JavaScript is disabled in your browser. Please enable JavaScript to view this website.
AB181374

Anti-Connexin 32 / GJB1 antibody [EPR8036(2)]

Be the first to review this product! Submit a review

|

(4 Publications)

Rabbit Recombinant Monoclonal Connexin 32 / GJB1 antibody. Suitable for IHC-P, Flow Cyt, WB and reacts with Human samples. Cited in 4 publications.

View Alternative Names

CX32, GJB1, Gap junction beta-1 protein, Connexin-32, GAP junction 28 kDa liver protein, Cx32

3 Images
Flow Cytometry - Anti-Connexin 32 / GJB1 antibody [EPR8036(2)] (AB181374)
  • Flow Cyt

Supplier Data

Flow Cytometry - Anti-Connexin 32 / GJB1 antibody [EPR8036(2)] (AB181374)

Flow cytometric analysis of MCF-7 cells labeling Connexin 32 / GJB1 with ab181374 at 1/10 dilution (red) compared to a rabbit IgG negative control (green).

Immunohistochemistry (Formalin/PFA-fixed paraffin-embedded sections) - Anti-Connexin 32 / GJB1 antibody [EPR8036(2)] (AB181374)
  • IHC-P

Supplier Data

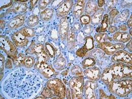
Immunohistochemistry (Formalin/PFA-fixed paraffin-embedded sections) - Anti-Connexin 32 / GJB1 antibody [EPR8036(2)] (AB181374)

Immunohistochemical analysis of paraffin-embedded Human kidney tissue labeling Connexin 32 / GJB1 with ab181374 at 1/100 dilution.

Perform heat mediated antigen retrieval with citrate buffer pH 6 before commencing with IHC staining protocol.

Western blot - Anti-Connexin 32 / GJB1 antibody [EPR8036(2)] (AB181374)
  • WB

Supplier Data

Western blot - Anti-Connexin 32 / GJB1 antibody [EPR8036(2)] (AB181374)

All lanes:

Western blot - Anti-Connexin 32 / GJB1 antibody [EPR8036(2)] (ab181374) at 1/1000 dilution

Lane 1:

Human skeletal muscle lysate at 10 µg

Lane 2:

Fetal liver tissue lysate at 10 µg

Lane 3:

MCF-7 lysate at 10 µg

Lane 4:

Human stomach lysate at 10 µg

Predicted band size: 32 kDa

false

Key facts

Host species

Rabbit

Clonality

Monoclonal

Clone number

EPR8036(2)

Isotype

IgG

Carrier free

No

Reacts with

Human

Applications

Flow Cyt, WB, IHC-P

applications

Immunogen

The exact immunogen used to generate this antibody is proprietary information.

Reactivity data

{ "title": "Reactivity Data", "filters": { "stats": ["", "Species", "Dilution Info", "Notes"], "tabs": { "all-applications": {"fullname" : "All Applications", "shortname": "All Applications"}, "IHCP" : {"fullname" : "Immunohistochemistry (Formalin/PFA-fixed paraffin-embedded sections)", "shortname":"IHC-P"}, "IP" : {"fullname" : "Immunoprecipitation", "shortname":"IP"}, "FlowCyt" : {"fullname" : "Flow Cytometry", "shortname":"Flow Cyt"}, "WB" : {"fullname" : "Western blot", "shortname":"WB"}, "ICCIF" : {"fullname" : "Immunocytochemistry/ Immunofluorescence", "shortname":"ICC/IF"} }, "product-promise": { "all": "all", "testedAndGuaranteed": "tested", "guaranteed": "expected", "predicted": "predicted", "notRecommended": "not-recommended" } }, "values": { "Human": { "IHCP-species-checked": "testedAndGuaranteed", "IHCP-species-dilution-info": "1/100 - 1/250", "IHCP-species-notes": "<p></p>", "IP-species-checked": "notRecommended", "IP-species-dilution-info": "", "IP-species-notes": "<p></p>", "FlowCyt-species-checked": "testedAndGuaranteed", "FlowCyt-species-dilution-info": "1/10 - 1/100", "FlowCyt-species-notes": "<p><a href='/en-us/products/primary-antibodies/rabbit-igg-monoclonal-epr25a-isotype-control-ab172730'>ab172730</a> - Rabbit monoclonal IgG, is suitable for use as an isotype control with this antibody.</p>", "WB-species-checked": "testedAndGuaranteed", "WB-species-dilution-info": "1/1000 - 1/5000", "WB-species-notes": "<p></p>", "ICCIF-species-checked": "notRecommended", "ICCIF-species-dilution-info": "", "ICCIF-species-notes": "<p></p>" } } }

Product details

Species reactivity
Mouse, Rat: We have preliminary internal testing data to indicate this antibody may not react with these species.
Please contact us for more information.

Patented technology
Our RabMAb® technology is a patented hybridoma-based technology for making rabbit monoclonal antibodies. For details on our patents, please refer to RabMAb® patents.

What are the advantages of a recombinant monoclonal antibody?
This product is a recombinant monoclonal antibody, which offers several advantages including:

  • - High batch-to-batch consistency and reproducibility
  • - Improved sensitivity and specificity
  • - Long-term security of supply
  • - Animal-free batch production

For more information, read more on recombinant antibodies.

