JavaScript is disabled in your browser. Please enable JavaScript to view this website.
AB109798

Anti-Complex I Immunocapture antibody [18G12BC2]

Be the first to review this product! Submit a review

|

(24 Publications)

Mouse Monoclonal Complex I antibody. Suitable for IP, ICC/IF, Flow Cyt and reacts with Mouse, Human, Cow, Rat samples. Cited in 24 publications.
4 Images
Flow Cytometry - Anti-Complex I Immunocapture antibody [18G12BC2] (AB109798)
  • Flow Cyt

Unknown

Flow Cytometry - Anti-Complex I Immunocapture antibody [18G12BC2] (AB109798)

HL-60 cells were stained with 1 µg/mL Complex I antibody ab109798 (blue) or an equal amount of an isotype control antibody (red) and analyzed by flow cytometry.

Flow Cytometry - Anti-Complex I Immunocapture antibody [18G12BC2] (AB109798)
  • Flow Cyt

Unknown

Flow Cytometry - Anti-Complex I Immunocapture antibody [18G12BC2] (AB109798)

Overlay histogram showing HepG2 cells stained with ab109798 (red line). The cells were fixed with 80% methanol (5 min) and then permeabilized with 0.1% PBS-Tween for 20 min. The cells were then incubated in 1x PBS / 10% normal goat serum / 0.3M glycine to block non-specific protein-protein interactions. The cells were then incubated with the antibody (ab109798, 2μg/1x106 cells) for 30 min at 22°C. The secondary antibody used was DyLight® 488 goat anti-mouse IgG (H+L) (ab96879) at 1/500 dilution for 30 min at 22°C. Isotype control antibody (black line) was mouse IgG2b [PLPV219] (ab91366, 2μg/1x106 cells ) used under the same conditions. Acquisition of >5,000 events was performed.

Immunoprecipitation - Anti-Complex I Immunocapture antibody [18G12BC2] (AB109798)
  • IP

Unknown

Immunoprecipitation - Anti-Complex I Immunocapture antibody [18G12BC2] (AB109798)

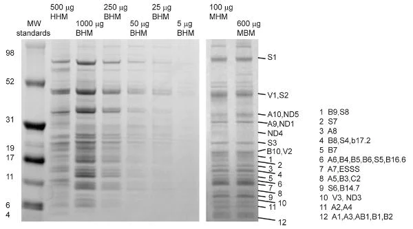
Complex I was immunopurified from mitochondria isolated from human heart (HHM), cow/bovine heart (BHM), mouse heart (MHM) and mouse brain (MBM). The lanes were stained with Coomassie Brilliant Blue R. Bands were excised from the gel and proteolytically digested for mass spectrometry analysis. For the immuno-isolation, 50 μg of mAb (18G12BC2 ab109798) was bound to 5 μl of swollen protein G agarose beads according to protocol described here.

All lanes:

Immunoprecipitation - Anti-Complex I Immunocapture antibody [18G12BC2] (ab109798)

false

Immunocytochemistry/ Immunofluorescence - Anti-Complex I Immunocapture antibody [18G12BC2] (AB109798)
  • ICC/IF

Unknown

Immunocytochemistry/ Immunofluorescence - Anti-Complex I Immunocapture antibody [18G12BC2] (AB109798)

Immunocytochemistry image of ab109798 stained fibroblasts cells. The cells were paraformaldehyde fixed (4%, 20 minutes) and Triton X-100 permeabilized (0.1%, 15 minutes). The cells were incubated with the antibody (ab109798, 1 µg/mL) for 2 hours at room temperature or over night at 4°C. The secondary antibody was (green) Alexa Fluor® 4884 goat anti-mouse IgG (H+L) at a 1/1000 dilution for 1 hour. 10% Goat serum was used as the blocking agent for all blocking steps. The target protein locates to the mitochondria.

