JavaScript is disabled in your browser. Please enable JavaScript to view this website.
AB263869

Anti-Corin antibody [EPR22613-21] - BSA and Azide free

Be the first to review this product! Submit a review

|

(1 Publication)

Rabbit Recombinant Monoclonal CORIN antibody. Carrier free. Suitable for IHC-Fr, IHC-P and reacts with Mouse, Rat samples. Cited in 1 publication.

View Alternative Names

Crn, Lrp4, Corin, Atrial natriuretic peptide-converting enzyme, Low density lipoprotein receptor-related protein 4, Pro-ANP-converting enzyme

4 Images
Immunohistochemistry (Frozen sections) - Anti-Corin antibody [EPR22613-21] - BSA and Azide free (AB263869)
  • IHC-Fr

Unknown

Immunohistochemistry (Frozen sections) - Anti-Corin antibody [EPR22613-21] - BSA and Azide free (AB263869)

Immunohistochemical analysis of 4% PFA fixed 0.2% Triton X-100 permeabilized frozen Mouse kidney tissue labeling Corin with ab255812 at 1/100 (5.47 μg/ml) dilution followed by ab150077 AlexaFluor®488 Goat anti-Rabbit secondary at 1/1000 (2 μg/ml) dilution. The nuclear counterstain was DAPI (Blue).

Heat mediated antigen retrieval using sodium citrate buffer (10mM citrate pH 6.0 + 0.05% Tween-20).

Secondary antibody only control : Used PBS instead of primary antibody, secondary antibody was ab150077 AlexaFluor®488 Goat anti-Rabbit secondary at 1/1000 (2 μg/ml) dilution.

This data was developed using the same antibody clone in a different buffer formulation containing PBS, BSA, glycerol, and sodium azide (ab255812).

Immunohistochemistry (Frozen sections) - Anti-Corin antibody [EPR22613-21] - BSA and Azide free (AB263869)
  • IHC-Fr

Unknown

Immunohistochemistry (Frozen sections) - Anti-Corin antibody [EPR22613-21] - BSA and Azide free (AB263869)

Immunohistochemical analysis of 4% PFA fixed 0.2% Triton X-100 permeabilized frozen Rat kidney tissue labeling Corin with ab255812 at 1/100 (5.47 μg/ml) dilution followed by ab150077 AlexaFluor®488 Goat anti-Rabbit secondary at 1/1000 (2 μg/ml) dilution. The nuclear counterstain was DAPI (Blue).

Heat mediated antigen retrieval using sodium citrate buffer (10mM citrate pH 6.0 + 0.05% Tween-20).

Secondary antibody only control : Used PBS instead of primary antibody, secondary antibody was ab150077 AlexaFluor®488 Goat anti-Rabbit secondary at 1/1000 (2 μg/ml) dilution.

This data was developed using the same antibody clone in a different buffer formulation containing PBS, BSA, glycerol, and sodium azide (ab255812).

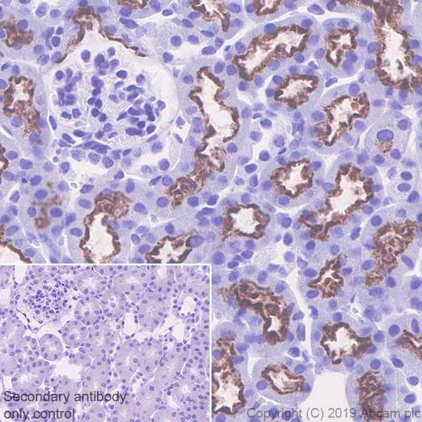
Immunohistochemistry (Formalin/PFA-fixed paraffin-embedded sections) - Anti-Corin antibody [EPR22613-21] - BSA and Azide free (AB263869)
  • IHC-P

Unknown

Immunohistochemistry (Formalin/PFA-fixed paraffin-embedded sections) - Anti-Corin antibody [EPR22613-21] - BSA and Azide free (AB263869)

Immunohistochemical analysis of paraffin-embedded Mouse kidney tissue labeling Corin with ab255812 at 1/5000 dilution (0.11 ug/ml) followed by a ready to use Rabbit specific IHC polymer detection kit HRP/DAB (ab209101). Positive staining on mouse kidney (PMID : 23327554, 27343265) is observed. The section was incubated with ab255812 for 15 mins at RT. The immunostaining staining was performed on a Leica Biosystems BOND® RX instrument. Counterstained with Hematoxylin.

