JavaScript is disabled in your browser. Please enable JavaScript to view this website.
AB227528

Anti-COX2 / Cyclooxygenase 2 antibody [EPR12012] - BSA and Azide free

3

(1 Review)

|

(3 Publications)

Rabbit Recombinant Monoclonal COX2 / Cyclooxygenase 2 antibody. Carrier free. Suitable for ICC/IF, WB, IP, IHC-P and reacts with Human, Mouse, Rat samples. Cited in 3 publications.

View Alternative Names

COX2, PTGS2, Prostaglandin G/H synthase 2, Cyclooxygenase-2, PHS II, Prostaglandin H2 synthase 2, Prostaglandin-endoperoxide synthase 2, COX-2, PGH synthase 2, PGHS-2

15 Images
Immunohistochemistry (Formalin/PFA-fixed paraffin-embedded sections) - Anti-COX2 / Cyclooxygenase 2 antibody [EPR12012] - BSA and Azide free (AB227528)
  • IHC-P

Lab

Immunohistochemistry (Formalin/PFA-fixed paraffin-embedded sections) - Anti-COX2 / Cyclooxygenase 2 antibody [EPR12012] - BSA and Azide free (AB227528)

This data was developed using ab179800, the same antibody clone in a different buffer formulation.

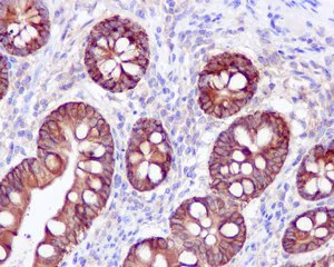
Immunohistochemical analysis of formalin fixed paraffin embedded human colon labelling COX2/ Cyclooxygenase 2 with ab179800 at a concentration of 0.01µg/ml. The immunostaining was performed on a Ventana DISCOVERY ULTRA (Roche Tissue Diagnostics) instrument with a OptiView DAB IHC Detection Kit. Heat mediated antigen retrieval was performed with DISCOVERY cell conditioning solution (CC1) 100°C, pH8.5 for 32mins.

ab179800 Anti-COX2/Cyclooxygenase 2 antibody [EPR12012] was incubated for 16mins at 37°C. Sections were counterstained with Hematoxylin II. Image inset shows absence of staining in secondary antibody only control.

Customers are encouraged to optimise antigen retrieval conditions, antibody concentration, incubation times and temperature for best results in their own IHC assay workflow (automated and manual).

Immunohistochemistry (Formalin/PFA-fixed paraffin-embedded sections) - Anti-COX2 / Cyclooxygenase 2 antibody [EPR12012] - BSA and Azide free (AB227528)
  • IHC-P

Supplier Data

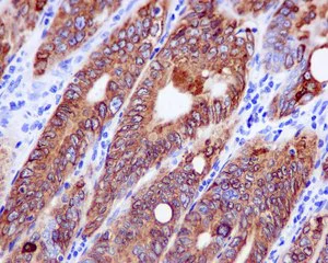
Immunohistochemistry (Formalin/PFA-fixed paraffin-embedded sections) - Anti-COX2 / Cyclooxygenase 2 antibody [EPR12012] - BSA and Azide free (AB227528)

Immunohistochemistry (Formalin/PFA-fixed paraffin-embedded) analysis of human colon tissue labeling COX2 / Cyclooxygenase 2 with unpurified ab179800 at a dilution of 1/250.

This data was developed using the same antibody clone in a different buffer formulation containing PBS, BSA, glycerol, and sodium azide (ab179800).

Perform heat mediated antigen retrieval before commencing with IHC staining protocol.

Immunohistochemistry (Formalin/PFA-fixed paraffin-embedded sections) - Anti-COX2 / Cyclooxygenase 2 antibody [EPR12012] - BSA and Azide free (AB227528)
  • IHC-P

Supplier Data

Immunohistochemistry (Formalin/PFA-fixed paraffin-embedded sections) - Anti-COX2 / Cyclooxygenase 2 antibody [EPR12012] - BSA and Azide free (AB227528)

This IHC data was generated using the same anti-COX2 / Cyclooxygenase 2 antibody clone, EPR12012, in a different buffer formulation (cat# ab179800).

Immunohistochemistry (Formalin/PFA-fixed paraffin-embedded sections) analysis of human colonic carcinoma tissue labelling COX2 with unpurified ab179800 at a dilution of 1/250.

Perform heat mediated antigen retrieval before commencing with IHC staining protocol.

