JavaScript is disabled in your browser. Please enable JavaScript to view this website.
AB12321

Anti-COPS3/CSN3 antibody

Be the first to review this product! Submit a review

|

(2 Publications)

Rabbit Polyclonal COPS3/CSN3 antibody. Suitable for IHC-P, WB and reacts with Human samples. Cited in 2 publications. Immunogen corresponding to Synthetic Peptide within Human COPS3 aa 300-400.

View Alternative Names

CSN3, COPS3, COP9 signalosome complex subunit 3, SGN3, Signalosome subunit 3, JAB1-containing signalosome subunit 3

3 Images
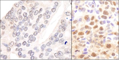
Immunohistochemistry (Formalin/PFA-fixed paraffin-embedded sections) - Anti-COPS3/CSN3 antibody (AB12321)
  • IHC-P

Unknown

Immunohistochemistry (Formalin/PFA-fixed paraffin-embedded sections) - Anti-COPS3/CSN3 antibody (AB12321)

Immunohisotchemistry (Formalin/PFA-fixed paraffin-embedded sections) analysis of human prostate carcinoma tissue labelling COPS3/CSN3 with ab12321 at 1/1000 (1μg/ml). Detection : DAB.

Western blot - Anti-COPS3/CSN3 antibody (AB12321)
  • WB

Supplier Data

Western blot - Anti-COPS3/CSN3 antibody (AB12321)

All lanes:

Western blot - Anti-COPS3/CSN3 antibody (ab12321) at 0.04 µg/mL

Lane 1:

HeLa cell lysate at 50 µg

Lane 2:

293T cell lysate at 50 µg

Predicted band size: 48 kDa

false

Exposure time: 10s

Western blot - Anti-COPS3/CSN3 antibody (AB12321)
  • WB

Unknown

Western blot - Anti-COPS3/CSN3 antibody (AB12321)

Detection of Human CSN3 by Western Blot. Samples : Whole cell lysate (50 mcg E; 25 mcg T) from HEK 293T cells that were mock transfected (E) or transfected with a CSN3 expression construct (T). Antibody : Affinity purified rabbit anti-CSN3 antibody BL1059 used at the indicated concentrations. Detection : Chemiluminescence with a 10 second exposure.

Detection of Human CSN3 by Western Blot.
Samples : Whole cell lysate (50 mcg E; 25 mcg T) from HEK 293T cells that were mock transfected (E) or transfected with a CSN3 expression construct (T).
Antibody : Affinity purified rabbit anti-CSN3 antibody BL1059 used at the indicated concentrations.
Detection : Chemiluminescence with a 10 second exposure.

All lanes:

Western blot - Anti-COPS3/CSN3 antibody (ab12321)

Predicted band size: 48 kDa

false

Key facts

Host species

Rabbit

Clonality

Polyclonal

Isotype

IgG

Carrier free

No

Reacts with

Human

Applications

WB, IHC-P

applications

Immunogen

Synthetic Peptide within Human COPS3 aa 300-400. The exact immunogen used to generate this antibody is proprietary information.

