JavaScript is disabled in your browser. Please enable JavaScript to view this website.
AB229831

Anti-COSMC antibody

Be the first to review this product! Submit a review

|

(3 Publications)

Rabbit Polyclonal COSMC antibody. Suitable for WB, IHC-P, ICC/IF and reacts with Mouse, Human samples. Cited in 3 publications. Immunogen corresponding to Recombinant Fragment Protein within Human C1GALT1C1 aa 1-200.

View Alternative Names

COSMC, HSPC067, MSTP143, UNQ273/PRO310, C1GALT1C1, C1GALT1-specific chaperone 1, C38H2-like protein 1, Core 1 beta3-galactosyltransferase-specific molecular chaperone, C38H2-L1, C1Gal-T2, C1GalT2, Core 1 beta3-Gal-T2

4 Images
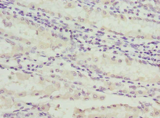
Immunohistochemistry (Formalin/PFA-fixed paraffin-embedded sections) - Anti-COSMC antibody (AB229831)
  • IHC-P

Supplier Data

Immunohistochemistry (Formalin/PFA-fixed paraffin-embedded sections) - Anti-COSMC antibody (AB229831)

Paraffin-embedded human gastric cancer tissue stained for COSMC using ab229831 at 1/100 dilution in immunohistochemical analysis.

Immunocytochemistry/ Immunofluorescence - Anti-COSMC antibody (AB229831)
  • ICC/IF

Supplier Data

Immunocytochemistry/ Immunofluorescence - Anti-COSMC antibody (AB229831)

HeLa (human epithelial cell line from cervix adenocarcinoma) cells stained for COSMC (green) using ab229831 at 1/100 dilution in ICC/IF, followed by Alexa Fluor 488® conjugated Goat Anti-Rabbit IgG (H+L).

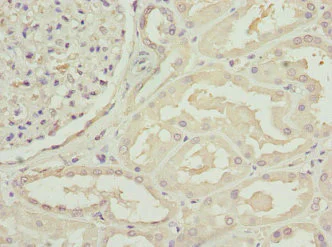
Immunohistochemistry (Formalin/PFA-fixed paraffin-embedded sections) - Anti-COSMC antibody (AB229831)
  • IHC-P

Supplier Data

Immunohistochemistry (Formalin/PFA-fixed paraffin-embedded sections) - Anti-COSMC antibody (AB229831)

Paraffin-embedded human kidney tissue stained for COSMC using ab229831 at 1/100 dilution in immunohistochemical analysis.

Western blot - Anti-COSMC antibody (AB229831)
  • WB

Supplier Data

Western blot - Anti-COSMC antibody (AB229831)

All lanes:

Western blot - Anti-COSMC antibody (ab229831) at 1/500 dilution

Lane 1:

Mouse gonadal lysate

Lane 2:

Mouse liver lysate

Secondary

All lanes:

Goat polyclonal to Rabbit IgG at 1/10000 dilution

Predicted band size: 36 kDa

Observed band size: 36 kDa

false

Key facts

Host species

Rabbit

Clonality

Polyclonal

Isotype

IgG

Carrier free

No

Reacts with

Mouse, Human

Applications

IHC-P, WB, ICC/IF

applications

Immunogen

Recombinant Fragment Protein within Human C1GALT1C1 aa 1-200. The exact immunogen used to generate this antibody is proprietary information.

Q96EU7

Reactivity data

{ "title": "Reactivity Data", "filters": { "stats": ["", "Species", "Dilution Info", "Notes"], "tabs": { "all-applications": {"fullname" : "All Applications", "shortname": "All Applications"}, "WB" : {"fullname" : "Western blot", "shortname":"WB"}, "IHCP" : {"fullname" : "Immunohistochemistry (Formalin/PFA-fixed paraffin-embedded sections)", "shortname":"IHC-P"}, "ICCIF" : {"fullname" : "Immunocytochemistry/ Immunofluorescence", "shortname":"ICC/IF"} }, "product-promise": { "all": "all", "testedAndGuaranteed": "tested", "guaranteed": "expected", "predicted": "predicted", "notRecommended": "not-recommended" } }, "values": { "Human": { "WB-species-checked": "guaranteed", "WB-species-dilution-info": "", "WB-species-notes": "", "IHCP-species-checked": "testedAndGuaranteed", "IHCP-species-dilution-info": "1/20 - 1/200", "IHCP-species-notes": "<p></p>", "ICCIF-species-checked": "testedAndGuaranteed", "ICCIF-species-dilution-info": "1/50 - 1/200", "ICCIF-species-notes": "<p></p>" }, "Mouse": { "WB-species-checked": "testedAndGuaranteed", "WB-species-dilution-info": "1/500 - 1/2000", "WB-species-notes": "<p></p>", "IHCP-species-checked": "guaranteed", "IHCP-species-dilution-info": "", "IHCP-species-notes": "", "ICCIF-species-checked": "guaranteed", "ICCIF-species-dilution-info": "", "ICCIF-species-notes": "" }, "Rat": { "WB-species-checked": "predicted", "WB-species-dilution-info": "", "WB-species-notes": "", "IHCP-species-checked": "predicted", "IHCP-species-dilution-info": "", "IHCP-species-notes": "", "ICCIF-species-checked": "predicted", "ICCIF-species-dilution-info": "", "ICCIF-species-notes": "" }, "Cow": { "WB-species-checked": "predicted", "WB-species-dilution-info": "", "WB-species-notes": "", "IHCP-species-checked": "predicted", "IHCP-species-dilution-info": "", "IHCP-species-notes": "", "ICCIF-species-checked": "predicted", "ICCIF-species-dilution-info": "", "ICCIF-species-notes": "" } } }

