JavaScript is disabled in your browser. Please enable JavaScript to view this website.
AB300413

Anti-Connexin 32 / GJB1 antibody [EPR26417-44] - BSA and Azide free

Be the first to review this product! Submit a review

|

(0 Publication)

Rabbit Recombinant Monoclonal Connexin 32 / GJB1 antibody. Carrier free. Suitable for IP, IHC-Fr, IHC-P, WB and reacts with Mouse, Rat, Human samples.

View Alternative Names

CX32, GJB1, Gap junction beta-1 protein, Connexin-32, GAP junction 28 kDa liver protein, Cx32

13 Images
Immunohistochemistry (Formalin/PFA-fixed paraffin-embedded sections) - Anti-Connexin 32 / GJB1 antibody [EPR26417-44] - BSA and Azide free (AB300413)
  • IHC-P

Lab

Immunohistochemistry (Formalin/PFA-fixed paraffin-embedded sections) - Anti-Connexin 32 / GJB1 antibody [EPR26417-44] - BSA and Azide free (AB300413)

This data was developed using ab300401, the same antibody clone in a different buffer formulation.

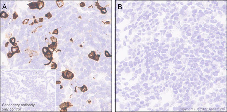
Immunohistochemical analysis of paraffin-embedded HEK-293T tissue labelling Connexin 32 / GJB1 with ab300401 at 1/500 followed by a ready to use LeicaDS9800 (BOND Polymer Refine Detection kit).

Positive staining on (A) HEK-293T transfected with a mouse Gjb1 expression vector, no staining on (B) HEK-293T transfected with empty vector.

The section was incubated with ab300401 for 30 mins at room temperature. The immunostaining was performed on a Leica Biosystems BOND® RX instrument.

Counterstained with Hematoxylin.

Secondary antibody only control : PBS was used instead of primary antibody followed by a ready to use secondary antibody LeicaDS9800 (BOND Polymer Refine Detection kit).

Heat mediated antigen retrieval with Tris-EDTA buffer (pH 9.0, epitope retrieval solution 2) for 20 mins.

Immunohistochemistry (Formalin/PFA-fixed paraffin-embedded sections) - Anti-Connexin 32 / GJB1 antibody [EPR26417-44] - BSA and Azide free (AB300413)
  • IHC-P

Lab

Immunohistochemistry (Formalin/PFA-fixed paraffin-embedded sections) - Anti-Connexin 32 / GJB1 antibody [EPR26417-44] - BSA and Azide free (AB300413)

This data was developed using ab300401, the same antibody clone in a different buffer formulation.

Immunohistochemical analysis of paraffin-embedded human liver tissue labelling Connexin 32/ GJB1 with ab300401 at 1/500 followed by a ready to use LeicaDS9800 (BOND Polymer Refine Detection kit).

Positive staining in human liver.

The section was incubated with ab300401 for 30 mins at room temperature. The immunostaining was performed on a Leica Biosystems BOND® RX instrument.

Counterstained with Hematoxylin.

Secondary antibody only control : PBS was used instead of primary antibody followed by a ready to use secondary antibody LeicaDS9800 (BOND Polymer Refine Detection).

Heat mediated antigen retrieval with Tris-EDTA buffer (pH 9.0, epitope retrieval solution 2) for 20 mins.

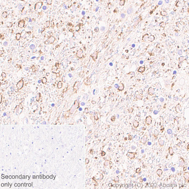
Immunohistochemistry (Formalin/PFA-fixed paraffin-embedded sections) - Anti-Connexin 32 / GJB1 antibody [EPR26417-44] - BSA and Azide free (AB300413)
  • IHC-P

Lab

Immunohistochemistry (Formalin/PFA-fixed paraffin-embedded sections) - Anti-Connexin 32 / GJB1 antibody [EPR26417-44] - BSA and Azide free (AB300413)

This data was developed using ab300401, the same antibody clone in a different buffer formulation.

Immunohistochemical analysis of paraffin-embedded human spinal cord tissue labelling Connexin 32 / GJB1 with ab300401 at 1/500 followed by a ready to use LeicaDS9800 (BOND Polymer Refine Detection kit).

