JavaScript is disabled in your browser. Please enable JavaScript to view this website.
AB186869

Anti-Constitutive androstane receptor antibody

3

(2 Reviews)

|

(8 Publications)

Rabbit Polyclonal Constitutive androstane receptor antibody. Suitable for WB, IHC-P, ICC/IF and reacts with Human, Mouse, Rat samples. Cited in 8 publications. Immunogen corresponding to Recombinant Fragment Protein within Human NR1I3 aa 100 to C-terminus.

View Alternative Names

CAR, NR1I3, Nuclear receptor subfamily 1 group I member 3, Constitutive activator of retinoid response, Constitutive androstane receptor, Orphan nuclear receptor MB67, Constitutive active response

5 Images
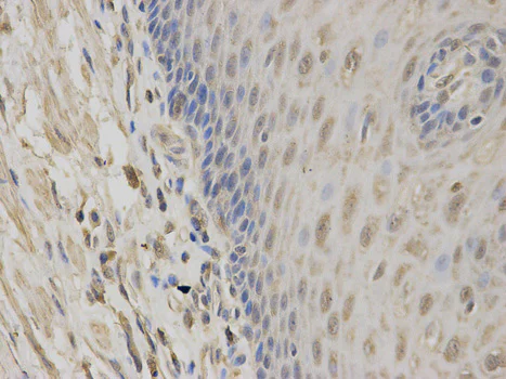
Immunohistochemistry (Formalin/PFA-fixed paraffin-embedded sections) - Anti-Constitutive androstane receptor antibody (AB186869)
  • IHC-P

Unknown

Immunohistochemistry (Formalin/PFA-fixed paraffin-embedded sections) - Anti-Constitutive androstane receptor antibody (AB186869)

Immunohistochemistry (Formalin/PFA-fixed paraffin-embedded sections) analysis of human esophagus tissue labelling Constitutive androstane receptor with ab186869 at 1/100. Magnification : 400x.

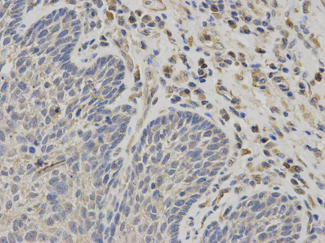
Immunohistochemistry (Formalin/PFA-fixed paraffin-embedded sections) - Anti-Constitutive androstane receptor antibody (AB186869)
  • IHC-P

Unknown

Immunohistochemistry (Formalin/PFA-fixed paraffin-embedded sections) - Anti-Constitutive androstane receptor antibody (AB186869)

Immunohistochemistry (Formalin/PFA-fixed paraffin-embedded sections) analysis of human esophageal cancer tissue labelling Constitutive androstane receptor with ab186869 at 1/100. Magnification : 400x.

Immunocytochemistry/ Immunofluorescence - Anti-Constitutive androstane receptor antibody (AB186869)
  • ICC/IF

Unknown

Immunocytochemistry/ Immunofluorescence - Anti-Constitutive androstane receptor antibody (AB186869)

Immunocytochemistry/Immunofluorescence analysis of U2OS cells using ab186869. Blue DAPI for nuclear staining.

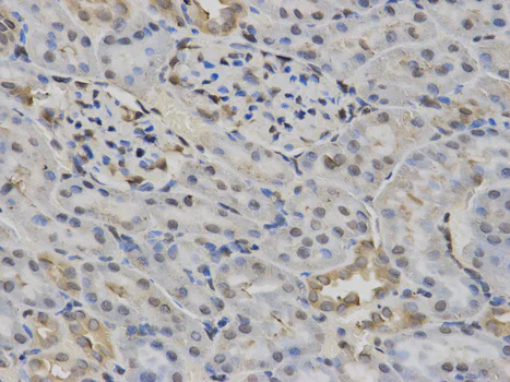
Immunohistochemistry (Formalin/PFA-fixed paraffin-embedded sections) - Anti-Constitutive androstane receptor antibody (AB186869)
  • IHC-P

Unknown

Immunohistochemistry (Formalin/PFA-fixed paraffin-embedded sections) - Anti-Constitutive androstane receptor antibody (AB186869)

Immunohistochemistry (Formalin/PFA-fixed paraffin-embedded sections) analysis of rat kidney tissue labelling Constitutive androstane receptor with ab186869 at 1/100. Magnification : 400x.

