JavaScript is disabled in your browser. Please enable JavaScript to view this website.
AB283724

Anti-Coronin-1C antibody [EPR25365-24] - BSA and Azide free

  • BOND RX™ Validated
  • RabMAb
  • Recombinant
  • KO Validated
  • What is this?

1

(1 Review)

|

(0 Publication)

Rabbit Recombinant Monoclonal Coronin-1C antibody. Carrier free. Suitable for IP, WB, IHC-P and reacts with Human, Mouse, Rat samples.

View Alternative Names

CRN2, CRNN4, CORO1C, Coronin-1C, Coronin-3, hCRNN4

8 Images
Immunohistochemistry (Formalin/PFA-fixed paraffin-embedded sections) - Anti-Coronin-1C antibody [EPR25365-24] - BSA and Azide free (AB283724)
  • IHC-P

Supplier Data

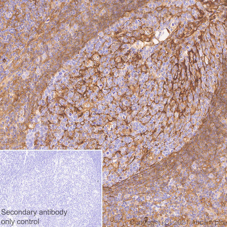
Immunohistochemistry (Formalin/PFA-fixed paraffin-embedded sections) - Anti-Coronin-1C antibody [EPR25365-24] - BSA and Azide free (AB283724)

This data was developed using ab283693, the same antibody clone in a different buffer formulation.

Immunohistochemical analysis of paraffin-embedded Human lymphoid nodule tissue labelling Coronin-1C with ab283693 at 1/2000 (0.301 ug/ml) dilution followed by a ready to use LeicaDS9800 (Bond™ Polymer Refine Detection). Positive staining on human lymphoid nodule (PMID : 20690162). The section was incubated with ab283693 for 30 mins at room temperature. The immunostaining was performed on a Leica Biosystems BOND® RX instrument Counterstained with Hematoxylin.

Secondary antibody only control : Secondary antibody is a ready to use LeicaDS9800 (Bond™ Polymer Refine Detection).

Heat mediated antigen retrieval with Tris-EDTA buffer (pH 9.0, epitope retrieval solution2) for 20 mins

Immunohistochemistry (Formalin/PFA-fixed paraffin-embedded sections) - Anti-Coronin-1C antibody [EPR25365-24] - BSA and Azide free (AB283724)
  • IHC-P

Supplier Data

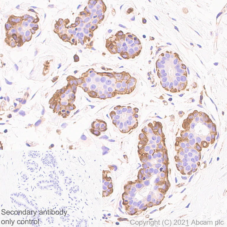
Immunohistochemistry (Formalin/PFA-fixed paraffin-embedded sections) - Anti-Coronin-1C antibody [EPR25365-24] - BSA and Azide free (AB283724)

This data was developed using ab283693, the same antibody clone in a different buffer formulation.

Immunohistochemical analysis of paraffin-embedded Human breast tissue labelling Coronin-1C with ab283693 at 1/2000 (0.301 ug/ml) dilution followed by a ready to use LeicaDS9800 (Bond™ Polymer Refine Detection). Positive staining on human breast (PMID : 30065298). The section was incubated with ab283693 for 30 mins at room temperature. The immunostaining was performed on a Leica Biosystems BOND® RX instrument Counterstained with Hematoxylin.

Secondary antibody only control : Secondary antibody is a ready to use LeicaDS9800 (Bond™ Polymer Refine Detection).

