JavaScript is disabled in your browser. Please enable JavaScript to view this website.
AB192924

Anti-COPB2 antibody - C-terminal

Be the first to review this product! Submit a review

|

(4 Publications)

Rabbit Polyclonal COPB2 antibody. C-terminal. Suitable for IP, WB, IHC-P and reacts with Human, Mouse samples. Cited in 4 publications. Immunogen corresponding to Synthetic Peptide within Human Coatomer subunit beta' aa 850 to C-terminus.

View Alternative Names

Coatomer subunit beta', Beta'-coat protein, p102, Beta'-COP, COPB2

9 Images
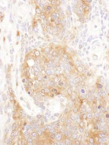
Immunohistochemistry (Formalin/PFA-fixed paraffin-embedded sections) - Anti-COPB2 antibody - C-terminal (AB192924)
  • IHC-P

Supplier Data

Immunohistochemistry (Formalin/PFA-fixed paraffin-embedded sections) - Anti-COPB2 antibody - C-terminal (AB192924)

Immunohistochemistry of human prostate carcinoma using ab192924 at 1/1000.

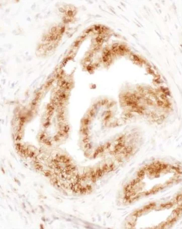
Immunohistochemistry (Formalin/PFA-fixed paraffin-embedded sections) - Anti-COPB2 antibody - C-terminal (AB192924)
  • IHC-P

Supplier Data

Immunohistochemistry (Formalin/PFA-fixed paraffin-embedded sections) - Anti-COPB2 antibody - C-terminal (AB192924)

Immunohistochemistry of mouse renal cell carcinoma using ab192924 at 1/1000.

Western blot - Anti-COPB2 antibody - C-terminal (AB192924)
  • WB

Supplier Data

Western blot - Anti-COPB2 antibody - C-terminal (AB192924)

All lanes:

Western blot - Anti-CD44 antibody [BLR038F] (<a href='/en-us/products/primary-antibodies/cd44-antibody-blr038f-ab243894'>ab243894</a>) at 1/1000 dilution

Lane 1:

HeLa whole cell lysate at 10 µg

Lane 2:

786-O whole cell lysate at 10 µg

Lane 3:

HEK293T whole cell lysate at 10 µg

Lane 4:

A-549 whole cell lysate at 10 µg

Lane 5:

KG-1 cells whole cell lysate at 10 µg

Secondary

All lanes:

Western blot - Goat Anti-Rabbit IgG H&L (HRP) (<a href='/en-us/products/secondary-antibodies/goat-rabbit-igg-h-l-hrp-ab97051'>ab97051</a>)

Predicted band size: 81 kDa

Observed band size: 90 kDa

true

Exposure time: 3s

Western blot - Anti-COPB2 antibody - C-terminal (AB192924)
  • WB

Supplier Data

Western blot - Anti-COPB2 antibody - C-terminal (AB192924)

All lanes:

Western blot - Anti-Brd4 antibody [BL-149-2H5] (<a href='/en-us/products/primary-antibodies/brd4-antibody-bl-149-2h5-ab243862'>ab243862</a>) at 1/1000 dilution

Lane 1:

HeLa whole cell lysate at 25 µg

Lane 2:

HEK293T whole cell lysate at 25 µg

Lane 3:

Jurkat whole cell lysate at 25 µg

Lane 4:

A-549 whole cell lysate at 25 µg

Lane 5:

SW620 whole cell lysate at 25 µg

Secondary

All lanes:

Western blot - Goat Anti-Rabbit IgG H&L (HRP) (<a href='/en-us/products/secondary-antibodies/goat-rabbit-igg-h-l-hrp-ab97051'>ab97051</a>)

Predicted band size: 152 kDa

Observed band size: 210 kDa

true

Exposure time: 10s

Western blot - Anti-COPB2 antibody - C-terminal (AB192924)
  • WB

Supplier Data

Western blot - Anti-COPB2 antibody - C-terminal (AB192924)

All lanes:

Western blot - Anti-Cdk7 antibody [BL-80-3D4] (<a href='/en-us/products/primary-antibodies/cdk7-antibody-bl-80-3d4-ab243863'>ab243863</a>) at 1/1000 dilution

Lane 1:

HeLa whole cell lysate at 15 µg

Lane 2:

Jurkat whole cell lysate at 15 µg

Lane 3:

U2OS whole cell lysate at 15 µg

Lane 4:

LNCaP whole cell lysate at 15 µg

Lane 5:

RKO whole cell lysate at 15 µg

Lane 6:

HEK293T whole cell lysate at 15 µg

Lane 7:

MCF-7 whole cell lysate at 15 µg

Secondary

All lanes:

Western blot - Goat Anti-Rabbit IgG H&L (HRP) (<a href='/en-us/products/secondary-antibodies/goat-rabbit-igg-h-l-hrp-ab97051'>ab97051</a>)

Predicted band size: 39 kDa

Observed band size: 39 kDa

true

Exposure time: 10s

Western blot - Anti-COPB2 antibody - C-terminal (AB192924)
  • WB

Supplier Data

Western blot - Anti-COPB2 antibody - C-terminal (AB192924)

All lanes:

Western blot - Anti-PBRM1/BAF180 antibody [BL-39-2C3] (<a href='/en-us/products/primary-antibodies/pbrm1-baf180-antibody-bl-39-2c3-ab243876'>ab243876</a>) at 1/1000 dilution

Lane 1:

BW5147.3 whole cell lysate at 50 µg

Lane 2:

EL4 whole cell lysate at 50 µg

Lane 3:

mIMCD-3 whole cell lysate at 50 µg

Lane 4:

RenCa whole cell lysate at 50 µg

Lane 5:

NIH 3T3 whole cell lysate at 50 µg

Lane 6:

TCMK-1 whole cell lysate at 50 µg

Lane 7:

C2C12 whole cell lysate at 50 µg

Lane 8:

A20 whole cell lysate at 50 µg

Lane 9:

Ba/F3 whole cell lysate at 50 µg

Lane 10:

CH27 whole cell lysate at 50 µg

Secondary

All lanes:

Western blot - Goat Anti-Rabbit IgG H&L (HRP) (<a href='/en-us/products/secondary-antibodies/goat-rabbit-igg-h-l-hrp-ab97051'>ab97051</a>)

Predicted band size: 187 kDa

Observed band size: 200 kDa

true

Exposure time: 30s

Western blot - Anti-COPB2 antibody - C-terminal (AB192924)
  • WB

Supplier Data

Western blot - Anti-COPB2 antibody - C-terminal (AB192924)

All lanes:

Western blot - Anti-Brd4 antibody [BL-149-2H5] (<a href='/en-us/products/primary-antibodies/brd4-antibody-bl-149-2h5-ab243862'>ab243862</a>) at 1/1000 dilution

Lane 1:

NIH 3T3 whole cell lysate at 10 µg

Lane 2:

CT26 whole cell lysate at 10 µg

Lane 3:

CH27 whole cell lysate at 10 µg

Lane 4:

TCMK-1 whole cell lysate at 10 µg

Lane 5:

BW5147.3 whole cell lysate at 10 µg

Secondary

All lanes:

Western blot - Goat Anti-Rabbit IgG H&L (HRP) (<a href='/en-us/products/secondary-antibodies/goat-rabbit-igg-h-l-hrp-ab97051'>ab97051</a>)

Predicted band size: 155 kDa

Observed band size: 210 kDa

true

Exposure time: 10s

Immunoprecipitation - Anti-COPB2 antibody - C-terminal (AB192924)
  • IP

Supplier Data

Immunoprecipitation - Anti-COPB2 antibody - C-terminal (AB192924)

Detection of COPB2 by Western Blot of Immunprecipitate.
Lane 1 : ab192924 at 0.1 μg/ml labeling COPB2 in 293T whole cell lysate (prepared using NETN lysis buffer) immunoprecipitated using ab192924 at 6μg/mg lysate (1 mg/IP; 20% of IP loaded/lane).
Lane 2 : Control IgG.
Detection : Chemiluminescence with exposure time of 30 seconds.