Key facts

Host species

Mouse

Clonality

Monoclonal

Clone number

18G12BC2

Isotype

IgG2b

Light chain type

kappa

Carrier free

No

Reacts with

Mouse, Rat, Cow, Human

Applications

Flow Cyt, IP, ICC/IF

applications

Reactivity data

{ "title": "Reactivity Data", "filters": { "stats": ["", "Species", "Dilution Info", "Notes"], "tabs": { "all-applications": {"fullname" : "All Applications", "shortname": "All Applications"}, "IP" : {"fullname" : "Immunoprecipitation", "shortname":"IP"}, "ICCIF" : {"fullname" : "Immunocytochemistry/ Immunofluorescence", "shortname":"ICC/IF"}, "FlowCyt" : {"fullname" : "Flow Cytometry", "shortname":"Flow Cyt"} }, "product-promise": { "all": "all", "testedAndGuaranteed": "tested", "guaranteed": "expected", "predicted": "predicted", "notRecommended": "not-recommended" } }, "values": { "Human": { "IP-species-checked": "testedAndGuaranteed", "IP-species-dilution-info": "0.1-1 mg/mL", "IP-species-notes": "<p>100 μg mAb can capture at least 25 μg complex I from 1 mg solubilized bovine heart mitochondria.</p>", "ICCIF-species-checked": "testedAndGuaranteed", "ICCIF-species-dilution-info": "", "ICCIF-species-notes": "<p></p>", "FlowCyt-species-checked": "testedAndGuaranteed", "FlowCyt-species-dilution-info": "", "FlowCyt-species-notes": "<p></p>" }, "Mouse": { "IP-species-checked": "testedAndGuaranteed", "IP-species-dilution-info": "0.1-1 mg/mL", "IP-species-notes": "<p>100 μg mAb can capture at least 25 μg complex I from 1 mg solubilized bovine heart mitochondria.</p>", "ICCIF-species-checked": "guaranteed", "ICCIF-species-dilution-info": "", "ICCIF-species-notes": "<p></p>", "FlowCyt-species-checked": "guaranteed", "FlowCyt-species-dilution-info": "", "FlowCyt-species-notes": "" }, "Rat": { "IP-species-checked": "guaranteed", "IP-species-dilution-info": "0.1-1 mg/mL", "IP-species-notes": "<p>100 μg mAb can capture at least 25 μg complex I from 1 mg solubilized bovine heart mitochondria.</p>", "ICCIF-species-checked": "guaranteed", "ICCIF-species-dilution-info": "", "ICCIF-species-notes": "<p></p>", "FlowCyt-species-checked": "guaranteed", "FlowCyt-species-dilution-info": "", "FlowCyt-species-notes": "<p></p>" }, "Cow": { "IP-species-checked": "testedAndGuaranteed", "IP-species-dilution-info": "0.1-1 mg/mL", "IP-species-notes": "<p>100 μg mAb can capture at least 25 μg complex I from 1 mg solubilized bovine heart mitochondria.</p>", "ICCIF-species-checked": "guaranteed", "ICCIF-species-dilution-info": "", "ICCIF-species-notes": "<p></p>", "FlowCyt-species-checked": "guaranteed", "FlowCyt-species-dilution-info": "", "FlowCyt-species-notes": "" } } }

Product details

Want a custom formulation?
This antibody clone is manufactured by Abcam. If you require a custom buffer formulation or conjugation for your experiments, please contact orders@abcam.com

Properties and storage information

Form
Liquid
Purity
IgG fraction
Purification notes
Near homogeneity as judged by SDS-PAGE. The antibody was produced in vitro using hybridomas grown in serum-free medium, and then purified by biochemical fractionation.
Storage buffer
pH: 7.5 Preservative: 0.02% Sodium azide Constituents: 99% HEPES buffered saline
Shipped at conditions
Blue Ice
Appropriate short-term storage conditions
+4°C
Appropriate long-term storage conditions
+4°C
Storage information
Do Not Freeze

Supplementary information

This supplementary information is collated from multiple sources and compiled automatically.

Complex I also known as NADH:ubiquinone oxidoreductase is a large enzyme complex in the mitochondrial inner membrane. It weighs approximately 980 kDa and plays an important role in the electron transport chain. Complex I is responsible for transferring electrons from NADH to ubiquinone initiating the production of ATP. This complex contains multiple subunits and constitutes the largest component of the mitochondrial respiratory chain. Researchers distinguish it with names like Complex I or mitochondrial Complex 1. It is ubiquitously expressed in the mitochondria of eukaryotic cells.
Biological function summary

Complex I plays an integral role in cellular energy production. It forms the first part of the oxidative phosphorylation system and is essential for ATP synthesis. Complex I is part of a larger structure called the mitochondrial complex which includes several other enzyme complexes working in concert. The electrons move through the complexes generating a proton gradient that the ATP synthase uses to produce ATP. Disruption in Complex I's function can lead to disturbed energy balance within the cell.