Properties and storage information

Form
Liquid
Purification technique
Affinity purification Protein A
Storage buffer
pH: 7.2 - 7.4 Preservative: 0.01% Sodium azide Constituents: PBS, 50% Tissue culture supernatant, 40% Glycerol (glycerin, glycerine), 0.05% BSA
Shipped at conditions
Blue Ice
Appropriate short-term storage duration
1-2 weeks
Appropriate short-term storage conditions
+4°C
Appropriate long-term storage conditions
-20°C
Aliquoting information
Upon delivery aliquot
Storage information
Avoid freeze / thaw cycle

Supplementary information

This supplementary information is collated from multiple sources and compiled automatically.

Connexin 32 also known as GJB1 is a gap junction protein with a molecular mass of approximately 32 kDa. This protein facilitates direct intercellular communication by forming gap junction channels that allow ions and small molecules to pass between adjacent cells. Connexin 32 is expressed in various tissues including liver pancreas and many types of epithelial cells. Its expression ensures cells can synchronize their activities important for maintaining tissue homeostasis.
Biological function summary

Connexin 32 plays a significant role in maintaining cellular communication networks. This protein forms hexameric complexes called connexons which dock with connexons of adjacent cells to create functional gap junction channels. These channels are essential in processes such as maintaining homeostasis cell differentiation and synchronized contraction of tissues like cardiac muscle. The structural formation allows direct transfer of metabolites and signaling molecules highlighting its importance in multicellular organism function.

Pathways

Connexin 32 actively contributes to cellular communication and metabolic coordination. It participates in the phosphoinositide 3-kinase (PI3-K) pathway and the ERK/MAPK signaling pathway which are important for cell growth proliferation and apoptosis. Connexin 32 interacts with proteins like Connexin 43 with both proteins playing roles in channel assembly and intracellular signaling processes that influence cellular responses to external stimuli.

Connexin 32's dysfunction aligns with specific neuropathies. Mutations in the GJB1 gene often lead to X-linked Charcot-Marie-Tooth disease a disorder affecting peripheral nerves. This disease involves degeneration of nerve fibers disrupting muscle function and sensation and connects with proteins that share functional pathways like PMP22. Additionally Connexin 32 has implications in liver diseases where its reduced expression correlates with disrupted hepatocyte communication affecting liver function and regeneration.

Product protocols

For this product, it's our understanding that no specific protocols are required. You can visit:

Target data

One gap junction consists of a cluster of closely packed pairs of transmembrane channels, the connexons, through which materials of low MW diffuse from one cell to a neighboring cell.
See full target information GJB1

Publications (4)

Recent publications for all applications. Explore the full list and refine your search

Histology and histopathology 40:1985-2009 PubMed40959856

2025

Differential expression of ferroptosis markers, circadian regulators, KLOTHO, and classical tumor suppressors in colorectal cancer according to tumor stage: Influence of age, anatomical location, and correlation patterns.

Applications

Unspecified application

Species

Unspecified reactive species

Miguel A Saez,Cielo Garcia-Montero,Oscar Fraile-Martinez,Ana M Minaya-Bravo,Diego Liviu Boaru,Diego De Leon-Oliva,Patricia De Castro-Martinez,Majd N Michael Alhaddadin,Silvestra Barrena-Blázquez,Laura Lopez-Gonzalez,Luis G Guijarro,Natalio Garcia-Honduvilla,Víctor Roberto Baena Romero,Carlos Daniel Padilla Ansala,Mar Royuela,María Del Val Toledo Lobo,Leonel Pekarek,Roberto Fernández-Baillo Gallego de la Sacristana,Mauricio Hernández-Fernández,Montserrat Chao Crecente,Melchor Alvarez-Mon,Raul Diaz-Pedrero,Miguel A Ortega

Brain pathology (Zurich, Switzerland) 33:e13131 PubMed36368713

2022

Early and extensive alterations of glial connexins, distal oligodendrogliopathy type demyelination, and nodal/paranodal pathology are characteristic of multiple system atrophy.

Applications

Unspecified application

Species

Unspecified reactive species

Yuji Nishimura,Katsuhisa Masaki,Dai Matsuse,Hiroo Yamaguchi,Tatsunori Tanaka,Eriko Matsuo,Shotaro Hayashida,Mitsuru Watanabe,Takuya Matsushita,Shoko Sadashima,Naokazu Sasagasako,Ryo Yamasaki,Noriko Isobe,Toru Iwaki,Jun-Ichi Kira

Dermatology (Basel, Switzerland) 238:236-243 PubMed34077928

2021

3D-SeboSkin Model for Human ex vivo Studies of Hidradenitis Suppurativa/Acne Inversa.

Applications

Unspecified application

Species

Unspecified reactive species

Xiaoxiao Hou,Amir M Hossini,Georgios Nikolakis,Ottfried Balthasar,Andreas Kurtz,Christos C Zouboulis

Journal of the European Academy of Dermatology and Venereology : JEADV 34:846-861 PubMed31838778

2020

Alterations in innate immunity and epithelial cell differentiation are the molecular pillars of hidradenitis suppurativa.

Applications

Unspecified application

Species

Unspecified reactive species

C C Zouboulis,A Nogueira da Costa,E Makrantonaki,X X Hou,D Almansouri,J T Dudley,H Edwards,B Readhead,O Balthasar,G B E Jemec,N G Bonitsis,G Nikolakis,D Trebing,K C Zouboulis,A M Hossini
View all publications

Product promise

We are committed to supporting your work with high-quality reagents, and we're here for you every step of the way. In the unlikely event that one of our products does not perform as expected, you're protected by our Product Promise.
For full details, please see our Terms & Conditions

Please note: All products are 'FOR RESEARCH USE ONLY. NOT FOR USE IN DIAGNOSTIC OR THERAPEUTIC PROCEDURES'.

For licensing inquiries, please contact partnerships@abcam.com