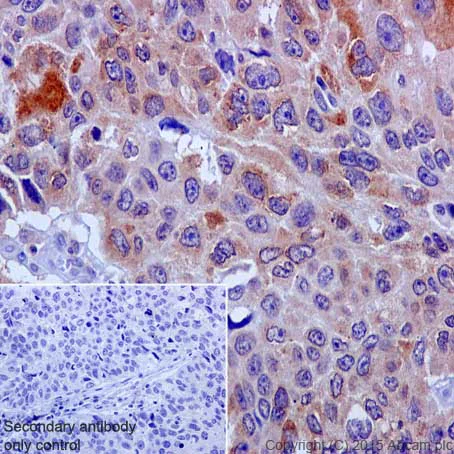
Immunohistochemistry (Formalin/PFA-fixed paraffin-embedded sections) - Anti-COX2 / Cyclooxygenase 2 antibody [EPR12012] - BSA and Azide free (AB227528)
  • IHC-P

Lab

Immunohistochemistry (Formalin/PFA-fixed paraffin-embedded sections) - Anti-COX2 / Cyclooxygenase 2 antibody [EPR12012] - BSA and Azide free (AB227528)

Immunohistochemistry (Formalin/PFA-fixed paraffin-embedded sections) analysis of human lung carcinoma tissue labelling COX2 / Cyclooxygenase 2 with purified ab179800 at 1/100. Heat mediated antigen retrieval was performed using Tris/EDTA buffer pH 9. ab97051, a HRP-conjugated goat anti-rabbit IgG (H+L) was used as the secondary antibody (1/500). Negative control using PBS instead of primary antibody. Counterstained with hematoxylin.

This data was developed using the same antibody clone in a different buffer formulation containing PBS, BSA, glycerol, and sodium azide (ab179800).

Immunohistochemistry (Formalin/PFA-fixed paraffin-embedded sections) - Anti-COX2 / Cyclooxygenase 2 antibody [EPR12012] - BSA and Azide free (AB227528)
  • IHC-P

Supplier Data

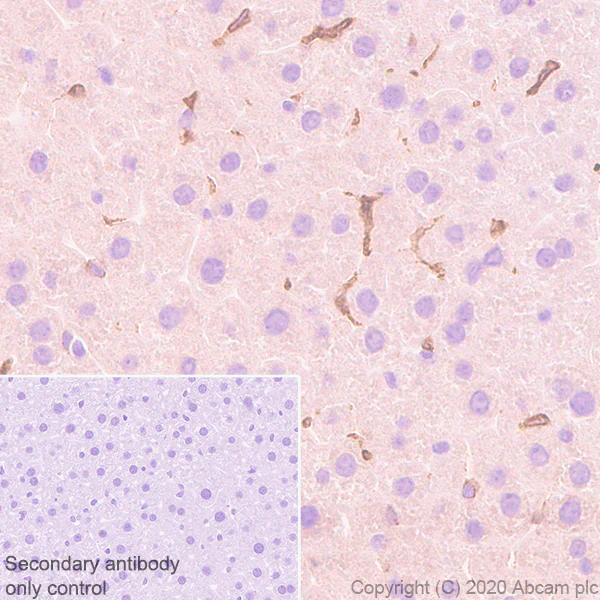
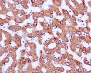
Immunohistochemistry (Formalin/PFA-fixed paraffin-embedded sections) - Anti-COX2 / Cyclooxygenase 2 antibody [EPR12012] - BSA and Azide free (AB227528)

Immunohistochemistry (Formalin/PFA-fixed paraffin-embedded) analysis of human liver tissue labelling COX2 / Cyclooxygenase 2 with unpurified ab179800 at a dilution of 1/250.

This data was developed using the same antibody clone in a different buffer formulation containing PBS, BSA, glycerol, and sodium azide (ab179800).

Perform heat mediated antigen retrieval before commencing with IHC staining protocol.

Immunoprecipitation - Anti-COX2 / Cyclooxygenase 2 antibody [EPR12012] - BSA and Azide free (AB227528)
  • IP

Supplier Data

Immunoprecipitation - Anti-COX2 / Cyclooxygenase 2 antibody [EPR12012] - BSA and Azide free (AB227528)

Western blot analysis on immunoprecipitation pellet from A549 cell lysate using unpurified ab179800.

This data was developed using the same antibody clone in a different buffer formulation containing PBS, BSA, glycerol, and sodium azide (ab179800).

All lanes:

Immunoprecipitation - Anti-COX2 / Cyclooxygenase 2 antibody [EPR12012] (<a href='/en-us/products/primary-antibodies/cox2-cyclooxygenase-2-antibody-epr12012-ab179800'>ab179800</a>)

Predicted band size: 69 kDa

false

Immunoprecipitation - Anti-COX2 / Cyclooxygenase 2 antibody [EPR12012] - BSA and Azide free (AB227528)
  • IP

Lab

Immunoprecipitation - Anti-COX2 / Cyclooxygenase 2 antibody [EPR12012] - BSA and Azide free (AB227528)

ab179800 (purified) at 1/30 immunoprecipitating COX2 in A549 whole cell lysate.

Lane 1 (input) : A549 whole cell lysate (10µg)

Lane 2 (+) : ab179800 + A549 whole cell lysate.

Lane 3 (-) : Rabbit monoclonal IgG (ab172730) instead of ab179800 in A549 whole cell lysate.

