JavaScript is disabled in your browser. Please enable JavaScript to view this website.
AB259276

Anti-Connexin 43 / GJA1 antibody [EPR22955-101] - BSA and Azide free

Be the first to review this product! Submit a review

|

(2 Publications)

Rabbit Recombinant Monoclonal Connexin 43 / GJA1 antibody. Carrier free. Suitable for IHC-Fr, IP, WB, IHC-P and reacts with Mouse, Rat, Human samples. Cited in 2 publications.

View Alternative Names

GJAL, GJA1, Gap junction alpha-1 protein, Connexin-43, Gap junction 43 kDa heart protein, Cx43

8 Images
Immunohistochemistry (Formalin/PFA-fixed paraffin-embedded sections) - Anti-Connexin 43 / GJA1 antibody [EPR22955-101] - BSA and Azide free (AB259276)
  • IHC-P

Unknown

Immunohistochemistry (Formalin/PFA-fixed paraffin-embedded sections) - Anti-Connexin 43 / GJA1 antibody [EPR22955-101] - BSA and Azide free (AB259276)

Immunohistochemical analysis of paraffin-embedded Human cardiac muscle tissue labeling Connexin 43 / GJA1 with ab235585 at 1/500 dilution (1.01 ug/ml) followed by a ready to use Goat Anti-Rabbit & Mouse IgG (HRP). Positive staining on human myocardial intercalated disc. The section was incubated with ab235585 for 30 mins at room temperature. The immunostaining was performed on a Leica Biosystems BOND® RX instrument. Counterstained with Hematoxylin.

Secondary antibody only control : Secondary antibody is a ready to use Goat Anti-Rabbit & Mouse IgG (HRP).

Heat mediated antigen retrieval with Tris-EDTA buffer (pH 9.0, epitope retrieval solution 2) for 20 mins.

This data was developed using the same antibody clone in a different buffer formulation containing PBS, BSA, glycerol, and sodium azide (ab235585).

Immunohistochemistry (Formalin/PFA-fixed paraffin-embedded sections) - Anti-Connexin 43 / GJA1 antibody [EPR22955-101] - BSA and Azide free (AB259276)
  • IHC-P

Unknown

Immunohistochemistry (Formalin/PFA-fixed paraffin-embedded sections) - Anti-Connexin 43 / GJA1 antibody [EPR22955-101] - BSA and Azide free (AB259276)

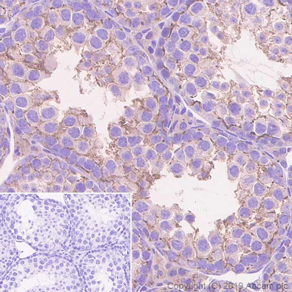
Immunohistochemical analysis of paraffin-embedded mouse testis tissue labeling Connexin 43 / GJA1 with ab235585 at 1/1000 dilution (0.507 μg/ml) followed by a ready to use Goat Anti-Rabbit & Mouse IgG (HRP). Membranous staining on mouse testis is observed. The section was incubated with ab235585 for 30 mins at room temperature. The immunostaining was performed on a Leica Biosystems BOND®RX instrument. Counterstained with hematoxylin.

Secondary antibody only control : Secondary antibody is a ready to use Goat Anti-Rabbit & Mouse IgG (HRP).

Heat mediated antigen retrieval with Tris-EDTA buffer (pH 9.0, epitope retrieval solution 2) for 20 mins.

This data was developed using the same antibody clone in a different buffer formulation containing PBS, BSA, glycerol, and sodium azide (ab235585).

Immunohistochemistry (Frozen sections) - Anti-Connexin 43 / GJA1 antibody [EPR22955-101] - BSA and Azide free (AB259276)
  • IHC-Fr

Unknown

Immunohistochemistry (Frozen sections) - Anti-Connexin 43 / GJA1 antibody [EPR22955-101] - BSA and Azide free (AB259276)

4% PFA-fixed, 0.2% Triton X-100 permeabilized frozen section of rat cardiac muscle tissue labeling Connexin 43 / GJA1 using ab235585 at 1/250 dilution, followed by ab150077 AlexaFluor®488 Goat anti-Rabbit secondary at 1/1000 dilution (green). The nuclear counterstain is DAPI (blue). Positive staining on intercalated discs of rat cardiac muscle (PMID : 18678643) is observed.

Secondary antibody only control : Used PBS instead of primary antibody, followed by ab150077 AlexaFluor®488 Goat anti-Rabbit secondary at 1/1000 dilution.

