JavaScript is disabled in your browser. Please enable JavaScript to view this website.
AB235061

Anti-COPE antibody

Be the first to review this product! Submit a review

|

(1 Publication)

Rabbit Polyclonal COPE antibody. Suitable for WB, IHC-P and reacts with Human samples. Cited in 1 publication. Immunogen corresponding to Recombinant Full Length Protein corresponding to Human Coatomer subunit epsilon.

View Alternative Names

Coatomer subunit epsilon, Epsilon-coat protein, Epsilon-COP, COPE

2 Images
Western blot - Anti-COPE antibody (AB235061)
  • WB

Supplier Data

Western blot - Anti-COPE antibody (AB235061)

All lanes:

Western blot - Anti-COPE antibody (ab235061) at 1/500 dilution

Lane 1:

PC-3 (human prostate adenocarcinoma cell line) whole cell lysate

Lane 2:

HEK-293 (human epithelial cell line from embryonic kidney) whole cell lysate

Lane 3:

HepG2 (human liver hepatocellular carcinoma cell line) whole cell lysate

Lane 4:

MCF7 (human breast adenocarcinoma cell line) whole cell lysate

Lane 5:

HeLa (human epithelial cell line from cervix adenocarcinoma) whole cell lysate

Lane 6:

A-375 (human malignant melanoma cell line) whole cell lysate

Secondary

All lanes:

Polyclonal Goat anti-rabbit IgG at 1/50000 dilution

Predicted band size: 34 kDa

false

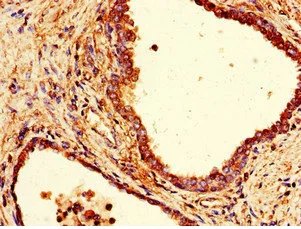
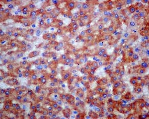
Immunohistochemistry (Formalin/PFA-fixed paraffin-embedded sections) - Anti-COPE antibody (AB235061)
  • IHC-P

Supplier Data

Immunohistochemistry (Formalin/PFA-fixed paraffin-embedded sections) - Anti-COPE antibody (AB235061)

Paraffin-embedded prostate cancer tissue stained for COPE using ab235061 at 1/100 dilution in immunohistochemical analysis.

Key facts

Host species

Rabbit

Clonality

Polyclonal

Isotype

IgG

Carrier free

No

Reacts with

Human

Applications

IHC-P, WB

applications

Immunogen

Recombinant Full Length Protein corresponding to Human Coatomer subunit epsilon.

O14579

Reactivity data

{ "title": "Reactivity Data", "filters": { "stats": ["", "Species", "Dilution Info", "Notes"], "tabs": { "all-applications": {"fullname" : "All Applications", "shortname": "All Applications"}, "WB" : {"fullname" : "Western blot", "shortname":"WB"}, "IHCP" : {"fullname" : "Immunohistochemistry (Formalin/PFA-fixed paraffin-embedded sections)", "shortname":"IHC-P"} }, "product-promise": { "all": "all", "testedAndGuaranteed": "tested", "guaranteed": "expected", "predicted": "predicted", "notRecommended": "not-recommended" } }, "values": { "Human": { "WB-species-checked": "testedAndGuaranteed", "WB-species-dilution-info": "1/500 - 1/5000", "WB-species-notes": "<p></p>", "IHCP-species-checked": "testedAndGuaranteed", "IHCP-species-dilution-info": "", "IHCP-species-notes": "<p></p>" }, "Mouse": { "WB-species-checked": "predicted", "WB-species-dilution-info": "", "WB-species-notes": "", "IHCP-species-checked": "predicted", "IHCP-species-dilution-info": "", "IHCP-species-notes": "" }, "Chinese hamster": { "WB-species-checked": "predicted", "WB-species-dilution-info": "", "WB-species-notes": "", "IHCP-species-checked": "predicted", "IHCP-species-dilution-info": "", "IHCP-species-notes": "" }, "Cow": { "WB-species-checked": "predicted", "WB-species-dilution-info": "", "WB-species-notes": "", "IHCP-species-checked": "predicted", "IHCP-species-dilution-info": "", "IHCP-species-notes": "" }, "Orangutan": { "WB-species-checked": "predicted", "WB-species-dilution-info": "", "WB-species-notes": "", "IHCP-species-checked": "predicted", "IHCP-species-dilution-info": "", "IHCP-species-notes": "" } } }

