JavaScript is disabled in your browser. Please enable JavaScript to view this website.
AB316742

Anti-Connexin 45/GJA7/Cx45 antibody [EPR26705-152]

  • 20ul selling size
  • Recombinant
  • RabMAb
  • KO Validated
  • What is this?

Be the first to review this product! Submit a review

|

(0 Publication)

Rabbit Recombinant Monoclonal Connexin 45/GJA7/Cx45 antibody. Suitable for WB, IP and reacts with Human samples.

View Alternative Names

GJA7, GJC1, Gap junction gamma-1 protein, Connexin-45, Gap junction alpha-7 protein, Cx45

3 Images
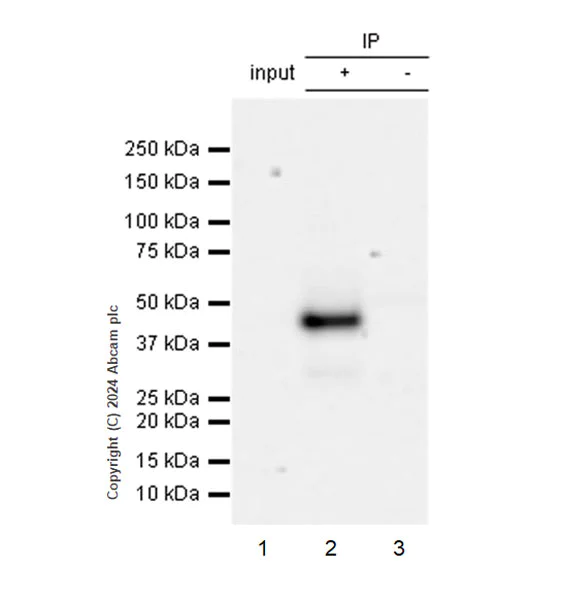
Immunoprecipitation - Anti-Connexin 45/GJA7/Cx45 antibody [EPR26705-152] (AB316742)
  • IP

Supplier Data

Immunoprecipitation - Anti-Connexin 45/GJA7/Cx45 antibody [EPR26705-152] (AB316742)

Connexin 45/GJA7/Cx45 was immunoprecipitated from 0.35 mg IMR-32 (human neuroblastoma neuroblast) whole cell lysate with ab316742 at 1/30 dilution (2ug in 0.35mg lysates). Western blot was performed on the immunoprecipitate using ab316742 at 1/1000 dilution. VeriBlot for IP secondary antibody(HRP)(ab131366) was used at 1/5000 dilution.

Lane 1 : IMR-32 (human neuroblastoma neuroblast) whole cell lysate
Lane 2 : ab316742 IP in IMR-32 (human neuroblastoma neuroblast) whole cell lysate
Lane 3 : Rabbit monoclonal IgG (ab172730) instead of ab316742 in IMR-32 whole cell lysate

All lanes:

Immunoprecipitation - Anti-Connexin 45/GJA7/Cx45 antibody [EPR26705-152] (ab316742) at 1/30 dilution

All lanes:

IMR-32 (human neuroblastoma neuroblast) whole cell lysate with 5% NFDM/TBST

Secondary

All lanes:

Immunoprecipitation - VeriBlot for IP Detection Reagent (HRP) (<a href='/en-us/products/reagents/veriblot-for-ip-detection-reagent-hrp-ab131366'>ab131366</a>) at 1/5000 dilution

false

Exposure time: 8s

Western blot - Anti-Connexin 45/GJA7/Cx45 antibody [EPR26705-152] (AB316742)
  • WB

Supplier Data

Western blot - Anti-Connexin 45/GJA7/Cx45 antibody [EPR26705-152] (AB316742)

Negative control : MCF7, HT-29.

In Western blot, Anti-GAPDH antibody [EPR16891] - Loading Control (ab181602) staining at 1/200000 dilution.

Exposure time : Lane 1 : 180 seconds; Lanes 2-5 : 37 seconds.

