JavaScript is disabled in your browser. Please enable JavaScript to view this website.
AB312837

Anti-Connexin 43 / GJA1 (phospho Y265) antibody [EPR26416-134] - BSA and Azide free

Be the first to review this product! Submit a review

|

(0 Publication)

Rabbit Recombinant Monoclonal Connexin 43 / GJA1 phospho Y265 antibody. Carrier free. Suitable for WB, Dot, ICC/IF, IP and reacts with Transfected cell lysate - Human, Human, Transfected cell lysate - Mouse, Synthetic peptide, Transfected cell line - Human samples.

View Alternative Names

GJAL, GJA1, Gap junction alpha-1 protein, Connexin-43, Gap junction 43 kDa heart protein, Cx43

7 Images
Immunocytochemistry/ Immunofluorescence - Anti-Connexin 43 / GJA1 (phospho Y265) antibody [EPR26416-134] - BSA and Azide free (AB312837)
  • ICC/IF

Supplier Data

Immunocytochemistry/ Immunofluorescence - Anti-Connexin 43 / GJA1 (phospho Y265) antibody [EPR26416-134] - BSA and Azide free (AB312837)

This data was developed using ab312836, the same antibody clone in a different buffer formulation. Immunofluorescent analysis of 4% Paraformaldehyde-fixed, 0.1% TritonX-100 permeabilized HeLa (human cervical adenocarcinoma epithelial cell) cells labelling Connexin 43 / GJA1 (phospho Y265) with ab312836 at 1/8000 (0.061 ug/ml) dilution, followed by ab150081 Goat Anti-Rabbit IgG H&L (Alexa Fluor® 488) preadsorbed antibody at 1/1000 (2 ug/ml) dilution (Green). Confocal image showing cytoplasmic and membranous staining in HeLa cells transfected with a human Connexin-43 wildtype and V-SRC wildtype expression vectors containing a myc tag and showing no staining in HeLa cells transfected with a human Connexin-43 Y265F and V-SRC wildtype expression vectors containing a myc tag. Image was taken with a confocal microscope(Leica-Microsystems, TCS SP8). Myc-Tag Mouse mAb (Alexa Fluor® 647) was used to counterstain tubulin at 1/100 (0.38 ug/ml) dilution (Red). The Nuclear counterstain was DAPI (Blue). Secondary antibody only control : Secondary antibody is ab150081 Goat Anti-Rabbit IgG H&L (Alexa Fluor® 488) preadsorbed at 1/1000 (2 ug/ml) dilution.

Immunoprecipitation - Anti-Connexin 43 / GJA1 (phospho Y265) antibody [EPR26416-134] - BSA and Azide free (AB312837)
  • IP

Supplier Data

Immunoprecipitation - Anti-Connexin 43 / GJA1 (phospho Y265) antibody [EPR26416-134] - BSA and Azide free (AB312837)

This data was developed using ab312836, the same antibody clone in a different buffer formulation. Connexin 43 / GJA1 (phospho Y265) was immunoprecipitated from 0.35 mg HeLa (human cervical adenocarcinoma epithelial cell) cells co-transfected with a human GJA1 expression vector containing a myc-His-tag® and a RSV-SR-A V-SRC expression vector containing a myc-His-tag® whole cell lysate with ab312836 at 1/30 dilution (2ug in 0.35mg lysates). Western blot was performed on the immunoprecipitate using ab312836 at 1/1000 dilution. VeriBlot for IP secondary antibody(HRP)(ab131366) was used at 1/5000 dilution. Lane 1 : HeLa (human cervical adenocarcinoma epithelial cell) cells co-transfected with a human GJA1 expression vector containing a myc-His-tag® and a RSV-SR-A V-SRC expression vector containing a myc-His-tag® whole cell lysate Lane 2 : HeLa (human cervical adenocarcinoma epithelial cell) cells co-transfected with a human GJA1 expression vector containing a myc-His-tag® and a RSV-SR-A V-SRC expression vector containing a myc-His-tag® whole cell lysate Lane 3 : Rabbit monoclonal IgG (ab172730) instead of ab312836 in HeLa cells co-transfected with a human GJA1 expression vector containing a myc-His-tag® and a RSV-SR-A V-SRC expression vector containing a myc-His-tag® whole cell lysate Blocking and dilution buffer and concentration : 5% NFDM/TBST. Exposure time : 8 seconds

All lanes:

Immunoprecipitation - Anti-Connexin 43 / GJA1 (phospho Y265) antibody [EPR26416-134] (<a href='/en-us/products/primary-antibodies/connexin-43-gja1-phospho-y265-antibody-epr26416-134-ab312836'>ab312836</a>) at 1/30 dilution

All lanes:

HeLa cells co-transfected with a human GJA1 expression vector containing a myc-His-tag® and a RSV-SR-A V-SRC expression vector containing a myc-His-tag® whole cell lysate at 2 µg

Secondary

All lanes:

Immunoprecipitation - VeriBlot for IP Detection Reagent (HRP) (<a href='/en-us/products/reagents/veriblot-for-ip-detection-reagent-hrp-ab131366'>ab131366</a>) at 1/5000 dilution

false

Exposure time: 8s

Western blot - Anti-Connexin 43 / GJA1 (phospho Y265) antibody [EPR26416-134] - BSA and Azide free (AB312837)
  • WB

Supplier Data

Western blot - Anti-Connexin 43 / GJA1 (phospho Y265) antibody [EPR26416-134] - BSA and Azide free (AB312837)

This data was developed using ab312836, the same antibody clone in a different buffer formulation.

Blocking and diluting buffer and concentration : 5% NFDM/TBST

This blot was developed using a high sensitivity ECL substrate. The high-sensitivity ECL substrate used allows for the detection of proteins in the mid-femtogram range.

Alkaline phosphatase. - : untreated membrane; + : phosphatase treated membrane.

In Western blot, anti-GAPDH antibody (ab181602) loading control staining at 1/200000 dilution.

All lanes:

Western blot - Anti-Connexin 43 / GJA1 (phospho Y265) antibody [EPR26416-134] (<a href='/en-us/products/primary-antibodies/connexin-43-gja1-phospho-y265-antibody-epr26416-134-ab312836'>ab312836</a>) at 1/1000 dilution

Lane 1:

Untreated HeLa (human cervical adenocarcinoma epithelial cell) whole cell lysate at 20 µg

Lane 2:

HeLa treated with 30mM pervanadate for 30 minutes whole cell lysate at 20 µg

Secondary

All lanes:

Western blot - Goat Anti-Rabbit IgG H&L (HRP) (<a href='/en-us/products/secondary-antibodies/goat-rabbit-igg-h-l-hrp-ab97051'>ab97051</a>) at 1/100000 dilution

Observed band size: 43 kDa

true

Exposure time: 180s

Western blot - Anti-Connexin 43 / GJA1 (phospho Y265) antibody [EPR26416-134] - BSA and Azide free (AB312837)
  • WB

Lab

Western blot - Anti-Connexin 43 / GJA1 (phospho Y265) antibody [EPR26416-134] - BSA and Azide free (AB312837)

This data was developed using ab312836, the same antibody clone in a different buffer formulation.

Blocking and diluting buffer and concentration : 5% NFDM/TBST.

The expression profile/ molecular weight observed is consistent with what has been described in the literature (PMID : 15371442,PMID : 30054380).

All lanes:

Western blot - Anti-Connexin 43 / GJA1 (phospho Y265) antibody [EPR26416-134] (<a href='/en-us/products/primary-antibodies/connexin-43-gja1-phospho-y265-antibody-epr26416-134-ab312836'>ab312836</a>) at 1/1000 dilution

Lane 1:

Untreated HeLa (human cervical adenocarcinoma epithelial cell) whole cell lysate at 20 µg

Lane 2:

HeLa treated with 1mM pervanadate for 60 minutes whole cell lysate at 20 µg

Secondary

All lanes:

Western blot - Goat Anti-Rabbit IgG H&L (HRP) (<a href='/en-us/products/secondary-antibodies/goat-rabbit-igg-h-l-hrp-ab97051'>ab97051</a>) at 1/1000 dilution

Observed band size: 43 kDa

false

Exposure time: 60s

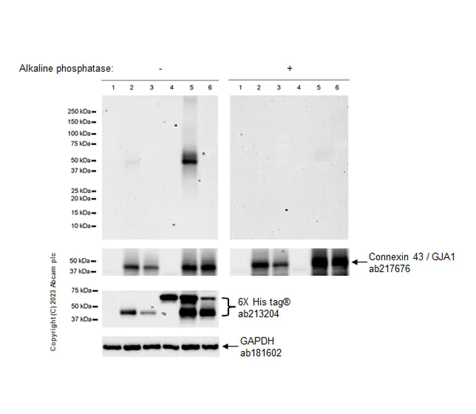
Western blot - Anti-Connexin 43 / GJA1 (phospho Y265) antibody [EPR26416-134] - BSA and Azide free (AB312837)
  • WB