Positive staining in human spinal cord.

The section was incubated with ab300401 for 30 mins at room temperature. The immunostaining was performed on a Leica Biosystems BOND® RX instrument.

Counterstained with Hematoxylin.

Secondary antibody only control : PBS was used instead of primary antibody followed by a ready to use secondary antibody LeicaDS9800 (BOND Polymer Refine Detection kit).

Heat mediated antigen retrieval with Tris-EDTA buffer (pH 9.0, epitope retrieval solution 2) for 20 mins.

Immunohistochemistry (Frozen sections) - Anti-Connexin 32 / GJB1 antibody [EPR26417-44] - BSA and Azide free (AB300413)
  • IHC-Fr

Lab

Immunohistochemistry (Frozen sections) - Anti-Connexin 32 / GJB1 antibody [EPR26417-44] - BSA and Azide free (AB300413)

This data was developed using ab300401, the same antibody clone in a different buffer formulation.

Immunohistochemical analysis of 4% PFA-fixed, 0.2% Triton X-100 permeabilized frozen rat liver (fresh) tissue labeling Connexin 32 / GJB1 with ab300401 at 1/100 dilution followed by ab150081 Goat Anti-Rabbit IgG H&L (Alexa Fluor® 488) preadsorbed at 1/1000 dilution (Green).

Positive staining on rat liver is observed.

The nuclear counterstain was DAPI (Blue).

Secondary antibody control : PBS was used instead of primary antibody followed by secondary antibody ab150081 Goat Anti-Rabbit IgG H&L (Alexa Fluor® 488) preadsorbed at 1/1000 dilution.

Immunohistochemistry (Formalin/PFA-fixed paraffin-embedded sections) - Anti-Connexin 32 / GJB1 antibody [EPR26417-44] - BSA and Azide free (AB300413)
  • IHC-P

Lab

Immunohistochemistry (Formalin/PFA-fixed paraffin-embedded sections) - Anti-Connexin 32 / GJB1 antibody [EPR26417-44] - BSA and Azide free (AB300413)

This data was developed using ab300401, the same antibody clone in a different buffer formulation.

Immunohistochemical analysis of paraffin-embedded mouse liver tissue labelling Connexin 32 / GJB1 with ab300401 at 1/10000 followed by a ready to use LeicaDS9800 (BOND Polymer Refine Detection kit).

Positive staining in mouse liver.

The section was incubated with ab300401 for 30 mins at room temperature. The immunostaining was performed on a Leica Biosystems BOND® RX instrument.

Counterstained with Hematoxylin.

Secondary antibody only control : PBS was used instead of primary antibody followed by a ready to use secondary antibody LeicaDS9800 (BOND Polymer Refine Detection kit).

Heat mediated antigen retrieval with Tris-EDTA buffer (pH 9.0, epitope retrieval solution 2) for 20 mins.

Immunohistochemistry (Frozen sections) - Anti-Connexin 32 / GJB1 antibody [EPR26417-44] - BSA and Azide free (AB300413)
  • IHC-Fr

Lab

Immunohistochemistry (Frozen sections) - Anti-Connexin 32 / GJB1 antibody [EPR26417-44] - BSA and Azide free (AB300413)

This data was developed using ab300401, the same antibody clone in a different buffer formulation.

Immunohistochemical analysis of 4% PFA-fixed, 0.2% Triton X-100 permeabilized frozen rat spleen (fresh) tissue labeling Connexin 32 / GJB1 with ab300401 at 1/100 dilution followed by ab150081 Goat Anti-Rabbit IgG H&L (Alexa Fluor® 488) preadsorbed at 1/1000 dilution (Green).

Low expression control (PMID : 2557354).

No staining on rat spleen is observed.

The nuclear counterstain was DAPI (Blue).

Secondary antibody control : Secondary antibody is ab150081 Goat Anti-Rabbit IgG H&L (Alexa Fluor® 488) preadsorbed at 1/1000 dilution.

