JavaScript is disabled in your browser. Please enable JavaScript to view this website.
AB314908

Anti-Connexin 43 / GJA1 antibody [RM1071] - Intercellular Junction Marker

  • BOND RX™ Validated
  • 20ul selling size
  • KO Validated
  • RabMAb
  • Recombinant
  • What is this?

Be the first to review this product! Submit a review

|

(1 Publication)

Anti-Connexin 43 / GJA1 antibody [RM1071] (ab314908) is a rabbit recombinant multiclonal antibody detecting Connexin 43 / GJA1 in Western Blot, IP, IHC-P, IHC-Fr, ICC/IF. Suitable for Human, Mouse, Rat.

- KO validated for confirmed specificity
- Biophysical QC for unrivalled batch-batch consistency

View Alternative Names

GJAL, GJA1, Gap junction alpha-1 protein, Connexin-43, Gap junction 43 kDa heart protein, Cx43

14 Images
Immunocytochemistry/ Immunofluorescence - Anti-Connexin 43 / GJA1 antibody [RM1071] - Intercellular Junction Marker (AB314908)
  • ICC/IF

Supplier Data

Immunocytochemistry/ Immunofluorescence - Anti-Connexin 43 / GJA1 antibody [RM1071] - Intercellular Junction Marker (AB314908)

Immunofluorescent analysis of 4% Paraformaldehyde-fixed, 0.1% TritonX-100 permeabilized GJA1 KO HEK293 (GJA1 knockout human embryonic kidney cell line) cells labelling Connexin 43 / GJA1 with ab314908 at 1/50 (10.48 ug/ml) dilution, followed by ab150081 Goat Anti-Rabbit IgG H&L (Alexa Fluor® 488) preadsorbed antibody at 1/1000 (2ug/ml) dilution (Green). Confocal image showing cytoplasmic staining in HEK293T cell line, and no staining in GJA1 knockout HEK293T cell line. Image was taken with a confocal microscope(Leica-Microsystems, TCS SP8). ab195889 Anti-alpha Tubulin mouse monoclonal antibody - Microtubule Marker (Alexa Fluor® 594) was used to counterstain tubulin at 1/200 (2.5ug/ml) dilution (Red). The Nuclear counterstain was DAPI (Blue). Secondary antibody only control : Secondary antibody is ab150081 Goat Anti-Rabbit IgG H&L (Alexa Fluor® 488) preadsorbed at 1/1000 (2ug/ml) dilution.

Immunohistochemistry (Formalin/PFA-fixed paraffin-embedded sections) - Anti-Connexin 43 / GJA1 antibody [RM1071] - Intercellular Junction Marker (AB314908)
  • IHC-P

Supplier Data

Immunohistochemistry (Formalin/PFA-fixed paraffin-embedded sections) - Anti-Connexin 43 / GJA1 antibody [RM1071] - Intercellular Junction Marker (AB314908)

Immunohistochemical analysis of paraffin-embedded human cardiac muscle tissue labeling Connexin 43 / GJA1 with ab314908 at 1/500 (1.048 ug/ml) followed by a ready to use LeicaDS9800 (Bond™ Polymer Refine Detection). Positive staining on human cardiac muscle. The section was incubated with ab314908 for 30 mins at room temperature. The immunostaining was performed on a Leica Biosystems BOND® RX instrument. Counterstained with Hematoxylin. Secondary antibody only control : Secondary antibody is a ready to use LeicaDS9800 (Bond™ Polymer Refine Detection). Heat mediated antigen retrieval was performed with Tris-EDTA buffer (pH 9.0, Epitope Retrieval Solution2) for 20 mins.

