JavaScript is disabled in your browser. Please enable JavaScript to view this website.
AB224272

Anti-COUP TF1 antibody [EPR10841] - BSA and Azide free

Be the first to review this product! Submit a review

|

(1 Publication)

Rabbit Recombinant Monoclonal COUP TF1 antibody. Carrier free. Suitable for IHC-P, WB, ICC/IF, Flow Cyt (Intra) and reacts with Human, Mouse, Rat samples. Cited in 1 publication.

View Alternative Names

EAR3, ERBAL3, TFCOUP1, NR2F1, COUP transcription factor 1, COUP-TF1, COUP transcription factor I, Nuclear receptor subfamily 2 group F member 1, V-erbA-related protein 3, COUP-TF I, EAR-3

7 Images
Immunohistochemistry (Formalin/PFA-fixed paraffin-embedded sections) - Anti-COUP TF1 antibody [EPR10841] - BSA and Azide free (AB224272)
  • IHC-P

Supplier Data

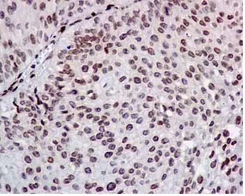
Immunohistochemistry (Formalin/PFA-fixed paraffin-embedded sections) - Anti-COUP TF1 antibody [EPR10841] - BSA and Azide free (AB224272)

This IHC data was generated using the same anti-COUP TF1 antibody clone [EPR10841] in a different buffer formulation (cat# ab181137).

Immunohistochemical analysis of paraffin-embedded Human transitional cell carcinoma staining COUP TF1 using ab181137 at 1/100. Prediluted HRP Polymer for Rabbit IgG was used as a secondary antibody, and Hematoxylin for counterstaining.

Flow Cytometry (Intracellular) - Anti-COUP TF1 antibody [EPR10841] - BSA and Azide free (AB224272)
  • Flow Cyt (Intra)

Supplier Data

Flow Cytometry (Intracellular) - Anti-COUP TF1 antibody [EPR10841] - BSA and Azide free (AB224272)

Intracellular flow cytometric analysis of COUP TF1 labeling 2% paraformaldehyde fixed 293 cells using unpurified ab181137 at 1/70 dilution (red), compared to a Rabbit monoclonal IgG isotype control (green). Goat anti rabbit IgG (FITC) secondary antibody was used at 1/150 dilution.

This data was developed using the same antibody clone in a different buffer formulation containing PBS, BSA, glycerol, and sodium azide (ab181137).

Flow Cytometry (Intracellular) - Anti-COUP TF1 antibody [EPR10841] - BSA and Azide free (AB224272)
  • Flow Cyt (Intra)

Unknown

Flow Cytometry (Intracellular) - Anti-COUP TF1 antibody [EPR10841] - BSA and Azide free (AB224272)

Intracellular Flow Cytometry analysis of MCF7 (Human cervix adenocarcinoma epithelial cell) cells labeling COUP TF1 with purified ab181137 at 1/500 dilution (red). Cells were fixed with 4% Paraformaldehyde. A Goat anti rabbit IgG (Alexa Fluor® 488) secondary antibody was used at 1/2000 dilution. Isotype control - Rabbit monoclonal IgG (Black). Unlabeled control - Cell without incubation with primary antibody and secondary antibody (Blue). This data was developed using the same antibody clone in a different buffer formulation containing PBS, BSA, glycerol, and sodium azide (ab181137).

Immunohistochemistry (Formalin/PFA-fixed paraffin-embedded sections) - Anti-COUP TF1 antibody [EPR10841] - BSA and Azide free (AB224272)
  • IHC-P

Supplier Data

Immunohistochemistry (Formalin/PFA-fixed paraffin-embedded sections) - Anti-COUP TF1 antibody [EPR10841] - BSA and Azide free (AB224272)

Immunohistochemical analysis of paraffin-embedded Human glioblastoma staining COUP TF1 using unpurified ab181137 at 1/100. Prediluted HRP Polymer for Rabbit IgG was used as a secondary antibody, and Hematoxylin for counterstaining.

