JavaScript is disabled in your browser. Please enable JavaScript to view this website.
AB231168

Anti-COX IV antibody [EPR9442(ABC)] - BSA and Azide free - Mitochondrial Marker

Be the first to review this product! Submit a review

|

(0 Publication)

Rabbit Recombinant Monoclonal COX IV antibody. Carrier free. Suitable for IP, WB, ICC/IF, Flow Cyt (Intra), IHC-P, mIHC and reacts with Human, Mouse, Rat samples.

View Alternative Names

COX4, COX4I1, Cytochrome c oxidase polypeptide IV, Cytochrome c oxidase subunit IV isoform 1, COX IV-1

12 Images
Immunocytochemistry/ Immunofluorescence - Anti-COX IV antibody [EPR9442(ABC)] - BSA and Azide free - Mitochondrial Marker (AB231168)
  • ICC/IF

Lab

Immunocytochemistry/ Immunofluorescence - Anti-COX IV antibody [EPR9442(ABC)] - BSA and Azide free - Mitochondrial Marker (AB231168)

Immunofluorescent analysis of 4% paraformaldehyde-fixed, 0.1% Triton X-100 permeabilized HepG2 (Human liver hepatocellular carcinoma) cells labeling COX IV with ab202554 at 1/1000 dilution, followed by Goat anti-rabbit IgG (Alexa Fluor® 488) (ab150077) secondary antibody at 1/500 dilution (green).

Cytoplasmic staining on HepG2 cells is observed.

The nuclear counter stain is DAPI (blue).

Tubulin is detected with ab7291 (anti-Tubulin mouse mAb) at 1/1000 dilution and ab150120 (AlexaFluor®594 Goat anti-Mouse secondary) at 1/500 dilution (red).

The negative controls are as follows :
-ve control 1 : ab202554 at 1/1000 dilution followed by ab150120 (AlexaFluor®594 Goat anti-Mouse secondary) at 1/500 dilution.
-ve control 2 : ab7291 (anti-Tubulin mouse mAb) at 1/1000 dilution followed by ab150077 (Alexa Fluor®488 Goat Anti-Rabbit IgG H&L) at 1/500 dilution.

This data was developed using the same antibody clone in a different buffer formulation containing PBS, BSA, glycerol, and sodium azide (ab202554).

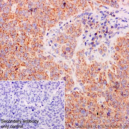
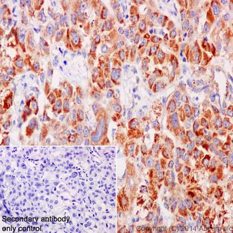
Immunohistochemistry (Formalin/PFA-fixed paraffin-embedded sections) - Anti-COX IV antibody [EPR9442(ABC)] - BSA and Azide free - Mitochondrial Marker (AB231168)
  • IHC-P

Supplier Data

Immunohistochemistry (Formalin/PFA-fixed paraffin-embedded sections) - Anti-COX IV antibody [EPR9442(ABC)] - BSA and Azide free - Mitochondrial Marker (AB231168)

This IHC data was generated using the same anti-COX IV antibody clone, EPR9442(ABC), in a different buffer formulation (cat# ab202554).

Immunohistochemical analysis of paraffin-embedded Human hepatocellular carcinoma tissue labeling COX IV with ab202554 at 1/500 dilution, followed by Goat Anti-Rabbit IgG H&L (HRP) (ab97051) secondary antibody at 1/500 dilution.

Cytoplasmic staining on Human hepatocellular carcinoma tissue is observed.

Counter stained with Hematoxylin.

Secondary antibody only control : Used PBS instead of primary antibody, secondary antibody is Goat Anti-Rabbit IgG H&L (HRP) (ab97051) at 1/500 dilution.

Heat mediated antigen retrieval was performed with Tris/EDTA buffer pH 9.0 before commencing with IHC staining protocol.

Flow Cytometry (Intracellular) - Anti-COX IV antibody [EPR9442(ABC)] - BSA and Azide free - Mitochondrial Marker (AB231168)
  • Flow Cyt (Intra)

Supplier Data

Flow Cytometry (Intracellular) - Anti-COX IV antibody [EPR9442(ABC)] - BSA and Azide free - Mitochondrial Marker (AB231168)

Intracellular flow cytometric analysis of 2% paraformaldehyde-fixed MCF7 (Human breast adenocarcinoma cell line) cells labeling COX IV with ab202554 at 1/20 dilution (red) compared with a rabbit monoclonal IgG isotype control (ab172730; black) and an unlabelled control (cells without incubation with primary antibody and secondary antibody; blue). Goat anti rabbit IgG (FITC) at 1/150 dilution was used as the secondary antibody.