Heat mediated antigen retrieval with Tris-EDTA buffer (pH 9.0, epitope retrieval solution2) for 20 mins

Western blot - Anti-Coronin-1C antibody [EPR25365-24] - BSA and Azide free (AB283724)
  • WB

Lab

Western blot - Anti-Coronin-1C antibody [EPR25365-24] - BSA and Azide free (AB283724)

Blocking buffer and concentration : ½ volume of Odyssey Blocking Buffer (TBS)+ ½ volume of 0.1% TBS                            Diluting buffer and concentration : ½ volume of Odyssey Blocking Buffer (TBS)+ ½ volume of 0.1% TBST    False colour image of Western blot : Anti-Coronin-1C antibody [EPR25365-24] (ab283693) staining at 1/1000 dilution, shown in green; Mouse anti-GAPDH antibody [6C5] (ab8245) loading control staining at 1/20000 dilution, shown in red. In Western blot, ab283693 was shown to bind specifically to Coronin-1C. A band was observed at 53 kDa in wild-type HEK-293T cell lysates with no signal observed at this size in Coronin-1C knockout cell line ab266381 (knockout cell lysate (ab258377). To generate this image, wild-type and Coronin-1C knockout HEK-293T cell lysates were analyzed. First, samples were run on an SDS-PAGE gel then transferred onto an immobilon-FL PVDF membrane. Membranes were blocked in Intercept® (TBS) Blocking Buffer diluted with an equal volume of 0.1% TBS before incubation with primary antibodies overnight at 4 °C. Blots were washed four times in TBS-T, incubated with secondary antibodies for 1 h at room temperature, washed again four times then imaged. Secondary antibodies used were Goat anti-Rabbit IgG H&L (IRDye® 800CW) preabsorbed (ab216773) and Goat anti-Mouse IgG H&L (IRDye® 680RD) preabsorbed (ab216776) at 1/20000 dilution. This data was developed using ab283693, the same antibody clone in a different buffer formulation.

All lanes:

Western blot - Anti-Coronin-1C antibody [EPR25365-24] (<a href='/en-us/products/primary-antibodies/coronin-1c-antibody-epr25365-24-ab283693'>ab283693</a>) at 1/1000 dilution

Lane 1:

Wild-type 293T (human embryonic kidney epithelial cell) whole cell lysate at 20 µg

Lane 2:

Western blot - Human CORO1C (Coronin-1C) knockout HEK-293T cell lysate (<a href='/en-us/products/cell-lysates/human-coro1c-coronin-1c-knockout-hek-293t-cell-lysate-ab258377'>ab258377</a>) at 20 µg

Lane 2:

Western blot - Human CORO1C (Coronin-1C) knockout HEK-293T cell line (<a href='/en-us/products/cell-lines/human-coro1c-coronin-1c-knockout-hek-293t-cell-line-ab266381'>ab266381</a>)

Lane 2:

Western blot - Human CORO1C (Coronin-1C) knockout HEK-293T cell lysate (<a href='/en-us/products/cell-lysates/human-coro1c-coronin-1c-knockout-hek-293t-cell-lysate-ab258377'>ab258377</a>)

Secondary

Lanes 1 - 2:

Western blot - Goat anti-Mouse IgG H&L (IRDye® 680RD) preadsorbed (<a href='/en-us/products/secondary-antibodies/goat-mouse-igg-h-l-irdye-680rd-preadsorbed-ab216776'>ab216776</a>) at 1/20000 dilution

Lanes 1 - 2:

Western blot - Goat anti-Rabbit IgG H&L (IRDye® 800CW) preadsorbed (<a href='/en-us/products/secondary-antibodies/goat-rabbit-igg-h-l-irdye-800cw-preadsorbed-ab216773'>ab216773</a>) at 1/20000 dilution

Predicted band size: 53 kDa

Observed band size: 53 kDa

false

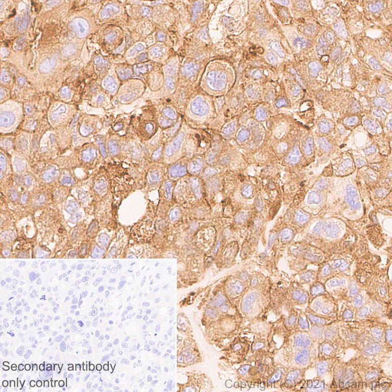
Immunohistochemistry (Formalin/PFA-fixed paraffin-embedded sections) - Anti-Coronin-1C antibody [EPR25365-24] - BSA and Azide free (AB283724)
  • IHC-P

Supplier Data

Immunohistochemistry (Formalin/PFA-fixed paraffin-embedded sections) - Anti-Coronin-1C antibody [EPR25365-24] - BSA and Azide free (AB283724)

This data was developed using ab283693, the same antibody clone in a different buffer formulation.