For western blotting, HRP-conjugated anti-rabbit IgG, specific for the reduced form of IgG, was used as the secondary antibody (1/1500).

Blocking buffer and concentration : 5% NFDM/TBST.

Diluting buffer and concentration : 5% NFDM /TBST.

This data was developed using the same antibody clone in a different buffer formulation containing PBS, BSA, glycerol, and sodium azide (ab179800).

All lanes:

Immunoprecipitation - Anti-COX2 / Cyclooxygenase 2 antibody [EPR12012] (<a href='/en-us/products/primary-antibodies/cox2-cyclooxygenase-2-antibody-epr12012-ab179800'>ab179800</a>)

Predicted band size: 69 kDa

Observed band size: 79 kDa

false

Immunohistochemistry (Formalin/PFA-fixed paraffin-embedded sections) - Anti-COX2 / Cyclooxygenase 2 antibody [EPR12012] - BSA and Azide free (AB227528)
  • IHC-P

Unknown

Immunohistochemistry (Formalin/PFA-fixed paraffin-embedded sections) - Anti-COX2 / Cyclooxygenase 2 antibody [EPR12012] - BSA and Azide free (AB227528)

Immunohistochemistry (Formalin/PFA-fixed paraffin-embedded sections) analysis of mouse liver tissue sections labeling COX2 / Cyclooxygenase 2 with purified ab179800 at 1/4000 dilution (0.125 µg/ml).
Heat mediated antigen retrieval was performed with Tris-EDTA buffer (pH 9.0, epitope retrieval solution2) for 20 mins. Rabbit specific IHC polymer detection kit HRP/DAB (ab209101) was used as the secondary antibody. Negative control : secondary antibody only control. Hematoxylin was used as a counterstain.
This data was developed using the same antibody clone in a different buffer formulation containing PBS, BSA, glycerol, and sodium azide (ab179800)

Immunohistochemistry (Formalin/PFA-fixed paraffin-embedded sections) - Anti-COX2 / Cyclooxygenase 2 antibody [EPR12012] - BSA and Azide free (AB227528)
  • IHC-P

Lab

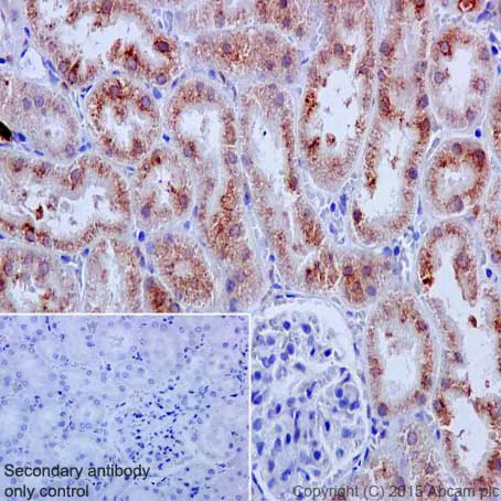
Immunohistochemistry (Formalin/PFA-fixed paraffin-embedded sections) - Anti-COX2 / Cyclooxygenase 2 antibody [EPR12012] - BSA and Azide free (AB227528)

Immunohistochemistry (Formalin/PFA-fixed paraffin-embedded sections) analysis of rat kidney tissue labelling COX2 / Cyclooxygenase 2 with purified ab179800 at 1/100. Heat mediated antigen retrieval was performed using Tris/EDTA buffer pH 9. ab97051, a HRP-conjugated goat anti-rabbit IgG (H+L) was used as the secondary antibody (1/500). Negative control using PBS instead of primary antibody. Counterstained with hematoxylin.

This data was developed using the same antibody clone in a different buffer formulation containing PBS, BSA, glycerol, and sodium azide (ab179800).

Immunohistochemistry (Formalin/PFA-fixed paraffin-embedded sections) - Anti-COX2 / Cyclooxygenase 2 antibody [EPR12012] - BSA and Azide free (AB227528)
  • IHC-P

Unknown

Immunohistochemistry (Formalin/PFA-fixed paraffin-embedded sections) - Anti-COX2 / Cyclooxygenase 2 antibody [EPR12012] - BSA and Azide free (AB227528)

Immunohistochemistry (Formalin/PFA-fixed paraffin-embedded sections) analysis of mouse kidney tissue sections labeling COX2 / Cyclooxygenase 2 with purified ab179800 at 1/4000 dilution (0.125 µg/ml).
Heat mediated antigen retrieval was performed with Tris-EDTA buffer (pH 9.0, epitope retrieval solution2) for 20 mins. Rabbit specific IHC polymer detection kit HRP/DAB (ab209101) was used as the secondary antibody. Negative control : secondary antibody only control. Hematoxylin was used as a counterstain.
This data was developed using the same antibody clone in a different buffer formulation containing PBS, BSA, glycerol, and sodium azide (ab179800)

Western blot - Anti-COX2 / Cyclooxygenase 2 antibody [EPR12012] - BSA and Azide free (AB227528)
  • WB