Immunohistochemistry (Formalin/PFA-fixed paraffin-embedded sections) - Anti-Connexin 43 / GJA1 antibody [RM1071] - Intercellular Junction Marker (AB314908)
  • IHC-P

Supplier Data

Immunohistochemistry (Formalin/PFA-fixed paraffin-embedded sections) - Anti-Connexin 43 / GJA1 antibody [RM1071] - Intercellular Junction Marker (AB314908)

Immunohistochemical analysis of paraffin-embedded (A) Wild-type HEK293 (human epithelial cell) cell pellet (B)GJA1 KO HEK293 cell pellet tissue labeling Connexin 43 / GJA1 with ab314908 at 1/100 (5.24 ug/ml) followed by a ready to use LeicaDS9800 (Bond™ Polymer Refine Detection). Positive staining on (A) Wild-type HEK293 cell pellet, no staining on (B) GJA1 KO HEK293(OG060024) cell pellet. The section was incubated with ab314908 for 30 mins at room temperature. The immunostaining was performed on a Leica Biosystems BOND® RX instrument. Counterstained with Hematoxylin. Secondary antibody only control : Secondary antibody is a ready to use LeicaDS9800 (Bond™ Polymer Refine Detection). Heat mediated antigen retrieval was performed with Tris-EDTA buffer (pH 9.0, Epitope Retrieval Solution2) for 20 mins.

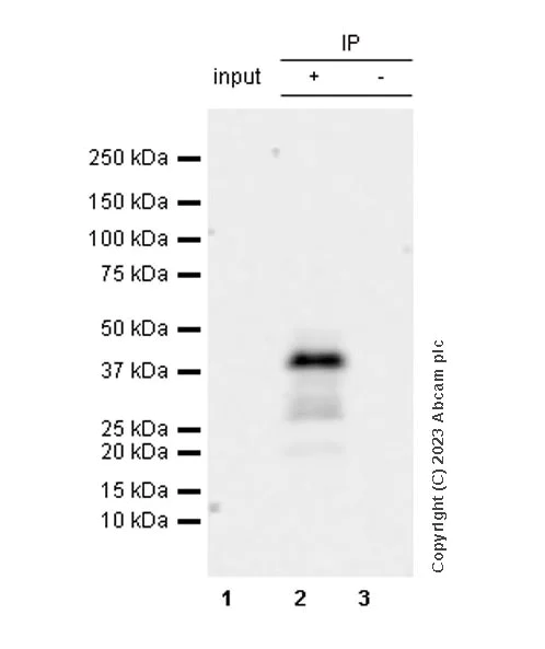
Immunoprecipitation - Anti-Connexin 43 / GJA1 antibody [RM1071] - Intercellular Junction Marker (AB314908)
  • IP

Supplier Data

Immunoprecipitation - Anti-Connexin 43 / GJA1 antibody [RM1071] - Intercellular Junction Marker (AB314908)

Connexin 43 / GJA1 was immunoprecipitated from 0.35 mg HeLa (human cervical adenocarcinoma epithelial cell) whole cell lysate with ab314908 at 1/30 dilution (2ug in 0.35mg lysates). Western blot was performed on the immunoprecipitate using ab314908 at 1/1000 dilution. VeriBlot for IP secondary antibody(HRP)(ab131366) was used at 1/5000 dilution. Lane 1 : HeLa (human cervical adenocarcinoma epithelial cell) whole cell lysate Lane 2 : ab314908 IP in HeLa (human cervical adenocarcinoma epithelial cell) whole cell lysate Lane 3 : Rabbit monoclonal IgG (ab172730) instead of ab314908 in HeLa whole cell lysate Blocking and dilution buffer and concentration : 5% NFDM/TBST.

All lanes:

Immunoprecipitation - Anti-Connexin 43 / GJA1 antibody [RM1071] - Intercellular Junction Marker (ab314908) at 1/30 dilution

All lanes:

HeLa (human cervical adenocarcinoma epithelial cell) whole cell lysate

Secondary

All lanes:

Immunoprecipitation - VeriBlot for IP Detection Reagent (HRP) (<a href='/en-us/products/reagents/veriblot-for-ip-detection-reagent-hrp-ab131366'>ab131366</a>) at 1/5000 dilution

false

Exposure time: 24s

Immunohistochemistry (Frozen sections) - Anti-Connexin 43 / GJA1 antibody [RM1071] - Intercellular Junction Marker (AB314908)
  • IHC-Fr

Supplier Data

Immunohistochemistry (Frozen sections) - Anti-Connexin 43 / GJA1 antibody [RM1071] - Intercellular Junction Marker (AB314908)