Immunohistochemistry (Frozen sections) - Anti-Connexin 32 / GJB1 antibody [EPR26417-44] - BSA and Azide free (AB300413)
  • IHC-Fr

Lab

Immunohistochemistry (Frozen sections) - Anti-Connexin 32 / GJB1 antibody [EPR26417-44] - BSA and Azide free (AB300413)

This data was developed using ab300401, the same antibody clone in a different buffer formulation.

Immunohistochemical analysis of 4% PFA-fixed, 0.2% Triton X-100 permeabilized frozen mouse spleen (fresh) tissue labeling Connexin 32 / GJB1 with ab300401 at 1/100 dilution followed by ab150081 Goat Anti-Rabbit IgG H&L (Alexa Fluor® 488) preadsorbed at 1/1000 dilution (Green).

Low expression control (PMID : 2557354).

No staining on mouse spleen is observed.

The nuclear counterstain was DAPI (Blue).

Secondary antibody control : PBS was used instead of primary antibody followed by secondary antibody ab150081 Goat Anti-Rabbit IgG H&L (Alexa Fluor® 488) preadsorbed at 1/1000 dilution.

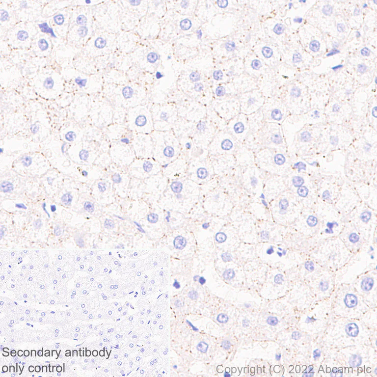
Immunohistochemistry (Formalin/PFA-fixed paraffin-embedded sections) - Anti-Connexin 32 / GJB1 antibody [EPR26417-44] - BSA and Azide free (AB300413)
  • IHC-P

Lab

Immunohistochemistry (Formalin/PFA-fixed paraffin-embedded sections) - Anti-Connexin 32 / GJB1 antibody [EPR26417-44] - BSA and Azide free (AB300413)

This data was developed using ab300401, the same antibody clone in a different buffer formulation.

Immunohistochemical analysis of paraffin-embedded rat liver tissue labelling Connexin 32 / GJB1 with ab300401 at 1/10000 followed by a ready to use LeicaDS9800 (BOND Polymer Refine Detection kit).

Positive staining in rat liver.

The section was incubated with ab300401 for 30 mins at room temperature. The immunostaining was performed on a Leica Biosystems BOND® RX instrument.

Counterstained with Hematoxylin.

Secondary antibody only control : PBS was used instead of primary antibody followed by a ready to use secondary antibody LeicaDS9800 (BOND Polymer Refine Detection kit).

Heat mediated antigen retrieval with Tris-EDTA buffer (pH 9.0, epitope retrieval solution 2) for 20 mins.

Immunohistochemistry (Frozen sections) - Anti-Connexin 32 / GJB1 antibody [EPR26417-44] - BSA and Azide free (AB300413)
  • IHC-Fr

Lab

Immunohistochemistry (Frozen sections) - Anti-Connexin 32 / GJB1 antibody [EPR26417-44] - BSA and Azide free (AB300413)

This data was developed using ab300401, the same antibody clone in a different buffer formulation.

Immunohistochemical analysis of 4% PFA-fixed, 0.2% Triton X-100 permeabilized frozen mouse liver (fresh) tissue labeling Connexin 32 / GJB1 with ab300401 at 1/100 dilution followed by ab150081 Goat Anti-Rabbit IgG H&L (Alexa Fluor® 488) preadsorbed at 1/1000 dilution (Green).

Positive staining on mouse liver is observed.

The nuclear counterstain was DAPI (Blue).

Secondary antibody control : Secondary antibody is ab150081 Goat Anti-Rabbit IgG H&L (Alexa Fluor® 488) preadsorbed at 1/1000 dilution.

Immunohistochemistry (Formalin/PFA-fixed paraffin-embedded sections) - Anti-Connexin 32 / GJB1 antibody [EPR26417-44] - BSA and Azide free (AB300413)
  • IHC-P

Lab

Immunohistochemistry (Formalin/PFA-fixed paraffin-embedded sections) - Anti-Connexin 32 / GJB1 antibody [EPR26417-44] - BSA and Azide free (AB300413)

This data was developed using ab300401, the same antibody clone in a different buffer formulation.