Lab

Western blot - Anti-COX2 / Cyclooxygenase 2 antibody [EPR12012] - BSA and Azide free (AB227528)

Western blot : Anti-PTGS2 antibody [EPR12012] (ab179800) staining at 1/1000 dilution, shown in green; Mouse anti-GAPDH antibody [6C5] (ab8245) loading control staining at 1/20000 dilution, shown in red. In Western blot, ab179800 was shown to bind specifically to PTGS2. A band was observed at 69 kDa in wild-type RAW 264.7 cell lysates with no signal observed at this size in PTGS2 knockout cell line. To generate this image, wild-type and PTGS2 knockout RAW 264.7 cell lysates were analysed. First, samples were run on an SDS-PAGE gel then transferred onto a nitrocellulose membrane. Membranes were blocked in 3% milk in TBS-0.1% Tween® 20 (TBS-T) before incubation with primary antibodies overnight at 4°C. Blots were washed four times in TBS-T, incubated with secondary antibodies for 1 h at room temperature, washed again four times then imaged. Secondary antibodies used were Goat anti-Rabbit IgG H&L 800CW and Goat anti-Mouse IgG H&L 680RD at 1/20000 dilution. This data was developed using the same antibody clone in a different buffer formulation (ab179800).

Lanes 1 - 4:

Western blot - Anti-COX2 / Cyclooxygenase 2 antibody [EPR12012] (<a href='/en-us/products/primary-antibodies/cox2-cyclooxygenase-2-antibody-epr12012-ab179800'>ab179800</a>) at 1/1000 dilution

Lanes 1 - 4:

Western blot - Anti-COX2 / Cyclooxygenase 2 antibody [EPR12012] - BSA and Azide free (ab227528)

Lane 1:

RAW 264.7 Control LPS (0 ng/mL, 4 h) cell lysate at 20 µg

Lane 2:

RAW 264.7 Treated LPS (100 ng/mL, 4 h) cell lysate at 20 µg

Lane 3:

Wild-type A549 ab277305 cell lysate at 20 µg

Lane 4:

PTGS2 knockout A549 ab283802 cell lysate at 20 µg

Observed band size: 69 kDa

false

Western blot - Anti-COX2 / Cyclooxygenase 2 antibody [EPR12012] - BSA and Azide free (AB227528)
  • WB

Lab

Western blot - Anti-COX2 / Cyclooxygenase 2 antibody [EPR12012] - BSA and Azide free (AB227528)

Exposure time : lane 1 : 180 seconds, lane 2 : 140 seconds. We recommend using a higher sensitive ECL substrate to increase the band intensity This data was developed using the same antibody clone in a different buffer formulation (ab179800).

All lanes:

Western blot - Anti-COX2 / Cyclooxygenase 2 antibody [EPR12012] (<a href='/en-us/products/primary-antibodies/cox2-cyclooxygenase-2-antibody-epr12012-ab179800'>ab179800</a>) at 1/1000 dilution

All lanes:

A549 (Human lung carcinoma epithelial cell) whole cell lysate at 20 µg

Secondary

All lanes:

Western blot - Goat Anti-Rabbit IgG H&L (HRP) (<a href='/en-us/products/secondary-antibodies/goat-rabbit-igg-h-l-hrp-ab97051'>ab97051</a>) at 1/20000 dilution

false

Western blot - Anti-COX2 / Cyclooxygenase 2 antibody [EPR12012] - BSA and Azide free (AB227528)
  • WB

Lab

Western blot - Anti-COX2 / Cyclooxygenase 2 antibody [EPR12012] - BSA and Azide free (AB227528)

False colour image of Western blot : Anti-COX2 / Cyclooxygenase 2 antibody [EPR12012] staining at 1/1000 dilution, shown in green; Mouse anti-GAPDH antibody [6C5] (ab8245) loading control staining at 1/20000 dilution, shown in red. In Western blot, ab179800 was shown to bind specifically to COX2 / Cyclooxygenase 2. A band was observed at 75 kDa in wild-type A549 cell lysates with no signal observed at this size in PTGS2 knockout cell line ab280802 (knockout cell lysate ab283825). To generate this image, wild-type and PTGS2 knockout A549 cell lysates were analysed. First, samples were run on an SDS-PAGE gel then transferred onto a nitrocellulose membrane. Membranes were blocked in fluorescent western blot (TBS-based) blocking solution before incubation with primary antibodies overnight at 4 °C. Blots were washed four times in TBS-T, incubated with secondary antibodies for 1 h at room temperature, washed again four times then imaged. Secondary antibodies used were Goat anti-Rabbit IgG H&L (IRDye® 800CW) preabsorbed (ab216773) and Goat anti-Mouse IgG H&L (IRDye® 680RD) preabsorbed (ab216776) at 1/20000 dilution.

This data was developed using the same antibody clone in a different buffer formulation (ab179800).