Immunohistochemical analysis of 4% PFA-fixed, 0.2% Triton X-100 permeabilized frozen mouse heart (fresh) tissue labeling Connexin 43 / GJA1 with ab314908 at 1/100 (5.24 ug/ml) dilution followed by ab150081 Goat Anti-Rabbit IgG H&L (Alexa Fluor® 488) preadsorbed at 1/1000 (2 ug/mL) dilution (Green). Confocal image showing positive staining on mouse heart. The nuclear counterstain was DAPI (Blue). The section was incubated with ab314908 for 60 mins at room temperature. The section was then mounted using Fluoromount®. The immunostaining was performed on a Leica Biosystems BOND® RX instrument. Image was taken with a confocal microscope (Leica-Microsystems, TCS SP8). The nuclear counterstain was DAPI (Blue). Secondary antibody control : Secondary antibody is ab150081 Goat Anti-Rabbit IgG H&L (Alexa Fluor® 488) preadsorbed at 1/1000 (2 ug/mL) dilution.

Immunohistochemistry (Formalin/PFA-fixed paraffin-embedded sections) - Anti-Connexin 43 / GJA1 antibody [RM1071] - Intercellular Junction Marker (AB314908)
  • IHC-P

Supplier Data

Immunohistochemistry (Formalin/PFA-fixed paraffin-embedded sections) - Anti-Connexin 43 / GJA1 antibody [RM1071] - Intercellular Junction Marker (AB314908)

Immunohistochemical analysis of paraffin-embedded mouse cardiac muscle tissue labeling Connexin 43 / GJA1 with ab314908 at 1/5000 (0.105 ug/ml) followed by a ready to use LeicaDS9800 (Bond™ Polymer Refine Detection). Positive staining on mouse cardiac muscle. The section was incubated with ab314908 for 30 mins at room temperature. The immunostaining was performed on a Leica Biosystems BOND® RX instrument. Counterstained with Hematoxylin. Secondary antibody only control : Secondary antibody is a ready to use LeicaDS9800 (Bond™ Polymer Refine Detection). Heat mediated antigen retrieval was performed with Tris-EDTA buffer (pH 9.0, Epitope Retrieval Solution2) for 20 mins.

Immunohistochemistry (Frozen sections) - Anti-Connexin 43 / GJA1 antibody [RM1071] - Intercellular Junction Marker (AB314908)
  • IHC-Fr

Supplier Data

Immunohistochemistry (Frozen sections) - Anti-Connexin 43 / GJA1 antibody [RM1071] - Intercellular Junction Marker (AB314908)

Immunohistochemical analysis of 4% PFA-fixed, 0.2% Triton X-100 permeabilized frozen Rat heart (fresh) tissue labeling Connexin 43 / GJA1 with ab314908 at 1/100 (5.24 ug/ml) dilution followed by ab150081 Goat Anti-Rabbit IgG H&L (Alexa Fluor® 488) preadsorbed at 1/1000 (2 ug/mL) dilution (Green). Confocal image showing positive staining on rat heart. The nuclear counterstain was DAPI (Blue). The section was incubated with ab314908 for 60 mins at room temperature. The section was then mounted using Fluoromount®. The immunostaining was performed on a Leica Biosystems BOND® RX instrument. Image was taken with a confocal microscope (Leica-Microsystems, TCS SP8). The nuclear counterstain was DAPI (Blue). Secondary antibody control : Secondary antibody is ab150081 Goat Anti-Rabbit IgG H&L (Alexa Fluor® 488) preadsorbed at 1/1000 (2 ug/mL) dilution.

Immunohistochemistry (Formalin/PFA-fixed paraffin-embedded sections) - Anti-Connexin 43 / GJA1 antibody [RM1071] - Intercellular Junction Marker (AB314908)
  • IHC-P

Supplier Data

Immunohistochemistry (Formalin/PFA-fixed paraffin-embedded sections) - Anti-Connexin 43 / GJA1 antibody [RM1071] - Intercellular Junction Marker (AB314908)

Immunohistochemical analysis of paraffin-embedded rat cardiac muscle tissue labeling Connexin 43 / GJA1 with ab314908 at 1/5000 (0.105 ug/ml) followed by a ready to use LeicaDS9800 (Bond™ Polymer Refine Detection). Positive staining on rat cardiac muscle. The section was incubated with ab314908 for 30 mins at room temperature. The immunostaining was performed on a Leica Biosystems BOND® RX instrument. Counterstained with Hematoxylin. Secondary antibody only control : Secondary antibody is a ready to use LeicaDS9800 (Bond™ Polymer Refine Detection). Heat mediated antigen retrieval was performed with Tris-EDTA buffer (pH 9.0, Epitope Retrieval Solution2) for 20 mins.