This data was developed using the same antibody clone in a different buffer formulation containing PBS, BSA, glycerol, and sodium azide (ab202554).

Immunocytochemistry/ Immunofluorescence - Anti-COX IV antibody [EPR9442(ABC)] - BSA and Azide free - Mitochondrial Marker (AB231168)
  • ICC/IF

Lab

Immunocytochemistry/ Immunofluorescence - Anti-COX IV antibody [EPR9442(ABC)] - BSA and Azide free - Mitochondrial Marker (AB231168)

This ICC data was generated using the same anti-COX IV antibody clone, EPR9442(ABC), in a different buffer formulation (cat# ab202554).

Immunofluorescent analysis of 4% paraformaldehyde-fixed, 0.1% Triton X-100 permeabilized HeLa (Human epithelial cells from cervix adenocarcinoma) cells labeling COX IV with ab202554 at 1/1000 dilution, followed by Goat anti-rabbit IgG (Alexa Fluor® 488) (ab150077) secondary antibody at 1/500 dilution (green).

Cytoplasmic staining on HeLa cells is observed.

The nuclear counter stain is DAPI (blue).

Tubulin is detected with ab7291 (anti-Tubulin mouse mAb) at 1/1000 dilution and ab150120 (AlexaFluor®594 Goat anti-Mouse secondary) at 1/500 dilution (red).

The negative controls are as follows :
-ve control 1 : ab202554 at 1/1000 dilution followed by ab150120 (AlexaFluor®594 Goat anti-Mouse secondary) at 1/500 dilution.
-ve control 2 : ab7291 (anti-Tubulin mouse mAb) at 1/1000 dilution followed by ab150077 (Alexa Fluor®488 Goat Anti-Rabbit IgG H&L) at 1/500 dilution.

Immunohistochemistry (Formalin/PFA-fixed paraffin-embedded sections) - Anti-COX IV antibody [EPR9442(ABC)] - BSA and Azide free - Mitochondrial Marker (AB231168)
  • IHC-P

Supplier Data

Immunohistochemistry (Formalin/PFA-fixed paraffin-embedded sections) - Anti-COX IV antibody [EPR9442(ABC)] - BSA and Azide free - Mitochondrial Marker (AB231168)

Immunohistochemical analysis of paraffin-embedded Human cervix carcinoma tissue labeling COX IV with ab202554 at 1/500 dilution, followed by Goat Anti-Rabbit IgG H&L (HRP) (ab97051) secondary antibody at 1/500 dilution.

Cytoplasmic staining on Human cervix carcinoma tissue is observed. Counter stained with Hematoxylin.

Secondary antibody only control : Used PBS instead of primary antibody, secondary antibody is Goat Anti-Rabbit IgG H&L (HRP) (ab97051) at 1/500 dilution.

This data was developed using the same antibody clone in a different buffer formulation containing PBS, BSA, glycerol, and sodium azide (ab202554).

Heat mediated antigen retrieval was performed with Tris/EDTA buffer pH 9.0 before commencing with IHC staining protocol.

Multiplex immunohistochemistry - Anti-COX IV antibody [EPR9442(ABC)] - BSA and Azide free - Mitochondrial Marker (AB231168)
  • mIHC

Supplier Data

Multiplex immunohistochemistry - Anti-COX IV antibody [EPR9442(ABC)] - BSA and Azide free - Mitochondrial Marker (AB231168)

Multiplex immunohistochemistry analysis of formalin/PFA-fixed paraffin-embedded Human breast carcinoma tissue labeling BCAT2 with ab309514 at 1/5000 Panel A : merged staining of anti-BCAT2 (green; Opal™520) and anti-COX IV (red; Opal™570) on human breast carcinoma. Panel B : anti-BCAT2 stained on mitochondria. Panel C : anti-COX IV stained on mitochondria. The section was incubated in two rounds of staining : in the order of ab309514 and ab231168 for 30 mins at room temperature. Each round was followed by a separate fluorescent tyramide signal amplification system. The immunostaining was performed on a Leica Biosystems BOND® RX instrument with an Opal™ 4-color kit. Image acquisition was performed with Leica SP8 confocal microscope. Counterstained with DAPI. Heat mediated antigen retrieval was performed with Citrate buffer (pH 6.0, Epitope Retrieval Solution 1) for 20 mins