All lanes:

Western blot - Anti-COX2 / Cyclooxygenase 2 antibody [EPR12012] (<a href='/en-us/products/primary-antibodies/cox2-cyclooxygenase-2-antibody-epr12012-ab179800'>ab179800</a>) at 1/1000 dilution

Lane 1:

Wild-type A549 cell lysate at 20 µg

Lane 2:

PTGS2 knockout A549 cell lysate at 20 µg

Lane 2:

Western blot - Human PTGS2 (COX2 / Cyclooxygenase 2) knockout A549 cell line (<a href='/en-us/products/cell-lines/human-ptgs2-cox2-cyclooxygenase-2-knockout-a549-cell-line-ab280802'>ab280802</a>)

Lane 3:

U-87 MG cell lysate at 20 µg

Lane 4:

MOLT-4 cell lysate at 20 µg

Predicted band size: 69 kDa

false

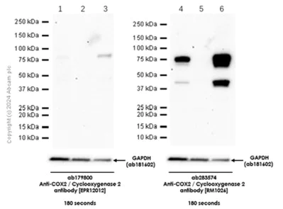
Western blot - Anti-COX2 / Cyclooxygenase 2 antibody [EPR12012] - BSA and Azide free (AB227528)
  • WB

Lab

Western blot - Anti-COX2 / Cyclooxygenase 2 antibody [EPR12012] - BSA and Azide free (AB227528)

Compared with ab179800ab283574 has higher sensitivity, we recommend ab283574 as an alternative for testing COX2 in western blot.

ab181602 was used as a loading control at a 1/1000000 dilution.

Blocking and dilution buffer : 5% NFDM/TBST.

This data was developed using the same antibody clone in a different buffer formulation (ab179800).

Lanes 1 - 3:

Western blot - Anti-COX2 / Cyclooxygenase 2 antibody [EPR12012] (<a href='/en-us/products/primary-antibodies/cox2-cyclooxygenase-2-antibody-epr12012-ab179800'>ab179800</a>) at 1/1000 dilution

Lanes 4 - 6:

Western blot - Anti-COX2 / Cyclooxygenase 2 antibody [RM1026] (<a href='/en-us/products/primary-antibodies/cox2-cyclooxygenase-2-antibody-rm1026-ab283574'>ab283574</a>) at 1/1000 dilution

Lanes 1 and 3:

Wild-type HeLa (human cervix adenocarcinoma epithelial cell) whole cell lysate at 20 µg

Lanes 2 and 4:

PTGS2 knockout HeLa (human cervix adenocarcinoma epithelial cell) whole cell lysate at 20 µg

Lanes 3 and 6:

A549 (Human lung carcinoma epithelial cell) whole cell lysate at 20 µg

Secondary

All lanes:

Western blot - Goat Anti-Rabbit IgG H&L (HRP) (<a href='/en-us/products/secondary-antibodies/goat-rabbit-igg-h-l-hrp-ab97051'>ab97051</a>) at 1/20000 dilution

Predicted band size: 69 kDa

Observed band size: 75 kDa

false

Exposure time: 180s

Western blot - Anti-COX2 / Cyclooxygenase 2 antibody [EPR12012] - BSA and Azide free (AB227528)
  • WB

Lab

Western blot - Anti-COX2 / Cyclooxygenase 2 antibody [EPR12012] - BSA and Azide free (AB227528)

Blocking buffer and concentration : 5% NFDM/TBST  Diluting buffer and concentration : 5% NFDM/TBST COX2 is expressed at a low level in Raw264.7, mouse retina, hippocampus, heart, kidney etc. (PMID : 22015457, PMID : 26001832, PMID : 23045674, PMID : 33737575). This data was developed using the same antibody clone in a different buffer formulation (ab179800). The WB is using a higher sensitivity ECL substrate.

All lanes:

Western blot - Anti-COX2 / Cyclooxygenase 2 antibody [EPR12012] (<a href='/en-us/products/primary-antibodies/cox2-cyclooxygenase-2-antibody-epr12012-ab179800'>ab179800</a>) at 1/1000 dilution

Lane 1:

B16-F10 (Mouse skin melanoma) whole cell lysate at 20 µg

Lane 2:

Raw 264.7 (Mouse Abelson murine leukemia virus-induced tumor macrophage) whole cell lysate at 20 µg

Lane 3:

Mouse retina tissue lysate at 20 µg

Lane 4:

Mouse hippocampus tissue lysate at 20 µg

Lane 5:

Mouse heart tissue lysate at 20 µg

Lane 6:

Mouse kidney tissue lysate at 20 µg

Secondary

All lanes:

Western blot - Goat Anti-Rabbit IgG H&L (HRP) (<a href='/en-us/products/secondary-antibodies/goat-rabbit-igg-h-l-hrp-ab97051'>ab97051</a>) at 1/20000 dilution

Predicted band size: 69 kDa

Observed band size: 72 kDa

false

Exposure time: 60s

  • Unconjugated

    Anti-COX2 / Cyclooxygenase 2 antibody [EPR12012]