This data was developed using the same antibody clone in a different buffer formulation containing PBS, BSA, glycerol, and sodium azide (ab181137).

Immunocytochemistry/ Immunofluorescence - Anti-COUP TF1 antibody [EPR10841] - BSA and Azide free (AB224272)
  • ICC/IF

Lab

Immunocytochemistry/ Immunofluorescence - Anti-COUP TF1 antibody [EPR10841] - BSA and Azide free (AB224272)

Immunocytochemistry/Immunofluorescence analysis of MCF-7cells labelling COUP TF1 with unpurified ab181137 at 1/500. Cells were fixed with 4% Paraformaldehyde. ab150077, an Alexa Fluor® 488-conjugated goat anti-rabbit IgG (1/1000) was used as the secondary antibody.

Control : PBS only.
Nuclear counter stain : DAPI.

This data was developed using the same antibody clone in a different buffer formulation containing PBS, BSA, glycerol, and sodium azide (ab181137).

Immunocytochemistry/ Immunofluorescence - Anti-COUP TF1 antibody [EPR10841] - BSA and Azide free (AB224272)
  • ICC/IF

Unknown

Immunocytochemistry/ Immunofluorescence - Anti-COUP TF1 antibody [EPR10841] - BSA and Azide free (AB224272)

Immunocytochemistry/ Immunofluorescence analysis of Jurkat (Human T cell leukemia T lymphocyte) cells labeling Coup TF2 with Purified ab181137 at 1 : 100 dilution. Cells were fixed in 4% Paraformaldehyde and permeabilized with 0.1% tritonX-100. Cells were counterstained with ab195889 Anti-alpha Tubulin antibody [DM1A] - Microtubule Marker (Alexa Fluor ® 594) 1 : 200 (2.5 μg/ml). ab150077 Goat anti rabbit IgG(Alexa Fluor ® 488) was used as the secondary antibody at 1 : 1000 dilution. DAPI nuclear counterstain. PBS instead of the primary antibody was used as the secondary antibody only control.

This data was developed using the same antibody clone in a different buffer formulation containing PBS, BSA, glycerol, and sodium azide (ab181137).

Immunohistochemistry (Formalin/PFA-fixed paraffin-embedded sections) - Anti-COUP TF1 antibody [EPR10841] - BSA and Azide free (AB224272)
  • IHC-P

Unknown

Immunohistochemistry (Formalin/PFA-fixed paraffin-embedded sections) - Anti-COUP TF1 antibody [EPR10841] - BSA and Azide free (AB224272)

Immunohistochemistry (Formalin/PFA-fixed paraffin-embedded sections) analysis of human breast carcinoma tissue sections labeling COUP TF1 with Purified ab181137 at 1 : 100 dilution. Heat mediated antigen retrieval was performed using citrate buffer, pH6.0 . Tissue was counterstained with Hematoxylin. ImmunoHistoProbe one step HRP Polymer (ready to use) secondary antibody was used at 1 : 0 dilution. PBS instead of the primary antibody was used as the negative control.This data was developed using the same antibody clone in a different buffer formulation containing PBS, BSA, glycerol, and sodium azide (ab181137).

  • Unconjugated

    Anti-COUP TF1 antibody [EPR10841]

  • 775 Alexa Fluor® 750

    Alexa Fluor® 750 Anti-COUP TF1 antibody [EPR10841]

  • 665 Alexa Fluor® 647

    Alexa Fluor® 647 Anti-COUP TF1 antibody [EPR10841]

  • 565 Alexa Fluor® 555

    Alexa Fluor® 555 Anti-COUP TF1 antibody [EPR10841]

  • 578 PE

    PE Anti-COUP TF1 antibody [EPR10841]

  • 660 APC

    APC Anti-COUP TF1 antibody [EPR10841]

  • HRP

    HRP Anti-COUP TF1 antibody [EPR10841]

  • 617 Alexa Fluor® 594

    Alexa Fluor® 594 Anti-COUP TF1 antibody [EPR10841]

Key facts

Host species

Rabbit

Clonality

Monoclonal

Clone number

EPR10841

Isotype

IgG

Carrier free

Yes

Reacts with

Mouse, Rat, Human

Applications

WB, ICC/IF, Flow Cyt (Intra), IHC-P

applications

Immunogen

The exact immunogen used to generate this antibody is proprietary information.