Immunohistochemical analysis of paraffin-embedded Human breast cancer tissue labelling Coronin-1C with ab283693 at 1/2000 (0.301 ug/ml) dilution followed by a ready to use LeicaDS9800 (Bond™ Polymer Refine Detection). Positive staining on human breast cancer (PMID : 30065298). The section was incubated with ab283693 for 30 mins at room temperature. The immunostaining was performed on a Leica Biosystems BOND® RX instrument Counterstained with Hematoxylin.

Secondary antibody only control : Secondary antibody is a ready to use LeicaDS9800 (Bond™ Polymer Refine Detection).

Heat mediated antigen retrieval with Tris-EDTA buffer (pH 9.0, epitope retrieval solution2) for 20 mins

Immunoprecipitation - Anti-Coronin-1C antibody [EPR25365-24] - BSA and Azide free (AB283724)
  • IP

Supplier Data

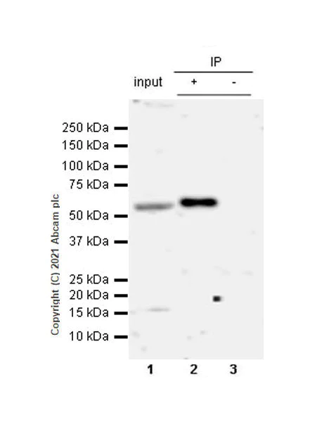
Immunoprecipitation - Anti-Coronin-1C antibody [EPR25365-24] - BSA and Azide free (AB283724)

This data was developed using ab283693, the same antibody clone in a different buffer formulation.

Coronin-1C was immunoprecipitated from 0.35 mg HeLa (human cervix adenocarcinoma epithelial cell), whole cell lysate 10 ug with ab283693 at 1/30 dilution (2ug in 0.35mg lysates). Western blot was performed on the immunoprecipitate using ab283693 at 1/1000 dilution. VeriBlot for IP secondary antibody(HRP)(ab131366) was used at 1/5000 dilution.

Lane 1 : HeLa (human cervix adenocarcinoma epithelial cell), whole cell lysate 10 ug

Lane 2 : ab283693 IP in HeLa whole cell lysate

Lane 3 : Rabbit monoclonal IgG (ab172730) instead of ab283693 in HeLa whole cell lysate

Blocking and dilution buffer and concentration : 5% NFDM/TBST.

Exposure time : 3 minutes

All lanes:

Immunoprecipitation - Anti-Coronin-1C antibody [EPR25365-24] (<a href='/en-us/products/primary-antibodies/coronin-1c-antibody-epr25365-24-ab283693'>ab283693</a>)

Predicted band size: 53 kDa

Observed band size: 53 kDa

false

Western blot - Anti-Coronin-1C antibody [EPR25365-24] - BSA and Azide free (AB283724)
  • WB

Lab

Western blot - Anti-Coronin-1C antibody [EPR25365-24] - BSA and Azide free (AB283724)

This data was developed using ab283693, the same antibody clone in a different buffer formulation.