Multiplex immunohistochemistry - Anti-COX IV antibody [EPR9442(ABC)] - BSA and Azide free - Mitochondrial Marker (AB231168)
  • mIHC

Lab

Multiplex immunohistochemistry - Anti-COX IV antibody [EPR9442(ABC)] - BSA and Azide free - Mitochondrial Marker (AB231168)

This data was developed using the same antibody clone in a different buffer formulation containing PBS, BSA, glycerol, and sodium azide (ab202554).

Multiplex immunohistochemistry analysis of formalin/PFA-fixed paraffin-embedded Human cardiac muscle staining of GPT2 with ab322261 at a 1/2000 (0.261 µg/ml) dilution and COX IV with ab202554 at 1/500 (0.228 µg/ml) dilution followed by a ready to use secondary antibody Opal Polymer HRP Ms + Rb.

Panel A : merged staining of anti-GPT2 (green; Opal™570) and anti-COX IV (magenta; Opal™520) on human cardiac muscle.
Panel B : anti-GPT2 showed granular staining in human cardiac muscle.
Panel C : ant-COX IV showed granular staining in human cardiac muscle.
Panel D : Nuclear DNA was labeled with DAPI (shown in blue).

The section was incubated in three rounds of staining : in the order of ab322261 and ab202554 for 30 mins at room temperature. Each round was followed by a separate fluorescent tyramide signal amplification system.

Heat mediated antigen retrieval with Tris-EDTA buffer (pH 9.0, epitope retrieval solution2) for 20 mins

Multiplex immunohistochemistry - Anti-COX IV antibody [EPR9442(ABC)] - BSA and Azide free - Mitochondrial Marker (AB231168)
  • mIHC

Lab

Multiplex immunohistochemistry - Anti-COX IV antibody [EPR9442(ABC)] - BSA and Azide free - Mitochondrial Marker (AB231168)

This data was developed using the same antibody clone in a different buffer formulation containing PBS, BSA, glycerol, and sodium azide (ab202554).

Multiplex immunohistochemistry analysis of formalin/PFA-fixed paraffin-embedded Human kidney staining of GPT2 with ab322261 at a 1/2000 (0.261 µg/ml) dilution and COX IV with ab202554 at 1/500 (0.228 µg/ml) dilution followed by a ready to use secondary antibody Opal Polymer HRP Ms + Rb.

Panel A : merged staining of anti-GPT2 (green; Opal™570) and anti-COX IV (magenta; Opal™520) on human kidney.
Panel B : anti-GPT2 showed granular staining in human kidney.
Panel C : ant-COX IV showed granular staining in human kidney.
Panel D : Nuclear DNA was labeled with DAPI (shown in blue).

The section was incubated in three rounds of staining : in the order of ab322261 and ab202554 for 30 mins at room temperature. Each round was followed by a separate fluorescent tyramide signal amplification system.

Heat mediated antigen retrieval with Tris-EDTA buffer (pH 9.0, epitope retrieval solution2) for 20 mins

Multiplex immunohistochemistry - Anti-COX IV antibody [EPR9442(ABC)] - BSA and Azide free - Mitochondrial Marker (AB231168)
  • mIHC

Supplier Data

Multiplex immunohistochemistry - Anti-COX IV antibody [EPR9442(ABC)] - BSA and Azide free - Mitochondrial Marker (AB231168)

Multiplex immunohistochemistry analysis of formalin/PFA-fixed paraffin-embedded Human endometrium tissue labeling BCAT2 with ab309514 at 1/5000 Panel A : merged staining of anti-BCAT2 (green; Opal™520) and anti-COX IV (red; Opal™570) on human endometrium. Panel B : anti-BCAT2 stained on mitochondria. Panel C : anti-COX IV stained on mitochondria. The section was incubated in two rounds of staining : in the order of ab309514 and ab231168 for 30 mins at room temperature. Each round was followed by a separate fluorescent tyramide signal amplification system. The immunostaining was performed on a Leica Biosystems BOND® RX instrument with an Opal™ 4-color kit. Image acquisition was performed with Leica SP8 confocal microscope. Counterstained with DAPI. Heat mediated antigen retrieval was performed with Citrate buffer (pH 6.0, Epitope Retrieval Solution 1) for 20 mins

