JavaScript is disabled in your browser. Please enable JavaScript to view this website.
AB219493

Anti-Connexin 43 / GJA1 antibody - C-terminal - Intercellular Junction Marker

5

(1 Review)

|

(3 Publications)

Anti-Connexin 43 / GJA1 antibody - C-terminal (ab219493) is a goat polyclonal antibody detecting Connexin 43 / GJA1 in Western Blot, IHC-P, ICC/IF. Suitable for African green monkey, Human.

View Alternative Names

GJAL, GJA1, Gap junction alpha-1 protein, Connexin-43, Gap junction 43 kDa heart protein, Cx43

3 Images
Western blot - Anti-Connexin 43 / GJA1 antibody - C-terminal - Intercellular Junction Marker (AB219493)
  • WB

Supplier Data

Western blot - Anti-Connexin 43 / GJA1 antibody - C-terminal - Intercellular Junction Marker (AB219493)

All lanes:

Western blot - Anti-Connexin 43 / GJA1 antibody - C-terminal - Intercellular Junction Marker (ab219493) at 1/1000 dilution

All lanes:

COS7 cell lysate at 100 µg

Secondary

All lanes:

Rabbit polyclonal to Goat IgG (HRP) at 1/10000 dilution

Predicted band size: 43 kDa

false

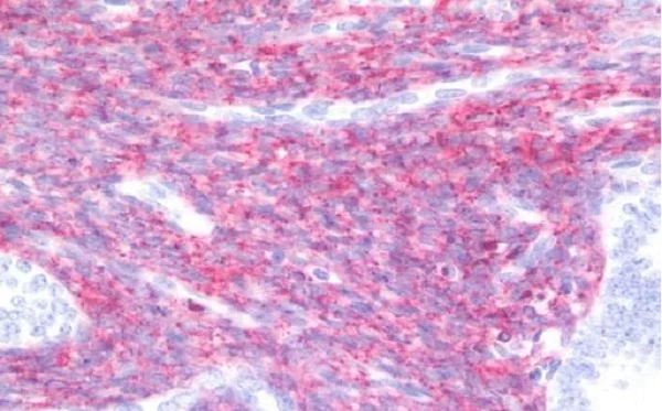
Immunohistochemistry (Formalin/PFA-fixed paraffin-embedded sections) - Anti-Connexin 43 / GJA1 antibody - C-terminal - Intercellular Junction Marker (AB219493)
  • IHC-P

Supplier Data

Immunohistochemistry (Formalin/PFA-fixed paraffin-embedded sections) - Anti-Connexin 43 / GJA1 antibody - C-terminal - Intercellular Junction Marker (AB219493)

Immunohistochemical analysis of formalin fixed, paraffin embedded Human uterus endometrium tissue labeling Connexin 43 / GJA1 with ab219493 at 10 μg/ml.

Immunocytochemistry/ Immunofluorescence - Anti-Connexin 43 / GJA1 antibody - C-terminal - Intercellular Junction Marker (AB219493)
  • ICC/IF

Supplier Data

Immunocytochemistry/ Immunofluorescence - Anti-Connexin 43 / GJA1 antibody - C-terminal - Intercellular Junction Marker (AB219493)

Immunofluorescent analysis of primary RPE cells labeling Connexin 43 / GJA1 with ab219493 at 1/100 dilution.

Key facts

Host species

Goat

Clonality

Polyclonal

Isotype

IgG

Carrier free

No

Reacts with

Human, African green monkey

Applications

ICC/IF, IHC-P, WB

applications

Immunogen

Recombinant Fragment Protein within Rat Gja1 aa 200 to C-terminus. The exact immunogen used to generate this antibody is proprietary information.

