JavaScript is disabled in your browser. Please enable JavaScript to view this website.
AB203698

Anti-Coronin 1a/TACO antibody [EPR19467-36]

5

(1 Review)

|

(4 Publications)

Rabbit Recombinant Monoclonal Coronin 1a/TACO antibody. Suitable for ICC/IF, Flow Cyt (Intra), WB, IHC-P and reacts with Human, Mouse, Rat samples. Cited in 4 publications.

View Alternative Names

CORO1, CORO1A, Coronin-1A, Coronin-like protein A, Coronin-like protein p57, Tryptophan aspartate-containing coat protein, Clipin-A, TACO

8 Images
Flow Cytometry (Intracellular) - Anti-Coronin 1a/TACO antibody [EPR19467-36] (AB203698)
  • Flow Cyt (Intra)

Unknown

Flow Cytometry (Intracellular) - Anti-Coronin 1a/TACO antibody [EPR19467-36] (AB203698)

Intracellular flow cytometric analysis of4% paraformaldehyde-fixed, 90% methanol-permeabilized HEK-293 (human epithelial cell line from embryonic kidney) (Left panel) and Jurkat (human T cell leukemia cell line from peripheral blood) (Right panel) cells labeling Coronin 1a/TACO with ab203698 at 1/500 dilution (red) compared with Rabbit IgG, monoclonal [EPR25A] - Isotype Control (ab172730) (black) and an unlabelled control (cells without incubation with primary antibody and secondary antibody) (blue). Goat Anti-Rabbit IgG H&L (Alexa Fluorr® 488) (ab150077), at 1/2000 dilution was used as the secondary antibody.

Negative control : HEK-293 (PMID : 17341475).

Immunocytochemistry/ Immunofluorescence - Anti-Coronin 1a/TACO antibody [EPR19467-36] (AB203698)
  • ICC/IF

Unknown

Immunocytochemistry/ Immunofluorescence - Anti-Coronin 1a/TACO antibody [EPR19467-36] (AB203698)

Immunofluorescent analysis of 4% paraformaldehyde-fixed, 0.1% Triton X-100 permeabilized Jurkat (human T cell leukemia cell line from peripheral blood) cells labeling Coronin 1a/TACO with ab203698 at 1/100 dilution, followed by Goat Anti-Rabbit IgG H&L (Alexa Fluor® 488) (ab150077) secondary antibody at 1/1000 dilution (green). Confocal image showing cytoplasmic and membranous staining in Jurkat cell line is observed. The nuclear counter stain is DAPI (blue). Tubulin is detected with Anti-alpha Tubulin antibody [DM1A] - Microtubule Marker (Alexa Fluor® 594) (ab195889) at 1/200 dilution.

Control : Used PBS instead of primary antibody, followed by Goat Anti-Rabbit IgG H&L (Alexa Fluor® 488) (ab150077) secondary antibody at 1/1000 dilution.

Negative control : HEK-293(PMID : 17341475).

Immunohistochemistry (Formalin/PFA-fixed paraffin-embedded sections) - Anti-Coronin 1a/TACO antibody [EPR19467-36] (AB203698)
  • IHC-P

Unknown

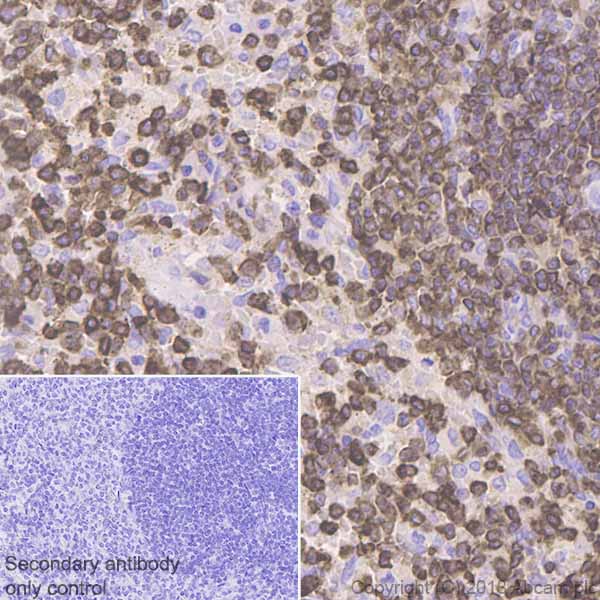
Immunohistochemistry (Formalin/PFA-fixed paraffin-embedded sections) - Anti-Coronin 1a/TACO antibody [EPR19467-36] (AB203698)