Heat mediated antigen retrieval using sodium citrate buffer (10mM citrate pH 6.0 + 0.05% Tween-20).

This data was developed using the same antibody clone in a different buffer formulation containing PBS, BSA, glycerol, and sodium azide (ab235585).

Immunohistochemistry (Formalin/PFA-fixed paraffin-embedded sections) - Anti-Connexin 43 / GJA1 antibody [EPR22955-101] - BSA and Azide free (AB259276)
  • IHC-P

Unknown

Immunohistochemistry (Formalin/PFA-fixed paraffin-embedded sections) - Anti-Connexin 43 / GJA1 antibody [EPR22955-101] - BSA and Azide free (AB259276)

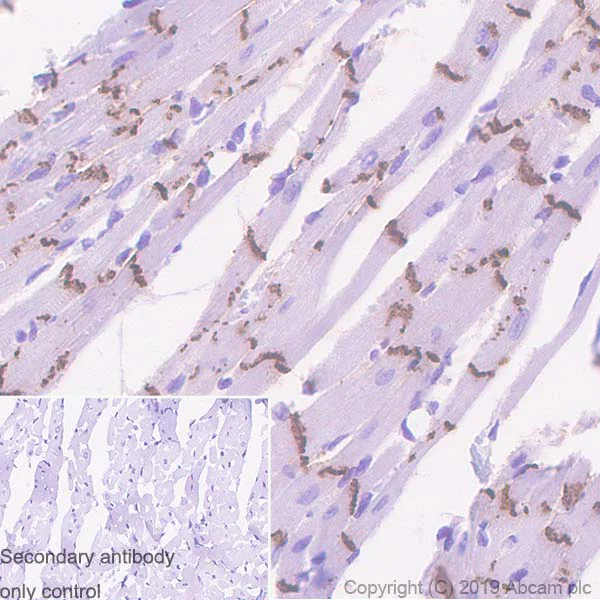
Immunohistochemical analysis of paraffin-embedded rat cardiac muscle tissue labeling Connexin 43 / GJA1 with ab235585 at 1/1000 dilution (0.507 μg/ml) followed by a ready to use Goat Anti-Rabbit & Mouse IgG (HRP). Positive staining on rat myocardial intercalated disc is observed. The section was incubated with ab235585 for 30 mins at room temperature. The immunostaining was performed on a Leica Biosystems BOND® RX instrument. Counterstained with hematoxylin.

Secondary antibody only control : Secondary antibody is a ready to use Goat Anti-Rabbit & Mouse IgG (HRP).

Heat mediated antigen retrieval with Tris-EDTA buffer (pH 9.0, epitope retrieval solution 2) for 20 mins.

This data was developed using the same antibody clone in a different buffer formulation containing PBS, BSA, glycerol, and sodium azide (ab235585).

Immunohistochemistry (Formalin/PFA-fixed paraffin-embedded sections) - Anti-Connexin 43 / GJA1 antibody [EPR22955-101] - BSA and Azide free (AB259276)
  • IHC-P

Unknown

Immunohistochemistry (Formalin/PFA-fixed paraffin-embedded sections) - Anti-Connexin 43 / GJA1 antibody [EPR22955-101] - BSA and Azide free (AB259276)

Immunohistochemical analysis of paraffin-embedded mouse cardiac muscle tissue labeling Connexin 43 / GJA1 with ab235585 at 1/1000 dilution (0.507 μg/ml) followed by a ready to use Goat Anti-Rabbit & Mouse IgG (HRP). Positive staining on mouse myocardial intercalated disc (PMID : 30228305) is observed. The section was incubated with ab235585 for 30 mins at room temperature. The immunostaining was performed on a Leica Biosystems BOND®RX instrument. Counterstained with hematoxylin.

Secondary antibody only control : Secondary antibody is a ready to use Goat Anti-Rabbit & Mouse IgG (HRP).

Heat mediated antigen retrieval with Tris-EDTA buffer (pH 9.0, epitope retrieval solution 2) for 20 mins.

This data was developed using the same antibody clone in a different buffer formulation containing PBS, BSA, glycerol, and sodium azide (ab235585).

Immunohistochemistry (Frozen sections) - Anti-Connexin 43 / GJA1 antibody [EPR22955-101] - BSA and Azide free (AB259276)
  • IHC-Fr

Unknown

Immunohistochemistry (Frozen sections) - Anti-Connexin 43 / GJA1 antibody [EPR22955-101] - BSA and Azide free (AB259276)

4% PFA-fixed, 0.2% Triton X-100 permeabilized frozen section of mouse cardiac muscle tissue labeling Connexin 43 / GJA1 using ab235585 at 1/250 dilution, followed by ab150077 AlexaFluor®488 Goat anti-Rabbit secondary at 1/1000 dilution (green). The nuclear counterstain is DAPI (blue). Positive staining on intercalated discs of mouse cardiac muscle (PMID : 18678643) is observed.

