JavaScript is disabled in your browser. Please enable JavaScript to view this website.
AB81208

Anti-Cortactin antibody [EP1922Y]

5

(2 Reviews)

|

(50 Publications)

Anti-Cortactin antibody [EP1922Y] (ab81208) is a rabbit monoclonal antibody detecting Cortactin in Western Blot, Flow Cytometry (Intra), IP, IHC-P, ICC/IF. Suitable for Human, Mouse.

- KO validated for confirmed specificity
- Biophysical QC for unrivalled batch-batch consistency
- Over 30 publications
- Trusted since 2009

View Alternative Names

EMS1, CTTN, Src substrate cortactin, Amplaxin, Oncogene EMS1

9 Images
Immunohistochemistry (Formalin/PFA-fixed paraffin-embedded sections) - Anti-Cortactin antibody [EP1922Y] (AB81208)
  • IHC-P

Unknown

Immunohistochemistry (Formalin/PFA-fixed paraffin-embedded sections) - Anti-Cortactin antibody [EP1922Y] (AB81208)

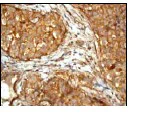
Immunohistochemical analysis of paraffin-embedded human breast carcinoma staining Cortacin with ab81208 at 1/100 dilution. Heat mediated antigen retrieval with Tris-EDTA (pH 9) was perfomed.

Heat mediated antigen retrieval was performed with citrate buffer pH 6 before commencing with IHC staining protocol.

Flow Cytometry (Intracellular) - Anti-Cortactin antibody [EP1922Y] (AB81208)
  • Flow Cyt (Intra)

Unknown

Flow Cytometry (Intracellular) - Anti-Cortactin antibody [EP1922Y] (AB81208)

Overlay histogram showing HeLa cells stained with ab81208 (red line). The cells were fixed with 80% methanol (5 min) and then permeabilized with 0.1% PBS-Tween for 20 min. The cells were then incubated in 1x PBS / 10% normal goat serum / 0.3M glycine to block non-specific protein-protein interactions followed by the antibody (ab81208, 1/100 dilution) for 30 min at 22°C. The secondary antibody used was DyLight® 488 goat anti-rabbit IgG (H+L) (ab96899) at 1/500 dilution for 30 min at 22°C. Isotype control antibody (black line) was rabbit IgG (monoclonal) (1μg/1x106 cells) used under the same conditions. Acquisition of >5,000 events was performed.

Immunocytochemistry/ Immunofluorescence - Anti-Cortactin antibody [EP1922Y] (AB81208)
  • ICC/IF

Unknown

Immunocytochemistry/ Immunofluorescence - Anti-Cortactin antibody [EP1922Y] (AB81208)

ab81208 staining Cortactin in wild-type HAP1 cells (top panel) and Cortactin knockout HAP1 cells (bottom panel). The cells were fixed with 4% formaldehyde (10min), permeabilized with 0.1% Triton X-100 for 5 minutes and then blocked with 1% BSA/10% normal goat serum/0.3M glycine in 0.1% PBS-Tween for 1h. The cells were then incubated with ab81208 at 1/1000 dilution and ab195889 at 1/250 dilution (shown in pseudo colour red) overnight at +4°C, followed by a further incubation at room temperature for 1h with a goat secondary antibody to Rabbit IgG (Alexa Fluor® 488) (ab150081) at 2 μg/ml (shown in green). Nuclear DNA was labelled in blue with DAPI.

Image was taken with a confocal microscope (Leica-Microsystems, TCS SP8).