P08050

Reactivity data

{ "title": "Reactivity Data", "filters": { "stats": ["", "Species", "Dilution Info", "Notes"], "tabs": { "all-applications": {"fullname" : "All Applications", "shortname": "All Applications"}, "IHCP" : {"fullname" : "Immunohistochemistry (Formalin/PFA-fixed paraffin-embedded sections)", "shortname":"IHC-P"}, "WB" : {"fullname" : "Western blot", "shortname":"WB"}, "ICCIF" : {"fullname" : "Immunocytochemistry/ Immunofluorescence", "shortname":"ICC/IF"} }, "product-promise": { "all": "all", "testedAndGuaranteed": "tested", "guaranteed": "expected", "predicted": "predicted", "notRecommended": "not-recommended" } }, "values": { "Human": { "IHCP-species-checked": "testedAndGuaranteed", "IHCP-species-dilution-info": "10 µg/mL", "IHCP-species-notes": "<p></p> Perform heat-mediated antigen retrieval before commencing with IHC staining protocol.", "WB-species-checked": "guaranteed", "WB-species-dilution-info": "", "WB-species-notes": "", "ICCIF-species-checked": "testedAndGuaranteed", "ICCIF-species-dilution-info": "", "ICCIF-species-notes": "<p></p>" }, "Mouse": { "IHCP-species-checked": "predicted", "IHCP-species-dilution-info": "", "IHCP-species-notes": "", "WB-species-checked": "predicted", "WB-species-dilution-info": "", "WB-species-notes": "", "ICCIF-species-checked": "predicted", "ICCIF-species-dilution-info": "", "ICCIF-species-notes": "" }, "Rat": { "IHCP-species-checked": "predicted", "IHCP-species-dilution-info": "", "IHCP-species-notes": "", "WB-species-checked": "predicted", "WB-species-dilution-info": "", "WB-species-notes": "", "ICCIF-species-checked": "predicted", "ICCIF-species-dilution-info": "", "ICCIF-species-notes": "" }, "African green monkey": { "IHCP-species-checked": "guaranteed", "IHCP-species-dilution-info": "", "IHCP-species-notes": "", "WB-species-checked": "testedAndGuaranteed", "WB-species-dilution-info": "1/500 - 1/2000", "WB-species-notes": "<p></p>", "ICCIF-species-checked": "guaranteed", "ICCIF-species-dilution-info": "", "ICCIF-species-notes": "" }, "Dog": { "IHCP-species-checked": "predicted", "IHCP-species-dilution-info": "", "IHCP-species-notes": "", "WB-species-checked": "predicted", "WB-species-dilution-info": "", "WB-species-notes": "", "ICCIF-species-checked": "predicted", "ICCIF-species-dilution-info": "", "ICCIF-species-notes": "" } } }

Product details

What is this antibody validated in?
Anti-Connexin 43 / GJA1 antibody - C-terminal (ab219493) is a goat polyclonal antibody and is validated for use in Western Blot (WB), Immunohistochemistry (IHC-P), Immunocytochemistry/immunofluorescence (ICC/IF) in African green monkey, Human samples.

What is the molecular weight of Connexin 43 / GJA1?
Anti-Connexin 43 / GJA1 - C-terminal (ab219493) specifically detects a band for Connexin 43 / GJA1 (UniProt: P08050) at a molecular weight of 43kDa.

Properties and storage information

Form
Liquid
Purification technique
Affinity purification Immunogen
Storage buffer
pH: 7.4 Preservative: 0.05% Sodium azide Constituents: PBS, 20% Glycerol (glycerin, glycerine)
Shipped at conditions
Blue Ice
Appropriate short-term storage duration
1-2 weeks
Appropriate short-term storage conditions
+4°C
Appropriate long-term storage conditions
-20°C
Aliquoting information
Upon delivery aliquot
Storage information
Avoid freeze / thaw cycle

Supplementary information

This supplementary information is collated from multiple sources and compiled automatically.

Connexin 43 also known as GJA1 is a protein that plays an important role in cell communication through gap junctions. It has a molecular weight of approximately 43 kDa. Connexin 43 gets expressed in various tissues including the heart and brain where it facilitates cellular signaling. This protein integrates into cell membranes to form gap junction channels allowing direct transfer of ions and small molecules between adjacent cells. Researchers often use techniques such as Western blot to detect Connexin 43 expression levels in studies of cellular communications.
Biological function summary

This protein facilitates electrical and chemical coupling between cells by forming intercellular channels. These channels arise from the assembly of six Connexin 43 subunits into hemichannels which dock with hemichannels on neighboring cells. This protein has a critical component in the cardiac and neural tissues where rapid communication is essential for proper function. Connexin 43 engages in complex assemblies with other connexins enhancing its role in synchronizing cell activities.

