JavaScript is disabled in your browser. Please enable JavaScript to view this website.
AB314042

Anti-COPS3/CSN3 antibody [3F9]

Be the first to review this product! Submit a review

|

(0 Publication)

Rabbit Monoclonal COPS3/CSN3 antibody. Suitable for WB, IHC-P, ICC/IF, Flow Cyt (Intra) and reacts with Human samples. Immunogen corresponding to Synthetic Peptide within Human COPS3.

View Alternative Names

CSN3, COPS3, COP9 signalosome complex subunit 3, SGN3, Signalosome subunit 3, JAB1-containing signalosome subunit 3

5 Images
Immunocytochemistry/ Immunofluorescence - Anti-COPS3/CSN3 antibody [3F9] (AB314042)
  • ICC/IF

Supplier Data

Immunocytochemistry/ Immunofluorescence - Anti-COPS3/CSN3 antibody [3F9] (AB314042)

Immunofluorescence staining of A549 (Human lung carcinoma cell line) cells with ab314042 at 1 : 50, counter-stained with DAPI. The cells were fixed in 4% formaldehyde and blocked in 10% normal Goat Serum. The cells were then incubated with the antibody overnight at 4°C. The secondary antibody was Alexa Fluor® 535-conjugated Goat Anti-Rabbit IgG(H+L).

Flow Cytometry (Intracellular) - Anti-COPS3/CSN3 antibody [3F9] (AB314042)
  • Flow Cyt (Intra)

Supplier Data

Flow Cytometry (Intracellular) - Anti-COPS3/CSN3 antibody [3F9] (AB314042)

Overlay Peak curve showing MCF7 (Human breast adenocarcinoma cell line) cells stained with ab314042 (pink line) at 1 : 100. The cells were fixed in 4% formaldehyde and permeated by 0.2% TritonX-100. Then 10% normal goat serum to block non-specific protein-protein interactions followed by the antibody (1ug/1x1E06 cells) for 45min at 4°C. The secondary antibody used was FITC-conjugated Goat Anti-rabbit IgG (H+L) at 1 : 200 dilution for 35min at 4°C. Control antibody (green line) was rabbit IgG (1ug/1x10E6 cells) used under the same conditions. Acquisition of >10,000 events was performed.

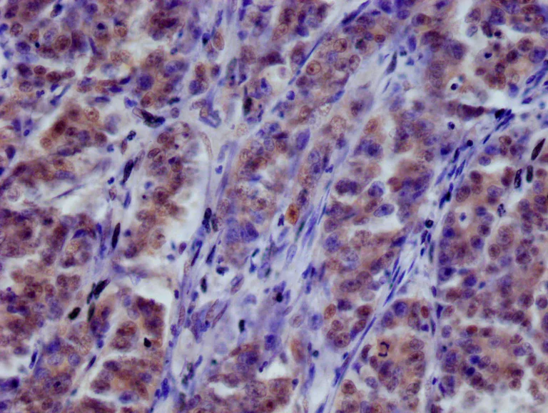
Immunohistochemistry (Formalin/PFA-fixed paraffin-embedded sections) - Anti-COPS3/CSN3 antibody [3F9] (AB314042)
  • IHC-P

Supplier Data

Immunohistochemistry (Formalin/PFA-fixed paraffin-embedded sections) - Anti-COPS3/CSN3 antibody [3F9] (AB314042)

Immunohistochemical analysis of ab314042 diluted at 1 : 100 and staining in paraffin-embedded human colon cancer performed on a Leica BondTM system. After dewaxing and hydration, antigen retrieval was mediated by high pressure in a citrate buffer (pH 6.0). Section was blocked with 10% normal goat serum 30min at RT. Then primary antibody (1% BSA) was incubated at 4°C overnight. The primary is detected by a Goat anti-rabbit polymer IgG labeled by HRP and visualized using 0.05% DAB.

Immunohistochemistry (Formalin/PFA-fixed paraffin-embedded sections) - Anti-COPS3/CSN3 antibody [3F9] (AB314042)
  • IHC-P

Supplier Data

Immunohistochemistry (Formalin/PFA-fixed paraffin-embedded sections) - Anti-COPS3/CSN3 antibody [3F9] (AB314042)

Immunohistochemical analysis of ab314042 diluted at 1 : 100 and staining in paraffin-embedded human testis tissue performed on a Leica BondTM system. After dewaxing and hydration, antigen retrieval was mediated by high pressure in a citrate buffer (pH 6.0). Section was blocked with 10% normal goat serum 30min at RT. Then primary antibody (1% BSA) was incubated at 4°C overnight. The primary is detected by a Goat anti-rabbit polymer IgG labeled by HRP and visualized using 0.05% DAB.

Western blot - Anti-COPS3/CSN3 antibody [3F9] (AB314042)
  • WB

Supplier Data

Western blot - Anti-COPS3/CSN3 antibody [3F9] (AB314042)

All lanes:

Western blot - Anti-COPS3/CSN3 antibody [3F9] (ab314042) at 1/2000 dilution

Lane 1:

U251 whole cell lysate

Lane 2:

HEK293 whole cell lysate

Lane 3:

MCF7 whole cell lysate

Lane 4:

A549 whole cell lysate

Lane 5:

HL-60 whole cell lysate

Lane 6:

K562 whole cell lysate

Lane 7:

Jurkat whole cell lysate

Secondary

All lanes:

Goat polyclonal to rabbit IgG at 1/50000 dilution

Observed band size: 40-55 kDa

false

Key facts

Host species

Rabbit

Clonality

Monoclonal

Clone number

3F9

Isotype

IgG

Carrier free

No

Reacts with

Human

Applications

IHC-P, WB, Flow Cyt (Intra), ICC/IF

applications

Immunogen

Synthetic Peptide within Human COPS3.