Specificity

The mouse and rat recommendation is based on the WB results. We do not guarantee IHC-P for mouse and rat.

Reactivity data

{ "title": "Reactivity Data", "filters": { "stats": ["", "Species", "Dilution Info", "Notes"], "tabs": { "all-applications": {"fullname" : "All Applications", "shortname": "All Applications"}, "IHCP" : {"fullname" : "Immunohistochemistry (Formalin/PFA-fixed paraffin-embedded sections)", "shortname":"IHC-P"}, "WB" : {"fullname" : "Western blot", "shortname":"WB"}, "ICCIF" : {"fullname" : "Immunocytochemistry/ Immunofluorescence", "shortname":"ICC/IF"}, "FlowCytIntra" : {"fullname" : "Flow Cytometry (Intracellular)", "shortname":"Flow Cyt (Intra)"} }, "product-promise": { "all": "all", "testedAndGuaranteed": "tested", "guaranteed": "expected", "predicted": "predicted", "notRecommended": "not-recommended" } }, "values": { "Human": { "IHCP-species-checked": "testedAndGuaranteed", "IHCP-species-dilution-info": "", "IHCP-species-notes": "<p></p>", "WB-species-checked": "guaranteed", "WB-species-dilution-info": "", "WB-species-notes": "<p></p>", "ICCIF-species-checked": "testedAndGuaranteed", "ICCIF-species-dilution-info": "", "ICCIF-species-notes": "<p></p>", "FlowCytIntra-species-checked": "testedAndGuaranteed", "FlowCytIntra-species-dilution-info": "", "FlowCytIntra-species-notes": "<p><a href='/en-us/products/primary-antibodies/rabbit-igg-monoclonal-epr25a-isotype-control-low-endotoxin-azide-free-ab199376'>ab199376</a> - Rabbit monoclonal IgG, is suitable for use as an isotype control with this antibody.</p>" }, "Mouse": { "IHCP-species-checked": "predicted", "IHCP-species-dilution-info": "", "IHCP-species-notes": "", "WB-species-checked": "guaranteed", "WB-species-dilution-info": "", "WB-species-notes": "<p></p>", "ICCIF-species-checked": "predicted", "ICCIF-species-dilution-info": "", "ICCIF-species-notes": "", "FlowCytIntra-species-checked": "predicted", "FlowCytIntra-species-dilution-info": "", "FlowCytIntra-species-notes": "" }, "Rat": { "IHCP-species-checked": "predicted", "IHCP-species-dilution-info": "", "IHCP-species-notes": "", "WB-species-checked": "guaranteed", "WB-species-dilution-info": "", "WB-species-notes": "<p></p>", "ICCIF-species-checked": "predicted", "ICCIF-species-dilution-info": "", "ICCIF-species-notes": "", "FlowCytIntra-species-checked": "predicted", "FlowCytIntra-species-dilution-info": "", "FlowCytIntra-species-notes": "" } } }

Product details

ab224272 is the carrier-free version of ab181137.

Patented technology
Our RabMAb® technology is a patented hybridoma-based technology for making rabbit monoclonal antibodies. For details on our patents, please refer to RabMAb® patents.

What are the advantages of a recombinant monoclonal antibody?
This product is a recombinant monoclonal antibody, which offers several advantages including:

  • - High batch-to-batch consistency and reproducibility
  • - Improved sensitivity and specificity
  • - Long-term security of supply
  • - Animal-free batch production

For more information, read more on recombinant antibodies.