Immunohistochemical analysis of paraffin-embedded mouse cardiac muscle tissue labelling Connexin 32 / GJB1 with ab300401 at 1/10000 followed by a ready to use LeicaDS9800 (BOND Polymer Refine Detection kit).

Negative control : no staining in mouse cardiac muscle.

The section was incubated with ab300401 for 30 mins at room temperature. The immunostaining was performed on a Leica Biosystems BOND® RX instrument.

Counterstained with Hematoxylin.

Secondary antibody only control : PBS was used instead of primary antibody followed by a ready to use secondary antibody LeicaDS9800 (BOND Polymer Refine Detection kit).

Heat mediated antigen retrieval with Tris-EDTA buffer (pH 9.0, epitope retrieval solution 2) for 20 mins.

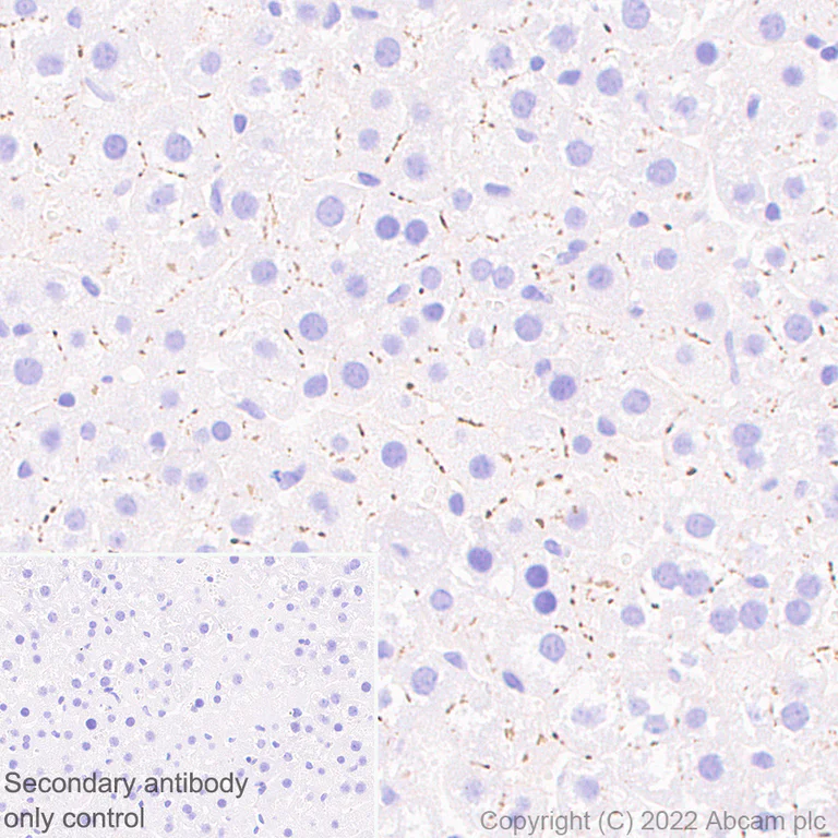
Immunohistochemistry (Formalin/PFA-fixed paraffin-embedded sections) - Anti-Connexin 32 / GJB1 antibody [EPR26417-44] - BSA and Azide free (AB300413)
  • IHC-P

Lab

Immunohistochemistry (Formalin/PFA-fixed paraffin-embedded sections) - Anti-Connexin 32 / GJB1 antibody [EPR26417-44] - BSA and Azide free (AB300413)

This data was developed using ab300401, the same antibody clone in a different buffer formulation.

Immunohistochemical analysis of paraffin-embedded mouse brain stem tissue labelling Connexin 32 / GJB1 with ab300401 at 1/10000 followed by a ready to use LeicaDS9800 (BOND Polymer Refine Detection kit).

Positive staining in mouse brain stem.

The section was incubated with ab300401 for 30 mins at room temperature. The immunostaining was performed on a Leica Biosystems BOND® RX instrument.