Immunocytochemistry/ Immunofluorescence - Anti-Cortactin antibody [EP1922Y] (AB81208)
  • ICC/IF

Unknown

Immunocytochemistry/ Immunofluorescence - Anti-Cortactin antibody [EP1922Y] (AB81208)

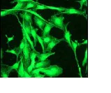
Immunofluorescent staining of MCF7 cells using 1/100 ab81208

Immunoprecipitation - Anti-Cortactin antibody [EP1922Y] (AB81208)
  • IP

Unknown

Immunoprecipitation - Anti-Cortactin antibody [EP1922Y] (AB81208)

Purified ab81208 at 1/50 dilution (2μg) immunoprecipitating Cortactin in HeLa whole cell lysate.
Lane 1 (input) : HeLa (Human cervix adenocarcinoma epithelial cell) whole cell lysate 10μg
Lane 2 (+) : ab81208 + HeLa whole cell lysate.
Lane 3 (-) : Rabbit monoclonal IgG (ab172730) instead of ab81208 in HeLa whole cell lysate.
VeriBlot for IP Detection Reagent (HRP) (ab131366) (1/1000 dilution) was used for Western blotting.
Blocking Buffer and concentration : 5% NFDM/TBST.
Diluting buffer and concentration : 5% NFDM/TBST.
Observed band size : 62 kDa

All lanes:

Immunoprecipitation - Anti-Cortactin antibody [EP1922Y] (ab81208)

Predicted band size: 62 kDa

false

Western blot - Anti-Cortactin antibody [EP1922Y] (AB81208)
  • WB

Lab

Western blot - Anti-Cortactin antibody [EP1922Y] (AB81208)

Lanes 1-2 : Merged signal (red and green). Green - ab81208 observed at 70 kDa. Red - loading control ab8245 observed at 37 kDa.

ab81208 Anti-Cortactin antibody [EP1922Y] was shown to specifically react with Cortactin in wild-type HEK-293T cells. Loss of signal was observed when knockout cell line ab266819 (knockout cell lysate ab257147) was used. Wild-type and Cortactin knockout samples were subjected to SDS-PAGE. ab81208 and Anti-GAPDH antibody [6C5] - Loading Control (ab8245) were incubated overnight at 4°C at 1 in 50000 Dilution and 1 in 20000 dilution respectively. Blots were developed with Goat anti-Rabbit IgG H&L (IRDye® 800CW) preadsorbed (ab216773) and Goat anti-Mouse IgG H&L (IRDye® 680RD) preadsorbed (ab216776) secondary antibodies at 1 in 20000 dilution for 1 hour at room temperature before imaging.

All lanes:

Western blot - Anti-Cortactin antibody [EP1922Y] (ab81208) at 1/50000 dilution

Lane 1:

Wild-type HEK-293T cell lysate at 20 µg

Lane 2:

CTNN knockout HEK-293T cell lysate at 20 µg

Lane 2:

Western blot - Human CTTN (Cortactin) knockout HEK-293T cell line (<a href='/en-us/products/cell-lines/human-cttn-cortactin-knockout-hek-293t-cell-line-ab266819'>ab266819</a>)

Predicted band size: 62 kDa

Observed band size: 70 kDa

false

Western blot - Anti-Cortactin antibody [EP1922Y] (AB81208)
  • WB

Lab

Western blot - Anti-Cortactin antibody [EP1922Y] (AB81208)

Lanes 1 - 4 : Merged signal (red and green). Green - ab81208 observed at 62 kDa. Red - loading control, ab8245, observed at 37 kDa.

ab81208 was shown to specifically react with Cortactin in wild-type HAP1 cells along with additional cross reactive bands. No band was observed when Cortactin knockout samples were examined. Wild-type and Cortactin knockout samples were subjected to SDS-PAGE. ab81208 and ab8245 (loading control to GAPDH) were both diluted 1/2000 and incubated overnight at 4°C. Blots were developed with Goat anti-Rabbit IgG H&L (IRDye® 800CW) preadsorbed (ab216773) and Goat anti-Mouse IgG H&L (IRDye® 680RD) preadsorbed (ab216776) secondary antibodies at 1/10,000 dilution for 1 hour at room temperature before imaging.

