JavaScript is disabled in your browser. Please enable JavaScript to view this website.
AB76921

Anti-CoREST3 / RCOR3 antibody

5

(1 Review)

|

(6 Publications)

Rabbit Polyclonal CoREST3 / RCOR3 antibody. Suitable for ICC, IP, WB, IHC-P and reacts with Human, Mouse samples. Cited in 6 publications. Immunogen corresponding to Synthetic Peptide within Human RCOR3.

View Alternative Names

KIAA1343, RCOR3, REST corepressor 3

4 Images
Immunocytochemistry - Anti-CoREST3 / RCOR3 antibody (AB76921)
  • ICC

Unknown

Immunocytochemistry - Anti-CoREST3 / RCOR3 antibody (AB76921)

Immunocytochemistry/Immunofluorescence analysis of NBF-fixed HeLa cells labelling CoREST3 / RCOR3 with ab76921 at 1/80 (2.5µg/ml). A DyLight® 488-conjugated goat anti-rabbit IgG (H+L) (1/100) was used as the secondary antibody.

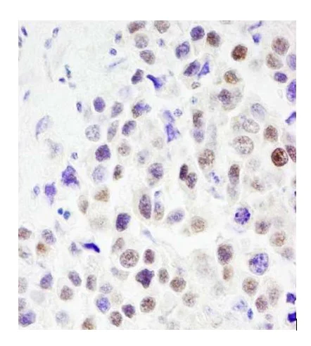
Immunohistochemistry (Formalin/PFA-fixed paraffin-embedded sections) - Anti-CoREST3 / RCOR3 antibody (AB76921)
  • IHC-P

Unknown

Immunohistochemistry (Formalin/PFA-fixed paraffin-embedded sections) - Anti-CoREST3 / RCOR3 antibody (AB76921)

Immunohistochemistry (Formalin/PFA-fixed paraffin-embedded sections) analysis of human testicular seminoma tissue labelling CoREST3 / RCOR3 with ab76921 at 1/200 dilution.

Immunoprecipitation - Anti-CoREST3 / RCOR3 antibody (AB76921)
  • IP

Unknown

Immunoprecipitation - Anti-CoREST3 / RCOR3 antibody (AB76921)

Detection of CoREST3 / RCOR3 by Western Blot of Immunprecipitate.
ab76921 at 1µg/ml staining CoREST3 / RCOR3 in HeLa whole cell lysate immunoprecipitated using ab76921 at 3µg/mg lysate (1 mg/IP; 20% of IP loaded/lane).
Detection : Chemiluminescence with exposure time of 10 seconds.

All lanes:

Immunoprecipitation - Anti-CoREST3 / RCOR3 antibody (ab76921)

Predicted band size: 56 kDa

false

Western blot - Anti-CoREST3 / RCOR3 antibody (AB76921)
  • WB

Unknown

Western blot - Anti-CoREST3 / RCOR3 antibody (AB76921)

All lanes:

Western blot - Anti-CoREST3 / RCOR3 antibody (ab76921) at 0.04 µg/mL

Lane 1:

HeLa whole cell lysate at 50 µg

Lane 2:

HeLa whole cell lysate at 15 µg

Lane 3:

HeLa whole cell lysate at 5 µg

Lane 4:

293T whole cell lysate at 50 µg

Lane 5:

NIH3T3 whole cell lysate at 50 µg

Predicted band size: 56 kDa

Observed band size: 70 kDa

false

Exposure time: 1s

Key facts

Host species

Rabbit

Clonality

Polyclonal

Isotype

IgG

Carrier free

No

Reacts with

Mouse, Human

Applications

ICC, IP, IHC-P, WB

applications

Immunogen

Synthetic Peptide within Human RCOR3. The exact immunogen used to generate this antibody is proprietary information.