Secondary antibody only control : Used PBS instead of primary antibody, followed by ab150077 AlexaFluor®488 Goat anti-Rabbit secondary at 1/1000 dilution.

Heat mediated antigen retrieval using sodium citrate buffer (10mM citrate pH 6.0 + 0.05% Tween-20).

This data was developed using the same antibody clone in a different buffer formulation containing PBS, BSA, glycerol, and sodium azide (ab235585).

Immunoprecipitation - Anti-Connexin 43 / GJA1 antibody [EPR22955-101] - BSA and Azide free (AB259276)
  • IP

Unknown

Immunoprecipitation - Anti-Connexin 43 / GJA1 antibody [EPR22955-101] - BSA and Azide free (AB259276)

Connexin 43 / GJA1 was immunoprecipitated from 0.35 mg mouse brain lysate 10μg with ab235585 at 1/30 dilution (2μg in 0.35mg lysates). Western blot was performed on the immunoprecipitate using ab235585 at 1/1000 dilution. VeriBlot for IP Detection Reagent (HRP) (ab131366) was used at 1/5000 dilution.

Lane 1 : Mouse brain lysate 10μg.

Lane 2 : ab235585 IP in mouse brain lysate.

Lane 3 : Rabbit monoclonal IgG (ab172730) instead of ab235585 in mouse brain lysate.

Blocking and dilution buffer and concentration : 5% NFDM/TBST.

Exposure time : 10 seconds.

High MW band between 75kDa and 100kDa represents Connexin 43 dimers which described in literature. (PMID : 19460776).

This data was developed using the same antibody clone in a different buffer formulation containing PBS, BSA, glycerol, and sodium azide (ab235585).

All lanes:

Immunoprecipitation - Anti-Connexin 43 / GJA1 antibody [EPR22955-101] - Intercellular Junction Marker (<a href='/en-us/products/primary-antibodies/connexin-43-gja1-antibody-epr22955-101-intercellular-junction-marker-ab235585'>ab235585</a>)

Predicted band size: 43 kDa

Observed band size: 43 kDa

false

Western blot - Anti-Connexin 43 / GJA1 antibody [EPR22955-101] - BSA and Azide free (AB259276)
  • WB

Lab

Western blot - Anti-Connexin 43 / GJA1 antibody [EPR22955-101] - BSA and Azide free (AB259276)

This data was developed using the same antibody clone in a different buffer formulation containing PBS, BSA, glycerol, and sodium azide (ab235585).

Blocking and dilution buffer and concentration : 5% NFDM/TBST.

ab235585 has low affinity in cell line samples.

This blot was developed using a high sensitivity ECL substrate. The high-sensitivity ECL substrate used allows for the detection of proteins in the mid-femtogram range.

All lanes:

Western blot - Anti-Connexin 43 / GJA1 antibody [EPR22955-101] - Intercellular Junction Marker (<a href='/en-us/products/primary-antibodies/connexin-43-gja1-antibody-epr22955-101-intercellular-junction-marker-ab235585'>ab235585</a>) at 1/1000 dilution

Lane 1:

Huh7 (Human hepatocellular carcinoma epithelial cell) whole cell lysate at 20 µg

Lane 2:

HeLa (Human cervix adenocarcinoma epithelial cell) whole cell lysate at 20 µg

Lane 3:

C2C12 (Mouse myoblasts myoblast) whole cell lysate at 20 µg

Secondary

All lanes:

Goat Anti-Rabbit IgG, (H+L), Peroxidase conjugated at 1/20000 dilution

Predicted band size: 43 kDa

true

Exposure time: 180s

  • Unconjugated

    Anti-Connexin 43 / GJA1 antibody [EPR22955-101] - Intercellular Junction Marker

Key facts

Host species

Rabbit

Clonality

Monoclonal

Clone number

EPR22955-101

Isotype

IgG

Carrier free

Yes

Reacts with

Mouse, Rat, Human

Applications

WB, IHC-Fr, IP, IHC-P

applications

Immunogen

The exact immunogen used to generate this antibody is proprietary information.

Specificity

This antibody shows low affinity in detecting cell line samples.