Conjugation ready
Our carrier-free antibodies are typically supplied in a PBS-only formulation, purified and free of BSA, sodium azide and glycerol. This conjugation-ready format is designed for use with fluorochromes, metal isotopes, oligonucleotides, and enzymes, which makes them ideal for antibody labelling, functional and cell-based assays, flow-based assays (e.g. mass cytometry) and Multiplex Imaging applications.

Use our conjugation kits for antibody conjugates that are ready-to-use in as little as 20 minutes with 1 minute hands-on-time and 100% antibody recovery: available for fluorescent dyes, HRP, biotin and gold.

Compatibility
This product is compatible with the Maxpar® Antibody Labeling Kit from Fluidigm, without the need for antibody preparation. Maxpar® is a trademark of Fluidigm Canada Inc.

Properties and storage information

Form
Liquid
Purification technique
Affinity purification Protein A
Storage buffer
pH: 7.2 - 7.4 Constituents: PBS
Shipped at conditions
Blue Ice
Appropriate short-term storage conditions
+4°C
Appropriate long-term storage conditions
+4°C
Storage information
Do Not Freeze

Supplementary information

This supplementary information is collated from multiple sources and compiled automatically.

COUP TF1 also known as COUP-TFI COUP-TF1 COUPF protein COUP 70 and counter COUP functions as a transcription factor. It belongs to the nuclear receptor family of proteins and has a molecular mass of approximately 47 kDa. This protein expresses in a variety of tissues including the central nervous system heart and developing organs. It plays a role in regulating gene expression through binding to DNA sequences ultimately controlling developmental processes and cellular differentiation.
Biological function summary

COUP TF1 influences numerous systems by regulating genes involved in neuronal development and organogenesis. This protein is a core component of transcription complexes interacting with other nuclear receptors and co-regulators to modulate its effects. The activity of COUP TF1 also extends to the regulation of neuronal subtype specification and synaptic connectivity signifying its importance in the central nervous system development.

Pathways

COUP TF1 participates in essential signaling cascades such as the Notch and retinoic acid pathways. It modulates the retinoic acid response by interacting with the retinoic acid receptor (RAR) thereby influencing cell differentiation and growth. Additionally COUP TF1 interacts with the Notch signaling pathway affecting neural lineage decisions and maintenance. Its link to other transcription factors and receptors highlights its integrative role in various cellular contexts.

COUP TF1 alterations associate with cognitive and developmental disorders. Its dysregulation is implicated in conditions like mental retardation and schizophrenia. The protein's connection to disorders often involves its interaction with other proteins and signaling pathways such as those linked to neural development. COUP TF1's interplay with the retinoic acid receptor influences neurological traits and misregulation can contribute to disease progression.

Product protocols

For this product, it's our understanding that no specific protocols are required. You can visit:

Target data

Coup (chicken ovalbumin upstream promoter) transcription factor binds to the ovalbumin promoter and, in conjunction with another protein (S300-II) stimulates initiation of transcription. Binds to both direct repeats and palindromes of the 5'-AGGTCA-3' motif. Represses transcriptional activity of LHCG.
See full target information NR2F1

Publications (1)

Recent publications for all applications. Explore the full list and refine your search

Biological trace element research : PubMed40531286

2025

Neurobehavioral and Neuropathological Alterations Induced by Nickel Sulphate Toxicity in Rats: Molecular Mechanisms and Prophylaxis with Curcumin Supplementation.

Applications

Unspecified application

Species

Unspecified reactive species

Sally Mehanna,Neven H Hassan,Marwa A Ibrahim,Faten F Mohammed,Eman I Hassanen
View all publications

Product promise

We are committed to supporting your work with high-quality reagents, and we're here for you every step of the way. In the unlikely event that one of our products does not perform as expected, you're protected by our Product Promise.
For full details, please see our Terms & Conditions

Please note: All products are 'FOR RESEARCH USE ONLY. NOT FOR USE IN DIAGNOSTIC OR THERAPEUTIC PROCEDURES'.

For licensing inquiries, please contact partnerships@abcam.com