JavaScript is disabled in your browser. Please enable JavaScript to view this website.
AB183711

Anti-CoREST antibody [EPR13825]

0

(1 Review)

|

(11 Publications)

Rabbit Recombinant Monoclonal CoREST antibody. Suitable for WB, ICC/IF, IHC-P and reacts with Human, Rat samples. Cited in 11 publications.

View Alternative Names

KIAA0071, RCOR, RCOR1, REST corepressor 1, Protein CoREST

4 Images
Immunocytochemistry/ Immunofluorescence - Anti-CoREST antibody [EPR13825] (AB183711)
  • ICC/IF

Supplier Data

Immunocytochemistry/ Immunofluorescence - Anti-CoREST antibody [EPR13825] (AB183711)

Immunofluorescent analysis of acetone-fixed HeLa cells labeling CoREST with ab183711 at 1/100 dilution followed by Goat anti rabbit IgG (Alexa Fluor® 488) secondary antibody at 1/200 dilution (green). Counter stained with Dapi (blue).

Immunohistochemistry (Formalin/PFA-fixed paraffin-embedded sections) - Anti-CoREST antibody [EPR13825] (AB183711)
  • IHC-P

Supplier Data

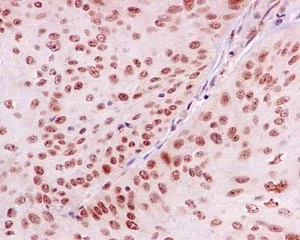
Immunohistochemistry (Formalin/PFA-fixed paraffin-embedded sections) - Anti-CoREST antibody [EPR13825] (AB183711)

Immunohistochemical analysis of paraffin-embedded Human cervix carcinoma tissue labeling CoREST with ab183711 at 1/50 dilution followed by prediluted HRP Polymer for Rabbit IgG. Counter stained with Hematoxylin.

Perform heat mediated antigen retrieval with EDTA buffer pH 9 before commencing with IHC staining protocol.

Immunohistochemistry (Formalin/PFA-fixed paraffin-embedded sections) - Anti-CoREST antibody [EPR13825] (AB183711)
  • IHC-P

Supplier Data

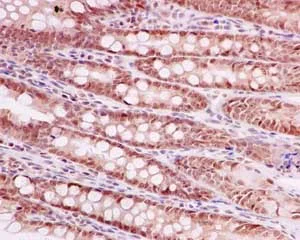
Immunohistochemistry (Formalin/PFA-fixed paraffin-embedded sections) - Anti-CoREST antibody [EPR13825] (AB183711)

Immunohistochemical analysis of paraffin-embedded Rat colon tissue labeling CoREST with ab183711 at 1/50 dilution followed by prediluted HRP Polymer for Rabbit IgG. Counter stained with Hematoxylin

Perform heat mediated antigen retrieval with EDTA buffer pH 9 before commencing with IHC staining protocol.

Western blot - Anti-CoREST antibody [EPR13825] (AB183711)
  • WB

Supplier Data

Western blot - Anti-CoREST antibody [EPR13825] (AB183711)

All lanes:

Western blot - Anti-CoREST antibody [EPR13825] (ab183711) at 1/10000 dilution

Lane 1:

HeLa cell lysate at 20 µg

Lane 2:

MOLT-4 cell lysate at 20 µg

Lane 3:

Jurkat cell lysate at 20 µg

Secondary

All lanes:

Goat Anti-Rabbit IgG, (H+L), Peroxidase conjugated at 1/1000 dilution

Predicted band size: 53 kDa

Observed band size: 66 kDa

false

  • Carrier free

    Anti-CoREST antibody [EPR13825] - BSA and Azide free

Key facts

Host species

Rabbit

Clonality

Monoclonal

Clone number

EPR13825

Isotype

IgG

Carrier free

No

Reacts with

Rat, Human

Applications

ICC/IF, WB, IHC-P

applications

Immunogen

The exact immunogen used to generate this antibody is proprietary information.

Reactivity data

{ "title": "Reactivity Data", "filters": { "stats": ["", "Species", "Dilution Info", "Notes"], "tabs": { "all-applications": {"fullname" : "All Applications", "shortname": "All Applications"}, "WB" : {"fullname" : "Western blot", "shortname":"WB"}, "ICCIF" : {"fullname" : "Immunocytochemistry/ Immunofluorescence", "shortname":"ICC/IF"}, "IHCP" : {"fullname" : "Immunohistochemistry (Formalin/PFA-fixed paraffin-embedded sections)", "shortname":"IHC-P"} }, "product-promise": { "all": "all", "testedAndGuaranteed": "tested", "guaranteed": "expected", "predicted": "predicted", "notRecommended": "not-recommended" } }, "values": { "Human": { "WB-species-checked": "testedAndGuaranteed", "WB-species-dilution-info": "1/10000 - 1/50000", "WB-species-notes": "<p></p>", "ICCIF-species-checked": "testedAndGuaranteed", "ICCIF-species-dilution-info": "1/100", "ICCIF-species-notes": "<p></p>", "IHCP-species-checked": "testedAndGuaranteed", "IHCP-species-dilution-info": "1/50", "IHCP-species-notes": "<p></p> Perform heat-mediated antigen retrieval with Tris/EDTA buffer pH 9.0 before commencing with IHC staining protocol." }, "Mouse": { "WB-species-checked": "predicted", "WB-species-dilution-info": "", "WB-species-notes": "", "ICCIF-species-checked": "predicted", "ICCIF-species-dilution-info": "", "ICCIF-species-notes": "", "IHCP-species-checked": "predicted", "IHCP-species-dilution-info": "", "IHCP-species-notes": "" }, "Rat": { "WB-species-checked": "guaranteed", "WB-species-dilution-info": "", "WB-species-notes": "", "ICCIF-species-checked": "guaranteed", "ICCIF-species-dilution-info": "", "ICCIF-species-notes": "", "IHCP-species-checked": "testedAndGuaranteed", "IHCP-species-dilution-info": "1/50", "IHCP-species-notes": "<p></p> Perform heat-mediated antigen retrieval with Tris/EDTA buffer pH 9.0 before commencing with IHC staining protocol." } } }