Reactivity data

{ "title": "Reactivity Data", "filters": { "stats": ["", "Species", "Dilution Info", "Notes"], "tabs": { "all-applications": {"fullname" : "All Applications", "shortname": "All Applications"}, "IHCFr" : {"fullname" : "Immunohistochemistry (Frozen sections)", "shortname":"IHC-Fr"}, "IP" : {"fullname" : "Immunoprecipitation", "shortname":"IP"}, "FlowCyt" : {"fullname" : "Flow Cytometry", "shortname":"Flow Cyt"}, "WB" : {"fullname" : "Western blot", "shortname":"WB"}, "ICCIF" : {"fullname" : "Immunocytochemistry/ Immunofluorescence", "shortname":"ICC/IF"}, "IHCP" : {"fullname" : "Immunohistochemistry (Formalin/PFA-fixed paraffin-embedded sections)", "shortname":"IHC-P"} }, "product-promise": { "all": "all", "testedAndGuaranteed": "tested", "guaranteed": "expected", "predicted": "predicted", "notRecommended": "not-recommended" } }, "values": { "Human": { "IHCFr-species-checked": "guaranteed", "IHCFr-species-dilution-info": "", "IHCFr-species-notes": "<p></p>", "IP-species-checked": "guaranteed", "IP-species-dilution-info": "", "IP-species-notes": "<p></p>", "FlowCyt-species-checked": "notRecommended", "FlowCyt-species-dilution-info": "", "FlowCyt-species-notes": "<p></p>", "WB-species-checked": "testedAndGuaranteed", "WB-species-dilution-info": "", "WB-species-notes": "<p></p>", "ICCIF-species-checked": "notRecommended", "ICCIF-species-dilution-info": "", "ICCIF-species-notes": "<p></p>", "IHCP-species-checked": "testedAndGuaranteed", "IHCP-species-dilution-info": "", "IHCP-species-notes": "<p></p>" }, "Mouse": { "IHCFr-species-checked": "testedAndGuaranteed", "IHCFr-species-dilution-info": "", "IHCFr-species-notes": "<p></p>", "IP-species-checked": "testedAndGuaranteed", "IP-species-dilution-info": "", "IP-species-notes": "<p></p>", "FlowCyt-species-checked": "notRecommended", "FlowCyt-species-dilution-info": "", "FlowCyt-species-notes": "<p></p>", "WB-species-checked": "testedAndGuaranteed", "WB-species-dilution-info": "", "WB-species-notes": "<p></p>", "ICCIF-species-checked": "notRecommended", "ICCIF-species-dilution-info": "", "ICCIF-species-notes": "<p></p>", "IHCP-species-checked": "testedAndGuaranteed", "IHCP-species-dilution-info": "", "IHCP-species-notes": "<p></p>" }, "Rat": { "IHCFr-species-checked": "testedAndGuaranteed", "IHCFr-species-dilution-info": "", "IHCFr-species-notes": "<p></p>", "IP-species-checked": "guaranteed", "IP-species-dilution-info": "", "IP-species-notes": "<p></p>", "FlowCyt-species-checked": "notRecommended", "FlowCyt-species-dilution-info": "", "FlowCyt-species-notes": "<p></p>", "WB-species-checked": "testedAndGuaranteed", "WB-species-dilution-info": "", "WB-species-notes": "<p></p>", "ICCIF-species-checked": "notRecommended", "ICCIF-species-dilution-info": "", "ICCIF-species-notes": "<p></p>", "IHCP-species-checked": "testedAndGuaranteed", "IHCP-species-dilution-info": "", "IHCP-species-notes": "<p></p>" } } }

Product details

ab259276 is the carrier-free version of ab235585.

Patented technology
Our RabMAb® technology is a patented hybridoma-based technology for making rabbit monoclonal antibodies. For details on our patents, please refer to RabMAb® patents.

What are the advantages of a recombinant monoclonal antibody?
This product is a recombinant monoclonal antibody, which offers several advantages including:

  • - High batch-to-batch consistency and reproducibility
  • - Improved sensitivity and specificity
  • - Long-term security of supply
  • - Animal-free batch production

For more information, read more on recombinant antibodies.

Conjugation ready
Our carrier-free antibodies are typically supplied in a PBS-only formulation, purified and free of BSA, sodium azide and glycerol. This conjugation-ready format is designed for use with fluorochromes, metal isotopes, oligonucleotides, and enzymes, which makes them ideal for antibody labelling, functional and cell-based assays, flow-based assays (e.g. mass cytometry) and Multiplex Imaging applications.

Use our conjugation kits for antibody conjugates that are ready-to-use in as little as 20 minutes with 1 minute hands-on-time and 100% antibody recovery: available for fluorescent dyes, HRP, biotin and gold.