All lanes:

Western blot - Anti-Connexin 45/GJA7/Cx45 antibody [EPR26705-152] (ab316742) at 1/1000 dilution

Lane 1:

HeLa (human cervical adenocarcinoma epithelial cell) whole cell lysate at 20 µg with 5% NFDM/TBST

Lane 2:

NCI-H1299 (human lung carcinoma epithelial cell) whole cell lysate at 20 µg with 5% NFDM/TBST

Lane 3:

IMR-32 (human neuroblastoma neuroblast) whole cell lysate at 20 µg with 5% NFDM/TBST

Lane 4:

MCF7 (human breast adenocarcinoma epithelial cell) whole cell lysate at 20 µg with 5% NFDM/TBST

Lane 5:

HT-29 (human colorectal adenocarcinoma epithelial cell) whole cell lysate at 20 µg with 5% NFDM/TBST

Secondary

All lanes:

Western blot - Goat Anti-Rabbit IgG H&L (HRP) (<a href='/en-us/products/secondary-antibodies/goat-rabbit-igg-h-l-hrp-ab97051'>ab97051</a>) at 1/20000 dilution

Observed band size: 45 kDa,36 kDa

false

Western blot - Anti-Connexin 45/GJA7/Cx45 antibody [EPR26705-152] (AB316742)
  • WB

Lab

Western blot - Anti-Connexin 45/GJA7/Cx45 antibody [EPR26705-152] (AB316742)

Western blot : Anti-Connexin 45/GJA7/Cx45 antibody [EPR26705-152] ab316742 staining at 1/1000 dilution, shown in green; Mouse anti-CANX (ab238078) loading control staining at 1/20,000 dilution, shown in magenta. A band was observed at 45 kDa in Wild-type A549 UNBOILED cell lysates with no signal observed at this size in GJC1 knockout A549 UNBOILED cell line. To generate this image, samples were run on an SDS-PAGE gel then transferred onto a nitrocellulose membrane. Membranes were blocked in 3pc Milk in TBS-0.1 % Tween® 20 (TBS-T) before incubation with primary antibodies overnight at 4°C. Blots were washed four times in TBS-T, incubated with secondary antibodies for 1 h at room temperature, washed again four times then imaged. Secondary antibodies used were Goat anti-Rabbit 800CW & Goat anti-Mouse 680RD at 1/20,000 dilution.

All lanes:

Western blot - Anti-Connexin 45/GJA7/Cx45 antibody [EPR26705-152] (ab316742) at 1/1000 dilution

Lane 1:

Wild-type A549 UNBOILED at 20 µg

Lane 2:

GJC1 knockout A549 UNBOILED at 20 µg

Lane 3:

U-2 OS UNBOILED at 20 µg

Lane 4:

MCF7 UNBOILED at 20 µg

Secondary

All lanes:

Goat anti-Rabbit 800CW & Goat anti-Mouse 680RD at 1/20000 dilution

Predicted band size: 45 kDa

Observed band size: 45 kDa

false

  • Carrier free

    Anti-Connexin 45/GJA7/Cx45 antibody [EPR26705-152] - BSA and Azide free

Key facts

Host species

Rabbit

Clonality

Monoclonal

Clone number

EPR26705-152

Isotype

IgG

Carrier free

No

Reacts with

Human

Applications

WB, IP

applications

Immunogen

The exact immunogen used to generate this antibody is proprietary information.

Reactivity data

{ "title": "Reactivity Data", "filters": { "stats": ["", "Species", "Dilution Info", "Notes"], "tabs": { "all-applications": {"fullname" : "All Applications", "shortname": "All Applications"}, "WB" : {"fullname" : "Western blot", "shortname":"WB"}, "IP" : {"fullname" : "Immunoprecipitation", "shortname":"IP"}, "IHCP" : {"fullname" : "Immunohistochemistry (Formalin/PFA-fixed paraffin-embedded sections)", "shortname":"IHC-P"}, "FlowCytIntra" : {"fullname" : "Flow Cytometry (Intracellular)", "shortname":"Flow Cyt (Intra)"}, "ICCIF" : {"fullname" : "Immunocytochemistry/ Immunofluorescence", "shortname":"ICC/IF"} }, "product-promise": { "all": "all", "testedAndGuaranteed": "tested", "guaranteed": "expected", "predicted": "predicted", "notRecommended": "not-recommended" } }, "values": { "Human": { "WB-species-checked": "testedAndGuaranteed", "WB-species-dilution-info": "1/1000", "WB-species-notes": "<p></p>", "IP-species-checked": "testedAndGuaranteed", "IP-species-dilution-info": "1/30", "IP-species-notes": "<p></p>", "IHCP-species-checked": "notRecommended", "IHCP-species-dilution-info": "", "IHCP-species-notes": "<p></p>", "FlowCytIntra-species-checked": "notRecommended", "FlowCytIntra-species-dilution-info": "", "FlowCytIntra-species-notes": "<p></p>", "ICCIF-species-checked": "notRecommended", "ICCIF-species-dilution-info": "", "ICCIF-species-notes": "<p></p>" }, "Mouse": { "WB-species-checked": "notRecommended", "WB-species-dilution-info": "", "WB-species-notes": "<p></p>", "IP-species-checked": "notRecommended", "IP-species-dilution-info": "", "IP-species-notes": "", "IHCP-species-checked": "notRecommended", "IHCP-species-dilution-info": "", "IHCP-species-notes": "<p></p>", "FlowCytIntra-species-checked": "notRecommended", "FlowCytIntra-species-dilution-info": "", "FlowCytIntra-species-notes": "", "ICCIF-species-checked": "notRecommended", "ICCIF-species-dilution-info": "", "ICCIF-species-notes": "" }, "Rat": { "WB-species-checked": "notRecommended", "WB-species-dilution-info": "", "WB-species-notes": "<p></p>", "IP-species-checked": "notRecommended", "IP-species-dilution-info": "", "IP-species-notes": "", "IHCP-species-checked": "notRecommended", "IHCP-species-dilution-info": "", "IHCP-species-notes": "<p></p>", "FlowCytIntra-species-checked": "notRecommended", "FlowCytIntra-species-dilution-info": "", "FlowCytIntra-species-notes": "", "ICCIF-species-checked": "notRecommended", "ICCIF-species-dilution-info": "", "ICCIF-species-notes": "" } } }