Q9P2K3

Reactivity data

{ "title": "Reactivity Data", "filters": { "stats": ["", "Species", "Dilution Info", "Notes"], "tabs": { "all-applications": {"fullname" : "All Applications", "shortname": "All Applications"}, "ICC" : {"fullname" : "Immunocytochemistry", "shortname":"ICC"}, "IP" : {"fullname" : "Immunoprecipitation", "shortname":"IP"}, "WB" : {"fullname" : "Western blot", "shortname":"WB"}, "IHCP" : {"fullname" : "Immunohistochemistry (Formalin/PFA-fixed paraffin-embedded sections)", "shortname":"IHC-P"} }, "product-promise": { "all": "all", "testedAndGuaranteed": "tested", "guaranteed": "expected", "predicted": "predicted", "notRecommended": "not-recommended" } }, "values": { "Human": { "ICC-species-checked": "testedAndGuaranteed", "ICC-species-dilution-info": "", "ICC-species-notes": "<p></p>", "IP-species-checked": "testedAndGuaranteed", "IP-species-dilution-info": "2-5 µg/mg of lysate", "IP-species-notes": "<p></p>", "WB-species-checked": "testedAndGuaranteed", "WB-species-dilution-info": "1/2000 - 1/10000", "WB-species-notes": "<p></p>", "IHCP-species-checked": "testedAndGuaranteed", "IHCP-species-dilution-info": "", "IHCP-species-notes": "<p></p>" }, "Mouse": { "ICC-species-checked": "guaranteed", "ICC-species-dilution-info": "", "ICC-species-notes": "", "IP-species-checked": "guaranteed", "IP-species-dilution-info": "", "IP-species-notes": "", "WB-species-checked": "testedAndGuaranteed", "WB-species-dilution-info": "1/2000 - 1/10000", "WB-species-notes": "<p></p>", "IHCP-species-checked": "guaranteed", "IHCP-species-dilution-info": "", "IHCP-species-notes": "" }, "Chimpanzee": { "ICC-species-checked": "predicted", "ICC-species-dilution-info": "", "ICC-species-notes": "", "IP-species-checked": "predicted", "IP-species-dilution-info": "", "IP-species-notes": "", "WB-species-checked": "predicted", "WB-species-dilution-info": "", "WB-species-notes": "", "IHCP-species-checked": "predicted", "IHCP-species-dilution-info": "", "IHCP-species-notes": "" }, "Cow": { "ICC-species-checked": "predicted", "ICC-species-dilution-info": "", "ICC-species-notes": "", "IP-species-checked": "predicted", "IP-species-dilution-info": "", "IP-species-notes": "", "WB-species-checked": "predicted", "WB-species-dilution-info": "", "WB-species-notes": "", "IHCP-species-checked": "predicted", "IHCP-species-dilution-info": "", "IHCP-species-notes": "" }, "Dog": { "ICC-species-checked": "predicted", "ICC-species-dilution-info": "", "ICC-species-notes": "", "IP-species-checked": "predicted", "IP-species-dilution-info": "", "IP-species-notes": "", "WB-species-checked": "predicted", "WB-species-dilution-info": "", "WB-species-notes": "", "IHCP-species-checked": "predicted", "IHCP-species-dilution-info": "", "IHCP-species-notes": "" }, "Elephant": { "ICC-species-checked": "predicted", "ICC-species-dilution-info": "", "ICC-species-notes": "", "IP-species-checked": "predicted", "IP-species-dilution-info": "", "IP-species-notes": "", "WB-species-checked": "predicted", "WB-species-dilution-info": "", "WB-species-notes": "", "IHCP-species-checked": "predicted", "IHCP-species-dilution-info": "", "IHCP-species-notes": "" }, "Gorilla": { "ICC-species-checked": "predicted", "ICC-species-dilution-info": "", "ICC-species-notes": "", "IP-species-checked": "predicted", "IP-species-dilution-info": "", "IP-species-notes": "", "WB-species-checked": "predicted", "WB-species-dilution-info": "", "WB-species-notes": "", "IHCP-species-checked": "predicted", "IHCP-species-dilution-info": "", "IHCP-species-notes": "" }, "Guinea pig": { "ICC-species-checked": "predicted", "ICC-species-dilution-info": "", "ICC-species-notes": "", "IP-species-checked": "predicted", "IP-species-dilution-info": "", "IP-species-notes": "", "WB-species-checked": "predicted", "WB-species-dilution-info": "", "WB-species-notes": "", "IHCP-species-checked": "predicted", "IHCP-species-dilution-info": "", "IHCP-species-notes": "" }, "Horse": { "ICC-species-checked": "predicted", "ICC-species-dilution-info": "", "ICC-species-notes": "", "IP-species-checked": "predicted", "IP-species-dilution-info": "", "IP-species-notes": "", "WB-species-checked": "predicted", "WB-species-dilution-info": "", "WB-species-notes": "", "IHCP-species-checked": "predicted", "IHCP-species-dilution-info": "", "IHCP-species-notes": "" }, "Orangutan": { "ICC-species-checked": "predicted", "ICC-species-dilution-info": "", "ICC-species-notes": "", "IP-species-checked": "predicted", "IP-species-dilution-info": "", "IP-species-notes": "", "WB-species-checked": "predicted", "WB-species-dilution-info": "", "WB-species-notes": "", "IHCP-species-checked": "predicted", "IHCP-species-dilution-info": "", "IHCP-species-notes": "" }, "Rhesus monkey": { "ICC-species-checked": "predicted", "ICC-species-dilution-info": "", "ICC-species-notes": "", "IP-species-checked": "predicted", "IP-species-dilution-info": "", "IP-species-notes": "", "WB-species-checked": "predicted", "WB-species-dilution-info": "", "WB-species-notes": "", "IHCP-species-checked": "predicted", "IHCP-species-dilution-info": "", "IHCP-species-notes": "" } } }

