JavaScript is disabled in your browser. Please enable JavaScript to view this website.
AB243562

Anti-Coronin 1a/TACO antibody [EPR19467-36] - BSA and Azide free

Be the first to review this product! Submit a review

|

(1 Publication)

Rabbit Recombinant Monoclonal Coronin 1a/TACO antibody. Carrier free. Suitable for WB, ICC/IF, Flow Cyt (Intra), IHC-P and reacts with Mouse, Rat, Human samples. Cited in 1 publication.

View Alternative Names

CORO1, CORO1A, Coronin-1A, Coronin-like protein A, Coronin-like protein p57, Tryptophan aspartate-containing coat protein, Clipin-A, TACO

6 Images
Immunohistochemistry (Formalin/PFA-fixed paraffin-embedded sections) - Anti-Coronin 1a/TACO antibody [EPR19467-36] - BSA and Azide free (AB243562)
  • IHC-P

Unknown

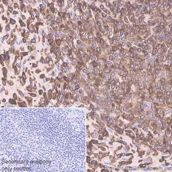
Immunohistochemistry (Formalin/PFA-fixed paraffin-embedded sections) - Anti-Coronin 1a/TACO antibody [EPR19467-36] - BSA and Azide free (AB243562)

Immunohistochemical analysis of paraffin-embedded rat spleen tissue labeling Coronin 1a/TACO with ab203698 at 1/1000 dilution, followed by a Goat Anti-Rabbit IgG H&L (HRP) ready to use. Positive staining on rat spleen (PMID : 17341475) is observed. Counter stained with hematoxylin.
Secondary antibody only control : Used PBS instead of primary antibody, secondary antibody is Goat Anti-Rabbit IgG H&L (HRP) ready to use.

Heat mediated antigen retrieval using ab93684 (Tris/EDTA buffer, pH 9.0).

This data was developed using the same antibody clone in a different buffer formulation containing PBS, BSA, glycerol, and sodium azide (ab203698).

Immunohistochemistry (Formalin/PFA-fixed paraffin-embedded sections) - Anti-Coronin 1a/TACO antibody [EPR19467-36] - BSA and Azide free (AB243562)
  • IHC-P

Unknown

Immunohistochemistry (Formalin/PFA-fixed paraffin-embedded sections) - Anti-Coronin 1a/TACO antibody [EPR19467-36] - BSA and Azide free (AB243562)

Immunohistochemical analysis of paraffin-embedded mouse spleen tissue labeling Coronin 1a/TACO with ab203698 at 1/1000 dilution, followed by a Goat Anti-Rabbit IgG H&L (HRP) ready to use. Positive staining on mouse spleen (PMID : 17341475) is observed. Counter stained with hematoxylin.
Secondary antibody only control : Used PBS instead of primary antibody, secondary antibody is Goat Anti-Rabbit IgG H&L (HRP) ready to use.

Heat mediated antigen retrieval using ab93684 (Tris/EDTA buffer, pH 9.0).

This data was developed using the same antibody clone in a different buffer formulation containing PBS, BSA, glycerol, and sodium azide (ab203698).

Immunohistochemistry (Formalin/PFA-fixed paraffin-embedded sections) - Anti-Coronin 1a/TACO antibody [EPR19467-36] - BSA and Azide free (AB243562)
  • IHC-P

Unknown

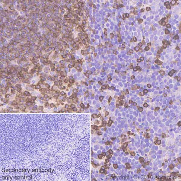
Immunohistochemistry (Formalin/PFA-fixed paraffin-embedded sections) - Anti-Coronin 1a/TACO antibody [EPR19467-36] - BSA and Azide free (AB243562)

Immunohistochemical analysis of paraffin-embedded human spleen tissue labeling Coronin 1a/TACO with ab203698 at 1/1000 dilution, followed by a Goat Anti-Rabbit IgG H&L (HRP) ready to use. Positive staining on human spleen (PMID : 17341475) is observed. Counter stained with hematoxylin.
Secondary antibody only control : Used PBS instead of primary antibody, secondary antibody is Goat Anti-Rabbit IgG H&L (HRP) ready to use.

Heat mediated antigen retrieval using ab93684 (Tris/EDTA buffer, pH 9.0).

This data was developed using the same antibody clone in a different buffer formulation containing PBS, BSA, glycerol, and sodium azide (ab203698).