Secondary antibody only control : Secondary antibody is a ready to use Rabbit specific IHC polymer detection kit HRP/DAB (ab209101).

Heat mediated antigen retrieval with Tris-EDTA buffer (pH 9.0, epitope retrieval solution 2) for 20 mins.

This data was developed using the same antibody clone in a different buffer formulation containing PBS, BSA, glycerol, and sodium azide (ab255812).

Immunohistochemistry (Formalin/PFA-fixed paraffin-embedded sections) - Anti-Corin antibody [EPR22613-21] - BSA and Azide free (AB263869)
  • IHC-P

Unknown

Immunohistochemistry (Formalin/PFA-fixed paraffin-embedded sections) - Anti-Corin antibody [EPR22613-21] - BSA and Azide free (AB263869)

Immunohistochemical analysis of paraffin-embedded Rat kidney tissue labeling Corin with ab255812 at 1 : /5000 dilution (0.11 ug/ml) followed by a ready to use Rabbit specific IHC polymer detection kit HRP/DAB (ab209101). Positive staining on rat kidney (PMID : 23327554, 27343265) is observed. The section was incubated with ab255812 for 15 mins at RT. The immunostaining staining was performed on a Leica Biosystems BOND® RX instrument. Counterstained with Hematoxylin.

Secondary antibody only control : Secondary antibody is a ready to use Rabbit specific IHC polymer detection kit HRP/DAB (ab209101).

Heat mediated antigen retrieval with Tris-EDTA buffer (pH 9.0, epitope retrieval solution 2) for 20 mins.

This data was developed using the same antibody clone in a different buffer formulation containing PBS, BSA, glycerol, and sodium azide (ab255812).

Key facts

Host species

Rabbit

Clonality

Monoclonal

Clone number

EPR22613-21

Isotype

IgG

Carrier free

Yes

Reacts with

Mouse, Rat

Applications

IHC-P, IHC-Fr

applications

Immunogen

The exact immunogen used to generate this antibody is proprietary information.

Reactivity data

{ "title": "Reactivity Data", "filters": { "stats": ["", "Species", "Dilution Info", "Notes"], "tabs": { "all-applications": {"fullname" : "All Applications", "shortname": "All Applications"}, "IP" : {"fullname" : "Immunoprecipitation", "shortname":"IP"}, "FlowCyt" : {"fullname" : "Flow Cytometry", "shortname":"Flow Cyt"}, "WB" : {"fullname" : "Western blot", "shortname":"WB"}, "ICCIF" : {"fullname" : "Immunocytochemistry/ Immunofluorescence", "shortname":"ICC/IF"}, "IHCFr" : {"fullname" : "Immunohistochemistry (Frozen sections)", "shortname":"IHC-Fr"}, "IHCP" : {"fullname" : "Immunohistochemistry (Formalin/PFA-fixed paraffin-embedded sections)", "shortname":"IHC-P"} }, "product-promise": { "all": "all", "testedAndGuaranteed": "tested", "guaranteed": "expected", "predicted": "predicted", "notRecommended": "not-recommended" } }, "values": { "Mouse": { "IP-species-checked": "notRecommended", "IP-species-dilution-info": "", "IP-species-notes": "<p></p>", "FlowCyt-species-checked": "notRecommended", "FlowCyt-species-dilution-info": "", "FlowCyt-species-notes": "<p></p>", "WB-species-checked": "notRecommended", "WB-species-dilution-info": "", "WB-species-notes": "<p></p>", "ICCIF-species-checked": "notRecommended", "ICCIF-species-dilution-info": "", "ICCIF-species-notes": "<p></p>", "IHCFr-species-checked": "testedAndGuaranteed", "IHCFr-species-dilution-info": "", "IHCFr-species-notes": "<p></p>", "IHCP-species-checked": "testedAndGuaranteed", "IHCP-species-dilution-info": "", "IHCP-species-notes": "<p></p>" }, "Rat": { "IP-species-checked": "notRecommended", "IP-species-dilution-info": "", "IP-species-notes": "<p></p>", "FlowCyt-species-checked": "notRecommended", "FlowCyt-species-dilution-info": "", "FlowCyt-species-notes": "<p></p>", "WB-species-checked": "notRecommended", "WB-species-dilution-info": "", "WB-species-notes": "<p></p>", "ICCIF-species-checked": "notRecommended", "ICCIF-species-dilution-info": "", "ICCIF-species-notes": "<p></p>", "IHCFr-species-checked": "testedAndGuaranteed", "IHCFr-species-dilution-info": "", "IHCFr-species-notes": "<p></p>", "IHCP-species-checked": "testedAndGuaranteed", "IHCP-species-dilution-info": "", "IHCP-species-notes": "<p></p>" } } }

Product details

ab263869 is the carrier-free version of ab255812.