Properties and storage information

Form
Liquid
Purification technique
Affinity purification Immunogen
Storage buffer
pH: 6.8 - 7.4 Preservative: 0.09% Sodium azide Constituents: Tris buffered saline, 0.1% BSA
Shipped at conditions
Blue Ice
Appropriate short-term storage conditions
+4°C
Appropriate long-term storage conditions
+4°C
Aliquoting information
Upon delivery aliquot
Storage information
Avoid freeze / thaw cycle

Supplementary information

This supplementary information is collated from multiple sources and compiled automatically.

CoREST3 also known as RCOR3 is a protein encoded by the RCOR3 gene. It functions as a corepressor involved in neuronal gene silencing. CoREST3 has a mass of approximately 54 kDa. It is expressed in various tissues with higher levels in the brain suggesting important roles in the central nervous system. Mechanically CoREST3 interacts with histone deacetylase enzymes and DNA-binding factors to modulate chromatin structure thereby influencing transcriptional repression.
Biological function summary

CoREST3 acts as a member of the CoREST corepressor complex. This complex plays significant roles in the regulation of gene expression by creating an epigenetically repressive environment. CoREST3 recruits other proteins such as LSD1 which demethylates histones resulting in the suppression of transcriptional activity. It maintains the silenced state of neuronal genes during development and differentiation contributing to neural functions and identity.

Pathways

CoREST3 participates in the REST (RE1-Silencing Transcription factor) pathway which is important for the repression of neuron-specific genes in non-neuronal cells. It works closely with the REST protein contributing to chromatin remodeling and gene silencing processes. Another essential pathway involving CoREST3 is the LSD1-mediated histone demethylation pathway. Through these pathways CoREST3 connects to proteins like REST and LSD1 to fulfill its role in transcriptional regulation.

CoREST3's function in gene silencing links to neurological conditions such as Huntington's disease and schizophrenia. Altered CoREST3 expression or mutations can disrupt normal transcriptional repression leading to these disease states. In Huntington's disease changes in CoREST3 are associated with the misregulation of neuron-specific genes aligning its activity with that of REST and LSD1 in pathological progression. In schizophrenia RCOR3 is investigated for its role in gene regulation disturbances considering its interactions with the REST corepressor complex.