Pathways

Complex I contributes significantly to the oxidative phosphorylation pathway. This pathway is fundamental for aerobic respiration and the production of cellular ATP. Complex I interacts with other components such as cytochrome c and Complex III. Electron flow through these complexes facilitates the conversion of energy stored in NADH into a usable form driving metabolic processes. Dysfunction in this pathway can affect energy extraction from nutrients and overall cellular performance.

Defective Complex I has links to neurodegenerative diseases such as Parkinson's disease and mitochondrial disorders like Leigh syndrome. Mutations in the components of Complex I can disrupt electron transport leading to decreased ATP production and increased reactive oxygen species. This damage affects tissues with high energy demands especially neurons. For example Complex I abnormalities may compromise the scavenging activity of related proteins like superoxide dismutase which exacerbates oxidative stress and neuronal damage.

Product protocols

For this product, it's our understanding that no specific protocols are required. You can visit:

Publications (24)

Recent publications for all applications. Explore the full list and refine your search

Acta pharmaceutica Sinica. B 14:5435-5450 PubMed39807326

2025

Nanoengineered mitochondria enable ocular mitochondrial disease therapy the replacement of dysfunctional mitochondria.

Applications

Unspecified application

Species

Unspecified reactive species

Yi Wang,Nahui Liu,Lifan Hu,Jingsong Yang,Mengmeng Han,Tianjiao Zhou,Lei Xing,Hulin Jiang

Journal of autoimmunity 140:103112 PubMed37742509

2023

mTOR-dependent loss of PON1 secretion and antiphospholipid autoantibody production underlie autoimmunity-mediated cirrhosis in transaldolase deficiency.

Applications

Unspecified application

Species

Unspecified reactive species

T Winans,Z Oaks,G Choudhary,A Patel,N Huang,T Faludi,D Krakko,J Nolan,J Lewis,Sarah Blair,Z Lai,S K Landas,F Middleton,J M Asara,S K Chung,B Wyman,P Azadi,K Banki,A Perl

iScience 26:107446 PubMed37599822

2023

Mutational burden of XPNPEP3 leads to defects in mitochondrial complex I and cilia in NPHPL1.

Applications

Unspecified application

Species

Unspecified reactive species

Lingxiao Tong,Jia Rao,Chenxi Yang,Jie Xu,Yijun Lu,Yuchen Zhang,Xiaohui Cang,Shanshan Xie,Jianhua Mao,Pingping Jiang

Nature metabolism 5:41-60 PubMed36658399

2023

Cytosolic aldose metabolism contributes to progression from cirrhosis to hepatocarcinogenesis.

Applications

Unspecified application

Species

Unspecified reactive species

Z Oaks,A Patel,N Huang,G Choudhary,T Winans,T Faludi,D Krakko,M Duarte,J Lewis,M Beckford,S Blair,R Kelly,S K Landas,F A Middleton,J M Asara,S K Chung,D R Fernandez,K Banki,A Perl

Cancer research 82:4164-4178 PubMed36084256

2022

An Exercise-Induced Metabolic Shield in Distant Organs Blocks Cancer Progression and Metastatic Dissemination.

Applications

Unspecified application

Species

Unspecified reactive species

Danna Sheinboim,Shivang Parikh,Paulee Manich,Irit Markus,Sapir Dahan,Roma Parikh,Elisa Stubbs,Gali Cohen,Valentina Zemser-Werner,Rachel E Bell,Sara Arciniegas Ruiz,Ruth Percik,Ronen Brenner,Stav Leibou,Hananya Vaknine,Gali Arad,Yariv Gerber,Lital Keinan-Boker,Tal Shimony,Lior Bikovski,Nir Goldstein,Keren Constantini,Sapir Labes,Shimonov Mordechai,Hila Doron,Ariel Lonescu,Tamar Ziv,Eran Nizri,Guy Choshen,Hagit Eldar-Finkelman,Yuval Tabach,Aharon Helman,Shamgar Ben-Eliyahu,Neta Erez,Eran Perlson,Tamar Geiger,Danny Ben-Zvi,Mehdi Khaled,Yftach Gepner,Carmit Levy

The Journal of clinical investigation 131: PubMed33393495

2021

Targeting the mitochondrial trifunctional protein restrains tumor growth in oxidative lung carcinomas.