Immunohistochemical analysis of paraffin-embedded human spleen tissue labeling Coronin 1a/TACO with ab203698 at 1/1000 dilution, followed by a Goat Anti-Rabbit IgG H&L (HRP) ready to use. Positive staining on human spleen (PMID : 17341475) is observed. Counter stained with hematoxylin.
Secondary antibody only control : Used PBS instead of primary antibody, secondary antibody is Goat Anti-Rabbit IgG H&L (HRP) ready to use.

Heat mediated antigen retrieval using ab93684 (Tris/EDTA buffer, pH 9.0).

Immunohistochemistry (Formalin/PFA-fixed paraffin-embedded sections) - Anti-Coronin 1a/TACO antibody [EPR19467-36] (AB203698)
  • IHC-P

Unknown

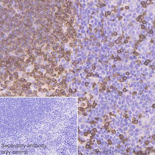
Immunohistochemistry (Formalin/PFA-fixed paraffin-embedded sections) - Anti-Coronin 1a/TACO antibody [EPR19467-36] (AB203698)

Immunohistochemical analysis of paraffin-embedded human colon tissue labeling Coronin 1a/TACO with ab203698 at 1/2000 dilution, followed by a Goat Anti-Rabbit IgG H&L (HRP) ready to use. Positive staining on human colon (PMID : 17341475) is observed. Counter stained with hematoxylin.
Secondary antibody only control : Used PBS instead of primary antibody, secondary antibody is Goat Anti-Rabbit IgG H&L (HRP) ready to use.

Heat mediated antigen retrieval using ab93684 (Tris/EDTA buffer, pH 9.0).

Immunohistochemistry (Formalin/PFA-fixed paraffin-embedded sections) - Anti-Coronin 1a/TACO antibody [EPR19467-36] (AB203698)
  • IHC-P

Unknown

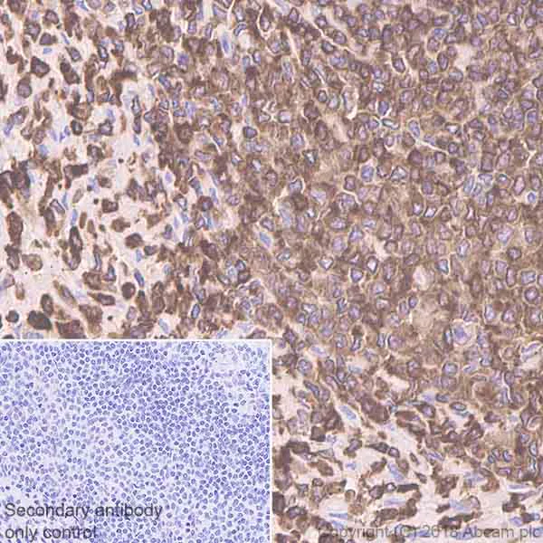
Immunohistochemistry (Formalin/PFA-fixed paraffin-embedded sections) - Anti-Coronin 1a/TACO antibody [EPR19467-36] (AB203698)

Immunohistochemical analysis of paraffin-embedded mouse spleen tissue labeling Coronin 1a/TACO with ab203698 at 1/1000 dilution, followed by a Goat Anti-Rabbit IgG H&L (HRP) ready to use. Positive staining on mouse spleen (PMID : 17341475) is observed. Counter stained with hematoxylin.
Secondary antibody only control : Used PBS instead of primary antibody, secondary antibody is Goat Anti-Rabbit IgG H&L (HRP) ready to use.

Heat mediated antigen retrieval using ab93684 (Tris/EDTA buffer, pH 9.0).