Supplier Data

Western blot - Anti-Connexin 43 / GJA1 (phospho Y265) antibody [EPR26416-134] - BSA and Azide free (AB312837)

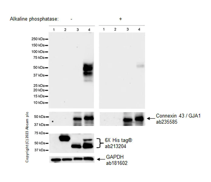
This data was developed using ab312836, the same antibody clone in a different buffer formulation. Blocking and diluting buffer and concentration : 5% NFDM/TBST The expression profile/ molecular weight observed is consistent with what has been described in the literature (PMID : 18649180; PMID : 30448479). Alkaline phosphatase. - : untreated membrane; + : phosphatase treated membrane. In Western blot, anti-His antibody (ab213204) staining at 1/5000 dilution. Anti-GAPDH antibody (ab181602) loading control staining at 1/200000 dilution. Anti-Connexin 43 / GJA1 antibody [EPR21153] (ab235585) total protein control staining at 1/1000 dilution. Exposure time : 70 seconds

All lanes:

Western blot - Anti-Connexin 43 / GJA1 (phospho Y265) antibody [EPR26416-134] (<a href='/en-us/products/primary-antibodies/connexin-43-gja1-phospho-y265-antibody-epr26416-134-ab312836'>ab312836</a>) at 1/1000 dilution

Lane 1:

HeLa (human cervical adenocarcinoma epithelial cell) cells transfected with an empty vector containi a myc-His-tag® whole cell lysate at 20 µg

Lane 2:

HeLa cells transfected with a RSV-SR-A V-SRC expression vector containi a myc-His-tag® whole cell lysate at 20 µg

Lane 3:

HeLa cells transfected with a mouse GJA1 expression vector containi a myc-His-tag® whole cell lysate at 20 µg

Lane 4:

HeLa cells co-transfected with a mouse GJA1 expression vector containi a myc-His-tag® and a RSV-SR-A V-SRC expression vector containi a myc-His-tag® whole cell lysate at 20 µg

Secondary

All lanes:

Western blot - Goat Anti-Rabbit IgG H&L (HRP) (<a href='/en-us/products/secondary-antibodies/goat-rabbit-igg-h-l-hrp-ab97051'>ab97051</a>) at 1/100000 dilution

Observed band size: 48 kDa,55 kDa

false

Exposure time: 70s

Western blot - Anti-Connexin 43 / GJA1 (phospho Y265) antibody [EPR26416-134] - BSA and Azide free (AB312837)
  • WB

Supplier Data

Western blot - Anti-Connexin 43 / GJA1 (phospho Y265) antibody [EPR26416-134] - BSA and Azide free (AB312837)

This data was developed using ab312836, the same antibody clone in a different buffer formulation.

Blocking and diluting buffer and concentration : 5% NFDM/TBST

The expression profile/ molecular weight observed is consistent with what has been described in the literature (PMID : 18649180; PMID : 30448479).

This blot was developed using a high sensitivity ECL substrate. The high-sensitivity ECL substrate used allows for the detection of proteins in the mid-femtogram range.

Alkaline phosphatase. - : untreated membrane; + : phosphatase treated membrane.

In Western blot, anti-His antibody (ab213204) staining at 1/5000 dilution.

Anti-GAPDH antibody (ab181602) loading control staining at 1/200000 dilution.

Anti-Connexin 43 / GJA1 antibody [EPR21153] (ab217676) total protein control staining at 1/1000 dilution.

All lanes:

Western blot - Anti-Connexin 43 / GJA1 (phospho Y265) antibody [EPR26416-134] (<a href='/en-us/products/primary-antibodies/connexin-43-gja1-phospho-y265-antibody-epr26416-134-ab312836'>ab312836</a>) at 1/1000 dilution

Lane 1:

HeLa (human cervical adenocarcinoma epithelial cell) cells transfected with an empty vector containi a myc-His-tag® whole cell lysate at 20 µg

Lane 2:

HeLa cells transfected with a human GJA1 expression vector containi a myc-His-tag® whole cell lysate at 20 µg

Lane 3:

HeLa cells transfected with a human GJA1(Mutant Y265F) expression vector containi a myc-His-tag® whole cell lysate at 20 µg

Lane 4:

HeLa cells transfected with a RSV-SR-A V-SRC expression vector containi a myc-His-tag® whole cell lysate at 20 µg

Lane 5:

HeLa cells co-transfected with a human GJA1 expression vector containi a myc-His-tag® and a RSV-SR-A V-SRC expression vector containi a myc-His-tag® whole cell lysate at 20 µg

Lane 6:

HeLa cells co-transfected with a human GJA1(Mutant Y265F) expression vector containi a myc-His-tag® and a RSV-SR-A V-SRC expression vector containi a myc-His-tag® whole cell lysate at 20 µg

Secondary

All lanes:

Western blot - Goat Anti-Rabbit IgG H&L (HRP) (<a href='/en-us/products/secondary-antibodies/goat-rabbit-igg-h-l-hrp-ab97051'>ab97051</a>) at 1/100000 dilution

Observed band size: 43 kDa

true

Exposure time: 92s

Dot Blot - Anti-Connexin 43 / GJA1 (phospho Y265) antibody [EPR26416-134] - BSA and Azide free (AB312837)
  • Dot

Supplier Data

Dot Blot - Anti-Connexin 43 / GJA1 (phospho Y265) antibody [EPR26416-134] - BSA and Azide free (AB312837)

This data was developed using ab312836, the same antibody clone in a different buffer formulation. Dot blot analysis of Connexin 43 / GJA1 (phospho Y265) using ab312836 at 1 : 1000 (0.484 ug/ml) followed by a Goat Anti-Rabbit IgG, (H+L), Peroxidase conjugated (ab97051) at 1 : 100,000 dilution. Lane 1 : Connexin 43 / GJA1 (phospho Y265) peptide a Lane 2 : Connexin 43 / GJA1 (phospho Y265) peptide b Lane 3 : Connexin 43 / GJA1 non-phospho peptide Exposure time : 180 seconds Blocking and diluting buffer and concentration : 5% NFDM/TBST

  • Unconjugated

    Anti-Connexin 43 / GJA1 (phospho Y265) antibody [EPR26416-134]

Key facts

Host species

Rabbit

Clonality

Monoclonal

Clone number

EPR26416-134

Isotype

IgG

Carrier free

Yes

Reacts with

Human, Mouse

Applications

WB, IP, ICC/IF, Dot

applications

Immunogen

The exact immunogen used to generate this antibody is proprietary information.