Q9UNS2

Reactivity data

{ "title": "Reactivity Data", "filters": { "stats": ["", "Species", "Dilution Info", "Notes"], "tabs": { "all-applications": {"fullname" : "All Applications", "shortname": "All Applications"}, "WB" : {"fullname" : "Western blot", "shortname":"WB"}, "IHCP" : {"fullname" : "Immunohistochemistry (Formalin/PFA-fixed paraffin-embedded sections)", "shortname":"IHC-P"}, "ICCIF" : {"fullname" : "Immunocytochemistry/ Immunofluorescence", "shortname":"ICC/IF"}, "FlowCytIntra" : {"fullname" : "Flow Cytometry (Intracellular)", "shortname":"Flow Cyt (Intra)"} }, "product-promise": { "all": "all", "testedAndGuaranteed": "tested", "guaranteed": "expected", "predicted": "predicted", "notRecommended": "not-recommended" } }, "values": { "Human": { "WB-species-checked": "testedAndGuaranteed", "WB-species-dilution-info": "1/500 - 1/2000", "WB-species-notes": "<p></p>", "IHCP-species-checked": "testedAndGuaranteed", "IHCP-species-dilution-info": "1/50 - 1/200", "IHCP-species-notes": "<p></p>", "ICCIF-species-checked": "testedAndGuaranteed", "ICCIF-species-dilution-info": "1/50 - 1/200", "ICCIF-species-notes": "<p></p>", "FlowCytIntra-species-checked": "testedAndGuaranteed", "FlowCytIntra-species-dilution-info": "1/50 - 1/200", "FlowCytIntra-species-notes": "<p></p>" } } }

Product details

What are the advantages of a recombinant monoclonal antibody?
This product is a recombinant monoclonal antibody, which offers several advantages including:

  • - High batch-to-batch consistency and reproducibility
  • - Improved sensitivity and specificity
  • - Long-term security of supply
  • - Animal-free batch production

For more information, read more on recombinant antibodies.

Properties and storage information

Form
Liquid
Purification technique
Affinity purification
Storage buffer
pH: 7.4 Preservative: 0.02% Sodium azide Constituents: PBS, 50% Glycerol (glycerin, glycerine), 0.88% Sodium chloride
Shipped at conditions
Blue Ice
Appropriate short-term storage duration
1-2 weeks
Appropriate short-term storage conditions
+4°C
Appropriate long-term storage conditions
-20°C
Aliquoting information
Upon delivery aliquot
Storage information
Avoid freeze / thaw cycle

Supplementary information

This supplementary information is collated from multiple sources and compiled automatically.

COPS3 also known as CSN3 or COP9 forms a component of the COP9 signalosome complex. It weighs around 53 kDa. COPS3 is mainly expressed in the cytoplasm of cells in various tissues including the brain heart and skeletal muscle. As part of the signalosome COPS3 plays a role in cellular and molecular processes by influencing protein levels through deneddylation.
Biological function summary

The COPS3/CSN3 protein functions as part of the COP9 signalosome complex which acts in regulating the ubiquitin-proteasome pathway. This complex is involved in mediating the stability and degradation of key regulatory proteins by removing NEDD8 from cullin-RING ligases. By modulating these ligases COPS3 affects protein turnover and signaling pathways essential for cell cycle control and DNA damage response.

Pathways

COPS3/CSN3 takes part in the ubiquitin-proteasome pathway and the DNA damage response pathway. By regulating cullin-RING E3 ubiquitin ligases it influences the degradation of proteins involved in these pathways like p27 and CDT1. Interacting with proteins such as CUL1 and CUL3 COPS3 assists in maintaining cellular homeostasis by ensuring timely protein degradation.

Defects or dysregulation of COPS3 have links to cancer and neurodegenerative diseases. Its role in cancer involves connection to known proteins like p27 where altered protein turnover can lead to unchecked cell proliferation. In neurodegenerative diseases the connection lies with the UPS (ubiquitin-proteasome system) dysfunction affecting protein aggregation processes seen in disorders like Parkinson's disease.

Product protocols

For this product, it's our understanding that no specific protocols are required. You can visit:

Target data

Component of the COP9 signalosome complex (CSN), a complex involved in various cellular and developmental processes. The CSN complex is an essential regulator of the ubiquitin (Ubl) conjugation pathway by mediating the deneddylation of the cullin subunits of SCF-type E3 ligase complexes, leading to decrease the Ubl ligase activity of SCF-type complexes such as SCF, CSA or DDB2. The complex is also involved in phosphorylation of p53/TP53, c-jun/JUN, IkappaBalpha/NFKBIA, ITPK1 and IRF8/ICSBP, possibly via its association with CK2 and PKD kinases. CSN-dependent phosphorylation of TP53 and JUN promotes and protects degradation by the Ubl system, respectively.
See full target information COPS3

Product promise

We are committed to supporting your work with high-quality reagents, and we're here for you every step of the way. In the unlikely event that one of our products does not perform as expected, you're protected by our Product Promise.
For full details, please see our Terms & Conditions

Please note: All products are 'FOR RESEARCH USE ONLY. NOT FOR USE IN DIAGNOSTIC OR THERAPEUTIC PROCEDURES'.

For licensing inquiries, please contact partnerships@abcam.com