Immunohistochemistry (Formalin/PFA-fixed paraffin-embedded sections) - Anti-Coronin 1a/TACO antibody [EPR19467-36] (AB203698)
  • IHC-P

Unknown

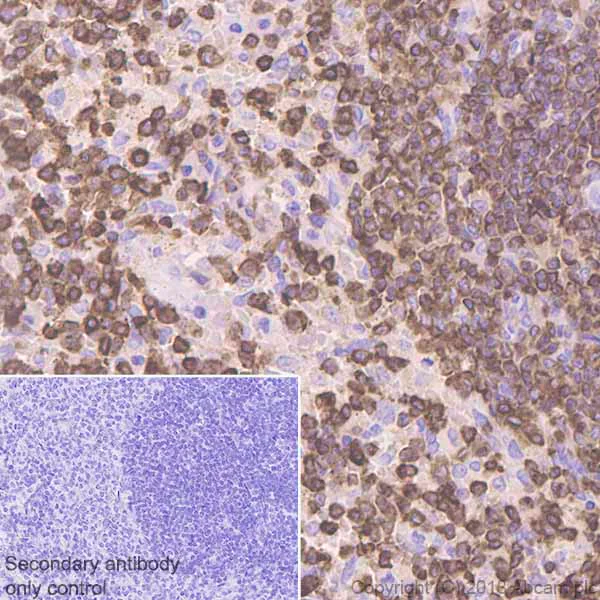
Immunohistochemistry (Formalin/PFA-fixed paraffin-embedded sections) - Anti-Coronin 1a/TACO antibody [EPR19467-36] (AB203698)

Immunohistochemical analysis of paraffin-embedded rat spleen tissue labeling Coronin 1a/TACO with ab203698 at 1/1000 dilution, followed by a Goat Anti-Rabbit IgG H&L (HRP) ready to use. Positive staining on rat spleen (PMID : 17341475) is observed. Counter stained with hematoxylin.
Secondary antibody only control : Used PBS instead of primary antibody, secondary antibody is Goat Anti-Rabbit IgG H&L (HRP) ready to use.

Heat mediated antigen retrieval using ab93684 (Tris/EDTA buffer, pH 9.0).

Western blot - Anti-Coronin 1a/TACO antibody [EPR19467-36] (AB203698)
  • WB

Unknown

Western blot - Anti-Coronin 1a/TACO antibody [EPR19467-36] (AB203698)

Blocking and dilution buffer : 5% NFDM/TBST.

The expression profile/ molecular weight observed is consistent with what has been described in the literature (PMID : 22223354, PMID : 22364218).

Negative control : HEK-293.

All lanes:

Western blot - Anti-Coronin 1a/TACO antibody [EPR19467-36] (ab203698) at 1/1000 dilution

Lane 1:

Jurkat (human T cell leukemia cell line from peripheral blood) whole cell lysate at 20 µg

Lane 2:

Raji (human Burkitt's lymphoma cell line) whole cell lysate at 20 µg

Lane 3:

MOLT-4 (human lymphoblastic leukemia cell line) whole cell lysate at 20 µg

Lane 4:

HEK-293 (human epithelial cell line from embryonic kidney) whole cell lysate at 20 µg

Secondary

All lanes:

Western blot - Goat Anti-Rabbit IgG H&L (HRP) (<a href='/en-us/products/secondary-antibodies/goat-rabbit-igg-h-l-hrp-ab97051'>ab97051</a>) at 1/100000 dilution

Predicted band size: 51 kDa

Observed band size: 51 kDa,57 kDa

false

Exposure time: 37s

Western blot - Anti-Coronin 1a/TACO antibody [EPR19467-36] (AB203698)
  • WB

Unknown

Western blot - Anti-Coronin 1a/TACO antibody [EPR19467-36] (AB203698)

Blocking and dilution buffer : 5% NFDM/TBST.

The expression profile/molecular weight observed is consistent with what has been described in the literature (PMID : 22223354, PMID : 22364218).