Immunoprecipitation - Anti-Connexin 43 / GJA1 antibody [RM1071] - Intercellular Junction Marker (AB314908)
  • IP

Supplier Data

Immunoprecipitation - Anti-Connexin 43 / GJA1 antibody [RM1071] - Intercellular Junction Marker (AB314908)

Connexin 43 / GJA1 was immunoprecipitated from 0.35 mg Mouse brain tissue lysate with ab314908 at 1/30 dilution (2ug in 0.35mg lysates). Western blot was performed on the immunoprecipitate using ab314908 at 1/1000 dilution. VeriBlot for IP secondary antibody(HRP)(ab131366) was used at 1/5000 dilution. Lane 1 : Mouse brain tissue lysate Lane 2 : ab314908 IP in Mouse brain tissue lysate Lane 3 : Rabbit monoclonal IgG (ab172730) instead of ab314908 in mouse brain tissue lysate Blocking and dilution buffer and concentration : 5% NFDM/TBST.

All lanes:

Immunoprecipitation - Anti-Connexin 43 / GJA1 antibody [RM1071] - Intercellular Junction Marker (ab314908) at 1/30 dilution

All lanes:

Mouse brain tissue lysate

Secondary

All lanes:

Immunoprecipitation - VeriBlot for IP Detection Reagent (HRP) (<a href='/en-us/products/reagents/veriblot-for-ip-detection-reagent-hrp-ab131366'>ab131366</a>) at 1/5000 dilution

false

Exposure time: 3s

Immunoprecipitation - Anti-Connexin 43 / GJA1 antibody [RM1071] - Intercellular Junction Marker (AB314908)
  • IP

Supplier Data

Immunoprecipitation - Anti-Connexin 43 / GJA1 antibody [RM1071] - Intercellular Junction Marker (AB314908)

Connexin 43 / GJA1 was immunoprecipitated from 0.35 mg Rat brain tissue lysate with ab314908 at 1/30 dilution (2ug in 0.35mg lysates). Western blot was performed on the immunoprecipitate using ab314908 at 1/1000 dilution. VeriBlot for IP secondary antibody(HRP)(ab131366) was used at 1/5000 dilution. Lane 1 : Rat brain tissue lysate Lane 2 : ab314908 IP in Rat brain tissue lysate Lane 3 : Rabbit monoclonal IgG (ab172730) instead of ab314908 in rat brain tissue lysate Blocking and dilution buffer and concentration : 5% NFDM/TBST.

All lanes:

Immunoprecipitation - Anti-Connexin 43 / GJA1 antibody [RM1071] - Intercellular Junction Marker (ab314908) at 1/30 dilution

All lanes:

Rat brain tissue lysate

Secondary

All lanes:

Immunoprecipitation - VeriBlot for IP Detection Reagent (HRP) (<a href='/en-us/products/reagents/veriblot-for-ip-detection-reagent-hrp-ab131366'>ab131366</a>) at 1/5000 dilution

false

Exposure time: 3s

Western blot - Anti-Connexin 43 / GJA1 antibody [RM1071] - Intercellular Junction Marker (AB314908)
  • WB

Lab

Western blot - Anti-Connexin 43 / GJA1 antibody [RM1071] - Intercellular Junction Marker (AB314908)

Western blot : Anti-GJA1 antibody [RM1071] (ab314908) staining at 1/1000 dilution, shown in green; Mouse anti-CANX [CANX/1543] (ab238078) loading control staining at 1/20000 dilution, shown in magenta. In Western blot, ab314908 was shown to bind specifically to GJA1. A band was observed at 45 kDa in wild-type U-87 MG cell lysates with no signal observed at this size in GJA1 knockout cell line. To generate this image, wild-type and GJA1 knockout U-87 MG cell lysates were analysed. First, samples were run on an SDS-PAGE gel then transferred onto a nitrocellulose membrane. Membranes were blocked in 3 % milk in TBS-0.1 % Tween® 20 (TBS-T) before incubation with primary antibodies overnight at 4 °C. Blots were washed four times in TBS-T, incubated with secondary antibodies for 1 h at room temperature, washed again four times then imaged. Secondary antibodies used were Goat anti-Rabbit IgG H&L 800CW and Goat anti-Mouse IgG H&L 680RD at 1/20000 dilution.