Applications

Unspecified application

Species

Unspecified reactive species

Nivea Dias Amoedo,Saharnaz Sarlak,Emilie Obre,Pauline Esteves,Hugues Bégueret,Yann Kieffer,Benoît Rousseau,Alexis Dupis,Julien Izotte,Nadège Bellance,Laetitia Dard,Isabelle Redonnet-Vernhet,Giuseppe Punzi,Mariana Figueiredo Rodrigues,Elodie Dumon,Walid Mafhouf,Véronique Guyonnet-Dupérat,Lara Gales,Tony Palama,Floriant Bellvert,Nathalie Dugot-Senan,Stéphane Claverol,Jean-Marc Baste,Didier Lacombe,Hamid Reza Rezvani,Ciro Leonardo Pierri,Fatima Mechta-Grigoriou,Matthieu Thumerel,Rodrigue Rossignol

Nature 583:603-608 PubMed32641832

2020

Glucose metabolism links astroglial mitochondria to cannabinoid effects.

Applications

Unspecified application

Species

Unspecified reactive species

Daniel Jimenez-Blasco,Arnau Busquets-Garcia,Etienne Hebert-Chatelain,Roman Serrat,Carlos Vicente-Gutierrez,Christina Ioannidou,Paula Gómez-Sotres,Irene Lopez-Fabuel,Monica Resch-Beusher,Eva Resel,Dorian Arnouil,Dave Saraswat,Marjorie Varilh,Astrid Cannich,Francisca Julio-Kalajzic,Itziar Bonilla-Del Río,Angeles Almeida,Nagore Puente,Svein Achicallende,Maria-Luz Lopez-Rodriguez,Charlotte Jollé,Nicole Déglon,Luc Pellerin,Charlène Josephine,Gilles Bonvento,Aude Panatier,Beat Lutz,Pier-Vincenzo Piazza,Manuel Guzmán,Luigi Bellocchio,Anne-Karine Bouzier-Sore,Pedro Grandes,Juan P Bolaños,Giovanni Marsicano

Neurobiology of aging 94:140-148 PubMed32623260

2020

In vivo positron emission tomography imaging of mitochondrial abnormalities in a mouse model of tauopathy.

Applications

Unspecified application

Species

Unspecified reactive species

Anna M Barron,Bin Ji,Masayuki Fujinaga,Ming-Rong Zhang,Tetsuya Suhara,Naruhiko Sahara,Ichio Aoki,Hideo Tsukada,Makoto Higuchi

The Journal of biological chemistry 295:2544-2554 PubMed31974161

2020

Pulse-chase SILAC-based analyses reveal selective oversynthesis and rapid turnover of mitochondrial protein components of respiratory complexes.

Applications

Unspecified application

Species

Unspecified reactive species

Daniel F Bogenhagen,John D Haley

Cell host & microbe 24:625-636.e5 PubMed30449314

2018

Mitochondria-Derived Vesicles Deliver Antimicrobial Reactive Oxygen Species to Control Phagosome-Localized Staphylococcus aureus.

Applications

Unspecified application

Species

Unspecified reactive species

Basel H Abuaita,Tracey L Schultz,Mary X O'Riordan
View all publications

Product promise

We are committed to supporting your work with high-quality reagents, and we're here for you every step of the way. In the unlikely event that one of our products does not perform as expected, you're protected by our Product Promise.
For full details, please see our Terms & Conditions

Please note: All products are 'FOR RESEARCH USE ONLY. NOT FOR USE IN DIAGNOSTIC OR THERAPEUTIC PROCEDURES'.

For licensing inquiries, please contact partnerships@abcam.com