JavaScript is disabled in your browser. Please enable JavaScript to view this website.
AB224122

Anti-Cornulin antibody

Be the first to review this product! Submit a review

|

(1 Publication)

Rabbit Polyclonal Cornulin antibody. Suitable for IHC-P and reacts with Human samples. Cited in 1 publication. Immunogen corresponding to Recombinant Fragment Protein within Human CRNN aa 150-300.

View Alternative Names

C1orf10, DRC1, PDRC1, SEP53, CRNN, Cornulin, 53 kDa putative calcium-binding protein, 53 kDa squamous epithelial-induced stress protein, 58 kDa heat shock protein, Squamous epithelial heat shock protein 53, Tumor-related protein

1 Images
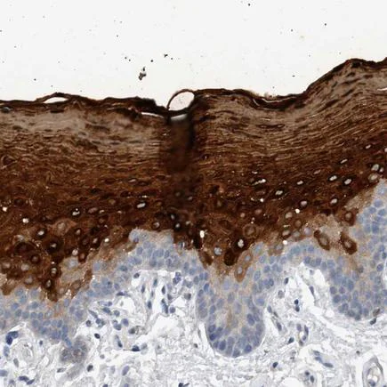
Immunohistochemistry (Formalin/PFA-fixed paraffin-embedded sections) - Anti-Cornulin antibody (AB224122)
  • IHC-P

Supplier Data

Immunohistochemistry (Formalin/PFA-fixed paraffin-embedded sections) - Anti-Cornulin antibody (AB224122)

Paraffin-embedded human oral mucosa tissue stained for Cornulin with ab224122 (1/50) in immunohistochemical analysis.

Key facts

Host species

Rabbit

Clonality

Polyclonal

Isotype

IgG

Carrier free

No

Reacts with

Human

Applications

IHC-P

applications

Immunogen

Recombinant Fragment Protein within Human CRNN aa 150-300. The exact immunogen used to generate this antibody is proprietary information.

Q9UBG3

Reactivity data

{ "title": "Reactivity Data", "filters": { "stats": ["", "Species", "Dilution Info", "Notes"], "tabs": { "all-applications": {"fullname" : "All Applications", "shortname": "All Applications"}, "IHCP" : {"fullname" : "Immunohistochemistry (Formalin/PFA-fixed paraffin-embedded sections)", "shortname":"IHC-P"} }, "product-promise": { "all": "all", "testedAndGuaranteed": "tested", "guaranteed": "expected", "predicted": "predicted", "notRecommended": "not-recommended" } }, "values": { "Human": { "IHCP-species-checked": "testedAndGuaranteed", "IHCP-species-dilution-info": "1/50 - 1/200", "IHCP-species-notes": "<p></p> Perform heat-mediated antigen retrieval with citrate buffer pH 6 before commencing with IHC staining protocol." } } }

Properties and storage information

Form
Liquid
Purification technique
Affinity purification Immunogen
Storage buffer
pH: 7.2 Preservative: 0.02% Sodium azide Constituents: PBS, 40% Glycerol (glycerin, glycerine)
Shipped at conditions
Blue Ice
Appropriate short-term storage duration
1-2 weeks
Appropriate short-term storage conditions
+4°C
Appropriate long-term storage conditions
-20°C
Aliquoting information
Upon delivery aliquot
Storage information
Avoid freeze / thaw cycle

Product protocols

For this product, it's our understanding that no specific protocols are required. You can visit:

Target data

Promotes cell proliferation, G1/S cell cycle progression and induces expression of the cell cycle regulator CCND1 (PubMed : 30009832). Regulates proliferation induced by pro-inflammatory cytokine response via activation of NFKB1 and PI3K/AKT signaling pathways (PubMed : 30009832).
See full target information CRNN

Publications (1)

Recent publications for all applications. Explore the full list and refine your search

microPublication biology 2025: PubMed41050330

2025

Cells stably expressing shRNA against MYO10 display altered cell motility.

Applications

Unspecified application

Species

Unspecified reactive species

Joanna A Mas,Chase E Cristella,Vu Hao M N Phan,Lillian S Wendt,Charlotte A Rose,Abigail Ali,David F Carpio,Christine Cole,Paige Embley,Jack E Hoskins-Harris,Delia Johnson,Noelle Ledoux,Hannah W Lwin,Sarah Salah,Erin Weisbart,Stacey J Criswell,Omar Alberto Quintero-Carmona
View all publications

Product promise

We are committed to supporting your work with high-quality reagents, and we're here for you every step of the way. In the unlikely event that one of our products does not perform as expected, you're protected by our Product Promise.
For full details, please see our Terms & Conditions

Please note: All products are 'FOR RESEARCH USE ONLY. NOT FOR USE IN DIAGNOSTIC OR THERAPEUTIC PROCEDURES'.

For licensing inquiries, please contact partnerships@abcam.com