All lanes:

Immunoprecipitation - Anti-COPB2 antibody - C-terminal (ab192924)

Predicted band size: 102 kDa

false

Western blot - Anti-COPB2 antibody - C-terminal (AB192924)
  • WB

Supplier Data

Western blot - Anti-COPB2 antibody - C-terminal (AB192924)

Lysates were prepared using NETN lysis buffer.

All lanes:

Western blot - Anti-COPB2 antibody - C-terminal (ab192924) at 0.1 µg/mL

Lane 1:

HeLa whole cell lysate at 50 µg

Lane 2:

293T whole cell lysate at 50 µg

Lane 3:

Jurkat whole cell lysate at 50 µg

Lane 4:

TCMK1 whole cell lysate at 50 µg

Lane 5:

NIH 3T3 whole cell lysate at 50 µg

Predicted band size: 102 kDa

true

Exposure time: 30s

Key facts

Host species

Rabbit

Clonality

Polyclonal

Isotype

IgG

Carrier free

No

Reacts with

Mouse, Human

Applications

IP, IHC-P, WB

applications

Immunogen

Synthetic Peptide within Human Coatomer subunit beta' aa 850 to C-terminus. The exact immunogen used to generate this antibody is proprietary information.

P35606

Reactivity data

{ "title": "Reactivity Data", "filters": { "stats": ["", "Species", "Dilution Info", "Notes"], "tabs": { "all-applications": {"fullname" : "All Applications", "shortname": "All Applications"}, "IP" : {"fullname" : "Immunoprecipitation", "shortname":"IP"}, "WB" : {"fullname" : "Western blot", "shortname":"WB"}, "IHCP" : {"fullname" : "Immunohistochemistry (Formalin/PFA-fixed paraffin-embedded sections)", "shortname":"IHC-P"} }, "product-promise": { "all": "all", "testedAndGuaranteed": "tested", "guaranteed": "expected", "predicted": "predicted", "notRecommended": "not-recommended" } }, "values": { "Human": { "IP-species-checked": "testedAndGuaranteed", "IP-species-dilution-info": "2-10 µg/mg of lysate", "IP-species-notes": "<p></p>", "WB-species-checked": "testedAndGuaranteed", "WB-species-dilution-info": "1/2000 - 1/10000", "WB-species-notes": "<p></p>", "IHCP-species-checked": "testedAndGuaranteed", "IHCP-species-dilution-info": "1/1000", "IHCP-species-notes": "<p></p>" }, "Mouse": { "IP-species-checked": "guaranteed", "IP-species-dilution-info": "", "IP-species-notes": "", "WB-species-checked": "testedAndGuaranteed", "WB-species-dilution-info": "1/2000 - 1/10000", "WB-species-notes": "<p></p>", "IHCP-species-checked": "testedAndGuaranteed", "IHCP-species-dilution-info": "1/1000", "IHCP-species-notes": "<p></p>" }, "Rat": { "IP-species-checked": "predicted", "IP-species-dilution-info": "", "IP-species-notes": "", "WB-species-checked": "predicted", "WB-species-dilution-info": "", "WB-species-notes": "", "IHCP-species-checked": "predicted", "IHCP-species-dilution-info": "", "IHCP-species-notes": "" }, "Chimpanzee": { "IP-species-checked": "predicted", "IP-species-dilution-info": "", "IP-species-notes": "", "WB-species-checked": "predicted", "WB-species-dilution-info": "", "WB-species-notes": "", "IHCP-species-checked": "predicted", "IHCP-species-dilution-info": "", "IHCP-species-notes": "" }, "Cow": { "IP-species-checked": "predicted", "IP-species-dilution-info": "", "IP-species-notes": "", "WB-species-checked": "predicted", "WB-species-dilution-info": "", "WB-species-notes": "", "IHCP-species-checked": "predicted", "IHCP-species-dilution-info": "", "IHCP-species-notes": "" }, "Dog": { "IP-species-checked": "predicted", "IP-species-dilution-info": "", "IP-species-notes": "", "WB-species-checked": "predicted", "WB-species-dilution-info": "", "WB-species-notes": "", "IHCP-species-checked": "predicted", "IHCP-species-dilution-info": "", "IHCP-species-notes": "" }, "Horse": { "IP-species-checked": "predicted", "IP-species-dilution-info": "", "IP-species-notes": "", "WB-species-checked": "predicted", "WB-species-dilution-info": "", "WB-species-notes": "", "IHCP-species-checked": "predicted", "IHCP-species-dilution-info": "", "IHCP-species-notes": "" }, "Orangutan": { "IP-species-checked": "predicted", "IP-species-dilution-info": "", "IP-species-notes": "", "WB-species-checked": "predicted", "WB-species-dilution-info": "", "WB-species-notes": "", "IHCP-species-checked": "predicted", "IHCP-species-dilution-info": "", "IHCP-species-notes": "" }, "Pig": { "IP-species-checked": "predicted", "IP-species-dilution-info": "", "IP-species-notes": "", "WB-species-checked": "predicted", "WB-species-dilution-info": "", "WB-species-notes": "", "IHCP-species-checked": "predicted", "IHCP-species-dilution-info": "", "IHCP-species-notes": "" }, "Rabbit": { "IP-species-checked": "predicted", "IP-species-dilution-info": "", "IP-species-notes": "", "WB-species-checked": "predicted", "WB-species-dilution-info": "", "WB-species-notes": "", "IHCP-species-checked": "predicted", "IHCP-species-dilution-info": "", "IHCP-species-notes": "" }, "Rhesus monkey": { "IP-species-checked": "predicted", "IP-species-dilution-info": "", "IP-species-notes": "", "WB-species-checked": "predicted", "WB-species-dilution-info": "", "WB-species-notes": "", "IHCP-species-checked": "predicted", "IHCP-species-dilution-info": "", "IHCP-species-notes": "" }, "Sheep": { "IP-species-checked": "predicted", "IP-species-dilution-info": "", "IP-species-notes": "", "WB-species-checked": "predicted", "WB-species-dilution-info": "", "WB-species-notes": "", "IHCP-species-checked": "predicted", "IHCP-species-dilution-info": "", "IHCP-species-notes": "" } } }