Patented technology
Our RabMAb® technology is a patented hybridoma-based technology for making rabbit monoclonal antibodies. For details on our patents, please refer to RabMAb® patents.

What are the advantages of a recombinant monoclonal antibody?
This product is a recombinant monoclonal antibody, which offers several advantages including:

  • - High batch-to-batch consistency and reproducibility
  • - Improved sensitivity and specificity
  • - Long-term security of supply
  • - Animal-free batch production

For more information, read more on recombinant antibodies.

Conjugation ready
Our carrier-free antibodies are typically supplied in a PBS-only formulation, purified and free of BSA, sodium azide and glycerol. This conjugation-ready format is designed for use with fluorochromes, metal isotopes, oligonucleotides, and enzymes, which makes them ideal for antibody labelling, functional and cell-based assays, flow-based assays (e.g. mass cytometry) and Multiplex Imaging applications.

Use our conjugation kits for antibody conjugates that are ready-to-use in as little as 20 minutes with 1 minute hands-on-time and 100% antibody recovery: available for fluorescent dyes, HRP, biotin and gold.

Compatibility
This product is compatible with the Maxpar® Antibody Labeling Kit from Fluidigm, without the need for antibody preparation. Maxpar® is a trademark of Fluidigm Canada Inc.

Properties and storage information

Form
Liquid
Purification technique
Affinity purification Protein A
Storage buffer
pH: 7.2 - 7.4 Constituents: PBS
Shipped at conditions
Blue Ice
Appropriate short-term storage conditions
+4°C
Appropriate long-term storage conditions
+4°C
Storage information
Do Not Freeze

Product protocols

For this product, it's our understanding that no specific protocols are required. You can visit:

Target data

Serine-type endopeptidase involved in atrial natriuretic peptide (NPPA) processing (PubMed : 11884416, PubMed : 15637153). Converts through proteolytic cleavage the non-functional propeptide NPPA into the active hormone, thereby regulating blood pressure in heart and promoting natriuresis, diuresis and vasodilation (PubMed : 11884416, PubMed : 15637153, PubMed : 22418978). Proteolytic cleavage of pro-NPPA also plays a role in female pregnancy by promoting trophoblast invasion and spiral artery remodeling in uterus (PubMed : 22437503). Also acts as a regulator of sodium reabsorption in kidney (PubMed : 20613715, PubMed : 22418978). May also process pro-NPPB the B-type natriuretic peptide (By similarity).
See full target information Corin

Publications (1)

Recent publications for all applications. Explore the full list and refine your search

Journal of experimental & clinical cancer research : CR 43:219 PubMed39107857

2024

TFEB controls sensitivity to chemotherapy and immuno-killing in non-small cell lung cancer.

Applications

Unspecified application

Species

Unspecified reactive species

Muhlis Akman,Ciro Monteleone,Gabriella Doronzo,Martina Godel,Francesca Napoli,Alessandra Merlini,Virginia Campani,Valeria Nele,Elisa Balmas,Tatiana Chontorotzea,Simona Fontana,Sabrina Digiovanni,Francesca Alice Barbu,Elena Astanina,Niloufar Jafari,Iris Chiara Salaroglio,Joanna Kopecka,Giuseppe De Rosa,Thomas Mohr,Alessandro Bertero,Luisella Righi,Silvia Novello,Giorgio Vittorio Scagliotti,Federico Bussolino,Chiara Riganti
View all publications

Product promise

We are committed to supporting your work with high-quality reagents, and we're here for you every step of the way. In the unlikely event that one of our products does not perform as expected, you're protected by our Product Promise.
For full details, please see our Terms & Conditions

Please note: All products are 'FOR RESEARCH USE ONLY. NOT FOR USE IN DIAGNOSTIC OR THERAPEUTIC PROCEDURES'.

For licensing inquiries, please contact partnerships@abcam.com