Western blot - Anti-Constitutive androstane receptor antibody (AB186869)
  • WB

Supplier Data

Western blot - Anti-Constitutive androstane receptor antibody (AB186869)

All lanes:

Western blot - Anti-Constitutive androstane receptor antibody (ab186869) at 1/500 dilution

Lane 1:

U87 cell lysate

Lane 2:

BT474 cell lysate

Lane 3:

Mouse liver tissue lysate

Predicted band size: 40 kDa

false

Key facts

Host species

Rabbit

Clonality

Polyclonal

Isotype

IgG

Carrier free

No

Reacts with

Mouse, Rat, Human

Applications

WB, IHC-P, ICC/IF

applications

Immunogen

Recombinant Fragment Protein within Human NR1I3 aa 100 to C-terminus. The exact immunogen used to generate this antibody is proprietary information.

Q14994

Reactivity data

{ "title": "Reactivity Data", "filters": { "stats": ["", "Species", "Dilution Info", "Notes"], "tabs": { "all-applications": {"fullname" : "All Applications", "shortname": "All Applications"}, "WB" : {"fullname" : "Western blot", "shortname":"WB"}, "IHCP" : {"fullname" : "Immunohistochemistry (Formalin/PFA-fixed paraffin-embedded sections)", "shortname":"IHC-P"}, "ICCIF" : {"fullname" : "Immunocytochemistry/ Immunofluorescence", "shortname":"ICC/IF"} }, "product-promise": { "all": "all", "testedAndGuaranteed": "tested", "guaranteed": "expected", "predicted": "predicted", "notRecommended": "not-recommended" } }, "values": { "Human": { "WB-species-checked": "testedAndGuaranteed", "WB-species-dilution-info": "1/500 - 1/2000", "WB-species-notes": "<p></p>", "IHCP-species-checked": "testedAndGuaranteed", "IHCP-species-dilution-info": "1/50 - 1/200", "IHCP-species-notes": "<p></p>", "ICCIF-species-checked": "testedAndGuaranteed", "ICCIF-species-dilution-info": "", "ICCIF-species-notes": "<p></p>" }, "Mouse": { "WB-species-checked": "testedAndGuaranteed", "WB-species-dilution-info": "1/500 - 1/2000", "WB-species-notes": "<p></p>", "IHCP-species-checked": "guaranteed", "IHCP-species-dilution-info": "", "IHCP-species-notes": "", "ICCIF-species-checked": "guaranteed", "ICCIF-species-dilution-info": "", "ICCIF-species-notes": "" }, "Rat": { "WB-species-checked": "guaranteed", "WB-species-dilution-info": "", "WB-species-notes": "", "IHCP-species-checked": "testedAndGuaranteed", "IHCP-species-dilution-info": "1/50 - 1/200", "IHCP-species-notes": "<p></p>", "ICCIF-species-checked": "guaranteed", "ICCIF-species-dilution-info": "", "ICCIF-species-notes": "" } } }

Properties and storage information

Form
Liquid
Purification technique
Affinity purification Immunogen
Storage buffer
pH: 7.3 Preservative: 0.02% Sodium azide Constituents: PBS, 50% Glycerol (glycerin, glycerine)
Shipped at conditions
Blue Ice
Appropriate short-term storage duration
1-2 weeks
Appropriate short-term storage conditions
+4°C
Appropriate long-term storage conditions
-20°C
Aliquoting information
Upon delivery aliquot
Storage information
Avoid freeze / thaw cycle

Supplementary information

This supplementary information is collated from multiple sources and compiled automatically.

The Constitutive Androstane Receptor (CAR) also known as NR1I3 (nuclear receptor subfamily 1 group I member 3) is a nuclear receptor and transcription factor with a molecular weight of approximately 40 kDa. Structurally it plays an important role in regulating the expression of genes involved in drug metabolism and clearance. CAR is highly expressed in the liver with lower levels in the intestine. It acts as a ligand-activated transcription factor undergoing conformational change upon ligand binding that facilitates interaction with other transcriptional regulators.
Biological function summary

CAR impacts the detoxification processes of xenobiotics and endogenous compounds. It does not function alone; instead it forms a heterodimer with Retinoid X Receptor (RXR) to bind DNA response elements. This interaction leads to the induction or repression of various genes. The dimerization with RXR is important for the activation of target genes involved in phase I and phase II drug metabolism influencing enzymes such as cytochrome P450s.

Pathways

CAR's role is significant in the xenobiotic and bilirubin clearance pathways. It regulates the transcription of enzymes in the cytochrome P450 family particularly CYP2B6 and CYP3A4. This protein has connections with other nuclear receptors like Pregnane X Receptor (PXR) which shares partial overlap in target genes assisting in the detoxification pathway. Both receptors contribute to a comprehensive regulation of hepatic drug metabolism.

CAR's function affects conditions like liver diseases and metabolic syndromes. Dysregulation of CAR activity links to liver carcinogenesis through its role in hepatic xenobiotic metabolism. Additionally alterations in CAR activity affect lipid metabolism potentially leading to metabolic disorders. Interacting proteins such as PXR also partake in these processes providing further insight into disease mechanisms influenced by this receptor.