All lanes:

Western blot - Anti-Connexin 43 / GJA1 antibody [RM1071] - Intercellular Junction Marker (ab314908) at 1/1000 dilution

Lane 1:

Wild-type U-87 MG cell lysate at 20 µg

Lane 2:

Western blot - Human GJA1 knockout U-87 MG cell line (ab306676)

Lane 2:

GJA1 knockout U-87 MG cell lysate at 20 µg

Lane 3:

Wild-type HEK-293 cell lysate at 20 µg

Lane 4:

GJA1 knockout HEK-293 <a href='/en-us/products/cell-lysates/human-gja1-knockout-hek-293-cell-lysate-ab261658'>ab261658</a> cell lysate at 20 µg

Secondary

Lanes 1 - 4:

Goat anti-Rabbit IgG H&L 800CW at 1/20000 dilution

Lanes 1 - 4:

Goat anti-Mouse IgG H&L 680RD at 1/20000 dilution

Observed band size: 45 kDa

false

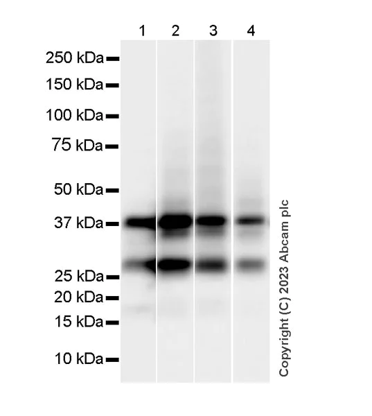
Western blot - Anti-Connexin 43 / GJA1 antibody [RM1071] - Intercellular Junction Marker (AB314908)
  • WB

Supplier Data

Western blot - Anti-Connexin 43 / GJA1 antibody [RM1071] - Intercellular Junction Marker (AB314908)

Blocking and diluting buffer and concentration : 5% NFDM/TBST The expression profile is consistent with the existence of natural variants described in the literature (PMID : 24210816; PMID : 28576298). Exposure time : Lane 1 : 4 seconds; Lanes 2 : 6 seconds;Lanes 3/5-6 : 180 seconds;Lanes 4 : 70 seconds;Lanes 7 : 37 seconds

All lanes:

Western blot - Anti-Connexin 43 / GJA1 antibody [RM1071] - Intercellular Junction Marker (ab314908) at 1/1000 dilution

Lane 1:

Human cerebellum tissue lysate at 20 µg

Lane 2:

Mouse brain tissue lysate at 20 µg

Lane 3:

Mouse liver tissue lysate at 20 µg

Lane 4:

Human heart tissue lysate at 20 µg

Lane 5:

Mouse heart tissue lysate at 20 µg

Lane 6:

Rat heart tissue lysate at 20 µg

Lane 7:

Rat brain tissue lysate at 20 µg

Secondary

All lanes:

Western blot - Goat Anti-Rabbit IgG H&L (HRP) (<a href='/en-us/products/secondary-antibodies/goat-rabbit-igg-h-l-hrp-ab97051'>ab97051</a>) at 1/100000 dilution

Observed band size: 43 kDa

false

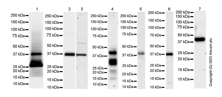
Western blot - Anti-Connexin 43 / GJA1 antibody [RM1071] - Intercellular Junction Marker (AB314908)
  • WB

Supplier Data

Western blot - Anti-Connexin 43 / GJA1 antibody [RM1071] - Intercellular Junction Marker (AB314908)

Blocking and diluting buffer and concentration : 5% NFDM/TBST The expression profile is consistent with the existence of natural variants described in the literature (PMID : 24210816; PMID : 28576298). Exposure time : Lane 1 : 28 seconds; Lanes 2-4 : 8 seconds

All lanes:

Western blot - Anti-Connexin 43 / GJA1 antibody [RM1071] - Intercellular Junction Marker (ab314908) at 1/1000 dilution

Lane 1:

HeLa (human cervical adenocarcinoma epithelial cell) whole cell lysate at 20 µg

Lane 2:

Huh7 (human hepatocellar carcinoma epithelial cell) whole cell lysate at 20 µg

Lane 3:

HUVEC (human umbilical vein endothelial cell) whole cell lysate at 20 µg

Lane 4:

hTERT NF1 ipNF95.11b (human neural Schwann cell) whole cell lysate at 20 µg

Secondary

All lanes:

Western blot - Goat Anti-Rabbit IgG H&L (HRP) (<a href='/en-us/products/secondary-antibodies/goat-rabbit-igg-h-l-hrp-ab97051'>ab97051</a>) at 1/100000 dilution

Observed band size: 43 kDa

false

Western blot - Anti-Connexin 43 / GJA1 antibody [RM1071] - Intercellular Junction Marker (AB314908)
  • WB

Supplier Data

Western blot - Anti-Connexin 43 / GJA1 antibody [RM1071] - Intercellular Junction Marker (AB314908)

Blocking and diluting buffer and concentration : Intercept® (TBS) Blocking Buffer diluted with an equal volume of TBS Western blot : Anti-Connexin 43 / GJA1 antibody (ab314908) staining at 1/1000 dilution, shown in green; Mouse anti-GAPDH antibody [6C5](ab8245) loading control staining at 1/20000 dilution, shown in red. In Western blot, ab314908 was shown to bind specifically to Connexin 43 / GJA1. Target of interest was observed at 43 kDa in wild-type HEK-293 cell lysates (lane 1) with no signal observed at this size in GJA1 knockout cell line (lane 2, knockout cell line ab261719/ knockout cell lysate ab261658). To generate this image, samples were first run on an SDS-PAGE gel then transferred onto an immobilon-FL PVDF membrane. Membranes were blocked in a fluorescent western blot (TBS-based) blocking solution before incubation with primary antibodies overnight at 4 °C. Blots were washed in TBS-T, incubated with secondary antibodies Goat anti-Rabbit IgG H&L 800CW and Goat anti-Mouse IgG H&L 680RD at 1/20000 dilution for 1 h at room temperature, washed again then imaged.

All lanes:

Western blot - Anti-Connexin 43 / GJA1 antibody [RM1071] - Intercellular Junction Marker (ab314908) at 1/1000 dilution

Lane 1:

Wild-type HEK-293 (human embryonic kidney epithelial cell) whole cell lysate at 20 µg

Lane 2:

Western blot - Human GJA1 knockout HEK-293 cell lysate (<a href='/en-us/products/cell-lysates/human-gja1-knockout-hek-293-cell-lysate-ab261658'>ab261658</a>) at 20 µg

Lane 3:

HeLa (human cervical adenocarcinoma epithelial cell) whole cell lysate at 20 µg

Lane 4:

Human testis tissue lysate at 20 µg

Secondary

All lanes:

Goat Anti-Rabbit IgG H&L (800CW) and Goat Anti-Mouse IgG H&L (680RD) at 1/20000 dilution

Observed band size: 43 kDa,36 kDa

false

  • Carrier free

    Anti-Connexin 43 / GJA1 antibody [RM1071] - BSA and Azide free

Key facts

Host species

Rabbit

Clonality

Multiclonal

Clone number

RM1071

Isotype

IgG

Carrier free

No

Reacts with

Human, Mouse, Rat

Applications

ICC/IF, IHC-P, IHC-Fr, IP, WB

applications

Immunogen

The exact immunogen used to generate this antibody is proprietary information.