Immunohistochemistry (Formalin/PFA-fixed paraffin-embedded sections) - Anti-Coronin 1a/TACO antibody [EPR19467-36] - BSA and Azide free (AB243562)
  • IHC-P

Unknown

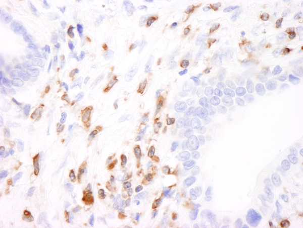
Immunohistochemistry (Formalin/PFA-fixed paraffin-embedded sections) - Anti-Coronin 1a/TACO antibody [EPR19467-36] - BSA and Azide free (AB243562)

Immunohistochemical analysis of paraffin-embedded human colon tissue labeling Coronin 1a/TACO with ab203698 at 1/2000 dilution, followed by a Goat Anti-Rabbit IgG H&L (HRP) ready to use. Positive staining on human colon (PMID : 17341475) is observed. Counter stained with hematoxylin.
Secondary antibody only control : Used PBS instead of primary antibody, secondary antibody is Goat Anti-Rabbit IgG H&L (HRP) ready to use.

Heat mediated antigen retrieval using ab93684 (Tris/EDTA buffer, pH 9.0).

This data was developed using the same antibody clone in a different buffer formulation containing PBS, BSA, glycerol, and sodium azide (ab203698).

Immunocytochemistry/ Immunofluorescence - Anti-Coronin 1a/TACO antibody [EPR19467-36] - BSA and Azide free (AB243562)
  • ICC/IF

Unknown

Immunocytochemistry/ Immunofluorescence - Anti-Coronin 1a/TACO antibody [EPR19467-36] - BSA and Azide free (AB243562)

Immunofluorescent analysis of 4% paraformaldehyde-fixed, 0.1% Triton X-100 permeabilized Jurkat (human T cell leukemia cell line from peripheral blood) cells labeling Coronin 1a/TACO with ab203698 at 1/100 dilution, followed by Goat Anti-Rabbit IgG H&L (Alexa Fluor® 488) (ab150077) secondary antibody at 1/1000 dilution (green). Confocal image showing cytoplasmic and membranous staining in Jurkat cell line. The nuclear counter stain is DAPI (blue). Tubulin is detected with Anti-alpha Tubulin antibody [DM1A] - Microtubule Marker (Alexa Fluor® 594) (ab195889) at 1/200 dilution.

Control : Used PBS instead of primary antibody, followed by Goat Anti-Rabbit IgG H&L (Alexa Fluor® 488) (ab150077) secondary antibody at 1/1000 dilution.

Negative control : HEK-293 (PMID : 17341475).

This data was developed using the same antibody clone in a different buffer formulation containing PBS, BSA, glycerol, and sodium azide (ab203698).

Flow Cytometry (Intracellular) - Anti-Coronin 1a/TACO antibody [EPR19467-36] - BSA and Azide free (AB243562)
  • Flow Cyt (Intra)

Unknown

Flow Cytometry (Intracellular) - Anti-Coronin 1a/TACO antibody [EPR19467-36] - BSA and Azide free (AB243562)

Intracellular flow cytometric analysis of4% paraformaldehyde-fixed, 90% methanol-permeabilized HEK-293 (human epithelial cell line from embryonic kidney) (Left panel) and Jurkat (human T cell leukemia cell line from peripheral blood) (Right panel) cells labeling Coronin 1a/TACO with ab203698 at 1/500 dilution (red) compared with Rabbit IgG, monoclonal [EPR25A] - Isotype Control (ab172730) (black) and an unlabelled control (cells without incubation with primary antibody and secondary antibody) (blue). Goat Anti-Rabbit IgG H&L (Alexa Fluor® 488) (ab150077), at 1/2000 dilution was used as the secondary antibody.

Negative control : HEK-293 (PMID : 17341475).

This data was developed using the same antibody clone in a different buffer formulation containing PBS, BSA, glycerol, and sodium azide (ab203698).

Key facts

Host species

Rabbit

Clonality

Monoclonal

Clone number

EPR19467-36

Isotype

IgG

Carrier free

Yes

Reacts with

Mouse, Rat, Human

Applications

ICC/IF, IHC-P, WB, Flow Cyt (Intra)

applications

Immunogen

The exact immunogen used to generate this antibody is proprietary information.