Compatibility
This product is compatible with the Maxpar® Antibody Labeling Kit from Fluidigm, without the need for antibody preparation. Maxpar® is a trademark of Fluidigm Canada Inc.

Properties and storage information

Form
Liquid
Purification technique
Affinity purification Protein A
Storage buffer
pH: 7.2 - 7.4 Constituents: PBS
Shipped at conditions
Blue Ice
Appropriate short-term storage conditions
+4°C
Appropriate long-term storage conditions
+4°C
Storage information
Do Not Freeze

Supplementary information

This supplementary information is collated from multiple sources and compiled automatically.

Connexin 43 also known as GJA1 is a protein that plays an important role in cell communication through gap junctions. It has a molecular weight of approximately 43 kDa. Connexin 43 gets expressed in various tissues including the heart and brain where it facilitates cellular signaling. This protein integrates into cell membranes to form gap junction channels allowing direct transfer of ions and small molecules between adjacent cells. Researchers often use techniques such as Western blot to detect Connexin 43 expression levels in studies of cellular communications.
Biological function summary

This protein facilitates electrical and chemical coupling between cells by forming intercellular channels. These channels arise from the assembly of six Connexin 43 subunits into hemichannels which dock with hemichannels on neighboring cells. This protein has a critical component in the cardiac and neural tissues where rapid communication is essential for proper function. Connexin 43 engages in complex assemblies with other connexins enhancing its role in synchronizing cell activities.

Pathways

Connexin 43 significantly influences signal transduction processes. It acts within the MAPK signaling pathway which impacts cellular responses such as growth and differentiation. Additionally this protein plays a role in calcium signaling a pathway important for muscle contraction and neurotransmitter release. Interacting proteins like Connexin 30 and Connexin 45 further regulate these pathways affecting the amplitude and duration of signaling.

Connexin 43 has been linked to cardiac arrhythmias and some forms of cancer. Mutations or altered expression of Connexin 43 can disrupt the electrical conduction in cardiac tissue leading to arrhythmogenic conditions. Research suggests an association with proteins like ZO-1 and Connexin 37 which may affect cell proliferation and migration in cancerous tissues. Understanding these connections highlights Connexin 43's potential as a target for therapeutic interventions in related diseases.

Product protocols

For this product, it's our understanding that no specific protocols are required. You can visit:

Target data

Gap junction protein that acts as a regulator of bladder capacity. A gap junction consists of a cluster of closely packed pairs of transmembrane channels, the connexons, through which materials of low MW diffuse from one cell to a neighboring cell. May play a critical role in the physiology of hearing by participating in the recycling of potassium to the cochlear endolymph. Negative regulator of bladder functional capacity : acts by enhancing intercellular electrical and chemical transmission, thus sensitizing bladder muscles to cholinergic neural stimuli and causing them to contract (By similarity). May play a role in cell growth inhibition through the regulation of NOV expression and localization. Plays an essential role in gap junction communication in the ventricles (By similarity).
See full target information GJA1

Publications (2)

Recent publications for all applications. Explore the full list and refine your search

PeerJ 12:e17299 PubMed38799055

2024

Dental pulp stem cells ameliorate D-galactose-induced cardiac ageing in rats.

Applications

Unspecified application

Species

Unspecified reactive species

Gehan El-Akabawy,Sherif Othman Fathy El-Kersh,Ahmed Othman Fathy Othman El-Kersh,Shaimaa Nasr Amin,Laila Ahmed Rashed,Noha Abdel Latif,Ahmed Elshamey,Mohamed Abdallah Abd El Megied Abdallah,Ibrahim G Saleh,Zaw Myo Hein,Ibrahim El-Serafi,Nabil Eid

Cellular & molecular biology letters 28:91 PubMed37946128

2023

Irf7 regulates the expression of Srg3 and ferroptosis axis aggravated sepsis-induced acute lung injury.

Applications

Unspecified application

Species

Unspecified reactive species

Xinyu Ling,Shiyou Wei,Dandan Ling,Siqi Cao,Rui Chang,Qiuyun Wang,Zhize Yuan
View all publications

Product promise

We are committed to supporting your work with high-quality reagents, and we're here for you every step of the way. In the unlikely event that one of our products does not perform as expected, you're protected by our Product Promise.
For full details, please see our Terms & Conditions

Please note: All products are 'FOR RESEARCH USE ONLY. NOT FOR USE IN DIAGNOSTIC OR THERAPEUTIC PROCEDURES'.

For licensing inquiries, please contact partnerships@abcam.com