JavaScript is disabled in your browser. Please enable JavaScript to view this website.
AB229639

Anti-COPB2 antibody

Be the first to review this product! Submit a review

|

(4 Publications)

Rabbit Polyclonal COPB2 antibody. Suitable for WB, IHC-P and reacts with Human samples. Cited in 4 publications. Immunogen corresponding to Recombinant Fragment Protein within Human Coatomer subunit beta' aa 650 to C-terminus.

View Alternative Names

Coatomer subunit beta', Beta'-coat protein, p102, Beta'-COP, COPB2

3 Images
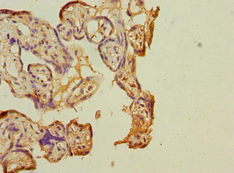
Immunohistochemistry (Formalin/PFA-fixed paraffin-embedded sections) - Anti-COPB2 antibody (AB229639)
  • IHC-P

Supplier Data

Immunohistochemistry (Formalin/PFA-fixed paraffin-embedded sections) - Anti-COPB2 antibody (AB229639)

Paraffin-embedded human placenta tissue stained for COPB2 with ab229639 at 1/100 dilution in immunohistochemical analysis.

Western blot - Anti-COPB2 antibody (AB229639)
  • WB

Supplier Data

Western blot - Anti-COPB2 antibody (AB229639)

All lanes:

Western blot - Anti-COPB2 antibody (ab229639) at 1/1000 dilution

Lane 1:

Human placenta tissue lysate

Lane 2:

MCF7 (human breast adenocarcinoma cell line) whole cell lysate

Lane 3:

HeLa (human epithelial cell line from cervix adenocarcinoma) whole cell lysate

Lane 4:

HepG2 (human liver hepatocellular carcinoma cell line) whole cell lysate

Lane 5:

Jurkat (human T cell leukemia cell line from peripheral blood) whole cell lysate

Secondary

All lanes:

Goat anti-Rabbit at 1/10000 dilution

Predicted band size: 102 kDa

Observed band size: 102 kDa

true

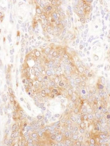
Immunohistochemistry (Formalin/PFA-fixed paraffin-embedded sections) - Anti-COPB2 antibody (AB229639)
  • IHC-P

Supplier Data

Immunohistochemistry (Formalin/PFA-fixed paraffin-embedded sections) - Anti-COPB2 antibody (AB229639)

Paraffin-embedded human spleen tissue stained for COPB2 with ab229639 at 1/100 dilution in immunohistochemical analysis.

Key facts

Host species

Rabbit

Clonality

Polyclonal

Isotype

IgG

Carrier free

No

Reacts with

Human

Applications

IHC-P, WB

applications

Immunogen

Recombinant Fragment Protein within Human Coatomer subunit beta' aa 650 to C-terminus. The exact immunogen used to generate this antibody is proprietary information.

P35606

Reactivity data

{ "title": "Reactivity Data", "filters": { "stats": ["", "Species", "Dilution Info", "Notes"], "tabs": { "all-applications": {"fullname" : "All Applications", "shortname": "All Applications"}, "WB" : {"fullname" : "Western blot", "shortname":"WB"}, "IHCP" : {"fullname" : "Immunohistochemistry (Formalin/PFA-fixed paraffin-embedded sections)", "shortname":"IHC-P"} }, "product-promise": { "all": "all", "testedAndGuaranteed": "tested", "guaranteed": "expected", "predicted": "predicted", "notRecommended": "not-recommended" } }, "values": { "Human": { "WB-species-checked": "testedAndGuaranteed", "WB-species-dilution-info": "1/1000 - 1/5000", "WB-species-notes": "<p></p>", "IHCP-species-checked": "testedAndGuaranteed", "IHCP-species-dilution-info": "1/20 - 1/200", "IHCP-species-notes": "<p></p>" }, "Mouse": { "WB-species-checked": "predicted", "WB-species-dilution-info": "", "WB-species-notes": "", "IHCP-species-checked": "predicted", "IHCP-species-dilution-info": "", "IHCP-species-notes": "" }, "Rat": { "WB-species-checked": "predicted", "WB-species-dilution-info": "", "WB-species-notes": "", "IHCP-species-checked": "predicted", "IHCP-species-dilution-info": "", "IHCP-species-notes": "" }, "Cow": { "WB-species-checked": "predicted", "WB-species-dilution-info": "", "WB-species-notes": "", "IHCP-species-checked": "predicted", "IHCP-species-dilution-info": "", "IHCP-species-notes": "" }, "Cynomolgus monkey": { "WB-species-checked": "predicted", "WB-species-dilution-info": "", "WB-species-notes": "", "IHCP-species-checked": "predicted", "IHCP-species-dilution-info": "", "IHCP-species-notes": "" }, "Orangutan": { "WB-species-checked": "predicted", "WB-species-dilution-info": "", "WB-species-notes": "", "IHCP-species-checked": "predicted", "IHCP-species-dilution-info": "", "IHCP-species-notes": "" } } }

Properties and storage information

Form
Liquid
Purification technique
Affinity purification Immunogen
Storage buffer
pH: 7.3 Preservative: 0.02% Sodium azide Constituents: PBS, 50% Glycerol (glycerin, glycerine)
Shipped at conditions
Blue Ice
Appropriate short-term storage duration
1-2 weeks
Appropriate short-term storage conditions
+4°C
Appropriate long-term storage conditions
-20°C
Aliquoting information
Upon delivery aliquot
Storage information
Avoid freeze / thaw cycle

Supplementary information

This supplementary information is collated from multiple sources and compiled automatically.

