EPR27443-6] (AB309149)

Immunohistochemical analysis of paraffin-embedded (A) Non-perfused fi tissue labeling Complement factor B with ab309149 at 1/500 (1.092 ug/ml) followed by a ready to use LeicaDS9800 (Bond™ Polymer Refine Detection). Positive staining on (A) plasma of non-perfused fixed mouse spleen. Negative staining on (B) perfused fixed mouse spleen. The section was incubated with ab309149 for 30 mins at room temperature. The immunostaining was performed on a Leica Biosystems BOND® RX instrument Counterstained with Hematoxylin. Secondary antibody only control : Secondary antibody is a ready to use LeicaDS9800 (Bond™ Polymer Refine Detection). Heat mediated antigen retrieval using ab93678 (Citrate buffer, pH 6.0) for 20 mins.

Western blot - Anti-Complement factor B antibody [EPR27443-6] (AB309149)
  • WB

Supplier Data

Western blot - Anti-Complement factor B antibody [EPR27443-6] (AB309149)

Blocking and diluting buffer and concentration : 5% NFDM/TBST The molecular weight observed is consistent with what has been described in the literature (PMID : 34147816). The 93 kDa band is Complement factor B and the 63 kDa is Complement factor B Bb fragment. Low expression : HaCaT (PMID : 28322200). In Western blot, anti- H3 antibody (ab176842) loading control staining at 1/100, 000 dilution. Exposure time : 180seconds

Lane 1:

HaCaT (human skin keratinocyte) whole cell lysate

Lane 2:

HCC1937 (human mammary gland epithelial cell) whole cell lysate at 20 µg

Observed band size: 93 kDa,63 kDa

false

Exposure time: 180s

Western blot - Anti-Complement factor B antibody [EPR27443-6] (AB309149)
  • WB

Supplier Data

Western blot - Anti-Complement factor B antibody [EPR27443-6] (AB309149)

Blocking and diluting buffer and concentration : 5% NFDM/TBST The molecular weight observed is consistent with what has been described in the literature (PMID : 34147816). The 93 kDa band is Complement factor B and the 63 kDa is Complement factor B Bb fragment. Lanes 1-6 : 2nd Ab at 1 : 20, 000 dilution; Lanes 7-8 : 2nd Ab at 1 : 100, 000 dilution. The blot of lanes 7 & 8 was developed using a high sensitivity ECL substrate. Exposure time : Lanes 1-6 : 10 seconds;_x000D_ Lanes 7-8 : 147 seconds.

Lane 1:

Human lung tissue lysate at 20 µg

Lane 2:

Human kidney tissue lysate at 20 µg

Lane 3:

Mouse lung tissue lysate at 20 µg

Lane 4:

Mouse kidney tissue lysate at 20 µg

Lane 5:

Rat lung tissue lysate at 20 µg

Lane 6:

Rat kidney tissue lysate at 20 µg

Lane 7:

Mouse liver tissue lysate at 20 µg

Lane 8:

Rat liver tissue lysate at 20 µg

Secondary

All lanes:

Western blot - Goat Anti-Rabbit IgG H&L (HRP) (<a href='/en-us/products/secondary-antibodies/goat-rabbit-igg-h-l-hrp-ab97051'>ab97051</a>) at 1/20000 dilution

Observed band size: 63 kDa,93 kDa

false

  • Carrier free

    Anti-Complement factor B antibody [EPR27443-6] - BSA and Azide free

Key facts

Host species

Rabbit

Clonality

Monoclonal

Clone number

EPR27443-6

Isotype

IgG

Carrier free

No

Reacts with

Rat, Human, Mouse

Applications

IHC-P, WB

applications

Immunogen

The exact immunogen used to generate this antibody is proprietary information.