  • 519 Alexa Fluor® 488

    Alexa Fluor® 488 Anti-COX2 / Cyclooxygenase 2 antibody [EPR12012]

  • 603 Alexa Fluor® 568

    Alexa Fluor® 568 Anti-COX2 / Cyclooxygenase 2 antibody [EPR12012]

  • 775 Alexa Fluor® 750

    Alexa Fluor® 750 Anti-COX2 / Cyclooxygenase 2 antibody [EPR12012]

  • Biotin

    Biotin Anti-COX2 / Cyclooxygenase 2 antibody [EPR12012]

  • 665 Alexa Fluor® 647

    Alexa Fluor® 647 Anti-COX2 / Cyclooxygenase 2 antibody [EPR12012]

  • 617 Alexa Fluor® 594

    Alexa Fluor® 594 Anti-COX2 / Cyclooxygenase 2 antibody [EPR12012]

  • 565 Alexa Fluor® 555

    Alexa Fluor® 555 Anti-COX2 / Cyclooxygenase 2 antibody [EPR12012]

Key facts

Host species

Rabbit

Clonality

Monoclonal

Clone number

EPR12012

Isotype

IgG

Carrier free

Yes

Reacts with

Mouse, Rat, Human

Applications

IP, WB, ICC/IF, IHC-P

applications

Immunogen

The exact immunogen used to generate this antibody is proprietary information.

Specificity

Stimulation is required to allow detection of the COX2 protein in some cell lines and tissues. It is better to use a positive control side by side when testing.

Rat species is recommended based on IHC result, we do not guarantee WB, IP and ICC/IF for Rat.

For western blot application, this antibody has low sensitivity issue. We suggest optimizing experimental protocols (increasing lysate amount, using lower antibody dilution or higher sensitivity ECL substrate) to improve results. We also recommend ab283574 as an alternative for testing COX2 in western blot.

Reactivity data

{ "title": "Reactivity Data", "filters": { "stats": ["", "Species", "Dilution Info", "Notes"], "tabs": { "all-applications": {"fullname" : "All Applications", "shortname": "All Applications"}, "ICCIF" : {"fullname" : "Immunocytochemistry/ Immunofluorescence", "shortname":"ICC/IF"}, "WB" : {"fullname" : "Western blot", "shortname":"WB"}, "IP" : {"fullname" : "Immunoprecipitation", "shortname":"IP"}, "IHCP" : {"fullname" : "Immunohistochemistry (Formalin/PFA-fixed paraffin-embedded sections)", "shortname":"IHC-P"}, "FlowCyt" : {"fullname" : "Flow Cytometry", "shortname":"Flow Cyt"} }, "product-promise": { "all": "all", "testedAndGuaranteed": "tested", "guaranteed": "expected", "predicted": "predicted", "notRecommended": "not-recommended" } }, "values": { "Human": { "ICCIF-species-checked": "guaranteed", "ICCIF-species-dilution-info": "", "ICCIF-species-notes": "<p></p>", "WB-species-checked": "testedAndGuaranteed", "WB-species-dilution-info": "", "WB-species-notes": "<p></p>", "IP-species-checked": "testedAndGuaranteed", "IP-species-dilution-info": "", "IP-species-notes": "<p></p>", "IHCP-species-checked": "testedAndGuaranteed", "IHCP-species-dilution-info": "", "IHCP-species-notes": "<p></p>", "FlowCyt-species-checked": "notRecommended", "FlowCyt-species-dilution-info": "", "FlowCyt-species-notes": "<p></p>" }, "Mouse": { "ICCIF-species-checked": "guaranteed", "ICCIF-species-dilution-info": "", "ICCIF-species-notes": "<p></p>", "WB-species-checked": "testedAndGuaranteed", "WB-species-dilution-info": "", "WB-species-notes": "<p>For western blot application, this antibody has low sensitivity issue. We suggest optimizing experimental protocols (increasing lysate amount, using lower antibody dilution or higher sensitivity ECL substrate) to improve results. We also recommend <a href='/en-us/products/primary-antibodies/cox2-cyclooxygenase-2-antibody-rm1026-ab283574'>ab283574</a> as an alternative for testing COX2 in western blot.</p>", "IP-species-checked": "guaranteed", "IP-species-dilution-info": "", "IP-species-notes": "", "IHCP-species-checked": "testedAndGuaranteed", "IHCP-species-dilution-info": "", "IHCP-species-notes": "<p></p>", "FlowCyt-species-checked": "notRecommended", "FlowCyt-species-dilution-info": "", "FlowCyt-species-notes": "<p></p>" }, "Rat": { "ICCIF-species-checked": "guaranteed", "ICCIF-species-dilution-info": "", "ICCIF-species-notes": "<p></p>", "WB-species-checked": "notRecommended", "WB-species-dilution-info": "", "WB-species-notes": "<p>For western blot application, this antibody has low sensitivity issue. We suggest optimizing experimental protocols (increasing lysate amount, using lower antibody dilution or higher sensitivity ECL substrate) to improve results. We also recommend <a href='/en-us/products/primary-antibodies/cox2-cyclooxygenase-2-antibody-rm1026-ab283574'>ab283574</a> as an alternative for testing COX2 in western blot.</p>", "IP-species-checked": "notRecommended", "IP-species-dilution-info": "", "IP-species-notes": "<p></p>", "IHCP-species-checked": "testedAndGuaranteed", "IHCP-species-dilution-info": "", "IHCP-species-notes": "<p></p>", "FlowCyt-species-checked": "notRecommended", "FlowCyt-species-dilution-info": "", "FlowCyt-species-notes": "<p></p>" } } }

Product details

ab227528 is the carrier-free version of ab179800.