Properties and storage information

Form
Liquid
Purification technique
Affinity purification Immunogen
Storage buffer
pH: 7.3 Preservative: 0.02% Sodium azide Constituents: PBS, 50% Glycerol (glycerin, glycerine)
Shipped at conditions
Blue Ice
Appropriate short-term storage duration
1-2 weeks
Appropriate short-term storage conditions
+4°C
Appropriate long-term storage conditions
-20°C
Aliquoting information
Upon delivery aliquot
Storage information
Avoid freeze / thaw cycle

Supplementary information

This supplementary information is collated from multiple sources and compiled automatically.

COSMC also known as "core 1 β3-Gal-T-specific molecular chaperone" is a molecular chaperone that plays a significant role in the proper formation of glycoproteins. It has a mass of approximately 55 kDa and is primarily expressed in the endoplasmic reticulum (ER). COSMC assists in ensuring the stability and activity of the T-synthase enzyme which is important for the O-glycosylation process in cells.
Biological function summary

This target ensures accurate glycan biosynthesis by acting as a proper folding assistant for its enzyme partner T-synthase. As part of this functional duo COSMC does not operate alone but facilitates a complex where proper protein folding and expression are necessary. Without COSMC's guidance T-synthase becomes inactive resulting in improper glycosylation patterns that can affect cellular functionality and communication.

Pathways

COSMC-related activities are important in the O-glycan biosynthesis pathway which is important for the production of mucins and other glycoproteins involved in cell signaling and adhesion. This chaperone also interacts with proteins in the Golgi apparatus where it supports the biosynthetic pathway of type 1 and type 2 core structures. COSMC's interaction ensures accurate protein glycosylation which impacts several cellular processes.

Faulty COSMC function is linked to Tn syndrome where improper glycan synthesis leads to an accumulation of specific glycoprotein types that can disrupt normal cellular behavior. Aberrant glycan structures resulting from COSMC mutations also connect it to cancer progression as it relates to altered cell surface antigens. This protein's function or malfunction within these contexts highlights the potential connections with other proteins such as T-synthase in glycan-related diseases.

Product protocols

For this product, it's our understanding that no specific protocols are required. You can visit:

Target data

Probable chaperone required for the generation of 1 O-glycan Gal-beta1-3GalNAc-alpha1-Ser/Thr (T antigen), which is a precursor for many extended O-glycans in glycoproteins. Probably acts as a specific molecular chaperone assisting the folding/stability of core 1 beta-3-galactosyltransferase (C1GALT1).
See full target information C1GALT1C1

Publications (3)

Recent publications for all applications. Explore the full list and refine your search

American journal of nephrology 53:10-20 PubMed34965524

2021

Development of Urinary Diagnostic Biomarker for IgA Nephropathy by Lectin Microarray.

Applications

Unspecified application

Species

Unspecified reactive species

Yasuhiro Onishi,Koki Mise,Chieko Kawakita,Haruhito A Uchida,Hitoshi Sugiyama,Ryosuke Sugawara,Satoshi Yamaguchi,Michihiro Yoshida,Toshiharu Mitsuhashi,Masao Yamada,Jun Hirabayashi,Jun Wada

Frontiers in immunology 11:563699 PubMed33324395

2020

microRNA-630 Regulates Underglycosylated IgA1 Production in the Tonsils by Targeting TLR4 in IgA Nephropathy.

Applications

Unspecified application

Species

Unspecified reactive species

Chan Liu,Mu-Yao Ye,Wen-Zhe Yan,Xiao-Fei Peng,Li-Yu He,You-Ming Peng

Frontiers in genetics 11:168 PubMed32174980

2020

Identification of Two Novel Mutations in Causing Congenital Disorder of Glycosylation.

Applications

Unspecified application

Species

Unspecified reactive species

Xi Wang,Lin Han,Xiao-Yan Wang,Jian-Hong Wang,Xiao-Meng Li,Chun-Hua Jin,Lin Wang
View all publications

Product promise

We are committed to supporting your work with high-quality reagents, and we're here for you every step of the way. In the unlikely event that one of our products does not perform as expected, you're protected by our Product Promise.
For full details, please see our Terms & Conditions

Please note: All products are 'FOR RESEARCH USE ONLY. NOT FOR USE IN DIAGNOSTIC OR THERAPEUTIC PROCEDURES'.

For licensing inquiries, please contact partnerships@abcam.com