Blocking and diluting buffer and concentration : 5% NFDM/TBST

Exposure time : 3 minutes

All lanes:

Western blot - Anti-Coronin-1C antibody [EPR25365-24] (<a href='/en-us/products/primary-antibodies/coronin-1c-antibody-epr25365-24-ab283693'>ab283693</a>) at 1/1000 dilution

Lane 1:

HepG2 (human hepatocellular carcinoma epithelial cell), whole cell lysate at 20 µg

Lane 2:

A549 (human lung carcinoma epithelial cell), whole cell lysate at 20 µg

Lane 3:

Neuro-2a (mouse neuroblastoma neuroblast), whole cell lysate at 20 µg

Lane 4:

HL-1 (mouse atrial muscle cell), whole cell lysate at 20 µg

Lane 5:

C6 (rat glial tumor glial cell), whole cell lysate at 20 µg

Lane 6:

Human heart tissue lysate at 20 µg

Secondary

All lanes:

Goat Anti-Rabbit IgG, (H+L), Peroxidase conjugated (<a href='/en-us/products/secondary-antibodies/goat-rabbit-igg-h-l-hrp-ab97051'>ab97051</a>) at 1/100000 dilution

Predicted band size: 53 kDa

Observed band size: 53 kDa

false

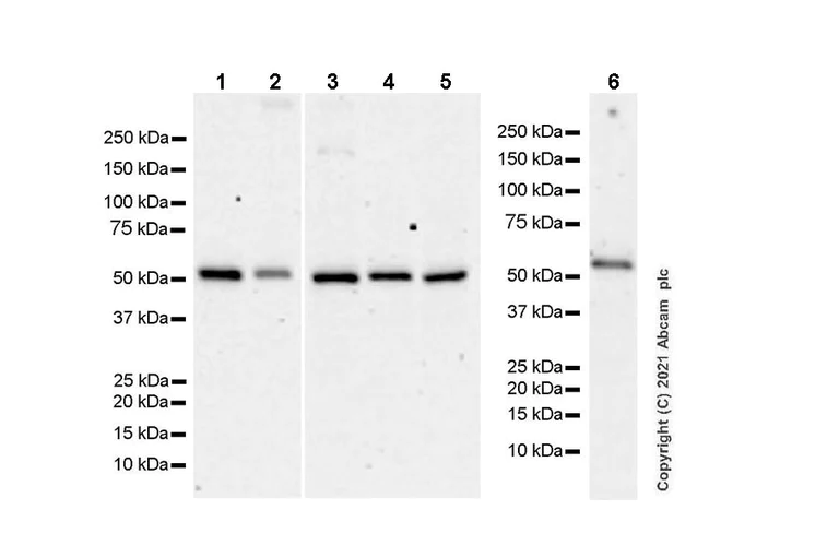
Western blot - Anti-Coronin-1C antibody [EPR25365-24] - BSA and Azide free (AB283724)
  • WB

Lab

Western blot - Anti-Coronin-1C antibody [EPR25365-24] - BSA and Azide free (AB283724)

This data was developed using ab283693, the same antibody clone in a different buffer formulation.

Blocking and diluting buffer and concentration : 5% NFDM/TBST

This antibody has no cross-reaction with human Coronin-1B, Coronin-6 and Coronin-1A.

All the recombinant proteins were made in-house.

All the samples are E.coli extracts containing Coronin-1C, Coronin-1B, Coronin-6 or Coronin-1A recombinant protein respectively.

Exposure time : 26 seconds

All lanes:

Western blot - Anti-Coronin-1C antibody [EPR25365-24] (<a href='/en-us/products/primary-antibodies/coronin-1c-antibody-epr25365-24-ab283693'>ab283693</a>) at 1/1000 dilution

Lane 1:

His-tagged human Coronin-1C recombinant protein at 0.005 µg

Lane 2:

His-tagged human Coronin-1B recombinant protein at 0.005 µg

Lane 3:

His-tagged human Coronin-6 recombinant protein at 0.005 µg

Lane 4:

His-tagged human Coronin-1A recombinant protein at 0.005 µg

Secondary

All lanes:

Goat Anti-Rabbit IgG, (H+L), Peroxidase conjugated (<a href='/en-us/products/secondary-antibodies/goat-rabbit-igg-h-l-hrp-ab97051'>ab97051</a>) at 1/100000 dilution

Predicted band size: 53 kDa

Observed band size: 53 kDa

false

Western blot - Anti-Coronin-1C antibody [EPR25365-24] - BSA and Azide free (AB283724)
  • WB

Lab

Western blot - Anti-Coronin-1C antibody [EPR25365-24] - BSA and Azide free (AB283724)

This data was developed using ab283693, the same antibody clone in a different buffer formulation.

