JavaScript is disabled in your browser. Please enable JavaScript to view this website.
AB37113

Anti-CoREST2 / RCOR2 antibody

5

(4 Reviews)

|

(7 Publications)

Rabbit Polyclonal CoREST2 / RCOR2 antibody. Suitable for IHC-P, WB and reacts with Human samples. Cited in 7 publications.

View Alternative Names

REST corepressor 2, RCOR2

3 Images
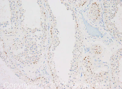
Immunohistochemistry (Formalin/PFA-fixed paraffin-embedded sections) - Anti-CoREST2 / RCOR2 antibody (AB37113)
  • IHC-P

Unknown

Immunohistochemistry (Formalin/PFA-fixed paraffin-embedded sections) - Anti-CoREST2 / RCOR2 antibody (AB37113)

IHC image of CoREST/RCOR2 staining in human testis formalin fixed paraffin embedded tissue section, performed on a Leica Bond system using the standard protocol F. The section was pre-treated using heat mediated antigen retrieval with sodium citrate buffer (pH6, epitope retrieval solution 1) for 20 mins. The section was then incubated with ab37113, 1μg/ml, for 15 mins at room temperature and detected using an HRP conjugated compact polymer system. DAB was used as the chromogen. The section was then counterstained with haematoxylin and mounted with DPX.

For other IHC staining systems (automated and non-automated) customers should optimize variable parameters such as antigen retrieval conditions, primary antibody concentration and antibody incubation times.

Western blot - Anti-CoREST2 / RCOR2 antibody (AB37113)
  • WB

AbReview29854****

Western blot - Anti-CoREST2 / RCOR2 antibody (AB37113)

All lanes:

Western blot - Anti-CoREST2 / RCOR2 antibody (ab37113) at 1/1000 dilution

All lanes:

MCF7 cells

Secondary

All lanes:

HRP conjugated donkey anti-rabbit at 1/2000 dilution.

Predicted band size: 58 kDa

Observed band size: 45 kDa

true

This image is courtesy of an anonymous abreview.

Western blot - Anti-CoREST2 / RCOR2 antibody (AB37113)
  • WB

Lab

Western blot - Anti-CoREST2 / RCOR2 antibody (AB37113)

This blot was produced using a 4-12% Bis-tris gel under the MOPS buffer system. The gel was run at 200V for 50 minutes before being transferred onto a Nitrocellulose membrane at 30V for 70 minutes. The membrane was then blocked for an hour using 2% Bovine Serum Albumin before being incubated with ab37113 overnight at 4°C. Antibody binding was detected using an anti-rabbit HRP secondary antibody (ab6721), and visualised using ECL development solution ab133406.

All lanes:

Western blot - Anti-CoREST2 / RCOR2 antibody (ab37113) at 1 µg/mL

Lane 1:

MCF7 (Human breast adenocarcinoma cell line) Whole Cell Lysate at 25 µg

Lane 2:

HepG2 (Human hepatocellular liver carcinoma cell line) Whole Cell Lysate at 25 µg

Secondary

All lanes:

Goat Anti-Rabbit IgG H&L (HRP) at 1/50000 dilution

Predicted band size: 58 kDa

Observed band size: 60 kDa

false

Exposure time: 4min

Key facts

Host species

Rabbit

Clonality

Polyclonal

Isotype

IgG

Carrier free

No

Reacts with

Human

Applications

WB, IHC-P

applications

Immunogen

The exact immunogen used to generate this antibody is proprietary information.

Reactivity data

{ "title": "Reactivity Data", "filters": { "stats": ["", "Species", "Dilution Info", "Notes"], "tabs": { "all-applications": {"fullname" : "All Applications", "shortname": "All Applications"}, "IHCP" : {"fullname" : "Immunohistochemistry (Formalin/PFA-fixed paraffin-embedded sections)", "shortname":"IHC-P"}, "WB" : {"fullname" : "Western blot", "shortname":"WB"} }, "product-promise": { "all": "all", "testedAndGuaranteed": "tested", "guaranteed": "expected", "predicted": "predicted", "notRecommended": "not-recommended" } }, "values": { "Human": { "IHCP-species-checked": "testedAndGuaranteed", "IHCP-species-dilution-info": "1 µg/mL", "IHCP-species-notes": "<p></p>", "WB-species-checked": "testedAndGuaranteed", "WB-species-dilution-info": "1 µg/mL", "WB-species-notes": "<p></p>" } } }

Properties and storage information

Form
Liquid
Purification technique
Affinity purification Immunogen
Storage buffer
pH: 7.4 Preservative: 0.02% Sodium azide Constituents: PBS, 1% BSA
Shipped at conditions
Blue Ice
Appropriate short-term storage duration
1-2 weeks
Appropriate short-term storage conditions
+4°C
Appropriate long-term storage conditions
-20°C
Aliquoting information
Upon delivery aliquot
Storage information
Avoid freeze / thaw cycle

Supplementary information

This supplementary information is collated from multiple sources and compiled automatically.