All lanes:

Western blot - Anti-Cortactin antibody [EP1922Y] (ab81208) at 1/2000 dilution

Lane 1:

Wild-type HAP1 cell lysate at 20 µg

Lane 2:

Cortactin knockout HAP1 cell lysate at 20 µg

Lane 3:

NIH3T3 cell lysate at 20 µg

Lane 4:

A431 cell lysate at 20 µg

Predicted band size: 62 kDa

false

Western blot - Anti-Cortactin antibody [EP1922Y] (AB81208)
  • WB

Unknown

Western blot - Anti-Cortactin antibody [EP1922Y] (AB81208)

All lanes:

Western blot - Anti-Cortactin antibody [EP1922Y] (ab81208) at 1/100000 dilution

All lanes:

HeLa cell lysate at 10 µg

Secondary

All lanes:

HRP labelled Goat anti-Rabbit at 1/2000 dilution

Predicted band size: 62 kDa

false

Western blot - Anti-Cortactin antibody [EP1922Y] (AB81208)
  • WB

CiteAb

Western blot - Anti-Cortactin antibody [EP1922Y] (AB81208)

Cortactin western blot using anti-Cortactin antibody [EP1922Y] ab81208. Publication image and figure legend from Li, Y., Fu, Y., et al., 2019, Cell Death Dis, PubMed 31138777.

ab81208 was used in this publication in western blot. This may not be the same as the application(s) guaranteed by Abcam. For a full list of applications guaranteed by Abcam for ab81208 please see the product overview.

Effects of the HBx-CTTN interaction on cell proliferation and migration.a HepG2 and MHCC-LM3 cells were co-transfected with si-CTTN and pcDNA3.1( + )-HBx-overexpressing vectors. Protein expressions of HBx and CTTN were measured by western blot. b, c HepG2 and MHCC-LM3 cells were co-transfected with si-CTTN and pcDNA3.1( + )-HBx-overexpressing vectors and the cell viability was examined using MTT assays. d, e DNA synthesis was examined in BrdU assays; the data are presented as the mean ± SD of three independent experiments. f, g Migration of the indicated groups of cells examined using transwell assays on a light microscope. The statistical analysis was shown in the right panel. *p < 0.05, **p < 0.01

false

  • Carrier free

    Anti-Cortactin antibody [EP1922Y] - BSA and Azide free

  • 519 Alexa Fluor® 488

    Alexa Fluor® 488 Anti-Cortactin antibody [EP1922Y]

  • 565 Alexa Fluor® 555

    Alexa Fluor® 555 Anti-Cortactin antibody [EP1922Y]

  • 578 PE

    PE Anti-Cortactin antibody [EP1922Y]

  • 665 Alexa Fluor® 647

    Alexa Fluor® 647 Anti-Cortactin antibody [EP1922Y]

Key facts

Host species

Rabbit

Clonality

Monoclonal

Clone number

EP1922Y

Isotype

IgG

Carrier free

No

Reacts with

Mouse, Human

Applications

IP, Flow Cyt (Intra), ICC/IF, WB, IHC-P

applications

Immunogen

The exact immunogen used to generate this antibody is proprietary information.