Blocking and diluting buffer concentration : 5% NFDM/TBST

Exposure time 26 seconds

All lanes:

Western blot - Anti-Coronin-1C antibody [EPR25365-24] - BSA and Azide free (ab283724) at 1/1000 dilution

Lane 1:

HeLa (human cervix adenocarcinoma epithelial cell), whole cell lysate at 20 µg

Lane 2:

Hela transfected with CORO1C siRNA 1 whole cell lysate at 20 µg

Lane 3:

Hela transfected with CORO1C siRNA 2 whole cell lysate at 20 µg

Secondary

All lanes:

Goat Anti-Rabbit IgG, (H+L), Peroxidase conjugated (<a href='/en-us/products/secondary-antibodies/goat-rabbit-igg-h-l-hrp-ab97051'>ab97051</a>) at 1/100000 dilution

Predicted band size: 53 kDa

Observed band size: 53 kDa

false

Key facts

Host species

Rabbit

Clonality

Monoclonal

Clone number

EPR25365-24

Isotype

IgG

Carrier free

Yes

Reacts with

Rat, Mouse, Human

Applications

WB, IHC-P, IP

applications

Immunogen

The exact immunogen used to generate this antibody is proprietary information.

Specificity

IHC and IP suitable for human only.

Reactivity data

{ "title": "Reactivity Data", "filters": { "stats": ["", "Species", "Dilution Info", "Notes"], "tabs": { "all-applications": {"fullname" : "All Applications", "shortname": "All Applications"}, "IP" : {"fullname" : "Immunoprecipitation", "shortname":"IP"}, "WB" : {"fullname" : "Western blot", "shortname":"WB"}, "ICCIF" : {"fullname" : "Immunocytochemistry/ Immunofluorescence", "shortname":"ICC/IF"}, "FlowCytIntra" : {"fullname" : "Flow Cytometry (Intracellular)", "shortname":"Flow Cyt (Intra)"}, "IHCP" : {"fullname" : "Immunohistochemistry (Formalin/PFA-fixed paraffin-embedded sections)", "shortname":"IHC-P"} }, "product-promise": { "all": "all", "testedAndGuaranteed": "tested", "guaranteed": "expected", "predicted": "predicted", "notRecommended": "not-recommended" } }, "values": { "Human": { "IP-species-checked": "testedAndGuaranteed", "IP-species-dilution-info": "", "IP-species-notes": "<p>IP suitable for human only.</p>", "WB-species-checked": "testedAndGuaranteed", "WB-species-dilution-info": "", "WB-species-notes": "<p></p>", "ICCIF-species-checked": "notRecommended", "ICCIF-species-dilution-info": "", "ICCIF-species-notes": "<p></p>", "FlowCytIntra-species-checked": "notRecommended", "FlowCytIntra-species-dilution-info": "", "FlowCytIntra-species-notes": "<p></p>", "IHCP-species-checked": "testedAndGuaranteed", "IHCP-species-dilution-info": "", "IHCP-species-notes": "<p>IHC suitable for human only.</p>" }, "Mouse": { "IP-species-checked": "guaranteed", "IP-species-dilution-info": "", "IP-species-notes": "", "WB-species-checked": "testedAndGuaranteed", "WB-species-dilution-info": "", "WB-species-notes": "<p></p>", "ICCIF-species-checked": "notRecommended", "ICCIF-species-dilution-info": "", "ICCIF-species-notes": "<p></p>", "FlowCytIntra-species-checked": "notRecommended", "FlowCytIntra-species-dilution-info": "", "FlowCytIntra-species-notes": "<p></p>", "IHCP-species-checked": "notRecommended", "IHCP-species-dilution-info": "", "IHCP-species-notes": "<p>IHC suitable for human only.</p>" }, "Rat": { "IP-species-checked": "guaranteed", "IP-species-dilution-info": "", "IP-species-notes": "", "WB-species-checked": "testedAndGuaranteed", "WB-species-dilution-info": "", "WB-species-notes": "<p></p>", "ICCIF-species-checked": "notRecommended", "ICCIF-species-dilution-info": "", "ICCIF-species-notes": "", "FlowCytIntra-species-checked": "notRecommended", "FlowCytIntra-species-dilution-info": "", "FlowCytIntra-species-notes": "", "IHCP-species-checked": "notRecommended", "IHCP-species-dilution-info": "", "IHCP-species-notes": "<p>IHC suitable for human only.</p>" } } }