Properties and storage information

Form
Liquid
Purification technique
Affinity purification Immunogen
Purification notes
ab192924 was affinity purified using an epitope specific to COPB2 immobilized on solid support.
Storage buffer
pH: 7 - 8 Preservative: 0.09% Sodium azide Constituents: 99% Tris citrate/phosphate
Shipped at conditions
Blue Ice
Appropriate short-term storage duration
1-2 weeks
Appropriate short-term storage conditions
+4°C
Appropriate long-term storage conditions
-20°C
Aliquoting information
Upon delivery aliquot
Storage information
Avoid freeze / thaw cycle

Supplementary information

This supplementary information is collated from multiple sources and compiled automatically.

COPB2 also known as Coatomer Subunit Beta 2 plays a vital role in intracellular protein transport. It is part of the coatomer protein complex which participates in vesicle formation during the transport between the Golgi apparatus and endoplasmic reticulum. This protein has a molecular mass of approximately 102 kDa and is widely expressed in various tissues with significant expression in the liver brain and lungs. Its presence in multiple tissues highlights its broad role in cellular functions.
Biological function summary

COPB2 functions as a component of the larger coatomer complex which is made up of several subunits. This complex facilitates the retrograde transport of proteins from the Golgi back to the endoplasmic reticulum. Through this process COPB2 helps maintain protein homeostasis and ensures that essential proteins are rerouted for proper cellular functioning. Its interaction with other proteins in the coatomer complex supports structural integrity and transport efficiency.