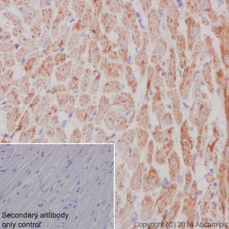
Immunohistochemistry (Formalin/PFA-fixed paraffin-embedded sections) - Anti-COX IV antibody [EPR9442(ABC)] - BSA and Azide free - Mitochondrial Marker (AB231168)
  • IHC-P

Supplier Data

Immunohistochemistry (Formalin/PFA-fixed paraffin-embedded sections) - Anti-COX IV antibody [EPR9442(ABC)] - BSA and Azide free - Mitochondrial Marker (AB231168)

Immunohistochemical analysis of paraffin-embedded Rat cardiac muscle tissue labeling COX IV with ab202554 at 1/500 dilution, followed by Goat Anti-Rabbit IgG H&L (HRP) (ab97051) secondary antibody at 1/500 dilution.

Cytoplasmic staining on Rat cardiac muscle tissue is observed.

Counter stained with Hematoxylin.

Secondary antibody only control : Used PBS instead of primary antibody, secondary antibody is Goat Anti-Rabbit IgG H&L (HRP) (ab97051) at 1/500 dilution.

This data was developed using the same antibody clone in a different buffer formulation containing PBS, BSA, glycerol, and sodium azide (ab202554).

Heat mediated antigen retrieval was performed with Tris/EDTA buffer pH 9.0 before commencing with IHC staining protocol.

Immunohistochemistry (Formalin/PFA-fixed paraffin-embedded sections) - Anti-COX IV antibody [EPR9442(ABC)] - BSA and Azide free - Mitochondrial Marker (AB231168)
  • IHC-P

Supplier Data

Immunohistochemistry (Formalin/PFA-fixed paraffin-embedded sections) - Anti-COX IV antibody [EPR9442(ABC)] - BSA and Azide free - Mitochondrial Marker (AB231168)

Immunohistochemical analysis of paraffin-embedded Mouse kidney tissue labeling COX IV with ab202554 at 1/500 dilution, followed by Goat Anti-Rabbit IgG H&L (HRP) (ab97051) secondary antibody at 1/500 dilution.

Cytoplasmic staining on mouse kidney tissue is observed. Counter stained with Hematoxylin.

Secondary antibody only control : Used PBS instead of primary antibody, secondary antibody is Goat Anti-Rabbit IgG H&L (HRP) (ab97051) at 1/500 dilution.

This data was developed using the same antibody clone in a different buffer formulation containing PBS, BSA, glycerol, and sodium azide (ab202554).

Heat mediated antigen retrieval was performed with Tris/EDTA buffer pH 9.0 before commencing with IHC staining protocol.

Immunoprecipitation - Anti-COX IV antibody [EPR9442(ABC)] - BSA and Azide free - Mitochondrial Marker (AB231168)
  • IP

Supplier Data

Immunoprecipitation - Anti-COX IV antibody [EPR9442(ABC)] - BSA and Azide free - Mitochondrial Marker (AB231168)

COX IV was immunoprecipitated from 1mg of Human fetal heart whole cell lysate with ab202554 at 1/20 dilution.

Western blot was performed from the immunoprecipitate using ab202554 at 1/1000 dilution.

VeriBlot for IP Detection Reagent (HRP) (ab131366) was used for detection at 1/1500 dilution.

Lane 1 : Human fetal heart whole cell lysate 10 μg (Input).

Lane 2 : ab202554 IP in Human fetal heart whole cell lysate.

Lane 3 : Rabbit monoclonal IgG (ab172730) instead of ab202554 in Human fetal heart whole cell lysate.
Blocking and dilution buffer and concentration : 5% NFDM/TBST.

Exposure time : 3 seconds.

This data was developed using the same antibody clone in a different buffer formulation containing PBS, BSA, glycerol, and sodium azide (ab202554).