Product details

ab283724 is the carrier-free version of ab283693.

Patented technology
Our RabMAb® technology is a patented hybridoma-based technology for making rabbit monoclonal antibodies. For details on our patents, please refer to RabMAb® patents.

What are the advantages of a recombinant monoclonal antibody?
This product is a recombinant monoclonal antibody, which offers several advantages including:

  • - High batch-to-batch consistency and reproducibility
  • - Improved sensitivity and specificity
  • - Long-term security of supply
  • - Animal-free batch production

For more information, read more on recombinant antibodies.

Conjugation ready
Our carrier-free antibodies are typically supplied in a PBS-only formulation, purified and free of BSA, sodium azide and glycerol. This conjugation-ready format is designed for use with fluorochromes, metal isotopes, oligonucleotides, and enzymes, which makes them ideal for antibody labelling, functional and cell-based assays, flow-based assays (e.g. mass cytometry) and Multiplex Imaging applications.

Use our conjugation kits for antibody conjugates that are ready-to-use in as little as 20 minutes with 1 minute hands-on-time and 100% antibody recovery: available for fluorescent dyes, HRP, biotin and gold.

Compatibility
This product is compatible with the Maxpar® Antibody Labeling Kit from Fluidigm, without the need for antibody preparation. Maxpar® is a trademark of Fluidigm Canada Inc.

Properties and storage information

Form
Liquid
Purification technique
Affinity purification Protein A
Storage buffer
pH: 7.2 - 7.4 Constituents: PBS
Shipped at conditions
Blue Ice
Appropriate short-term storage conditions
+4°C
Appropriate long-term storage conditions
+4°C

Product protocols

For this product, it's our understanding that no specific protocols are required. You can visit:

Target data

Plays a role in directed cell migration by regulating the activation and subcellular location of RAC1 (PubMed : 25074804, PubMed : 25925950). Increases the presence of activated RAC1 at the leading edge of migrating cells (PubMed : 25074804, PubMed : 25925950). Required for normal organization of the cytoskeleton, including the actin cytoskeleton, microtubules and the vimentin intermediate filaments (By similarity). Plays a role in endoplasmic reticulum-associated endosome fission : localizes to endosome membrane tubules and promotes recruitment of TMCC1, leading to recruitment of the endoplasmic reticulum to endosome tubules for fission (PubMed : 30220460). Endosome membrane fission of early and late endosomes is essential to separate regions destined for lysosomal degradation from carriers to be recycled to the plasma membrane (PubMed : 30220460). Required for normal cell proliferation, cell migration, and normal formation of lamellipodia (By similarity). Required for normal distribution of mitochondria within cells (By similarity).. Isoform 3. Involved in myogenic differentiation.
See full target information CORO1C

Product promise

We are committed to supporting your work with high-quality reagents, and we're here for you every step of the way. In the unlikely event that one of our products does not perform as expected, you're protected by our Product Promise.
For full details, please see our Terms & Conditions

Please note: All products are 'FOR RESEARCH USE ONLY. NOT FOR USE IN DIAGNOSTIC OR THERAPEUTIC PROCEDURES'.

For licensing inquiries, please contact partnerships@abcam.com