Counterstained with Hematoxylin.

Secondary antibody only control : PBS was used instead of primary antibody followed by a ready to use secondary antibody LeicaDS9800 (BOND Polymer Refine Detection kit).

Heat mediated antigen retrieval with Tris-EDTA buffer (pH 9.0, epitope retrieval solution 2) for 20 mins.

Immunoprecipitation - Anti-Connexin 32 / GJB1 antibody [EPR26417-44] - BSA and Azide free (AB300413)
  • IP

Lab

Immunoprecipitation - Anti-Connexin 32 / GJB1 antibody [EPR26417-44] - BSA and Azide free (AB300413)

This data was developed using ab300401, the same antibody clone in a different buffer formulation.

Connexin 32 / GJB1 was immunoprecipitated from 0.35 mg mouse liver tissue lysate 10 µg with ab300401 at 1/30 dilution (2 µg in 0.35mg lysates). Western blot was performed on the immunoprecipitate using ab300401 at 1/1000 dilution. VeriBlot for IP secondary antibody (HRP)(ab131366) was used at 1/5000 dilution.

26-kDa Cx32 monomer, 48-kDa Cx32 dimers and 75-kDa trimers are observed. The molecular weight observed is consistent with what has been described in the literature (PMID : 17972320).

Blocking and dilution buffer and concentration : 5% NFDM/TBST.

All lanes:

Immunoprecipitation - Anti-Connexin 32 / GJB1 antibody [EPR26417-44] (<a href='/en-us/products/primary-antibodies/connexin-32-gjb1-antibody-epr26417-44-ab300401'>ab300401</a>) at 1/1000 dilution

Lane 1:

Mouse liver tissue lysate at 10 µg

Lane 2:

<a href='/en-us/products/primary-antibodies/connexin-32-gjb1-antibody-epr26417-44-ab300401'>ab300401</a> at 1/30 IP in Mouse liver tissue lysate at 10 µg

Lane 3:

Rabbit monoclonal IgG (<a href='/en-us/products/primary-antibodies/rabbit-igg-monoclonal-epr25a-isotype-control-ab172730'>ab172730</a>) instead of <a href='/en-us/products/primary-antibodies/connexin-32-gjb1-antibody-epr26417-44-ab300401'>ab300401</a> in mouse liver tissue lysate at 10 µg

Secondary

All lanes:

Immunoprecipitation - VeriBlot for IP Detection Reagent (HRP) (<a href='/en-us/products/reagents/veriblot-for-ip-detection-reagent-hrp-ab131366'>ab131366</a>) at 1/5000 dilution

Observed band size: 26 kDa,48 kDa,75 kDa

false

Exposure time: 6s

Western blot - Anti-Connexin 32 / GJB1 antibody [EPR26417-44] - BSA and Azide free (AB300413)
  • WB

Lab

Western blot - Anti-Connexin 32 / GJB1 antibody [EPR26417-44] - BSA and Azide free (AB300413)

This data was developed using ab300401, the same antibody clone in a different buffer formulation.

Blocking and diluting buffer and concentration : 5% NFDM/TBST.

In Western blot, Anti-GAPDH antibody [EPR16891] - Loading Control (ab181602) staining.

26-kDa Cx32 monomers and 48-kDa Cx32 dimers are observed. The  molecular weight observed is consistent with what has been described in the literature (PMID : 17972320).

Low expression tissue : lung (PMID : 2557354).

All lanes:

Western blot - Anti-Connexin 32 / GJB1 antibody [EPR26417-44] (<a href='/en-us/products/primary-antibodies/connexin-32-gjb1-antibody-epr26417-44-ab300401'>ab300401</a>) at 1/1000 dilution

Lane 1:

Human spinal cord tissue lysate at 20 µg

Lane 2:

Human lung tissue lysate at 20 µg

Secondary

All lanes:

Goat Anti-Rabbit IgG (HRP) with minimal cross-reactivity with human IgG at 1/2000 dilution

Observed band size: 26 kDa,48 kDa

false

Exposure time: 125s

  • Unconjugated

    Anti-Connexin 32 / GJB1 antibody [EPR26417-44]

Key facts

Host species

Rabbit

Clonality

Monoclonal

Clone number

EPR26417-44

Isotype

IgG

Carrier free

Yes

Reacts with

Rat, Mouse, Human

Applications

IHC-P, IHC-Fr, WB, IP

applications

Immunogen

The exact immunogen used to generate this antibody is proprietary information.