Reactivity data

{ "title": "Reactivity Data", "filters": { "stats": ["", "Species", "Dilution Info", "Notes"], "tabs": { "all-applications": {"fullname" : "All Applications", "shortname": "All Applications"}, "WB" : {"fullname" : "Western blot", "shortname":"WB"}, "IHCP" : {"fullname" : "Immunohistochemistry (Formalin/PFA-fixed paraffin-embedded sections)", "shortname":"IHC-P"}, "ICCIF" : {"fullname" : "Immunocytochemistry/ Immunofluorescence", "shortname":"ICC/IF"}, "FlowCytIntra" : {"fullname" : "Flow Cytometry (Intracellular)", "shortname":"Flow Cyt (Intra)"}, "IP" : {"fullname" : "Immunoprecipitation", "shortname":"IP"} }, "product-promise": { "all": "all", "testedAndGuaranteed": "tested", "guaranteed": "expected", "predicted": "predicted", "notRecommended": "not-recommended" } }, "values": { "Human": { "WB-species-checked": "testedAndGuaranteed", "WB-species-dilution-info": "1/1000", "WB-species-notes": "<p></p>", "IHCP-species-checked": "testedAndGuaranteed", "IHCP-species-dilution-info": "1/500", "IHCP-species-notes": "<p></p> Perform heat-mediated antigen retrieval with citrate buffer pH 6 before commencing with IHC staining protocol.", "ICCIF-species-checked": "notRecommended", "ICCIF-species-dilution-info": "", "ICCIF-species-notes": "<p></p>", "FlowCytIntra-species-checked": "notRecommended", "FlowCytIntra-species-dilution-info": "", "FlowCytIntra-species-notes": "<p></p>", "IP-species-checked": "notRecommended", "IP-species-dilution-info": "", "IP-species-notes": "<p></p>" }, "Mouse": { "WB-species-checked": "testedAndGuaranteed", "WB-species-dilution-info": "1/1000", "WB-species-notes": "<p></p>", "IHCP-species-checked": "testedAndGuaranteed", "IHCP-species-dilution-info": "1/500", "IHCP-species-notes": "<p></p> Perform heat-mediated antigen retrieval with citrate buffer pH 6 before commencing with IHC staining protocol.", "ICCIF-species-checked": "notRecommended", "ICCIF-species-dilution-info": "", "ICCIF-species-notes": "<p></p>", "FlowCytIntra-species-checked": "notRecommended", "FlowCytIntra-species-dilution-info": "", "FlowCytIntra-species-notes": "<p></p>", "IP-species-checked": "notRecommended", "IP-species-dilution-info": "", "IP-species-notes": "" }, "Rat": { "WB-species-checked": "testedAndGuaranteed", "WB-species-dilution-info": "1/1000", "WB-species-notes": "<p></p>", "IHCP-species-checked": "testedAndGuaranteed", "IHCP-species-dilution-info": "1/500", "IHCP-species-notes": "<p></p> Perform heat-mediated antigen retrieval with citrate buffer pH 6 before commencing with IHC staining protocol.", "ICCIF-species-checked": "notRecommended", "ICCIF-species-dilution-info": "", "ICCIF-species-notes": "", "FlowCytIntra-species-checked": "notRecommended", "FlowCytIntra-species-dilution-info": "", "FlowCytIntra-species-notes": "", "IP-species-checked": "notRecommended", "IP-species-dilution-info": "", "IP-species-notes": "" } } }

Product details

Patented technology
Our RabMAb® technology is a patented hybridoma-based technology for making rabbit monoclonal antibodies. For details on our patents, please refer to RabMAb® patents.

What are the advantages of a recombinant monoclonal antibody?
This product is a recombinant monoclonal antibody, which offers several advantages including:

  • - High batch-to-batch consistency and reproducibility
  • - Improved sensitivity and specificity
  • - Long-term security of supply
  • - Animal-free batch production

For more information, read more on recombinant antibodies.

Properties and storage information

Form
Liquid
Purification technique
Affinity purification Protein A
Storage buffer
pH: 7.2 - 7.4 Preservative: 0.01% Sodium azide Constituents: PBS, 40% Glycerol (glycerin, glycerine), 0.05% BSA
Shipped at conditions
Blue Ice
Appropriate short-term storage duration
1-2 weeks
Appropriate short-term storage conditions
+4°C
Appropriate long-term storage conditions
-20°C
Aliquoting information
Upon delivery aliquot
Storage information
Avoid freeze / thaw cycle

Supplementary information

This supplementary information is collated from multiple sources and compiled automatically.

Complement factor B also known as CFB protein is a component of the complement system. It plays an important role in the alternative pathway. This protein with a molecular mass of approximately 93 kDa is produced mainly in the liver and expresses in various tissues throughout the body. Factor B comprises several domains including the von Willebrand factor type A domain essential for its activity. CFB engages in protein-protein interactions important for the function of the complement cascade.
Biological function summary

Complement factor B is essential in the immune system. It participates in the formation of the C3 convertase complex which is an important step in the amplification of the complement cascade. This protein contributes to the opsonization and clearance of pathogens assisting in the immune response. CFB binds with complement component C3b to participate in the alternative pathway which does not require antibody presence for activation.

Pathways

Complement factor B is part of the innate immune pathway. It helps mediate the alternative complement pathway acting as an amplifier of immune responses. This pathway interacts closely with the classical and lectin pathways ensuring a versatile defense mechanism. Factor D for example also plays a complementary role by cleaving factor B when bound to C3b to form C3 convertase a critical step in propagating the immune response.

Complement factor B associates with kidney-related diseases like atypical hemolytic uremic syndrome (aHUS). Mutations in CFB can lead to deregulated complement activation contributing to pathological conditions like age-related macular degeneration (AMD). The relationship with protein C3 is important in these disorders as both factor B and C3 engage in interactions that when dysfunctional influence disease outcomes. Understanding these interactions can help develop targeted therapies such as anti-complement agents to modulate the complement system in these diseases.

Product protocols

For this product, it's our understanding that no specific protocols are required. You can visit:

Target data

Factor B which is part of the alternate pathway of the complement system is cleaved by factor D into 2 fragments : Ba and Bb. Bb, a serine protease, then combines with complement factor 3b to generate the C3 or C5 convertase. It has also been implicated in proliferation and differentiation of preactivated B-lymphocytes, rapid spreading of peripheral blood monocytes, stimulation of lymphocyte blastogenesis and lysis of erythrocytes. Ba inhibits the proliferation of preactivated B-lymphocytes.
See full target information CFB

Product promise

We are committed to supporting your work with high-quality reagents, and we're here for you every step of the way. In the unlikely event that one of our products does not perform as expected, you're protected by our Product Promise.
For full details, please see our Terms & Conditions

Please note: All products are 'FOR RESEARCH USE ONLY. NOT FOR USE IN DIAGNOSTIC OR THERAPEUTIC PROCEDURES'.

For licensing inquiries, please contact partnerships@abcam.com