All lanes:

Immunoprecipitation - Anti-COX IV antibody [EPR9442(ABC)] - Mitochondrial Loading Control (<a href='/en-us/products/primary-antibodies/cox-iv-antibody-epr9442abc-mitochondrial-loading-control-ab202554'>ab202554</a>)

Predicted band size: 19 kDa,22 kDa

false

  • Unconjugated

    Anti-COX IV antibody [EPR9442(ABC)] - Mitochondrial Loading Control

Key facts

Host species

Rabbit

Clonality

Monoclonal

Clone number

EPR9442(ABC)

Isotype

IgG

Carrier free

Yes

Reacts with

Mouse, Rat, Human

Applications

mIHC, Flow Cyt (Intra), ICC/IF, WB, IP, IHC-P

applications

Immunogen

The exact immunogen used to generate this antibody is proprietary information.

Reactivity data

{ "title": "Reactivity Data", "filters": { "stats": ["", "Species", "Dilution Info", "Notes"], "tabs": { "all-applications": {"fullname" : "All Applications", "shortname": "All Applications"}, "IP" : {"fullname" : "Immunoprecipitation", "shortname":"IP"}, "WB" : {"fullname" : "Western blot", "shortname":"WB"}, "ICCIF" : {"fullname" : "Immunocytochemistry/ Immunofluorescence", "shortname":"ICC/IF"}, "FlowCytIntra" : {"fullname" : "Flow Cytometry (Intracellular)", "shortname":"Flow Cyt (Intra)"}, "IHCP" : {"fullname" : "Immunohistochemistry (Formalin/PFA-fixed paraffin-embedded sections)", "shortname":"IHC-P"}, "mIHC" : {"fullname" : "Multiplex immunohistochemistry", "shortname":"mIHC"} }, "product-promise": { "all": "all", "testedAndGuaranteed": "tested", "guaranteed": "expected", "predicted": "predicted", "notRecommended": "not-recommended" } }, "values": { "Human": { "IP-species-checked": "testedAndGuaranteed", "IP-species-dilution-info": "", "IP-species-notes": "<p></p>", "WB-species-checked": "guaranteed", "WB-species-dilution-info": "", "WB-species-notes": "<p></p>", "ICCIF-species-checked": "testedAndGuaranteed", "ICCIF-species-dilution-info": "", "ICCIF-species-notes": "<p></p>", "FlowCytIntra-species-checked": "testedAndGuaranteed", "FlowCytIntra-species-dilution-info": "", "FlowCytIntra-species-notes": "<p><a href='/en-us/products/primary-antibodies/rabbit-igg-monoclonal-epr25a-isotype-control-low-endotoxin-azide-free-ab199376'>ab199376</a> - Rabbit monoclonal IgG (Low endotoxin, Azide free), is suitable for use as an isotype control with this antibody.</p>", "IHCP-species-checked": "testedAndGuaranteed", "IHCP-species-dilution-info": "", "IHCP-species-notes": "<p></p>", "mIHC-species-checked": "testedAndGuaranteed", "mIHC-species-dilution-info": "", "mIHC-species-notes": "<p></p>" }, "Mouse": { "IP-species-checked": "predicted", "IP-species-dilution-info": "", "IP-species-notes": "", "WB-species-checked": "guaranteed", "WB-species-dilution-info": "", "WB-species-notes": "<p></p>", "ICCIF-species-checked": "predicted", "ICCIF-species-dilution-info": "", "ICCIF-species-notes": "", "FlowCytIntra-species-checked": "predicted", "FlowCytIntra-species-dilution-info": "", "FlowCytIntra-species-notes": "", "IHCP-species-checked": "predicted", "IHCP-species-dilution-info": "", "IHCP-species-notes": "", "mIHC-species-checked": "predicted", "mIHC-species-dilution-info": "", "mIHC-species-notes": "" }, "Rat": { "IP-species-checked": "predicted", "IP-species-dilution-info": "", "IP-species-notes": "", "WB-species-checked": "guaranteed", "WB-species-dilution-info": "", "WB-species-notes": "<p></p>", "ICCIF-species-checked": "predicted", "ICCIF-species-dilution-info": "", "ICCIF-species-notes": "", "FlowCytIntra-species-checked": "predicted", "FlowCytIntra-species-dilution-info": "", "FlowCytIntra-species-notes": "", "IHCP-species-checked": "predicted", "IHCP-species-dilution-info": "", "IHCP-species-notes": "", "mIHC-species-checked": "predicted", "mIHC-species-dilution-info": "", "mIHC-species-notes": "" } } }

Product details

ab231168 is the carrier-free version of ab202554.