Reactivity data

{ "title": "Reactivity Data", "filters": { "stats": ["", "Species", "Dilution Info", "Notes"], "tabs": { "all-applications": {"fullname" : "All Applications", "shortname": "All Applications"}, "IHCP" : {"fullname" : "Immunohistochemistry (Formalin/PFA-fixed paraffin-embedded sections)", "shortname":"IHC-P"}, "IP" : {"fullname" : "Immunoprecipitation", "shortname":"IP"}, "WB" : {"fullname" : "Western blot", "shortname":"WB"}, "ICCIF" : {"fullname" : "Immunocytochemistry/ Immunofluorescence", "shortname":"ICC/IF"}, "FlowCytIntra" : {"fullname" : "Flow Cytometry (Intracellular)", "shortname":"Flow Cyt (Intra)"} }, "product-promise": { "all": "all", "testedAndGuaranteed": "tested", "guaranteed": "expected", "predicted": "predicted", "notRecommended": "not-recommended" } }, "values": { "Human": { "IHCP-species-checked": "testedAndGuaranteed", "IHCP-species-dilution-info": "1/100 - 1/250", "IHCP-species-notes": "<p>Heat mediated antigen retrieval with citrate buffer, pH 6 or Tris-EDTA, pH 9 are both suitable methods IHC-P with this antibody.</p>", "IP-species-checked": "testedAndGuaranteed", "IP-species-dilution-info": "1/50", "IP-species-notes": "<p></p>", "WB-species-checked": "testedAndGuaranteed", "WB-species-dilution-info": "1/50000 - 1/100000", "WB-species-notes": "<p></p>", "ICCIF-species-checked": "testedAndGuaranteed", "ICCIF-species-dilution-info": "1/1000", "ICCIF-species-notes": "<p></p>", "FlowCytIntra-species-checked": "testedAndGuaranteed", "FlowCytIntra-species-dilution-info": "1/10", "FlowCytIntra-species-notes": "<p><a href='/en-us/products/primary-antibodies/rabbit-igg-monoclonal-epr25a-isotype-control-ab172730'>ab172730</a> - Rabbit monoclonal IgG, is suitable for use as an isotype control with this antibody.</p>" }, "Mouse": { "IHCP-species-checked": "guaranteed", "IHCP-species-dilution-info": "", "IHCP-species-notes": "", "IP-species-checked": "guaranteed", "IP-species-dilution-info": "", "IP-species-notes": "", "WB-species-checked": "testedAndGuaranteed", "WB-species-dilution-info": "1/50000 - 1/100000", "WB-species-notes": "<p></p>", "ICCIF-species-checked": "guaranteed", "ICCIF-species-dilution-info": "", "ICCIF-species-notes": "", "FlowCytIntra-species-checked": "guaranteed", "FlowCytIntra-species-dilution-info": "", "FlowCytIntra-species-notes": "" }, "Rat": { "IHCP-species-checked": "predicted", "IHCP-species-dilution-info": "", "IHCP-species-notes": "", "IP-species-checked": "predicted", "IP-species-dilution-info": "", "IP-species-notes": "", "WB-species-checked": "predicted", "WB-species-dilution-info": "", "WB-species-notes": "", "ICCIF-species-checked": "predicted", "ICCIF-species-dilution-info": "", "ICCIF-species-notes": "", "FlowCytIntra-species-checked": "predicted", "FlowCytIntra-species-dilution-info": "", "FlowCytIntra-species-notes": "" } } }

Product details

What is this antibody validated in?
Anti-Cortactin antibody [EP1922Y] (ab81208) is a rabbit recombinant monoclonal antibody and is validated for use in Western Blot (WB), Flow Cytometry (Intra), Flow Cytometry (Flow Cyt), Immunoprecipitation (IP), Immunohistochemistry (IHC-P), Immunocytochemistry/immunofluorescence (ICC/IF) in Human, Mouse samples.

What is the molecular weight of Cortactin?
Anti-Cortactin [EP1922Y] (ab81208) specifically detects a band for Cortactin (UniProt: Q14247) at a molecular weight of 62kDa.

Trusted by the scientific community
Anti-Cortactin [EP1922Y] (ab81208) was first used in a scientific publication in 2009 and has been cited over 30 times in peer-reviewed journals.

Trial sizes available!
Test your antibody or perform pre-screening before committing to a larger quantity. Sold in 10µl. Discover our selection of trial-size antibodies.

Specificity confirmed
The specificity of Anti-Cortactin antibody [EP1922Y] (ab81208) has been confirmed by Western blot testing in CTTN Knockout HAP1 cell line, ab266819.

Other related products
We have a range of other formats of antibody clone [EP1922Y] also available for your convenience: ab81208, Alexa Fluor® 488 - ab202648, Alexa Fluor® 647 - ab202650, PE - ab209758, Alexa Fluor® 555 - ab215298, Alexa Fluor® 594 - ab215300, Carrier free - ab223125

Patented technology
Our RabMAb® technology is a patented hybridoma-based technology for making rabbit monoclonal antibodies. For details on our patents, please refer to RabMAb® patents.

What are the advantages of a recombinant monoclonal antibody?
This product is a recombinant monoclonal antibody, which offers several advantages including:

  • - High batch-to-batch consistency and reproducibility
  • - Improved sensitivity and specificity
  • - Long-term security of supply
  • - Animal-free batch production

For more information, read more on recombinant antibodies.