All lanes:

Western blot - Anti-Coronin 1a/TACO antibody [EPR19467-36] (ab203698) at 1/1000 dilution

Lane 1:

Human brain lysate at 20 µg

Lane 2:

Human spleen lysate at 20 µg

Lane 3:

Mouse brain lysate at 20 µg

Lane 4:

Mouse spleen lysate at 20 µg

Lane 5:

Rat spleen lysate at 20 µg

Lane 6:

RAW 264.7 (mouse macrophage cell line transformed with Abelson murine leukemia virus) whole cell lysate

Secondary

All lanes:

Western blot - Goat Anti-Rabbit IgG H&L (HRP) (<a href='/en-us/products/secondary-antibodies/goat-rabbit-igg-h-l-hrp-ab97051'>ab97051</a>) at 1/100000 dilution

Predicted band size: 51 kDa

Observed band size: 51 kDa,57 kDa

false

Exposure time: 26s

  • Carrier free

    Anti-Coronin 1a/TACO antibody [EPR19467-36] - BSA and Azide free

  • Carrier free

    Anti-Coronin 1a/TACO antibody [EPR19467-36] - BSA and Azide free (Capture)

Key facts

Host species

Rabbit

Clonality

Monoclonal

Clone number

EPR19467-36

Isotype

IgG

Carrier free

No

Reacts with

Mouse, Rat, Human

Applications

ICC/IF, WB, IHC-P, Flow Cyt (Intra)

applications

Immunogen

The exact immunogen used to generate this antibody is proprietary information.

Reactivity data

{ "title": "Reactivity Data", "filters": { "stats": ["", "Species", "Dilution Info", "Notes"], "tabs": { "all-applications": {"fullname" : "All Applications", "shortname": "All Applications"}, "ICCIF" : {"fullname" : "Immunocytochemistry/ Immunofluorescence", "shortname":"ICC/IF"}, "FlowCytIntra" : {"fullname" : "Flow Cytometry (Intracellular)", "shortname":"Flow Cyt (Intra)"}, "WB" : {"fullname" : "Western blot", "shortname":"WB"}, "IHCP" : {"fullname" : "Immunohistochemistry (Formalin/PFA-fixed paraffin-embedded sections)", "shortname":"IHC-P"} }, "product-promise": { "all": "all", "testedAndGuaranteed": "tested", "guaranteed": "expected", "predicted": "predicted", "notRecommended": "not-recommended" } }, "values": { "Human": { "ICCIF-species-checked": "testedAndGuaranteed", "ICCIF-species-dilution-info": "1/100", "ICCIF-species-notes": "<p></p>", "FlowCytIntra-species-checked": "testedAndGuaranteed", "FlowCytIntra-species-dilution-info": "1/500", "FlowCytIntra-species-notes": "<p></p>", "WB-species-checked": "testedAndGuaranteed", "WB-species-dilution-info": "1/1000", "WB-species-notes": "<p></p>", "IHCP-species-checked": "testedAndGuaranteed", "IHCP-species-dilution-info": "1/1000", "IHCP-species-notes": "<p></p> Perform heat-mediated antigen retrieval with Tris/EDTA buffer pH 9.0 before commencing with IHC staining protocol." }, "Mouse": { "ICCIF-species-checked": "guaranteed", "ICCIF-species-dilution-info": "", "ICCIF-species-notes": "", "FlowCytIntra-species-checked": "guaranteed", "FlowCytIntra-species-dilution-info": "", "FlowCytIntra-species-notes": "", "WB-species-checked": "testedAndGuaranteed", "WB-species-dilution-info": "1/1000", "WB-species-notes": "<p></p>", "IHCP-species-checked": "testedAndGuaranteed", "IHCP-species-dilution-info": "1/1000", "IHCP-species-notes": "<p></p> Perform heat-mediated antigen retrieval with Tris/EDTA buffer pH 9.0 before commencing with IHC staining protocol." }, "Rat": { "ICCIF-species-checked": "guaranteed", "ICCIF-species-dilution-info": "", "ICCIF-species-notes": "", "FlowCytIntra-species-checked": "guaranteed", "FlowCytIntra-species-dilution-info": "", "FlowCytIntra-species-notes": "", "WB-species-checked": "testedAndGuaranteed", "WB-species-dilution-info": "1/1000", "WB-species-notes": "<p></p>", "IHCP-species-checked": "testedAndGuaranteed", "IHCP-species-dilution-info": "1/1000", "IHCP-species-notes": "<p></p> Perform heat-mediated antigen retrieval with Tris/EDTA buffer pH 9.0 before commencing with IHC staining protocol." } } }

Product details

Patented technology
Our RabMAb® technology is a patented hybridoma-based technology for making rabbit monoclonal antibodies. For details on our patents, please refer to RabMAb® patents.