Reactivity data

{ "title": "Reactivity Data", "filters": { "stats": ["", "Species", "Dilution Info", "Notes"], "tabs": { "all-applications": {"fullname" : "All Applications", "shortname": "All Applications"}, "IHCP" : {"fullname" : "Immunohistochemistry (Formalin/PFA-fixed paraffin-embedded sections)", "shortname":"IHC-P"}, "WB" : {"fullname" : "Western blot", "shortname":"WB"}, "ICCIF" : {"fullname" : "Immunocytochemistry/ Immunofluorescence", "shortname":"ICC/IF"}, "IHCFr" : {"fullname" : "Immunohistochemistry (Frozen sections)", "shortname":"IHC-Fr"}, "IP" : {"fullname" : "Immunoprecipitation", "shortname":"IP"}, "FlowCyt" : {"fullname" : "Flow Cytometry", "shortname":"Flow Cyt"} }, "product-promise": { "all": "all", "testedAndGuaranteed": "tested", "guaranteed": "expected", "predicted": "predicted", "notRecommended": "not-recommended" } }, "values": { "Human": { "IHCP-species-checked": "testedAndGuaranteed", "IHCP-species-dilution-info": "1/100 - 1/500", "IHCP-species-notes": "<p></p>", "WB-species-checked": "testedAndGuaranteed", "WB-species-dilution-info": "1/1000", "WB-species-notes": "<p></p>", "ICCIF-species-checked": "testedAndGuaranteed", "ICCIF-species-dilution-info": "1/50", "ICCIF-species-notes": "<p></p>", "IHCFr-species-checked": "guaranteed", "IHCFr-species-dilution-info": "", "IHCFr-species-notes": "", "IP-species-checked": "testedAndGuaranteed", "IP-species-dilution-info": "1/30", "IP-species-notes": "<p></p>", "FlowCyt-species-checked": "notRecommended", "FlowCyt-species-dilution-info": "", "FlowCyt-species-notes": "<p></p>" }, "Mouse": { "IHCP-species-checked": "testedAndGuaranteed", "IHCP-species-dilution-info": "1/5000", "IHCP-species-notes": "<p></p>", "WB-species-checked": "testedAndGuaranteed", "WB-species-dilution-info": "1/1000", "WB-species-notes": "<p></p>", "ICCIF-species-checked": "guaranteed", "ICCIF-species-dilution-info": "", "ICCIF-species-notes": "", "IHCFr-species-checked": "testedAndGuaranteed", "IHCFr-species-dilution-info": "1/100", "IHCFr-species-notes": "<p></p>", "IP-species-checked": "testedAndGuaranteed", "IP-species-dilution-info": "1/30", "IP-species-notes": "<p></p>", "FlowCyt-species-checked": "notRecommended", "FlowCyt-species-dilution-info": "", "FlowCyt-species-notes": "" }, "Rat": { "IHCP-species-checked": "testedAndGuaranteed", "IHCP-species-dilution-info": "1/5000", "IHCP-species-notes": "<p></p>", "WB-species-checked": "testedAndGuaranteed", "WB-species-dilution-info": "1/1000", "WB-species-notes": "<p></p>", "ICCIF-species-checked": "guaranteed", "ICCIF-species-dilution-info": "", "ICCIF-species-notes": "", "IHCFr-species-checked": "testedAndGuaranteed", "IHCFr-species-dilution-info": "1/100", "IHCFr-species-notes": "<p></p>", "IP-species-checked": "testedAndGuaranteed", "IP-species-dilution-info": "1/30", "IP-species-notes": "<p></p>", "FlowCyt-species-checked": "notRecommended", "FlowCyt-species-dilution-info": "", "FlowCyt-species-notes": "" } } }

Product details

What is this antibody validated in?
Anti-Connexin 43 / GJA1 antibody [RM1071] (ab314908) is a rabbit recombinant recombinant multiclonal antibody and is validated for use in Western Blot (WB), Immunoprecipitation (IP), Immunohistochemistry (IHC-P), Immunohistochemistry (IHC-Fr), Immunocytochemistry/immunofluorescence (ICC/IF) in Human, Mouse, Rat samples.

What is the molecular weight of Connexin 43 / GJA1?
Anti-Connexin 43 / GJA1 [RM1071] (ab314908) specifically detects a band for Connexin 43 / GJA1 (UniProt: P17302) at a molecular weight of 43kDa.

Trial sizes available!
Test your antibody or perform pre-screening before committing to a larger quantity. Sold in 10µl. Discover our selection of trial-size antibodies.

Specificity confirmed
The specificity of Anti-Connexin 43 / GJA1 antibody [RM1071] (ab314908) has been confirmed by Western blot testing in GJA1 Knockout HEK-293 cells.

What are recombinant multiclonals?
Recombinant multiclonals are a mixture of recombinant antibodies co-expressed from a library of heavy and light chains. They offer several advantages including:

  • - The sensitivity of polyclonal antibodies by recognising multiple epitopes
  • - High batch-to-batch consistency and reproducibility
  • - Improved sensitivity and specificity
  • - Long-term security of supply
  • - Animal-free batch production

View our range of recombinant multiclonal antibodies.