Properties and storage information

Form
Liquid
Purification technique
Affinity purification Protein A
Storage buffer
pH: 7.2 - 7.4 Preservative: 0.05% Sodium azide Constituents: 50% Tissue culture supernatant, 40% Glycerol (glycerin, glycerine), 9.85% Tris glycine, 0.1% BSA
Shipped at conditions
Blue Ice
Appropriate short-term storage conditions
+4°C
Appropriate long-term storage conditions
-20°C
Aliquoting information
Upon delivery aliquot
Storage information
Avoid freeze / thaw cycle

Product protocols

For this product, it's our understanding that no specific protocols are required. You can visit:

Target data

Contributes to the organization of the actin cytoskeleton and cell shape (PubMed : 21296879). Plays a role in the formation of lamellipodia and in cell migration. Plays a role in the regulation of neuron morphology, axon growth and formation of neuronal growth cones (By similarity). Through its interaction with CTTNBP2, involved in the regulation of neuronal spine density (By similarity). Plays a role in focal adhesion assembly and turnover (By similarity). In complex with ABL1 and MYLK regulates cortical actin-based cytoskeletal rearrangement critical to sphingosine 1-phosphate (S1P)-mediated endothelial cell (EC) barrier enhancement (PubMed : 20861316). Plays a role in intracellular protein transport and endocytosis, and in modulating the levels of potassium channels present at the cell membrane (PubMed : 17959782). Plays a role in receptor-mediated endocytosis via clathrin-coated pits (By similarity). Required for stabilization of KCNH1 channels at the cell membrane (PubMed : 23144454). Plays a role in the invasiveness of cancer cells, and the formation of metastases (PubMed : 16636290).
See full target information CTTN

Publications (50)

Recent publications for all applications. Explore the full list and refine your search

eLife 12: PubMed41025959

2025

Matrix-associated extracellular vesicles modulate human smooth muscle cell adhesion and directionality by presenting collagen VI.

Applications

Unspecified application

Species

Unspecified reactive species

Alexander N Kapustin,Sofia Serena Tsakali,Meredith Whitehead,George Chennell,Meng-Ying Wu,Chris Molenaar,Anton Kutikhin,Yimeng Chen,Sadia Ahmad,Leo Bogdanov,Maxim Sinitsky,Kseniya Rubina,Aled Clayton,Frederik J Verweij,Dirk Michiel Pegtel,Simona Zingaro,Arseniy Lobov,Bozhana Zainullina,Dylan Owen,Maddy Parsons,Richard E Cheney,Derek T Warren,Martin James Humphries,Thomas Iskratsch,Mark Holt,Catherine M Shanahan

iScience 28:112623 PubMed40502699

2025

Direct Arp2/3-vinculin binding is required for pseudopod extension, but only on compliant substrates and in 3D.

Applications

Unspecified application

Species

Unspecified reactive species

Tadamoto Isogai,Kevin M Dean,Philippe Roudot,Evgenia V Azarova,Kushal Bhatt,Meghan K Driscoll,Shaina P Royer,Nikhil Mittal,Bo-Jui Chang,Sangyoon J Han,Reto Fiolka,Gaudenz Danuser

Cell reports. Medicine 6:102090 PubMed40311616

2025

Integrative proteomic profiling of tumor and plasma extracellular vesicles identifies a diagnostic biomarker panel for colorectal cancer.

Applications

Unspecified application

Species

Unspecified reactive species

Jun Wang,Chen-Zheng Gu,Peng-Xiang Wang,Jing-Rong Xian,Hao Wang,An-Quan Shang,Yu-Chen Zhong,Wen-Jing Zheng,Jian-Wen Cheng,Wen-Jing Yang,Jian Zhou,Jia Fan,Wei Guo,Xin-Rong Yang,Hao-Jie Lu

Autophagy 21:807-826 PubMed39635882

2024

Upregulation of ISG15 induced by MAPT/tau accumulation represses autophagic flux by inhibiting HDAC6 activity: a vicious cycle in Alzheimer disease.