Reactivity data

{ "title": "Reactivity Data", "filters": { "stats": ["", "Species", "Dilution Info", "Notes"], "tabs": { "all-applications": {"fullname" : "All Applications", "shortname": "All Applications"}, "WB" : {"fullname" : "Western blot", "shortname":"WB"}, "ICCIF" : {"fullname" : "Immunocytochemistry/ Immunofluorescence", "shortname":"ICC/IF"}, "FlowCytIntra" : {"fullname" : "Flow Cytometry (Intracellular)", "shortname":"Flow Cyt (Intra)"}, "IHCP" : {"fullname" : "Immunohistochemistry (Formalin/PFA-fixed paraffin-embedded sections)", "shortname":"IHC-P"} }, "product-promise": { "all": "all", "testedAndGuaranteed": "tested", "guaranteed": "expected", "predicted": "predicted", "notRecommended": "not-recommended" } }, "values": { "Human": { "WB-species-checked": "guaranteed", "WB-species-dilution-info": "", "WB-species-notes": "<p></p>", "ICCIF-species-checked": "testedAndGuaranteed", "ICCIF-species-dilution-info": "", "ICCIF-species-notes": "<p></p>", "FlowCytIntra-species-checked": "testedAndGuaranteed", "FlowCytIntra-species-dilution-info": "", "FlowCytIntra-species-notes": "<p></p>", "IHCP-species-checked": "guaranteed", "IHCP-species-dilution-info": "", "IHCP-species-notes": "" }, "Mouse": { "WB-species-checked": "guaranteed", "WB-species-dilution-info": "", "WB-species-notes": "<p></p>", "ICCIF-species-checked": "guaranteed", "ICCIF-species-dilution-info": "", "ICCIF-species-notes": "", "FlowCytIntra-species-checked": "guaranteed", "FlowCytIntra-species-dilution-info": "", "FlowCytIntra-species-notes": "", "IHCP-species-checked": "testedAndGuaranteed", "IHCP-species-dilution-info": "", "IHCP-species-notes": "<p></p>" }, "Rat": { "WB-species-checked": "guaranteed", "WB-species-dilution-info": "", "WB-species-notes": "<p></p>", "ICCIF-species-checked": "predicted", "ICCIF-species-dilution-info": "", "ICCIF-species-notes": "", "FlowCytIntra-species-checked": "predicted", "FlowCytIntra-species-dilution-info": "", "FlowCytIntra-species-notes": "", "IHCP-species-checked": "predicted", "IHCP-species-dilution-info": "", "IHCP-species-notes": "" } } }

Product details

ab243562 is the carrier-free version of ab203698.

Patented technology
Our RabMAb® technology is a patented hybridoma-based technology for making rabbit monoclonal antibodies. For details on our patents, please refer to RabMAb® patents.

What are the advantages of a recombinant monoclonal antibody?
This product is a recombinant monoclonal antibody, which offers several advantages including:

  • - High batch-to-batch consistency and reproducibility
  • - Improved sensitivity and specificity
  • - Long-term security of supply
  • - Animal-free batch production

For more information, read more on recombinant antibodies.

Conjugation ready
Our carrier-free antibodies are typically supplied in a PBS-only formulation, purified and free of BSA, sodium azide and glycerol. This conjugation-ready format is designed for use with fluorochromes, metal isotopes, oligonucleotides, and enzymes, which makes them ideal for antibody labelling, functional and cell-based assays, flow-based assays (e.g. mass cytometry) and Multiplex Imaging applications.

Use our conjugation kits for antibody conjugates that are ready-to-use in as little as 20 minutes with 1 minute hands-on-time and 100% antibody recovery: available for fluorescent dyes, HRP, biotin and gold.

Compatibility
This product is compatible with the Maxpar® Antibody Labeling Kit from Fluidigm, without the need for antibody preparation. Maxpar® is a trademark of Fluidigm Canada Inc.

Properties and storage information

Form
Liquid
Purification technique
Affinity purification Protein A
Storage buffer
pH: 7.2 - 7.4 Constituents: PBS
Shipped at conditions
Blue Ice
Appropriate short-term storage conditions
+4°C
Appropriate long-term storage conditions
+4°C
Storage information
Do Not Freeze

Product protocols

For this product, it's our understanding that no specific protocols are required. You can visit:

Target data

May be a crucial component of the cytoskeleton of highly motile cells, functioning both in the invagination of large pieces of plasma membrane, as well as in forming protrusions of the plasma membrane involved in cell locomotion. In mycobacteria-infected cells, its retention on the phagosomal membrane prevents fusion between phagosomes and lysosomes.
See full target information CORO1A

Publications (1)

Recent publications for all applications. Explore the full list and refine your search

NPJ precision oncology 7:95 PubMed37723227

2023

Targeted single-cell proteomic analysis identifies new liquid biopsy biomarkers associated with multiple myeloma.

Applications

Unspecified application

Species

Unspecified reactive species

Sonia M Setayesh,Libere J Ndacayisaba,Kate E Rappard,Valerie Hennes,Luz Yurany Moreno Rueda,Guilin Tang,Pei Lin,Robert Z Orlowski,David E Symer,Elisabet E Manasanch,Stephanie N Shishido,Peter Kuhn
View all publications

Product promise

We are committed to supporting your work with high-quality reagents, and we're here for you every step of the way. In the unlikely event that one of our products does not perform as expected, you're protected by our Product Promise.
For full details, please see our Terms & Conditions

Please note: All products are 'FOR RESEARCH USE ONLY. NOT FOR USE IN DIAGNOSTIC OR THERAPEUTIC PROCEDURES'.

For licensing inquiries, please contact partnerships@abcam.com