JavaScript is disabled in your browser. Please enable JavaScript to view this website.
AB155305

Anti-CORO2A antibody

Be the first to review this product! Submit a review

|

(1 Publication)

Rabbit Polyclonal CORO2A antibody. Suitable for IHC-P, WB and reacts with Human samples. Cited in 1 publication. Immunogen corresponding to Recombinant Fragment Protein within Human CORO2A aa 1-300.

View Alternative Names

IR10, WDR2, CORO2A, Coronin-2A, WD repeat-containing protein 2

2 Images
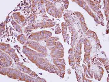
Immunohistochemistry (Formalin/PFA-fixed paraffin-embedded sections) - Anti-CORO2A antibody (AB155305)
  • IHC-P

Unknown

Immunohistochemistry (Formalin/PFA-fixed paraffin-embedded sections) - Anti-CORO2A antibody (AB155305)

Immunohistochemical analysis of paraffin-embedded Human colon cancer tissue, labeling CORO2A with ab155305 at 1/500 dilution.

Western blot - Anti-CORO2A antibody (AB155305)
  • WB

Unknown

Western blot - Anti-CORO2A antibody (AB155305)

7.5% SDS PAGE

All lanes:

Western blot - Anti-CORO2A antibody (ab155305) at 1/1000 dilution

All lanes:

Raji whole cell lysate at 30 µg

Predicted band size: 60 kDa

false

Key facts

Host species

Rabbit

Clonality

Polyclonal

Isotype

IgG

Carrier free

No

Reacts with

Human

Applications

WB, IHC-P

applications

Immunogen

Recombinant Fragment Protein within Human CORO2A aa 1-300. The exact immunogen used to generate this antibody is proprietary information.

Q92828

Reactivity data

{ "title": "Reactivity Data", "filters": { "stats": ["", "Species", "Dilution Info", "Notes"], "tabs": { "all-applications": {"fullname" : "All Applications", "shortname": "All Applications"}, "IHCP" : {"fullname" : "Immunohistochemistry (Formalin/PFA-fixed paraffin-embedded sections)", "shortname":"IHC-P"}, "WB" : {"fullname" : "Western blot", "shortname":"WB"} }, "product-promise": { "all": "all", "testedAndGuaranteed": "tested", "guaranteed": "expected", "predicted": "predicted", "notRecommended": "not-recommended" } }, "values": { "Human": { "IHCP-species-checked": "testedAndGuaranteed", "IHCP-species-dilution-info": "1/100 - 1/1000", "IHCP-species-notes": "<p>Suggested antigen retrieval using heat mediated 10mM Citrate buffer (pH6.0) or Tris-EDTA buffer (pH8.0)</p> Perform heat-mediated antigen retrieval before commencing with IHC staining protocol.", "WB-species-checked": "testedAndGuaranteed", "WB-species-dilution-info": "1/500 - 1/3000", "WB-species-notes": "<p></p>" }, "Rat": { "IHCP-species-checked": "predicted", "IHCP-species-dilution-info": "", "IHCP-species-notes": "", "WB-species-checked": "predicted", "WB-species-dilution-info": "", "WB-species-notes": "" }, "Cow": { "IHCP-species-checked": "predicted", "IHCP-species-dilution-info": "", "IHCP-species-notes": "", "WB-species-checked": "predicted", "WB-species-dilution-info": "", "WB-species-notes": "" } } }

Properties and storage information

Form
Liquid
Purification technique
Affinity purification Immunogen
Storage buffer
pH: 7 Preservative: 0.01% Thimerosal (merthiolate) Constituents: PBS, 20% Glycerol (glycerin, glycerine), 1% BSA
Shipped at conditions
Blue Ice
Appropriate short-term storage conditions
+4°C
Appropriate long-term storage conditions
-20°C
Aliquoting information
Upon delivery aliquot
Storage information
Avoid freeze / thaw cycle

Supplementary information

This supplementary information is collated from multiple sources and compiled automatically.

CORO2A also known as coronin-2A is a protein within the coronin family involved in actin dynamics. Coronin-2A has a molecular mass of approximately 56 kDa and appears across many tissues especially in the brain heart and skeletal muscle. The protein features WD repeat domains which play roles in protein-protein interactions. These structures help in the assembly of actin filament networks which are important for cell movement and stability.
Biological function summary

Coronin-2A contributes to actin cytoskeleton reorganization a process essential for cell motility growth and division. Coronin-2A interacts with the Arp2/3 complex an important regulator in the formation of branched actin networks. The protein acts in concert with other actin-binding proteins to modulate actin filament assembly and organization. This modulation is necessary for various cellular activities including signal transduction and intracellular transport.

Pathways

Coronin-2A functions in the regulation of actin dynamics and the Rac1-dependent cellular processes. The protein plays roles in the Wnt signaling pathway where it aids in modulating cytoskeletal arrangements. Coronin-2A's association with the Rac1 GTPase highlights its importance in pathways involving actin-driven changes directly influencing cellular architecture and communication. This links it to other proteins such as cofilin which also facilitate actin filament remodeling.

Coronin-2A has implications in cancer metastasis and cardiac hypertrophy. In cancer its alteration affects cell motility and metastasis implicating it in the spread of tumor cells. Coronin-2A interacts with proteins like cofilin and the Arp2/3 complex in these processes influencing cellular adhesion and migration. In cardiac hypertrophy changes in coronin-2A expression or function contribute to altered heart muscle cell dynamics and growth potentially affecting heart performance and health.

Product protocols

For this product, it's our understanding that no specific protocols are required. You can visit:

Publications (1)

Recent publications for all applications. Explore the full list and refine your search

Cells 11: PubMed36231115

2022

A Novel Homozygous Founder Variant of in Two Consanguineous Saudi Families.

Applications

Unspecified application

Species

Unspecified reactive species

Mazhor Aldosary,Maysoon Alsagob,Hanan AlQudairy,Ana C González-Álvarez,Stefan T Arold,Mohammad Anas Dababo,Omar A Alharbi,Rawan Almass,AlBandary AlBakheet,Dalia AlSarar,Alya Qari,Mysoon M Al-Ansari,Monika Oláhová,Saif A Al-Shahrani,Moeenaldeen AlSayed,Dilek Colak,Robert W Taylor,Mohammed AlOwain,Namik Kaya
View all publications

Product promise

We are committed to supporting your work with high-quality reagents, and we're here for you every step of the way. In the unlikely event that one of our products does not perform as expected, you're protected by our Product Promise.
For full details, please see our Terms & Conditions

Please note: All products are 'FOR RESEARCH USE ONLY. NOT FOR USE IN DIAGNOSTIC OR THERAPEUTIC PROCEDURES'.

For licensing inquiries, please contact partnerships@abcam.com