Patented technology
Our RabMAb® technology is a patented hybridoma-based technology for making rabbit monoclonal antibodies. For details on our patents, please refer to RabMAb® patents.

Properties and storage information

Form
Liquid
Purification technique
Affinity purification Protein A
Storage buffer
pH: 7.2 - 7.4 Preservative: 0.01% Sodium azide Constituents: PBS, 40% Glycerol (glycerin, glycerine), 0.05% BSA
Shipped at conditions
Blue Ice
Appropriate short-term storage duration
1-2 weeks
Appropriate short-term storage conditions
+4°C
Appropriate long-term storage conditions
-20°C
Aliquoting information
Upon delivery aliquot
Storage information
Avoid freeze / thaw cycle

Supplementary information

This supplementary information is collated from multiple sources and compiled automatically.

Connexin 43 also known as GJA1 is a protein that plays an important role in cell communication through gap junctions. It has a molecular weight of approximately 43 kDa. Connexin 43 gets expressed in various tissues including the heart and brain where it facilitates cellular signaling. This protein integrates into cell membranes to form gap junction channels allowing direct transfer of ions and small molecules between adjacent cells. Researchers often use techniques such as Western blot to detect Connexin 43 expression levels in studies of cellular communications.
Biological function summary

This protein facilitates electrical and chemical coupling between cells by forming intercellular channels. These channels arise from the assembly of six Connexin 43 subunits into hemichannels which dock with hemichannels on neighboring cells. This protein has a critical component in the cardiac and neural tissues where rapid communication is essential for proper function. Connexin 43 engages in complex assemblies with other connexins enhancing its role in synchronizing cell activities.

Pathways

Connexin 43 significantly influences signal transduction processes. It acts within the MAPK signaling pathway which impacts cellular responses such as growth and differentiation. Additionally this protein plays a role in calcium signaling a pathway important for muscle contraction and neurotransmitter release. Interacting proteins like Connexin 30 and Connexin 45 further regulate these pathways affecting the amplitude and duration of signaling.

Connexin 43 has been linked to cardiac arrhythmias and some forms of cancer. Mutations or altered expression of Connexin 43 can disrupt the electrical conduction in cardiac tissue leading to arrhythmogenic conditions. Research suggests an association with proteins like ZO-1 and Connexin 37 which may affect cell proliferation and migration in cancerous tissues. Understanding these connections highlights Connexin 43's potential as a target for therapeutic interventions in related diseases.

Product protocols

For this product, it's our understanding that no specific protocols are required. You can visit:

Target data

Gap junction protein that acts as a regulator of bladder capacity. A gap junction consists of a cluster of closely packed pairs of transmembrane channels, the connexons, through which materials of low MW diffuse from one cell to a neighboring cell. May play a critical role in the physiology of hearing by participating in the recycling of potassium to the cochlear endolymph. Negative regulator of bladder functional capacity : acts by enhancing intercellular electrical and chemical transmission, thus sensitizing bladder muscles to cholinergic neural stimuli and causing them to contract (By similarity). May play a role in cell growth inhibition through the regulation of NOV expression and localization. Plays an essential role in gap junction communication in the ventricles (By similarity).
See full target information GJA1

Publications (1)

Recent publications for all applications. Explore the full list and refine your search

Medicine 103:e37811 PubMed38608055

2024

Effect of connexin 43 in LPS/IL-4-induced macrophage M1/M2 polarization: An observational study.

Applications

Unspecified application

Species

Unspecified reactive species

Pengchen He,Mingxing Dai,Zongpin Li,Xiaoyi Wang,Hongyuan Liu,Yixiao He,Han Jiang
View all publications

Product promise

We are committed to supporting your work with high-quality reagents, and we're here for you every step of the way. In the unlikely event that one of our products does not perform as expected, you're protected by our Product Promise.
For full details, please see our Terms & Conditions

Please note: All products are 'FOR RESEARCH USE ONLY. NOT FOR USE IN DIAGNOSTIC OR THERAPEUTIC PROCEDURES'.

For licensing inquiries, please contact partnerships@abcam.com