Reactivity data

{ "title": "Reactivity Data", "filters": { "stats": ["", "Species", "Dilution Info", "Notes"], "tabs": { "all-applications": {"fullname" : "All Applications", "shortname": "All Applications"}, "WB" : {"fullname" : "Western blot", "shortname":"WB"}, "Dot" : {"fullname" : "Dot Blot", "shortname":"Dot"}, "ICCIF" : {"fullname" : "Immunocytochemistry/ Immunofluorescence", "shortname":"ICC/IF"}, "IP" : {"fullname" : "Immunoprecipitation", "shortname":"IP"}, "IHCP" : {"fullname" : "Immunohistochemistry (Formalin/PFA-fixed paraffin-embedded sections)", "shortname":"IHC-P"}, "FlowCytIntra" : {"fullname" : "Flow Cytometry (Intracellular)", "shortname":"Flow Cyt (Intra)"} }, "product-promise": { "all": "all", "testedAndGuaranteed": "tested", "guaranteed": "expected", "predicted": "predicted", "notRecommended": "not-recommended" } }, "values": { "Human": { "WB-species-checked": "testedAndGuaranteed", "WB-species-dilution-info": "", "WB-species-notes": "<p></p>", "Dot-species-checked": "guaranteed", "Dot-species-dilution-info": "", "Dot-species-notes": "", "ICCIF-species-checked": "testedAndGuaranteed", "ICCIF-species-dilution-info": "", "ICCIF-species-notes": "<p></p>", "IP-species-checked": "testedAndGuaranteed", "IP-species-dilution-info": "", "IP-species-notes": "<p></p>", "IHCP-species-checked": "notRecommended", "IHCP-species-dilution-info": "", "IHCP-species-notes": "<p></p>", "FlowCytIntra-species-checked": "notRecommended", "FlowCytIntra-species-dilution-info": "", "FlowCytIntra-species-notes": "<p></p>" }, "Mouse": { "WB-species-checked": "predicted", "WB-species-dilution-info": "", "WB-species-notes": "", "Dot-species-checked": "predicted", "Dot-species-dilution-info": "", "Dot-species-notes": "", "ICCIF-species-checked": "predicted", "ICCIF-species-dilution-info": "", "ICCIF-species-notes": "", "IP-species-checked": "predicted", "IP-species-dilution-info": "", "IP-species-notes": "", "IHCP-species-checked": "notRecommended", "IHCP-species-dilution-info": "", "IHCP-species-notes": "<p></p>", "FlowCytIntra-species-checked": "notRecommended", "FlowCytIntra-species-dilution-info": "", "FlowCytIntra-species-notes": "" }, "Rat": { "WB-species-checked": "notRecommended", "WB-species-dilution-info": "", "WB-species-notes": "", "Dot-species-checked": "notRecommended", "Dot-species-dilution-info": "", "Dot-species-notes": "", "ICCIF-species-checked": "notRecommended", "ICCIF-species-dilution-info": "", "ICCIF-species-notes": "", "IP-species-checked": "notRecommended", "IP-species-dilution-info": "", "IP-species-notes": "", "IHCP-species-checked": "notRecommended", "IHCP-species-dilution-info": "", "IHCP-species-notes": "<p></p>", "FlowCytIntra-species-checked": "notRecommended", "FlowCytIntra-species-dilution-info": "", "FlowCytIntra-species-notes": "" }, "Synthetic peptide": { "WB-species-checked": "notRecommended", "WB-species-dilution-info": "", "WB-species-notes": "", "Dot-species-checked": "testedAndGuaranteed", "Dot-species-dilution-info": "", "Dot-species-notes": "<p></p>", "ICCIF-species-checked": "notRecommended", "ICCIF-species-dilution-info": "", "ICCIF-species-notes": "", "IP-species-checked": "notRecommended", "IP-species-dilution-info": "", "IP-species-notes": "", "IHCP-species-checked": "notRecommended", "IHCP-species-dilution-info": "", "IHCP-species-notes": "", "FlowCytIntra-species-checked": "notRecommended", "FlowCytIntra-species-dilution-info": "", "FlowCytIntra-species-notes": "" }, "Transfected cell line - Human": { "WB-species-checked": "notRecommended", "WB-species-dilution-info": "", "WB-species-notes": "", "Dot-species-checked": "notRecommended", "Dot-species-dilution-info": "", "Dot-species-notes": "", "ICCIF-species-checked": "testedAndGuaranteed", "ICCIF-species-dilution-info": "", "ICCIF-species-notes": "<p></p>", "IP-species-checked": "notRecommended", "IP-species-dilution-info": "", "IP-species-notes": "", "IHCP-species-checked": "notRecommended", "IHCP-species-dilution-info": "", "IHCP-species-notes": "", "FlowCytIntra-species-checked": "notRecommended", "FlowCytIntra-species-dilution-info": "", "FlowCytIntra-species-notes": "" }, "Transfected cell lysate - Human": { "WB-species-checked": "testedAndGuaranteed", "WB-species-dilution-info": "", "WB-species-notes": "<p></p>", "Dot-species-checked": "notRecommended", "Dot-species-dilution-info": "", "Dot-species-notes": "", "ICCIF-species-checked": "notRecommended", "ICCIF-species-dilution-info": "", "ICCIF-species-notes": "", "IP-species-checked": "testedAndGuaranteed", "IP-species-dilution-info": "", "IP-species-notes": "<p></p>", "IHCP-species-checked": "notRecommended", "IHCP-species-dilution-info": "", "IHCP-species-notes": "", "FlowCytIntra-species-checked": "notRecommended", "FlowCytIntra-species-dilution-info": "", "FlowCytIntra-species-notes": "" }, "Transfected cell lysate - Mouse": { "WB-species-checked": "testedAndGuaranteed", "WB-species-dilution-info": "", "WB-species-notes": "<p></p>", "Dot-species-checked": "notRecommended", "Dot-species-dilution-info": "", "Dot-species-notes": "", "ICCIF-species-checked": "notRecommended", "ICCIF-species-dilution-info": "", "ICCIF-species-notes": "", "IP-species-checked": "notRecommended", "IP-species-dilution-info": "", "IP-species-notes": "", "IHCP-species-checked": "notRecommended", "IHCP-species-dilution-info": "", "IHCP-species-notes": "", "FlowCytIntra-species-checked": "notRecommended", "FlowCytIntra-species-dilution-info": "", "FlowCytIntra-species-notes": "" } } }

Product details

Patented technology
Our RabMAb® technology is a patented hybridoma-based technology for making rabbit monoclonal antibodies. For details on our patents, please refer to RabMAb® patents.