COPB2 also known as Coatomer Subunit Beta 2 plays a vital role in intracellular protein transport. It is part of the coatomer protein complex which participates in vesicle formation during the transport between the Golgi apparatus and endoplasmic reticulum. This protein has a molecular mass of approximately 102 kDa and is widely expressed in various tissues with significant expression in the liver brain and lungs. Its presence in multiple tissues highlights its broad role in cellular functions.
Biological function summary

COPB2 functions as a component of the larger coatomer complex which is made up of several subunits. This complex facilitates the retrograde transport of proteins from the Golgi back to the endoplasmic reticulum. Through this process COPB2 helps maintain protein homeostasis and ensures that essential proteins are rerouted for proper cellular functioning. Its interaction with other proteins in the coatomer complex supports structural integrity and transport efficiency.

Pathways

COPB2 is integrally involved in the COPI vesicle-mediated transport pathway. This pathway is important for maintaining the secretory pathway's quality control and is interconnected with other pathways such as endocytosis. Related proteins within these pathways include ARF1 which regulates coat recruitment necessary for vesicle formation and other coatomer subunits that collectively influence vesicle trafficking and fusion events.

COPB2 has implications in neurodegenerative diseases and certain cancers. Its function in protein transport becomes critical in conditions where cellular transport mechanisms are disrupted. Abnormal levels or mutations of COPB2 have been associated with Alzheimer’s disease impacting protein aggregation and clearance. Additionally its interactions with proteins such as ARF1 and other coatomer subunits may influence cancer progression by affecting cellular growth and signaling pathways.

Product protocols

For this product, it's our understanding that no specific protocols are required. You can visit:

Target data

The coatomer is a cytosolic protein complex that binds to dilysine motifs and reversibly associates with Golgi non-clathrin-coated vesicles, which further mediate biosynthetic protein transport from the ER, via the Golgi up to the trans Golgi network. Coatomer complex is required for budding from Golgi membranes, and is essential for the retrograde Golgi-to-ER transport of dilysine-tagged proteins. In mammals, the coatomer can only be recruited by membranes associated to ADP-ribosylation factors (ARFs), which are small GTP-binding proteins; the complex also influences the Golgi structural integrity, as well as the processing, activity, and endocytic recycling of LDL receptors.. This coatomer complex protein, essential for Golgi budding and vesicular trafficking, is a selective binding protein (RACK) for protein kinase C, epsilon type. It binds to Golgi membranes in a GTP-dependent manner (By similarity).
See full target information Coatomer subunit beta'

Publications (4)

Recent publications for all applications. Explore the full list and refine your search

Oncology research 33:975-988 PubMed40191726

2025

COPB2 promotes hepatocellular carcinoma progression through regulation of YAP1 nuclear translocation.

Applications

Unspecified application

Species

Unspecified reactive species

Biao Wu,Xianlin Guo,Zhishi Wu,Liang Chen,Suqing Zhang

Journal of traditional Chinese medicine = Chung i tsa chih ying wen pan 43:78-86 PubMed36639998

2023

Chinese herbal compound Jinsiwei improves synaptic plasticity in mice with sporadic Alzheimer's disease induced by streptozotocin.

Applications

Unspecified application

Species

Unspecified reactive species

Tian Meijing,H E Yannan,Zheng Mingcui,Qin Gaofeng,Gong Zhuoyan,Huang Shuaiyang,Wang Pengwen

Bioscience, biotechnology, and biochemistry 84:2014-2027 PubMed32619135

2020

MiR-216a-3p regulates the proliferation, apoptosis, migration, and invasion of lung cancer cells via targeting COPB2.

Applications

Unspecified application

Species

Unspecified reactive species

Xiaolin Wang,Jialun Shi,Zhigao Niu,Jianwu Wang,Wenping Zhang

Bioscience, biotechnology, and biochemistry 84:338-346 PubMed31631786

2019

MicroRNA-4461 derived from bone marrow mesenchymal stem cell exosomes inhibits tumorigenesis by downregulating COPB2 expression in colorectal cancer.

Applications

Unspecified application

Species

Unspecified reactive species

Hui-Li Chen,Jiu-Jiang Li,Fei Jiang,Wen-Jing Shi,Ge-Yun Chang
View all publications

Product promise

We are committed to supporting your work with high-quality reagents, and we're here for you every step of the way. In the unlikely event that one of our products does not perform as expected, you're protected by our Product Promise.
For full details, please see our Terms & Conditions

Please note: All products are 'FOR RESEARCH USE ONLY. NOT FOR USE IN DIAGNOSTIC OR THERAPEUTIC PROCEDURES'.

For licensing inquiries, please contact partnerships@abcam.com