Q9UNS2

Reactivity data

{ "title": "Reactivity Data", "filters": { "stats": ["", "Species", "Dilution Info", "Notes"], "tabs": { "all-applications": {"fullname" : "All Applications", "shortname": "All Applications"}, "IHCP" : {"fullname" : "Immunohistochemistry (Formalin/PFA-fixed paraffin-embedded sections)", "shortname":"IHC-P"}, "WB" : {"fullname" : "Western blot", "shortname":"WB"} }, "product-promise": { "all": "all", "testedAndGuaranteed": "tested", "guaranteed": "expected", "predicted": "predicted", "notRecommended": "not-recommended" } }, "values": { "Human": { "IHCP-species-checked": "testedAndGuaranteed", "IHCP-species-dilution-info": "1/500 - 1/2000", "IHCP-species-notes": "<p></p> Perform heat-mediated antigen retrieval with citrate buffer pH 6 before commencing with IHC staining protocol.", "WB-species-checked": "testedAndGuaranteed", "WB-species-dilution-info": "1/5000 - 1/25000", "WB-species-notes": "<p></p>" }, "Mouse": { "IHCP-species-checked": "predicted", "IHCP-species-dilution-info": "", "IHCP-species-notes": "", "WB-species-checked": "predicted", "WB-species-dilution-info": "", "WB-species-notes": "" }, "Rat": { "IHCP-species-checked": "predicted", "IHCP-species-dilution-info": "", "IHCP-species-notes": "", "WB-species-checked": "predicted", "WB-species-dilution-info": "", "WB-species-notes": "" }, "Chicken": { "IHCP-species-checked": "predicted", "IHCP-species-dilution-info": "", "IHCP-species-notes": "", "WB-species-checked": "predicted", "WB-species-dilution-info": "", "WB-species-notes": "" }, "Chimpanzee": { "IHCP-species-checked": "predicted", "IHCP-species-dilution-info": "", "IHCP-species-notes": "", "WB-species-checked": "predicted", "WB-species-dilution-info": "", "WB-species-notes": "" }, "Cow": { "IHCP-species-checked": "predicted", "IHCP-species-dilution-info": "", "IHCP-species-notes": "", "WB-species-checked": "predicted", "WB-species-dilution-info": "", "WB-species-notes": "" }, "Dog": { "IHCP-species-checked": "predicted", "IHCP-species-dilution-info": "", "IHCP-species-notes": "", "WB-species-checked": "predicted", "WB-species-dilution-info": "", "WB-species-notes": "" }, "Guinea pig": { "IHCP-species-checked": "predicted", "IHCP-species-dilution-info": "", "IHCP-species-notes": "", "WB-species-checked": "predicted", "WB-species-dilution-info": "", "WB-species-notes": "" }, "Horse": { "IHCP-species-checked": "predicted", "IHCP-species-dilution-info": "", "IHCP-species-notes": "", "WB-species-checked": "predicted", "WB-species-dilution-info": "", "WB-species-notes": "" }, "Orangutan": { "IHCP-species-checked": "predicted", "IHCP-species-dilution-info": "", "IHCP-species-notes": "", "WB-species-checked": "predicted", "WB-species-dilution-info": "", "WB-species-notes": "" }, "Platypus": { "IHCP-species-checked": "predicted", "IHCP-species-dilution-info": "", "IHCP-species-notes": "", "WB-species-checked": "predicted", "WB-species-dilution-info": "", "WB-species-notes": "" }, "Rhesus monkey": { "IHCP-species-checked": "predicted", "IHCP-species-dilution-info": "", "IHCP-species-notes": "", "WB-species-checked": "predicted", "WB-species-dilution-info": "", "WB-species-notes": "" }, "Turkey": { "IHCP-species-checked": "predicted", "IHCP-species-dilution-info": "", "IHCP-species-notes": "", "WB-species-checked": "predicted", "WB-species-dilution-info": "", "WB-species-notes": "" }, "Xenopus laevis": { "IHCP-species-checked": "predicted", "IHCP-species-dilution-info": "", "IHCP-species-notes": "", "WB-species-checked": "predicted", "WB-species-dilution-info": "", "WB-species-notes": "" }, "Zebrafish": { "IHCP-species-checked": "predicted", "IHCP-species-dilution-info": "", "IHCP-species-notes": "", "WB-species-checked": "predicted", "WB-species-dilution-info": "", "WB-species-notes": "" } } }

Product details

Centrifuge tube to remove product from lid.

Properties and storage information

Form
Liquid
Purification technique
Affinity purification Immunogen
Purification notes
Purified using the peptide immobilized on solid support.
Storage buffer
pH: 7 - 8 Preservative: 0.1% Sodium azide Constituents: 1.815% Tris, 1.764% Sodium citrate, 0.021% PBS
Shipped at conditions
Blue Ice
Appropriate short-term storage conditions
+4°C
Appropriate long-term storage conditions
-20°C
Aliquoting information
Upon delivery aliquot
Storage information
Avoid freeze / thaw cycle

Supplementary information

This supplementary information is collated from multiple sources and compiled automatically.