Conjugation ready
Our carrier-free antibodies are typically supplied in a PBS-only formulation, purified and free of BSA, sodium azide and glycerol. This conjugation-ready format is designed for use with fluorochromes, metal isotopes, oligonucleotides, and enzymes, which makes them ideal for antibody labelling, functional and cell-based assays, flow-based assays (e.g. mass cytometry) and Multiplex Imaging applications.

Use our conjugation kits for antibody conjugates that are ready-to-use in as little as 20 minutes with 1 minute hands-on-time and 100% antibody recovery: available for fluorescent dyes, HRP, biotin and gold.

Compatibility
This product is compatible with the Maxpar® Antibody Labeling Kit from Fluidigm, without the need for antibody preparation. Maxpar® is a trademark of Fluidigm Canada Inc.

Properties and storage information

Form
Liquid
Purification technique
Affinity purification Protein A
Storage buffer
pH: 7.2 - 7.4 Constituents: PBS
Shipped at conditions
Blue Ice
Appropriate short-term storage conditions
+4°C
Appropriate long-term storage conditions
+4°C
Storage information
Do Not Freeze

Supplementary information

This supplementary information is collated from multiple sources and compiled automatically.

Cyclooxygenase 2 also known as COX2 is an enzyme involved in the conversion of arachidonic acid to prostaglandins which are lipid compounds with hormone-like effects. It has alternative names including prostaglandin-endoperoxide synthase 2. The molecular weight of COX2 is approximately 72 kDa. This enzyme is expressed in various tissues including the brain kidneys and areas of inflammation. COX2 expression increases during inflammatory responses and is induced by pro-inflammatory cytokines.
Biological function summary

COX2 plays a significant role in the inflammatory response and is part of the complex process of synthesizing prostaglandins. These compounds mediate inflammation and pain making COX2 an important target for understanding these processes. COX2 is not ubiquitously expressed but rather is induced in activated macrophages and other cells during inflammatory conditions. Its function is also important for normal physiological processes like ovulation and implantation.

Pathways

COX2 is essential in the prostaglandin biosynthesis pathway connecting it to the arachidonic acid metabolism pathway. Cyclooxygenase 2 works with phospholipase A2 which releases arachidonic acid from the phospholipid membrane. COX2 then converts this acid to prostaglandin H2 a precursor for other prostaglandins. COX1 the other isoform of cyclooxygenase is closely related to COX2 and while they have different expression patterns they share some functional similarities in these pathways.

COX2 is connected to inflammatory conditions like arthritis and cancer. Its expression often increases in various cancer types contributing to tumor growth and metastasis by promoting angiogenesis and suppressing immune responses. The enzyme is also linked to rheumatoid arthritis where its overexpression exacerbates inflammation. COX2 inhibitors like ketorolac tromethamine or naproxen structure mitigate symptoms by decreasing prostaglandin synthesis. These inhibitors also interact with COX1 but selective inhibition of COX2 targets inflammation more effectively with fewer gastric side effects associated with COX1 inhibition.

Product protocols

For this product, it's our understanding that no specific protocols are required. You can visit:

Target data

Dual cyclooxygenase and peroxidase in the biosynthesis pathway of prostanoids, a class of C20 oxylipins mainly derived from arachidonate ((5Z,8Z,11Z,14Z)-eicosatetraenoate, AA, C20 : 4(n-6)), with a particular role in the inflammatory response (PubMed : 11939906, PubMed : 16373578, PubMed : 19540099, PubMed : 22942274, PubMed : 26859324, PubMed : 27226593, PubMed : 7592599, PubMed : 7947975, PubMed : 9261177). The cyclooxygenase activity oxygenates AA to the hydroperoxy endoperoxide prostaglandin G2 (PGG2), and the peroxidase activity reduces PGG2 to the hydroxy endoperoxide prostaglandin H2 (PGH2), the precursor of all 2-series prostaglandins and thromboxanes (PubMed : 16373578, PubMed : 22942274, PubMed : 26859324, PubMed : 27226593, PubMed : 7592599, PubMed : 7947975, PubMed : 9261177). This complex transformation is initiated by abstraction of hydrogen at carbon 13 (with S-stereochemistry), followed by insertion of molecular O2 to form the endoperoxide bridge between carbon 9 and 11 that defines prostaglandins. The insertion of a second molecule of O2 (bis-oxygenase activity) yields a hydroperoxy group in PGG2 that is then reduced to PGH2 by two electrons (PubMed : 16373578, PubMed : 22942274, PubMed : 26859324, PubMed : 27226593, PubMed : 7592599, PubMed : 7947975, PubMed : 9261177). Similarly catalyzes successive cyclooxygenation and peroxidation of dihomo-gamma-linoleate (DGLA, C20 : 3(n-6)) and eicosapentaenoate (EPA, C20 : 5(n-3)) to corresponding PGH1 and PGH3, the precursors of 1- and 3-series prostaglandins (PubMed : 11939906, PubMed : 19540099). In an alternative pathway of prostanoid biosynthesis, converts 2-arachidonoyl lysophopholipids to prostanoid lysophopholipids, which are then hydrolyzed by intracellular phospholipases to release free prostanoids (PubMed : 27642067). Metabolizes 2-arachidonoyl glycerol yielding the glyceryl ester of PGH2, a process that can contribute to pain response (PubMed : 22942274). Generates lipid mediators from n-3 and n-6 polyunsaturated fatty acids (PUFAs) via a lipoxygenase-type mechanism. Oxygenates PUFAs to hydroperoxy compounds and then reduces them to corresponding alcohols (PubMed : 11034610, PubMed : 11192938, PubMed : 9048568, PubMed : 9261177). Plays a role in the generation of resolution phase interaction products (resolvins) during both sterile and infectious inflammation (PubMed : 12391014). Metabolizes docosahexaenoate (DHA, C22 : 6(n-3)) to 17R-HDHA, a precursor of the D-series resolvins (RvDs) (PubMed : 12391014). As a component of the biosynthetic pathway of E-series resolvins (RvEs), converts eicosapentaenoate (EPA, C20 : 5(n-3)) primarily to 18S-HEPE that is further metabolized by ALOX5 and LTA4H to generate 18S-RvE1 and 18S-RvE2 (PubMed : 21206090). In vascular endothelial cells, converts docosapentaenoate (DPA, C22 : 5(n-3)) to 13R-HDPA, a precursor for 13-series resolvins (RvTs) shown to activate macrophage phagocytosis during bacterial infection (PubMed : 26236990). In activated leukocytes, contributes to oxygenation of hydroxyeicosatetraenoates (HETE) to diHETES (5,15-diHETE and 5,11-diHETE) (PubMed : 22068350, PubMed : 26282205). Can also use linoleate (LA, (9Z,12Z)-octadecadienoate, C18 : 2(n-6)) as substrate and produce hydroxyoctadecadienoates (HODEs) in a regio- and stereospecific manner, being (9R)-HODE ((9R)-hydroxy-(10E,12Z)-octadecadienoate) and (13S)-HODE ((13S)-hydroxy-(9Z,11E)-octadecadienoate) its major products (By similarity). During neuroinflammation, plays a role in neuronal secretion of specialized preresolving mediators (SPMs) 15R-lipoxin A4 that regulates phagocytic microglia (By similarity).
See full target information PTGS2

Publications (3)

Recent publications for all applications. Explore the full list and refine your search

Phytomedicine : international journal of phytother 61:152862 PubMed31048124

2019

Effect of ginsenoside Rh on renal apoptosis in cisplatin-induced nephrotoxicity in vivo.

Applications

Unspecified application

Species

Unspecified reactive species

Zeng Qi,Wei Li,Jing Tan,Cuizhu Wang,Hongqiang Lin,Baisong Zhou,Jinping Liu,Pingya Li

World journal of gastroenterology 23:986-998 PubMed28246472

2017

Melatonin, a novel selective ATF-6 inhibitor, induces human hepatoma cell apoptosis through COX-2 downregulation.

Applications

Unspecified application

Species

Unspecified reactive species

Li-Jia Bu,Han-Qing Yu,Lu-Lu Fan,Xiao-Qiu Li,Fang Wang,Jia-Tao Liu,Fei Zhong,Cong-Jun Zhang,Wei Wei,Hua Wang,Guo-Ping Sun

International journal of molecular medicine 36:661-8 PubMed26165348

2015

Autophagy attenuates the catabolic effect during inflammatory conditions in nucleus pulposus cells, as sustained by NF-κB and JNK inhibition.

Applications

Unspecified application

Species

Unspecified reactive species

Kang Xu,Weijian Chen,Xiaofei Wang,Yan Peng,Anjing Liang,Dongsheng Huang,Chunhai Li,Wei Ye
View all publications

Product promise

We are committed to supporting your work with high-quality reagents, and we're here for you every step of the way. In the unlikely event that one of our products does not perform as expected, you're protected by our Product Promise.
For full details, please see our Terms & Conditions

Please note: All products are 'FOR RESEARCH USE ONLY. NOT FOR USE IN DIAGNOSTIC OR THERAPEUTIC PROCEDURES'.

For licensing inquiries, please contact partnerships@abcam.com