Applications

Unspecified application

Species

Unspecified reactive species

Qian Liu,Xin Wang,Zhi-Ting Fang,Jun-Ning Zhao,Xue-Xiang Rui,Bing-Ge Zhang,Ye He,Rui-Juan Liu,Jian Chen,Gao-Shang Chai,Gong-Ping Liu

The Journal of neuroscience : the official journal of the Society for Neuroscience : PubMed39557582

2024

Disruption of the autism-associated gene leads to transcriptional alterations, synapse overgrowth, and defective network activity in the CA1.

Applications

Unspecified application

Species

Unspecified reactive species

Federico Miozzo,Luca Murru,Greta Maiellano,Ilaria di Iasio,Antonio G Zippo,Annalaura Zambrano Avendano,Verjinia D Metodieva,Sara Riccardi,Deborah D'Aliberti,Silvia Spinelli,Tamara Canu,Linda Chaabane,Shinji Hirano,Martien J H Kas,Maura Francolini,Rocco Piazza,Edoardo Moretto,Maria Passafaro

Genes & diseases 11:100977 PubMed38292193

2024

Transcriptomic analysis identifies the neuropeptide cortistatin (CORT) as an inhibitor of temozolomide (TMZ) resistance by suppressing the NF-κB-MGMT signaling axis in human glioma.

Applications

Unspecified application

Species

Unspecified reactive species

Zongze He,Bo Peng,Qi Wang,Jie Tian,Ping Liu,Jie Feng,Yiwei Liao,Longyi Chen,Ping Jia,Jian Tang

Cancer science 115:836-846 PubMed38273817

2024

Stiffness promotes cell migration, invasion, and invadopodia in nasopharyngeal carcinoma by regulating the WT-CTTN level.

Applications

Unspecified application

Species

Unspecified reactive species

Lili Bao,Ming Zhong,Zixiang Zhang,Xiangqing Yu,Bo You,Yiwen You,Miao Gu,Qicheng Zhang,Wenhui Chen,Wei Lei,Songqun Hu

Cancer science 115:369-384 PubMed38050654

2023

Cross-talk between gastric cancer and hepatic stellate cells promotes invadopodia formation during liver metastasis.

Applications

Unspecified application

Species

Unspecified reactive species

Chuanfu Ren,Zhi Yang,En Xu,Xing Kang,Xingzhou Wang,Qi Sun,Chao Wang,Liang Zhang,Ji Miao,Banxin Luo,Kai Chen,Song Liu,Xiaofei Shen,Xiaofeng Lu,Kai Yin,Meng Wang,Xuefeng Xia,Wenxian Guan

Iranian journal of basic medical sciences 26:1390-1399 PubMed37970440

2023

Short-hairpin RNA-mediated suppression of cortactin may inhibit the migration and invasion abilities of endometrial cancer cells by reducing lamellipodia.

Applications

Unspecified application

Species

Unspecified reactive species

Huisi Lin,Yujuan Fan,Zhifu Zhi,Lihong Pang,Dan Sun

Frontiers in cell and developmental biology 11:1224827 PubMed37842093

2023

CD44s-activated tPA/LRP1-NFκB pathway drives lamellipodia outgrowth in luminal-type breast cancer cells.

Applications

Unspecified application

Species

Unspecified reactive species

Yaqi Qiu,Hui Wang,Qian Guo,Yiwen Liu,Yiqing He,Guoliang Zhang,Cuixia Yang,Yan Du,Feng Gao
View all publications

Product promise

We are committed to supporting your work with high-quality reagents, and we're here for you every step of the way. In the unlikely event that one of our products does not perform as expected, you're protected by our Product Promise.
For full details, please see our Terms & Conditions

Please note: All products are 'FOR RESEARCH USE ONLY. NOT FOR USE IN DIAGNOSTIC OR THERAPEUTIC PROCEDURES'.

For licensing inquiries, please contact partnerships@abcam.com