What are the advantages of a recombinant monoclonal antibody?
This product is a recombinant monoclonal antibody, which offers several advantages including:

  • - High batch-to-batch consistency and reproducibility
  • - Improved sensitivity and specificity
  • - Long-term security of supply
  • - Animal-free batch production

For more information, read more on recombinant antibodies.

Conjugation ready
Our carrier-free antibodies are typically supplied in a PBS-only formulation, purified and free of BSA, sodium azide and glycerol. This conjugation-ready format is designed for use with fluorochromes, metal isotopes, oligonucleotides, and enzymes, which makes them ideal for antibody labelling, functional and cell-based assays, flow-based assays (e.g. mass cytometry) and Multiplex Imaging applications.

Use our conjugation kits for antibody conjugates that are ready-to-use in as little as 20 minutes with 1 minute hands-on-time and 100% antibody recovery: available for fluorescent dyes, HRP, biotin and gold.

Compatibility
This product is compatible with the Maxpar® Antibody Labeling Kit from Fluidigm, without the need for antibody preparation. Maxpar® is a trademark of Fluidigm Canada Inc.

Properties and storage information

Form
Liquid
Purification technique
Affinity purification Protein A
Storage buffer
pH: 7.2 - 7.4 Constituents: PBS
Shipped at conditions
Blue Ice
Appropriate short-term storage conditions
+4°C
Appropriate long-term storage conditions
+4°C

Supplementary information

This supplementary information is collated from multiple sources and compiled automatically.

Connexin 43 also known as GJA1 is a protein that plays an important role in cell communication through gap junctions. It has a molecular weight of approximately 43 kDa. Connexin 43 gets expressed in various tissues including the heart and brain where it facilitates cellular signaling. This protein integrates into cell membranes to form gap junction channels allowing direct transfer of ions and small molecules between adjacent cells. Researchers often use techniques such as Western blot to detect Connexin 43 expression levels in studies of cellular communications.
Biological function summary

This protein facilitates electrical and chemical coupling between cells by forming intercellular channels. These channels arise from the assembly of six Connexin 43 subunits into hemichannels which dock with hemichannels on neighboring cells. This protein has a critical component in the cardiac and neural tissues where rapid communication is essential for proper function. Connexin 43 engages in complex assemblies with other connexins enhancing its role in synchronizing cell activities.

Pathways

Connexin 43 significantly influences signal transduction processes. It acts within the MAPK signaling pathway which impacts cellular responses such as growth and differentiation. Additionally this protein plays a role in calcium signaling a pathway important for muscle contraction and neurotransmitter release. Interacting proteins like Connexin 30 and Connexin 45 further regulate these pathways affecting the amplitude and duration of signaling.

Connexin 43 has been linked to cardiac arrhythmias and some forms of cancer. Mutations or altered expression of Connexin 43 can disrupt the electrical conduction in cardiac tissue leading to arrhythmogenic conditions. Research suggests an association with proteins like ZO-1 and Connexin 37 which may affect cell proliferation and migration in cancerous tissues. Understanding these connections highlights Connexin 43's potential as a target for therapeutic interventions in related diseases.

Product protocols

For this product, it's our understanding that no specific protocols are required. You can visit:

Target data

Gap junction protein that acts as a regulator of bladder capacity. A gap junction consists of a cluster of closely packed pairs of transmembrane channels, the connexons, through which materials of low MW diffuse from one cell to a neighboring cell. May play a critical role in the physiology of hearing by participating in the recycling of potassium to the cochlear endolymph. Negative regulator of bladder functional capacity : acts by enhancing intercellular electrical and chemical transmission, thus sensitizing bladder muscles to cholinergic neural stimuli and causing them to contract (By similarity). May play a role in cell growth inhibition through the regulation of NOV expression and localization. Plays an essential role in gap junction communication in the ventricles (By similarity).
See full target information GJA1 phospho Y265

Product promise

We are committed to supporting your work with high-quality reagents, and we're here for you every step of the way. In the unlikely event that one of our products does not perform as expected, you're protected by our Product Promise.
For full details, please see our Terms & Conditions

Please note: All products are 'FOR RESEARCH USE ONLY. NOT FOR USE IN DIAGNOSTIC OR THERAPEUTIC PROCEDURES'.

For licensing inquiries, please contact partnerships@abcam.com