What are the advantages of a recombinant monoclonal antibody?
This product is a recombinant monoclonal antibody, which offers several advantages including:

  • - High batch-to-batch consistency and reproducibility
  • - Improved sensitivity and specificity
  • - Long-term security of supply
  • - Animal-free batch production

For more information, read more on recombinant antibodies.

Properties and storage information

Form
Liquid
Purification technique
Affinity purification Protein A
Storage buffer
pH: 7.2 - 7.4 Preservative: 0.01% Sodium azide Constituents: PBS, 40% Glycerol (glycerin, glycerine), 0.05% BSA
Shipped at conditions
Blue Ice
Appropriate short-term storage duration
1-2 weeks
Appropriate short-term storage conditions
+4°C
Appropriate long-term storage conditions
-20°C
Aliquoting information
Upon delivery aliquot
Storage information
Avoid freeze / thaw cycle

Product protocols

For this product, it's our understanding that no specific protocols are required. You can visit:

Target data

May be a crucial component of the cytoskeleton of highly motile cells, functioning both in the invagination of large pieces of plasma membrane, as well as in forming protrusions of the plasma membrane involved in cell locomotion. In mycobacteria-infected cells, its retention on the phagosomal membrane prevents fusion between phagosomes and lysosomes.
See full target information CORO1A

Publications (4)

Recent publications for all applications. Explore the full list and refine your search

International journal of molecular sciences 24: PubMed36901840

2023

Proteomic Fingerprint of Lung Fibrosis Progression and Response to Therapy in Bleomycin-Induced Mouse Model.

Applications

Unspecified application

Species

Unspecified reactive species

Lucrezia Principi,Erica Ferrini,Roberta Ciccimarra,Lisa Pagani,Clizia Chinello,Paolo Previtali,Andrew Smith,Gino Villetti,Matteo Zoboli,Francesca Ravanetti,Franco Fabio Stellari,Fulvio Magni,Isabella Piga

International journal of biological sciences 18:5624-5640 PubMed36263181

2022

Regulation of Podocyte Injury by CircHIPK3/FUS Complex in Diabetic Kidney Disease.

Applications

Unspecified application

Species

Unspecified reactive species

Feng Liu,Jing Huang,Chunyun Zhang,Yaru Xie,Yiling Cao,Li Tao,Hui Tang,Jihong Lin,Hans-Peter Hammes,Kun Huang,Fan Yi,Hua Su,Chun Zhang

Annals of translational medicine 10:190 PubMed35280428

2022

Identification of key biomarkers and immune infiltration in renal interstitial fibrosis.

Applications

Unspecified application

Species

Unspecified reactive species

Zhanhong Hu,Yumei Liu,Ye Zhu,Hongxia Cui,Jie Pan

Cells 6: PubMed28657591

2017

Assessing Autophagy in Mouse Models and Patients with Systemic Autoimmune Diseases.

Applications

Unspecified application

Species

Unspecified reactive species

Fengjuan Wang,Baihui Li,Nicolas Schall,Maud Wilhelm,Sylviane Muller
View all publications

Product promise

We are committed to supporting your work with high-quality reagents, and we're here for you every step of the way. In the unlikely event that one of our products does not perform as expected, you're protected by our Product Promise.
For full details, please see our Terms & Conditions

Please note: All products are 'FOR RESEARCH USE ONLY. NOT FOR USE IN DIAGNOSTIC OR THERAPEUTIC PROCEDURES'.

For licensing inquiries, please contact partnerships@abcam.com