Product details

Patented technology
Our RabMAb® technology is a patented hybridoma-based technology for making rabbit monoclonal antibodies. For details on our patents, please refer to RabMAb® patents.

What are the advantages of a recombinant monoclonal antibody?
This product is a recombinant monoclonal antibody, which offers several advantages including:

  • - High batch-to-batch consistency and reproducibility
  • - Improved sensitivity and specificity
  • - Long-term security of supply
  • - Animal-free batch production

For more information, read more on recombinant antibodies.

Properties and storage information

Form
Liquid
Purification technique
Affinity purification Protein A
Storage buffer
pH: 7.2 Preservative: 0.01% Sodium azide Constituents: PBS, 40% Glycerol (glycerin, glycerine), 0.05% BSA
Shipped at conditions
Blue Ice
Appropriate short-term storage duration
1-2 weeks
Appropriate short-term storage conditions
+4°C
Appropriate long-term storage conditions
-20°C
Aliquoting information
Upon delivery aliquot
Storage information
Avoid freeze / thaw cycle

Supplementary information

This supplementary information is collated from multiple sources and compiled automatically.

The CoREST protein also known as REST corepressor 1 is a 58 kDa protein that mechanically functions in chromatin remodeling and gene silencing. CoREST localizes to the nucleus and functions in the repression of neuronal genes in non-neuronal tissues. This protein is pivotal in assembling histone deacetylase complexes which makes it essential in epigenetic regulation. CoREST is expressed in various tissues throughout the body playing an important role in maintaining non-neuronal gene expression.
Biological function summary

CoREST interacts with multiple partners to form a corepressor complex. This complex includes LSD1 (lysine-specific demethylase 1) and HDAC1/2 (histone deacetylases 1 or 2) facilitating transcriptional repression. CoREST regulates the expression of genes involved in neurogenesis and cell differentiation processes. Its role is critical in maintaining the balance between neuronal and non-neuronal gene expression by modifying chromatin states.

Pathways

CoREST is involved in histone modification and gene expression regulation pathways. One significant pathway is the REST (RE1-Silencing Transcription factor) pathway where CoREST serves as a core component. In this pathway CoREST interacts with REST a transcriptional repressor to silence neural genes in a non-neuronal context. Another involved pathway is the chromatin remodeling pathway where CoREST associates with LSD1 and other chromatin-modifying enzymes to alter chromatin structure and gene accessibility.

CoREST has connections to neurological disorders and cancer. Altered CoREST expression or function links to the progression of neurodegenerative diseases such as Huntington's disease. CoREST dysregulation also relates to certain cancer types where misexpression can contribute to tumorigenesis. In the context of these disorders CoREST often collaborates with LSD1 affecting the transcriptional landscape of affected cells showcasing the importance of CoREST in disease mechanisms.

Product protocols

For this product, it's our understanding that no specific protocols are required. You can visit:

Target data

Essential component of the BHC complex, a corepressor complex that represses transcription of neuron-specific genes in non-neuronal cells. The BHC complex is recruited at RE1/NRSE sites by REST and acts by deacetylating and demethylating specific sites on histones, thereby acting as a chromatin modifier. In the BHC complex, it serves as a molecular beacon for the recruitment of molecular machinery, including MeCP2 and SUV39H1, that imposes silencing across a chromosomal interval. Plays a central role in demethylation of Lys-4 of histone H3 by promoting demethylase activity of KDM1A on core histones and nucleosomal substrates. It also protects KDM1A from the proteasome. Component of a RCOR/GFI/KDM1A/HDAC complex that suppresses, via histone deacetylase (HDAC) recruitment, a number of genes implicated in multilineage blood cell development and controls hematopoietic differentiation.
See full target information RCOR1

Publications (11)

Recent publications for all applications. Explore the full list and refine your search

Cell reports 44:115213 PubMed39817906

2025

Coordinated neuron-specific splicing events restrict nucleosome engagement of the LSD1 histone demethylase complex.