COPS3 also known as CSN3 or COP9 forms a component of the COP9 signalosome complex. It weighs around 53 kDa. COPS3 is mainly expressed in the cytoplasm of cells in various tissues including the brain heart and skeletal muscle. As part of the signalosome COPS3 plays a role in cellular and molecular processes by influencing protein levels through deneddylation.
Biological function summary

The COPS3/CSN3 protein functions as part of the COP9 signalosome complex which acts in regulating the ubiquitin-proteasome pathway. This complex is involved in mediating the stability and degradation of key regulatory proteins by removing NEDD8 from cullin-RING ligases. By modulating these ligases COPS3 affects protein turnover and signaling pathways essential for cell cycle control and DNA damage response.

Pathways

COPS3/CSN3 takes part in the ubiquitin-proteasome pathway and the DNA damage response pathway. By regulating cullin-RING E3 ubiquitin ligases it influences the degradation of proteins involved in these pathways like p27 and CDT1. Interacting with proteins such as CUL1 and CUL3 COPS3 assists in maintaining cellular homeostasis by ensuring timely protein degradation.

Defects or dysregulation of COPS3 have links to cancer and neurodegenerative diseases. Its role in cancer involves connection to known proteins like p27 where altered protein turnover can lead to unchecked cell proliferation. In neurodegenerative diseases the connection lies with the UPS (ubiquitin-proteasome system) dysfunction affecting protein aggregation processes seen in disorders like Parkinson's disease.

Product protocols

For this product, it's our understanding that no specific protocols are required. You can visit:

Target data

Component of the COP9 signalosome complex (CSN), a complex involved in various cellular and developmental processes. The CSN complex is an essential regulator of the ubiquitin (Ubl) conjugation pathway by mediating the deneddylation of the cullin subunits of SCF-type E3 ligase complexes, leading to decrease the Ubl ligase activity of SCF-type complexes such as SCF, CSA or DDB2. The complex is also involved in phosphorylation of p53/TP53, c-jun/JUN, IkappaBalpha/NFKBIA, ITPK1 and IRF8/ICSBP, possibly via its association with CK2 and PKD kinases. CSN-dependent phosphorylation of TP53 and JUN promotes and protects degradation by the Ubl system, respectively.
See full target information COPS3

Publications (2)

Recent publications for all applications. Explore the full list and refine your search

Journal of cell science 122:1035-44 PubMed19295130

2009

An interaction network of the mammalian COP9 signalosome identifies Dda1 as a core subunit of multiple Cul4-based E3 ligases.

Applications

WB

Species

Human

Michael Hans Olma,Marcia Roy,Thierry Le Bihan,Izabela Sumara,Sarah Maerki,Brett Larsen,Manfredo Quadroni,Matthias Peter,Mike Tyers,Lionel Pintard

The Journal of biological chemistry 281:17457-65 PubMed16624822

2006

Jab1 induces the cytoplasmic localization and degradation of p53 in coordination with Hdm2.

Applications

Unspecified application

Species

Unspecified reactive species

Wonkyung Oh,Eun-Woo Lee,Young Hoon Sung,Mi-Ran Yang,Jaewang Ghim,Han-Woong Lee,Jaewhan Song
View all publications

Product promise

We are committed to supporting your work with high-quality reagents, and we're here for you every step of the way. In the unlikely event that one of our products does not perform as expected, you're protected by our Product Promise.
For full details, please see our Terms & Conditions

Please note: All products are 'FOR RESEARCH USE ONLY. NOT FOR USE IN DIAGNOSTIC OR THERAPEUTIC PROCEDURES'.

For licensing inquiries, please contact partnerships@abcam.com