Specificity

This antibody may not be suitable for cell lines in Western Blot.

Reactivity data

{ "title": "Reactivity Data", "filters": { "stats": ["", "Species", "Dilution Info", "Notes"], "tabs": { "all-applications": {"fullname" : "All Applications", "shortname": "All Applications"}, "IP" : {"fullname" : "Immunoprecipitation", "shortname":"IP"}, "FlowCytIntra" : {"fullname" : "Flow Cytometry (Intracellular)", "shortname":"Flow Cyt (Intra)"}, "IHCFr" : {"fullname" : "Immunohistochemistry (Frozen sections)", "shortname":"IHC-Fr"}, "IHCP" : {"fullname" : "Immunohistochemistry (Formalin/PFA-fixed paraffin-embedded sections)", "shortname":"IHC-P"}, "WB" : {"fullname" : "Western blot", "shortname":"WB"}, "ICCIF" : {"fullname" : "Immunocytochemistry/ Immunofluorescence", "shortname":"ICC/IF"} }, "product-promise": { "all": "all", "testedAndGuaranteed": "tested", "guaranteed": "expected", "predicted": "predicted", "notRecommended": "not-recommended" } }, "values": { "Human": { "IP-species-checked": "notRecommended", "IP-species-dilution-info": "", "IP-species-notes": "<p></p>", "FlowCytIntra-species-checked": "notRecommended", "FlowCytIntra-species-dilution-info": "", "FlowCytIntra-species-notes": "<p></p>", "IHCFr-species-checked": "guaranteed", "IHCFr-species-dilution-info": "", "IHCFr-species-notes": "", "IHCP-species-checked": "testedAndGuaranteed", "IHCP-species-dilution-info": "", "IHCP-species-notes": "<p></p>", "WB-species-checked": "testedAndGuaranteed", "WB-species-dilution-info": "", "WB-species-notes": "<p></p>", "ICCIF-species-checked": "notRecommended", "ICCIF-species-dilution-info": "", "ICCIF-species-notes": "<p></p>" }, "Mouse": { "IP-species-checked": "testedAndGuaranteed", "IP-species-dilution-info": "", "IP-species-notes": "<p></p>", "FlowCytIntra-species-checked": "notRecommended", "FlowCytIntra-species-dilution-info": "", "FlowCytIntra-species-notes": "<p></p>", "IHCFr-species-checked": "testedAndGuaranteed", "IHCFr-species-dilution-info": "", "IHCFr-species-notes": "<p></p>", "IHCP-species-checked": "testedAndGuaranteed", "IHCP-species-dilution-info": "", "IHCP-species-notes": "<p></p>", "WB-species-checked": "testedAndGuaranteed", "WB-species-dilution-info": "", "WB-species-notes": "<p></p>", "ICCIF-species-checked": "notRecommended", "ICCIF-species-dilution-info": "", "ICCIF-species-notes": "<p></p>" }, "Rat": { "IP-species-checked": "guaranteed", "IP-species-dilution-info": "", "IP-species-notes": "", "FlowCytIntra-species-checked": "notRecommended", "FlowCytIntra-species-dilution-info": "", "FlowCytIntra-species-notes": "", "IHCFr-species-checked": "testedAndGuaranteed", "IHCFr-species-dilution-info": "", "IHCFr-species-notes": "<p></p>", "IHCP-species-checked": "testedAndGuaranteed", "IHCP-species-dilution-info": "", "IHCP-species-notes": "<p></p>", "WB-species-checked": "testedAndGuaranteed", "WB-species-dilution-info": "", "WB-species-notes": "<p></p>", "ICCIF-species-checked": "notRecommended", "ICCIF-species-dilution-info": "", "ICCIF-species-notes": "" } } }

Product details

Compatibility
This product is compatible with the Maxpar® Antibody Labeling Kit from Fluidigm, without the need for antibody preparation. Maxpar® is a trademark of Fluidigm Canada Inc.