Pathways

COPB2 is integrally involved in the COPI vesicle-mediated transport pathway. This pathway is important for maintaining the secretory pathway's quality control and is interconnected with other pathways such as endocytosis. Related proteins within these pathways include ARF1 which regulates coat recruitment necessary for vesicle formation and other coatomer subunits that collectively influence vesicle trafficking and fusion events.

COPB2 has implications in neurodegenerative diseases and certain cancers. Its function in protein transport becomes critical in conditions where cellular transport mechanisms are disrupted. Abnormal levels or mutations of COPB2 have been associated with Alzheimer’s disease impacting protein aggregation and clearance. Additionally its interactions with proteins such as ARF1 and other coatomer subunits may influence cancer progression by affecting cellular growth and signaling pathways.

Product protocols

For this product, it's our understanding that no specific protocols are required. You can visit:

Target data

The coatomer is a cytosolic protein complex that binds to dilysine motifs and reversibly associates with Golgi non-clathrin-coated vesicles, which further mediate biosynthetic protein transport from the ER, via the Golgi up to the trans Golgi network. Coatomer complex is required for budding from Golgi membranes, and is essential for the retrograde Golgi-to-ER transport of dilysine-tagged proteins. In mammals, the coatomer can only be recruited by membranes associated to ADP-ribosylation factors (ARFs), which are small GTP-binding proteins; the complex also influences the Golgi structural integrity, as well as the processing, activity, and endocytic recycling of LDL receptors.. This coatomer complex protein, essential for Golgi budding and vesicular trafficking, is a selective binding protein (RACK) for protein kinase C, epsilon type. It binds to Golgi membranes in a GTP-dependent manner (By similarity).
See full target information Coatomer subunit beta'

Publications (4)

Recent publications for all applications. Explore the full list and refine your search

mBio 16:e0333124 PubMed39611845

2024

Coatomer complex I is required for the transport of SARS-CoV-2 progeny virions from the endoplasmic reticulum-Golgi intermediate compartment.

Applications

Unspecified application

Species

Unspecified reactive species

Ai Hirabayashi,Yukiko Muramoto,Toru Takenaga,Yugo Tsunoda,Mayumi Wakazaki,Mayuko Sato,Yoko Fujita-Fujiharu,Norimichi Nomura,Koji Yamauchi,Chiho Onishi,Masahiro Nakano,Kiminori Toyooka,Takeshi Noda

Journal of cell communication and signaling 16:579-599 PubMed35581421

2022

Lysine demethylase 5A promotes prostate adenocarcinoma progression by suppressing microRNA-330-3p expression and activating the COPB2/PI3K/AKT axis in an ETS1-dependent manner.

Applications

Unspecified application

Species

Unspecified reactive species

Yuanyuan Mi,Lifeng Zhang,Chuanyu Sun,Yanyan Feng,Jian Sun,Jun Wang,Dongjie Yang,Xiaowei Qi,Hongyuan Wan,Guowei Xia,Sheng Wu,Lijie Zhu

Cell death and differentiation 29:687-696 PubMed34611297

2021

RNA-interference screen for p53 regulators unveils a role of WDR75 in ribosome biogenesis.

Applications

Unspecified application

Species

Unspecified reactive species

Pavel Moudry,Katarina Chroma,Sladana Bursac,Sinisa Volarevic,Jiri Bartek

BioMed research international 2021:6648078 PubMed33824874

2021

COPB2: A Novel Prognostic Biomarker That Affects Progression of HCC.

Applications

Unspecified application

Species

Unspecified reactive species

Jiayao Zhang,Xiaoyu Wang,Guangbing Li,Jingyi He,Ziwen Lu,Yang Yang,Yong Jiang,Liyong Jiang,Feiyu Li,Jun Liu
View all publications

Product promise

We are committed to supporting your work with high-quality reagents, and we're here for you every step of the way. In the unlikely event that one of our products does not perform as expected, you're protected by our Product Promise.
For full details, please see our Terms & Conditions

Please note: All products are 'FOR RESEARCH USE ONLY. NOT FOR USE IN DIAGNOSTIC OR THERAPEUTIC PROCEDURES'.

For licensing inquiries, please contact partnerships@abcam.com