CoREST2 also known as RCOR2 is a corepressor protein weighing approximately 58 kDa. Mechanically CoREST2 functions by interacting with transcription factors and chromatin. It participates in remodeling chromatin structure which affects gene expression regulation. CoREST2 is primarily expressed in the brain but can be found in other tissues. Its interactions occur through its domains allowing it to bind with other proteins and DNA.
Biological function summary

CoREST2 contributes to transcriptional repression and gene silencing. CoREST2 frequently forms part of larger protein complexes including the CoREST complex involving LSD1 and HDACs. This complex modulates chromatin to suppress specific genes particularly those associated with neuron differentiation and development. CoREST2 supports maintaining the silenced state of various genes participating in controlling cellular functions and fate.

Pathways

Multiple processes rely on CoREST2 for maintaining gene expression regulation especially in neural pathways. It participates in pathways associated with neural differentiation and development. Through its association with the REST complex CoREST2 modulates neuronal genes alongside proteins like REST and LSD1. These pathways control how stem cells develop into neurons and maintain neural populations important for brain function.

CoREST2 has links to neurological conditions such as neurodevelopmental disorders and epilepsy. Its role in gene silencing connects CoREST2 to disorders resulting from disrupted gene regulation. In these contexts CoREST2 dysregulation might affect the balance of genes associated with developmental processes alongside proteins like HDAC2 contributing to disease development. Understanding CoREST2's functions could offer insights into therapeutic approaches for these conditions.

Product protocols

For this product, it's our understanding that no specific protocols are required. You can visit:

Target data

May act as a component of a corepressor complex that represses transcription.
See full target information RCOR2

Publications (7)

Recent publications for all applications. Explore the full list and refine your search

Frontiers in oncology 15:1539263 PubMed40936699

2025

REST corepressor 2 contributes to the cell proliferation of endometrial cancer.

Applications

Unspecified application

Species

Unspecified reactive species

Qingjuan Zhu,Xin Yang,Yuchun Lv

EMBO reports 26:1528-1565 PubMed39930152

2025

A CRISPR-Cas9 screen reveals genetic determinants of the cellular response to decitabine.

Applications

Unspecified application

Species

Unspecified reactive species

Pinqi Zhang,Zhuqiang Zhang,Yiyi Wang,Wenlong Du,Xingrui Song,Weiyi Lai,Hailin Wang,Bing Zhu,Jun Xiong

The Journal of biological chemistry 299:104662 PubMed36997086

2023

The stem cell-supporting small molecule UM171 triggers Cul3-KBTBD4-mediated degradation of ELM2 domain-harboring proteins.

Applications

Unspecified application

Species

Unspecified reactive species

Kristijonas Žemaitis,Sudip Ghosh,Jenny Hansson,Agatheeswaran Subramaniam

Disease models & mechanisms 14: PubMed33969421

2021

Sox11 regulates mammary tumour-initiating and metastatic capacity in Brca1-deficient mouse mammary tumour cells.

Applications

Unspecified application

Species

Unspecified reactive species

Siu Man Tsang,Hyojin Kim,Erik Oliemuller,Richard Newman,Naa-Anyima Boateng,Naomi Guppy,Beatrice A Howard

eLife 9: PubMed32909943

2020

SOX11 promotes epithelial/mesenchymal hybrid state and alters tropism of invasive breast cancer cells.

Applications

Unspecified application

Species

Unspecified reactive species

Erik Oliemuller,Richard Newman,Siu Man Tsang,Shane Foo,Gareth Muirhead,Farzana Noor,Syed Haider,Iskander Aurrekoetxea-Rodríguez,Maria dM Vivanco,Beatrice A Howard

The Journal of clinical investigation 130:1830-1842 PubMed31917688

2020

Inhibiting the coregulator CoREST impairs Foxp3+ Treg function and promotes antitumor immunity.

Applications

Unspecified application

Species

Unspecified reactive species

Yan Xiong,Liqing Wang,Eros Di Giorgio,Tatiana Akimova,Ulf H Beier,Rongxiang Han,Matteo Trevisanut,Jay H Kalin,Philip A Cole,Wayne W Hancock

Nucleic acids research 42:1656-70 PubMed24234443

2013

RNA-dependent dynamic histone acetylation regulates MCL1 alternative splicing.

Applications

Unspecified application

Species

Unspecified reactive species

Dilshad H Khan,Carolina Gonzalez,Charlton Cooper,Jian-Min Sun,Hou Yu Chen,Shannon Healy,Wayne Xu,Karen T Smith,Jerry L Workman,Etienne Leygue,James R Davie
View all publications

Product promise

We are committed to supporting your work with high-quality reagents, and we're here for you every step of the way. In the unlikely event that one of our products does not perform as expected, you're protected by our Product Promise.
For full details, please see our Terms & Conditions

Please note: All products are 'FOR RESEARCH USE ONLY. NOT FOR USE IN DIAGNOSTIC OR THERAPEUTIC PROCEDURES'.

For licensing inquiries, please contact partnerships@abcam.com