Conjugation ready
Our carrier-free antibodies are typically supplied in a PBS-only formulation, purified and free of BSA, sodium azide and glycerol. This conjugation-ready format is designed for use with fluorochromes, metal isotopes, oligonucleotides, and enzymes, which makes them ideal for antibody labelling, functional and cell-based assays, flow-based assays (e.g. mass cytometry) and Multiplex Imaging applications.

Use our conjugation kits for antibody conjugates that are ready-to-use in as little as 20 minutes with 1 minute hands-on-time and 100% antibody recovery: available for fluorescent dyes, HRP, biotin and gold.

Patented technology
Our RabMAb® technology is a patented hybridoma-based technology for making rabbit monoclonal antibodies. For details on our patents, please refer to RabMAb® patents.

What are the advantages of a recombinant monoclonal antibody?
This product is a recombinant monoclonal antibody, which offers several advantages including:

  • - High batch-to-batch consistency and reproducibility
  • - Improved sensitivity and specificity
  • - Long-term security of supply
  • - Animal-free batch production

For more information, read more on recombinant antibodies.

Properties and storage information

Form
Liquid
Purification technique
Affinity purification Protein A
Storage buffer
pH: 7.2 - 7.4 Constituents: PBS
Shipped at conditions
Blue Ice
Appropriate short-term storage conditions
+4°C
Appropriate long-term storage conditions
+4°C
Aliquoting information
Upon delivery aliquot
Storage information
Do Not Freeze

Supplementary information

This supplementary information is collated from multiple sources and compiled automatically.

Connexin 32 also known as GJB1 is a gap junction protein with a molecular mass of approximately 32 kDa. This protein facilitates direct intercellular communication by forming gap junction channels that allow ions and small molecules to pass between adjacent cells. Connexin 32 is expressed in various tissues including liver pancreas and many types of epithelial cells. Its expression ensures cells can synchronize their activities important for maintaining tissue homeostasis.
Biological function summary

Connexin 32 plays a significant role in maintaining cellular communication networks. This protein forms hexameric complexes called connexons which dock with connexons of adjacent cells to create functional gap junction channels. These channels are essential in processes such as maintaining homeostasis cell differentiation and synchronized contraction of tissues like cardiac muscle. The structural formation allows direct transfer of metabolites and signaling molecules highlighting its importance in multicellular organism function.

Pathways

Connexin 32 actively contributes to cellular communication and metabolic coordination. It participates in the phosphoinositide 3-kinase (PI3-K) pathway and the ERK/MAPK signaling pathway which are important for cell growth proliferation and apoptosis. Connexin 32 interacts with proteins like Connexin 43 with both proteins playing roles in channel assembly and intracellular signaling processes that influence cellular responses to external stimuli.

Connexin 32's dysfunction aligns with specific neuropathies. Mutations in the GJB1 gene often lead to X-linked Charcot-Marie-Tooth disease a disorder affecting peripheral nerves. This disease involves degeneration of nerve fibers disrupting muscle function and sensation and connects with proteins that share functional pathways like PMP22. Additionally Connexin 32 has implications in liver diseases where its reduced expression correlates with disrupted hepatocyte communication affecting liver function and regeneration.

Product protocols

For this product, it's our understanding that no specific protocols are required. You can visit:

Target data

One gap junction consists of a cluster of closely packed pairs of transmembrane channels, the connexons, through which materials of low MW diffuse from one cell to a neighboring cell.
See full target information GJB1

Product promise

We are committed to supporting your work with high-quality reagents, and we're here for you every step of the way. In the unlikely event that one of our products does not perform as expected, you're protected by our Product Promise.
For full details, please see our Terms & Conditions

Please note: All products are 'FOR RESEARCH USE ONLY. NOT FOR USE IN DIAGNOSTIC OR THERAPEUTIC PROCEDURES'.

For licensing inquiries, please contact partnerships@abcam.com