Product protocols

For this product, it's our understanding that no specific protocols are required. You can visit:

Target data

Binds and transactivates the retinoic acid response elements that control expression of the retinoic acid receptor beta 2 and alcohol dehydrogenase 3 genes. Transactivates both the phenobarbital responsive element module of the human CYP2B6 gene and the CYP3A4 xenobiotic response element.
See full target information NR1I3

Publications (8)

Recent publications for all applications. Explore the full list and refine your search

Frontiers in immunology 16:1625104 PubMed40904458

2025

HNF4α contributes to hepatic CAR dysfunction in polymicrobial sepsis.

Applications

Unspecified application

Species

Unspecified reactive species

Céline Van Dender,Steven Timmermans,Maxime Roes,Madeleine Hellemans,Elise Moens,Louise Nuyttens,Maarten Claes,Bart Roman,Karolien De Bosscher,Jolien Vandewalle,Claude Libert

Journal of ginseng research 48:494-503 PubMed39263307

2024

Mechanism of Panax notoginseng saponins modulation of miR-214-3p/NR1I3 affecting the pharmacodynamics and pharmacokinetics of warfarin.

Applications

Unspecified application

Species

Unspecified reactive species

Yuting Yang,Zhenyu Zhai,Huiming Yao,Ling He,Jun Shao,Zirong Xia,Juxiang Li

Particle and fibre toxicology 20:10 PubMed37069663

2023

Type 1 diabetes and diet-induced obesity predispose C57BL/6J mice to PM-induced lung injury: a comparative study.

Applications

Unspecified application

Species

Unspecified reactive species

Shen Chen,Miao Li,Rui Zhang,Lizhu Ye,Yue Jiang,Xinhang Jiang,Hui Peng,Ziwei Wang,Zhanyu Guo,Liping Chen,Rong Zhang,Yujie Niu,Michael Aschner,Daochuan Li,Wen Chen

International journal of molecular sciences 22: PubMed34502180

2021

Activation of the Constitutive Androstane Receptor Inhibits Leukocyte Adhesiveness to Dysfunctional Endothelium.

Applications

Unspecified application

Species

Unspecified reactive species

Mireia López-Riera,Rebeca Ortega,Luisa Hueso,María Carmen Montesinos,Mari Carmen Gomez-Cabrera,María Jesús Sanz,José T Real,Laura Piqueras

Journal of cellular and molecular medicine 24:1848-1865 PubMed31880390

2019

Long non-coding RNA F11-AS1 inhibits HBV-related hepatocellular carcinoma progression by regulating NR1I3 via binding to microRNA-211-5p.

Applications

Unspecified application

Species

Unspecified reactive species

Yibin Deng,Zhongheng Wei,Meijin Huang,Guidan Xu,Wujun Wei,Bin Peng,Shunqiang Nong,Houji Qin

Cancers 11: PubMed31461945

2019

Lithocholic Acid, a Metabolite of the Microbiome, Increases Oxidative Stress in Breast Cancer.

Applications

Unspecified application

Species

Unspecified reactive species

Patrik Kovács,Tamás Csonka,Tünde Kovács,Zsanett Sári,Gyula Ujlaki,Adrien Sipos,Zsolt Karányi,Dóra Szeőcs,Csaba Hegedűs,Karen Uray,Laura Jankó,Máté Kiss,Borbála Kiss,Damya Laoui,László Virág,Gábor Méhes,Péter Bai,Edit Mikó

Biochimica et biophysica acta. General subjects 1862:2314-2322 PubMed30048740

2018

Effect of amyloid beta on ATP-binding cassette transporter expression and activity in porcine brain microvascular endothelial cells.

Applications

WB

Species

Unspecified reactive species

Maryam H Shubbar,Jeffrey I Penny

Molecular medicine reports 15:3459-3466 PubMed28393244

2017

Constitutive androstane receptor activation promotes bilirubin clearance in a murine model of alcoholic liver disease.

Applications

Unspecified application

Species

Unspecified reactive species

Xiuyan Wang,Liyu Zheng,Jinming Wu,Binbin Tang,Mengqin Zhang,Debin Zhu,Xianfan Lin
View all publications

Product promise

We are committed to supporting your work with high-quality reagents, and we're here for you every step of the way. In the unlikely event that one of our products does not perform as expected, you're protected by our Product Promise.
For full details, please see our Terms & Conditions

Please note: All products are 'FOR RESEARCH USE ONLY. NOT FOR USE IN DIAGNOSTIC OR THERAPEUTIC PROCEDURES'.

For licensing inquiries, please contact partnerships@abcam.com