Conjugation ready
Our carrier-free antibodies are typically supplied in a PBS-only formulation, purified and free of BSA, sodium azide and glycerol. This conjugation-ready format is designed for use with fluorochromes, metal isotopes, oligonucleotides, and enzymes, which makes them ideal for antibody labelling, functional and cell-based assays, flow-based assays (e.g. mass cytometry) and Multiplex Imaging applications.

Use our conjugation kits for antibody conjugates that are ready-to-use in as little as 20 minutes with 1 minute hands-on-time and 100% antibody recovery: available for fluorescent dyes, HRP, biotin and gold.

Compatibility
This product is compatible with the Maxpar® Antibody Labeling Kit from Fluidigm, without the need for antibody preparation. Maxpar® is a trademark of Fluidigm Canada Inc.

Properties and storage information

Form
Liquid
Purification technique
Affinity purification Protein A
Storage buffer
pH: 7.2 - 7.4 Constituents: PBS
Shipped at conditions
Blue Ice
Appropriate short-term storage conditions
+4°C
Appropriate long-term storage conditions
+4°C
Storage information
Do Not Freeze

Supplementary information

This supplementary information is collated from multiple sources and compiled automatically.

Cytochrome c oxidase subunit IV commonly known as COX IV is a component of the enzyme complex located in the inner mitochondrial membrane. COX IV has a molecular weight of approximately 17 kDa and serves as a subunit of the larger cytochrome c oxidase complex which is essential in cellular respiration. As a mitochondrial marker COX IV is expressed in various tissues where it acts as an important player in the electron transport chain. The presence and function of COX IV are critical in facilitating the last step of the mitochondrial respiratory chain.
Biological function summary

COX IV acts as a significant part of the cytochrome c oxidase complex helping catalyze the reduction of oxygen to water. This process is an important step in the overall mechanism of oxidative phosphorylation. COX IV's role in this complex enables the proton gradient generation across the inner mitochondrial membrane which is necessary for ATP synthesis. Its activity regulates the efficiency of cellular respiration impacting energy production and metabolic activities within cells.

Pathways

COX IV functionally interacts within the oxidative phosphorylation and electron transport chain pathways. Its coordination with other proteins like COX I and COX II in the cytochrome c oxidase complex ensures proper electron transfer to oxygen. Additionally COX IV is implicated in the regulation of reactive oxygen species maintaining cellular homeostasis. These pathways interconnect with broader cellular mechanisms that involve energy metabolism and apoptosis.

COX IV has been linked to mitochondrial disorders where defects in the oxidative phosphorylation processes can lead to conditions such as mitochondrial encephalomyopathy. Abnormalities in COX IV function and expression can also contribute to neurodegenerative diseases including Parkinson's disease. Here interactions with proteins like superoxide dismutase (SOD) highlight how oxidative stress and mitochondrial dysfunction relate closely to disease progression. These associations underline the importance of COX IV in maintaining cellular and organismal health.

Product protocols

For this product, it's our understanding that no specific protocols are required. You can visit:

Target data

Component of the cytochrome c oxidase, the last enzyme in the mitochondrial electron transport chain which drives oxidative phosphorylation. The respiratory chain contains 3 multisubunit complexes succinate dehydrogenase (complex II, CII), ubiquinol-cytochrome c oxidoreductase (cytochrome b-c1 complex, complex III, CIII) and cytochrome c oxidase (complex IV, CIV), that cooperate to transfer electrons derived from NADH and succinate to molecular oxygen, creating an electrochemical gradient over the inner membrane that drives transmembrane transport and the ATP synthase. Cytochrome c oxidase is the component of the respiratory chain that catalyzes the reduction of oxygen to water. Electrons originating from reduced cytochrome c in the intermembrane space (IMS) are transferred via the dinuclear copper A center (CU(A)) of subunit 2 and heme A of subunit 1 to the active site in subunit 1, a binuclear center (BNC) formed by heme A3 and copper B (CU(B)). The BNC reduces molecular oxygen to 2 water molecules using 4 electrons from cytochrome c in the IMS and 4 protons from the mitochondrial matrix.
See full target information COX4I1

Product promise

We are committed to supporting your work with high-quality reagents, and we're here for you every step of the way. In the unlikely event that one of our products does not perform as expected, you're protected by our Product Promise.
For full details, please see our Terms & Conditions

Please note: All products are 'FOR RESEARCH USE ONLY. NOT FOR USE IN DIAGNOSTIC OR THERAPEUTIC PROCEDURES'.

For licensing inquiries, please contact partnerships@abcam.com