Product protocols

For this product, it's our understanding that no specific protocols are required. You can visit:

Target data

May act as a component of a corepressor complex that represses transcription.
See full target information RCOR3

Publications (6)

Recent publications for all applications. Explore the full list and refine your search

BMC biology 23:255 PubMed40817058

2025

CoREST3 exhibits isoform specific expression in Alzheimer's disease and regulation of HDAC2.

Applications

Unspecified application

Species

Unspecified reactive species

Simon Maksour,Helena Targa Dias Anastacio,Jeremy S Lum,Samara Walpole,Kelly A Newell,Calista Turner,Adile Kaban,Rachelle Balez,Julia Lim,Greg T Sutherland,Lezanne Ooi,Mirella Dottori

Nature communications 15:5585 PubMed38992040

2024

The transcriptional co-repressor Runx1t1 is essential for MYCN-driven neuroblastoma tumorigenesis.

Applications

Unspecified application

Species

Unspecified reactive species

Jayne E Murray,Emanuele Valli,Giorgio Milazzo,Chelsea Mayoh,Andrew J Gifford,Jamie I Fletcher,Chengyuan Xue,Nisitha Jayatilleke,Firoozeh Salehzadeh,Laura D Gamble,Jourdin R C Rouaen,Daniel R Carter,Helen Forgham,Eric O Sekyere,Joanna Keating,Georgina Eden,Sophie Allan,Stephanie Alfred,Frances K Kusuma,Ashleigh Clark,Hannah Webber,Amanda J Russell,Antoine de Weck,Benjamin T Kile,Martina Santulli,Piergiuseppe De Rosa,Emmy D G Fleuren,Weiman Gao,Lorna Wilkinson-White,Jason K K Low,Joel P Mackay,Glenn M Marshall,Douglas J Hilton,Federico M Giorgi,Jan Koster,Giovanni Perini,Michelle Haber,Murray D Norris

The Journal of biological chemistry 299:104662 PubMed36997086

2023

The stem cell-supporting small molecule UM171 triggers Cul3-KBTBD4-mediated degradation of ELM2 domain-harboring proteins.

Applications

Unspecified application

Species

Unspecified reactive species

Kristijonas Žemaitis,Sudip Ghosh,Jenny Hansson,Agatheeswaran Subramaniam

The Biochemical journal 475:1441-1454 PubMed29555846

2018

PIASγ controls stability and facilitates SUMO-2 conjugation to CoREST family of transcriptional co-repressors.

Applications

Unspecified application

Species

Unspecified reactive species

Julián Esteban Sáez,Cristian Arredondo,Carlos Rivera,María Estela Andrés

PloS one 10:e0131760 PubMed26111147

2015

Decreased Expression of CoREST1 and CoREST2 Together with LSD1 and HDAC1/2 during Neuronal Differentiation.

Applications

Unspecified application

Species

Unspecified reactive species

Julián Esteban Sáez,Andrea Verónica Gómez,Álvaro Patricio Barrios,Guillermo Eduardo Parada,Leopoldo Galdames,Marcela González,María Estela Andrés

Molecular and cellular biology 34:2760-70 PubMed24820421

2014

Differential properties of transcriptional complexes formed by the CoREST family.

Applications

Unspecified application

Species

Unspecified reactive species

Álvaro P Barrios,Andrea V Gómez,Julián E Sáez,Giuseppe Ciossani,Emanuela Toffolo,Elena Battaglioli,Andrea Mattevi,María E Andrés
View all publications

Product promise

We are committed to supporting your work with high-quality reagents, and we're here for you every step of the way. In the unlikely event that one of our products does not perform as expected, you're protected by our Product Promise.
For full details, please see our Terms & Conditions

Please note: All products are 'FOR RESEARCH USE ONLY. NOT FOR USE IN DIAGNOSTIC OR THERAPEUTIC PROCEDURES'.

For licensing inquiries, please contact partnerships@abcam.com