Properties and storage information

Form
Liquid
Purification technique
Affinity purification Protein G
Purification notes
Purity >95%
Storage buffer
pH: 7.4 Preservative: 0.03% Proclin 300 Constituents: PBS, 50% Glycerol (glycerin, glycerine)
Shipped at conditions
Blue Ice
Appropriate short-term storage duration
1-2 weeks
Appropriate short-term storage conditions
+4°C
Appropriate long-term storage conditions
-20°C
Aliquoting information
Upon delivery aliquot
Storage information
Avoid freeze / thaw cycle

Supplementary information

This supplementary information is collated from multiple sources and compiled automatically.

The COPE protein also known as Coatomer Protein Complex Subunit E is a component of the COPI coatomer complex. This protein roughly weighs approximately 34 kDa and is present in the Golgi apparatus where it takes part in vesicle formation processes. COPE is expressed in numerous cell types highlighting its importance in intracellular transport mechanisms and maintaining cellular organization.
Biological function summary

COPE plays a significant role in the retrograde transport of proteins from the Golgi back to the endoplasmic reticulum being part of the larger COPI complex. The COPI coatomer complex operates in conjunction with other coat proteins like clathrin to ensure vesicle trafficking and membrane dynamics. This mechanism is essential for membrane recycling protein sorting and other cellular logistics.

Pathways

COPE is important in the secretory pathway. It interacts closely with other components like ARF1 a small GTPase that regulates coat assembly and disassembly to maintain efficient protein sorting. Moreover COPE's role intersects with the ER-to-Golgi transport pathway acting alongside proteins like Sec27 demonstrating its connection within a tightly regulated trafficking network essential for cellular function.

COPE's malfunction associates with neurodegenerative diseases. Disruption in its role in vesicular trafficking can lead to protein aggregation disorders like Alzheimer's disease where protein accumulation becomes pathogenic. COPE interaction with proteins such as APP (Amyloid Precursor Protein) becomes evident in the pathology of Alzheimer's showcasing its importance in disease progression.

Product protocols

For this product, it's our understanding that no specific protocols are required. You can visit:

Target data

The coatomer is a cytosolic protein complex that binds to dilysine motifs and reversibly associates with Golgi non-clathrin-coated vesicles, which further mediate biosynthetic protein transport from the ER, via the Golgi up to the trans Golgi network. The coatomer complex is required for budding from Golgi membranes, and is essential for the retrograde Golgi-to-ER transport of dilysine-tagged proteins. In mammals, the coatomer can only be recruited by membranes associated with ADP-ribosylation factors (ARFs), which are small GTP-binding proteins; the complex also influences the Golgi structural integrity, as well as the processing, activity, and endocytic recycling of LDL receptors (By similarity).
See full target information Coatomer subunit epsilon

Publications (1)

Recent publications for all applications. Explore the full list and refine your search

Biochemical pharmacology 182:114216 PubMed32926875

2020

Antidiabetic drug therapy alleviates type 1 diabetes in mice by promoting pancreatic α-cell transdifferentiation.

Applications

Unspecified application

Species

Unspecified reactive species

Dipak Sarnobat,Charlotte R Moffett,Neil Tanday,Frank Reimann,Fiona M Gribble,Peter R Flatt,Andrei I Tarasov
View all publications

Product promise

We are committed to supporting your work with high-quality reagents, and we're here for you every step of the way. In the unlikely event that one of our products does not perform as expected, you're protected by our Product Promise.
For full details, please see our Terms & Conditions

Please note: All products are 'FOR RESEARCH USE ONLY. NOT FOR USE IN DIAGNOSTIC OR THERAPEUTIC PROCEDURES'.

For licensing inquiries, please contact partnerships@abcam.com