Pathways

Connexin 43 significantly influences signal transduction processes. It acts within the MAPK signaling pathway which impacts cellular responses such as growth and differentiation. Additionally this protein plays a role in calcium signaling a pathway important for muscle contraction and neurotransmitter release. Interacting proteins like Connexin 30 and Connexin 45 further regulate these pathways affecting the amplitude and duration of signaling.

Connexin 43 has been linked to cardiac arrhythmias and some forms of cancer. Mutations or altered expression of Connexin 43 can disrupt the electrical conduction in cardiac tissue leading to arrhythmogenic conditions. Research suggests an association with proteins like ZO-1 and Connexin 37 which may affect cell proliferation and migration in cancerous tissues. Understanding these connections highlights Connexin 43's potential as a target for therapeutic interventions in related diseases.

Product protocols

For this product, it's our understanding that no specific protocols are required. You can visit:

Target data

Gap junction protein that acts as a regulator of bladder capacity. A gap junction consists of a cluster of closely packed pairs of transmembrane channels, the connexons, through which materials of low MW diffuse from one cell to a neighboring cell. May play a critical role in the physiology of hearing by participating in the recycling of potassium to the cochlear endolymph. Negative regulator of bladder functional capacity : acts by enhancing intercellular electrical and chemical transmission, thus sensitizing bladder muscles to cholinergic neural stimuli and causing them to contract (By similarity). May play a role in cell growth inhibition through the regulation of NOV expression and localization. Plays an essential role in gap junction communication in the ventricles (By similarity).
See full target information GJA1

Publications (3)

Recent publications for all applications. Explore the full list and refine your search

Advanced science (Weinheim, Baden-Wurttemberg, Germany) 11:e2404509 PubMed39373330

2024

Multidirectional Filamented Light Biofabrication Creates Aligned and Contractile Cardiac Tissues.

Applications

Unspecified application

Species

Unspecified reactive species

Lewis S Jones,Miriam Filippi,Mike Yan Michelis,Aiste Balciunaite,Oncay Yasa,Gal Aviel,Maria Narciso,Susanne Freedrich,Melanie Generali,Eldad Tzahor,Robert K Katzschmann

Arteriosclerosis, thrombosis, and vascular biology 44:e117-e130 PubMed38385289

2024

Inhibition of IL-1 Ameliorates Cardiac Dysfunction and Arrhythmias in a Murine Model of Kawasaki Disease.

Applications

Unspecified application

Species

Unspecified reactive species

Thassio Mesquita,Yen-Nien Lin,Shuang Chen,Youngho Lee,Rodrigo Miguel-Dos-Santos,Asli E Atici,Michael C Fishbein,Magali Noval Rivas,Moshe Arditi,Eugenio Cingolani

Frontiers in molecular neuroscience 11:344 PubMed30323740

2018

Hypoxic Preconditioning Maintains GLT-1 Against Transient Global Cerebral Ischemia Through Upregulating Cx43 and Inhibiting c-Src.

Applications

Unspecified application

Species

Unspecified reactive species

Kongping Li,Huarong Zhou,Lixuan Zhan,Zhe Shi,Weiwen Sun,Dandan Liu,Liu Liu,Donghai Liang,Yafu Tan,Wensheng Xu,En Xu
View all publications

Product promise

We are committed to supporting your work with high-quality reagents, and we're here for you every step of the way. In the unlikely event that one of our products does not perform as expected, you're protected by our Product Promise.
For full details, please see our Terms & Conditions

Please note: All products are 'FOR RESEARCH USE ONLY. NOT FOR USE IN DIAGNOSTIC OR THERAPEUTIC PROCEDURES'.

For licensing inquiries, please contact partnerships@abcam.com