Product details

Patented technology
Our RabMAb® technology is a patented hybridoma-based technology for making rabbit monoclonal antibodies. For details on our patents, please refer to RabMAb® patents.

What are the advantages of a recombinant monoclonal antibody?
This product is a recombinant monoclonal antibody, which offers several advantages including:

  • - High batch-to-batch consistency and reproducibility
  • - Improved sensitivity and specificity
  • - Long-term security of supply
  • - Animal-free batch production

For more information, read more on recombinant antibodies.

Properties and storage information

Form
Liquid
Purification technique
Affinity purification Protein A
Storage buffer
pH: 7.2 - 7.4 Preservative: 0.01% Sodium azide Constituents: PBS, 40% Glycerol (glycerin, glycerine), 0.05% BSA
Shipped at conditions
Blue Ice
Appropriate short-term storage duration
1-2 weeks
Appropriate short-term storage conditions
+4°C
Appropriate long-term storage conditions
-20°C
Aliquoting information
Upon delivery aliquot
Storage information
Avoid freeze / thaw cycle

Supplementary information

This supplementary information is collated from multiple sources and compiled automatically.

Connexin 45 also known as Cx45 or GJA7 is a gap junction protein that enables cellular communication by forming channels between adjacent cells. The channels regulate ion and small molecule passage which is critical for maintaining cellular homeostasis. Cx45 has a molecular weight of approximately 45 kDa. This protein expresses in various tissues including the heart brain and smooth muscle indicating its diverse physiological roles.
Biological function summary

Cx45 plays an integral role in intercellular communication by participating in the formation of gap junction channels. It functions as part of the connexin family forming homomeric and heteromeric hemichannels that dock with hemichannels on adjacent cells. This connection is essential for electronic coupling and synchronous activity especially in the cardiac and neural tissues where timely communication is necessary for function.

Pathways

Cx45 contributes significantly to the cardiac conduction system and neural transmission pathways. In cardiac tissues it coordinates with connexin 43 to control electrical signal propagation and regulate heartbeat. Cx45 participates in neural pathways by forming functional networks that support synaptic transmission and neuronal synchronization thereby interacting with proteins like connexin 36.

Mutations or dysregulation of Cx45 associate with cardiac arrhythmias and neurological disorders like epilepsy. In the heart Cx45 along with connexin 43 is essential for maintaining normal cardiac rhythm and disturbances can lead to arrhythmogenic conditions. In the nervous system Cx45 dysfunction can affect neural circuitry contributing to epileptic seizures. It is vital to investigate the role of Cx45 in these conditions for developing therapeutic strategies.

Product protocols

For this product, it's our understanding that no specific protocols are required. You can visit:

Target data

One gap junction consists of a cluster of closely packed pairs of transmembrane channels, the connexons, through which materials of low MW diffuse from one cell to a neighboring cell.
See full target information GJC1

Product promise

We are committed to supporting your work with high-quality reagents, and we're here for you every step of the way. In the unlikely event that one of our products does not perform as expected, you're protected by our Product Promise.
For full details, please see our Terms & Conditions

Please note: All products are 'FOR RESEARCH USE ONLY. NOT FOR USE IN DIAGNOSTIC OR THERAPEUTIC PROCEDURES'.

For licensing inquiries, please contact partnerships@abcam.com