Applications

Unspecified application

Species

Unspecified reactive species

Robert S Porter,Sojin An,Maria C Gavilan,Masayoshi Nagai,Yumie Murata-Nakamura,Bo Zhou,Katherine M Bonefas,Olivier Dionne,Jeru Manoj Manuel,Joannie St-Germain,Suzanne Gascon,Jacqueline Kim,Liam Browning,Benoit Laurent,Uhn-Soo Cho,Shigeki Iwase

The Journal of biological chemistry 300:107881 PubMed39395799

2024

Neuronal splicing of the unmethylated histone H3K4 reader, PHF21A, prevents excessive synaptogenesis.

Applications

Unspecified application

Species

Unspecified reactive species

Masayoshi Nagai,Robert S Porter,Maxwell Miyasato,Aijia Wang,Cecilia M Gavilan,Elizabeth D Hughes,Michael C Wu,Thomas L Saunders,Shigeki Iwase

CNS neuroscience & therapeutics 30:e14830 PubMed39046182

2024

METTL14-mediated upregulation of lncRNA HOTAIR represses PP1α expression by promoting H3K4me1 demethylation in oxycodone-treated mice.

Applications

Unspecified application

Species

Unspecified reactive species

Tian-Cong Liu,Hong-Xi Li,Yu-Xiao Wan,Guang Shi,Yun-Peng Zhao,Yi-Fei Liu,Xin-Yu Fan

Translational oncology 44:101684 PubMed38641372

2024

CREB3 facilitates Donafenib resistance in hepatocellular carcinoma cells via the LSD1/CoREST/p65 axis by transcriptionally activating long noncoding RNA ZFAS1.

Applications

Unspecified application

Species

Unspecified reactive species

Xunbo Hou,Qiannan Xu,Ruibao Liu

Cancer research communications 3:1716-1730 PubMed37663929

2023

Demethylation of EHMT1/GLP Protein Reprograms Its Transcriptional Activity and Promotes Prostate Cancer Progression.

Applications

Unspecified application

Species

Unspecified reactive species

Anna Besschetnova,Wanting Han,Mingyu Liu,Yanfei Gao,Muqing Li,Zifeng Wang,Maryam Labaf,Susan Patalano,Kavita Venkataramani,Rachel E Muriph,Jill A Macoska,Kellee R Siegfried,Jason Evans,Steven P Balk,Shuai Gao,Dong Han,Changmeng Cai

Frontiers in cell and developmental biology 11:1162344 PubMed37342230

2023

Comprehensive analysis of REST corepressors (s) in pan-cancer.

Applications

Unspecified application

Species

Unspecified reactive species

Rong Zheng,Yingying Pan,Xinhui Liu,Feiye Liu,Aimin Li,Dayong Zheng,Yue Luo

Cancer research 83:1684-1698 PubMed36877164

2023

LSD1 Inhibition Disrupts Super-Enhancer-Driven Oncogenic Transcriptional Programs in Castration-Resistant Prostate Cancer.

Applications

Unspecified application

Species

Unspecified reactive species

Muqing Li,Mingyu Liu,Wanting Han,Zifeng Wang,Dong Han,Susan Patalano,Jill A Macoska,Steven P Balk,Housheng Hansen He,Eva Corey,Shuai Gao,Changmeng Cai

Nature communications 13:1550 PubMed35322029

2022

Unveiling RCOR1 as a rheostat at transcriptionally permissive chromatin.

Applications

Unspecified application

Species

Unspecified reactive species

Carlos Rivera,Hun-Goo Lee,Anna Lappala,Danni Wang,Verónica Noches,Montserrat Olivares-Costa,Marcela Sjöberg-Herrera,Jeannie T Lee,María Estela Andrés

Cell discovery 7:37 PubMed34031383

2021

Targeting novel LSD1-dependent ACE2 demethylation domains inhibits SARS-CoV-2 replication.

Applications

Unspecified application

Species

Unspecified reactive species

Wen Juan Tu,Robert D McCuaig,Michelle Melino,Daniel J Rawle,Thuy T Le,Kexin Yan,Andreas Suhrbier,Rebecca L Johnston,Lambros T Koufariotis,Nicola Waddell,Emily M Cross,Sofiya Tsimbalyuk,Amanda Bain,Elizabeth Ahern,Natasha Collinson,Simon Phipps,Jade K Forwood,Nabila Seddiki,Sudha Rao

The Journal of neuroscience : the official journal of the Society for Neuroscience 35:16443-9 PubMed26674869

2015

Long Noncoding RNA FosDT Promotes Ischemic Brain Injury by Interacting with REST-Associated Chromatin-Modifying Proteins.

Applications

WB

Species

Rat

Suresh L Mehta,TaeHee Kim,Raghu Vemuganti
View all publications

Product promise

We are committed to supporting your work with high-quality reagents, and we're here for you every step of the way. In the unlikely event that one of our products does not perform as expected, you're protected by our Product Promise.
For full details, please see our Terms & Conditions

Please note: All products are 'FOR RESEARCH USE ONLY. NOT FOR USE IN DIAGNOSTIC OR THERAPEUTIC PROCEDURES'.

For licensing inquiries, please contact partnerships@abcam.com