JavaScript is disabled in your browser. Please enable JavaScript to view this website.
AB188183

Anti-COX2 / Cyclooxygenase 2 antibody [EPR18377-106] - N-terminal

  • KO Validated
  • RabMAb
  • Recombinant
  • Lab Essentials
  • 20ul selling size
  • What is this?

Be the first to review this product! Submit a review

|

(7 Publications)

Rabbit Recombinant Monoclonal COX2 / Cyclooxygenase 2 antibody. N-terminal. Suitable for IP, WB, ICC/IF and reacts with Mouse, Human samples. Cited in 7 publications.

View Alternative Names

COX2, PTGS2, Prostaglandin G/H synthase 2, Cyclooxygenase-2, PHS II, Prostaglandin H2 synthase 2, Prostaglandin-endoperoxide synthase 2, COX-2, PGH synthase 2, PGHS-2

5 Images
Immunocytochemistry/ Immunofluorescence - Anti-COX2 / Cyclooxygenase 2 antibody [EPR18377-106] - N-terminal (AB188183)
  • ICC/IF

Supplier Data

Immunocytochemistry/ Immunofluorescence - Anti-COX2 / Cyclooxygenase 2 antibody [EPR18377-106] - N-terminal (AB188183)

Immunofluorescent analysis of 4% paraformaldehyde-fixed, 0.1% Triton X-100 permeabilized RAW 264.7 (mouse macrophage cell line transformed with Abelson murine leukemia virus) cells, untreated or treated with lipopolysaccharide (1 μg/ml) for 6 hours, labeling COX2 / Cyclooxygenase 2 with ab188183 at 1/250 dilution, followed by Goat Anti-Rabbit IgG H&L (Alexa Fluor® 488) (ab150077) secondary antibody at 1/1000 dilution (green). Confocal image showing increased cytoplasmic staining on RAW 264.7 cells treated with lipopolysaccharide (1 μg/ml) for 6 hours.

The nuclear counter stain is DAPI (blue). Tubulin is detected with Anti-alpha Tubulin antibody [DM1A] - Microtubule Marker (Alexa Fluor® 594) (ab195889) (red) at 1/200 dilution.

Secondary antibody only control : Used PBS instead of primary antibody, secondary antibody is Goat Anti-Rabbit IgG H&L (Alexa Fluor® 488) (ab150077) secondary antibody at 1/1000 dilution.

Immunoprecipitation - Anti-COX2 / Cyclooxygenase 2 antibody [EPR18377-106] - N-terminal (AB188183)
  • IP

Supplier Data

Immunoprecipitation - Anti-COX2 / Cyclooxygenase 2 antibody [EPR18377-106] - N-terminal (AB188183)

COX2 / Cyclooxygenase 2 was immunoprecipitated from 0.35 mg of NIH/3T3 (mouse embryo fibroblast cell line) whole cell lysate with ab188183 at 1/30 dilution. Western blot was performed from the immunoprecipitate using ab188183 at 1/1000 dilution. VeriBlot for IP Detection Reagent (HRP) (ab131366), was used for detection at 1/10000 dilution.

Lane 1 : NIH/3T3 whole cell lysate 10μg (Input).

Lane 2 : ab188183 IP in NIH/3T3 whole cell lysate.

Lane 3 : Rabbit monoclonal IgG (ab172730) instead of ab188183 in NIH/3T3 whole cell lysate.

Blocking and dilution buffer and concentration : 5% NFDM/TBST.

Exposure : 3 minutes.

All lanes:

Immunoprecipitation - Anti-COX2 / Cyclooxygenase 2 antibody [EPR18377-106] - N-terminal (ab188183)

Predicted band size: 69 kDa

Observed band size: 74 kDa

false

Western blot - Anti-COX2 / Cyclooxygenase 2 antibody [EPR18377-106] - N-terminal (AB188183)
  • WB

Lab

Western blot - Anti-COX2 / Cyclooxygenase 2 antibody [EPR18377-106] - N-terminal (AB188183)

False colour image of Western blot : Anti-COX2 / Cyclooxygenase 2 antibody [EPR18377-106] - N-terminal staining at 1/1000 dilution, shown in green; Mouse anti-GAPDH antibody [6C5] (ab8245) loading control staining at 1/20000 dilution, shown in red. In Western blot, ab188183 was shown to bind specifically to COX2 / Cyclooxygenase 2. A band was observed at 74-76 kDa in wild-type A549 cell lysates with no signal observed at this size in PTGS2 knockout cell line ab280802 (knockout cell lysate ab283825). Band at 70 kDa in both wild-type and knockout samples is non-specific but exact protein is not determined. To generate this image, wild-type and PTGS2 knockout A549 cell lysates were analysed. First, samples were run on an SDS-PAGE gel then transferred onto a nitrocellulose membrane. Membranes were blocked in 3 % milk in TBS-0.1 % Tween® 20 (TBS-T) before incubation with primary antibodies overnight at 4 °C. Blots were washed four times in TBS-T, incubated with secondary antibodies for 1 h at room temperature, washed again four times then imaged. Secondary antibodies used were Goat anti-Rabbit IgG H&L 800CW and Goat anti-Mouse IgG H&L 680RD at 1/20000 dilution.

All lanes:

Western blot - Anti-COX2 / Cyclooxygenase 2 antibody [EPR18377-106] - N-terminal (ab188183) at 1/1000 dilution

Lane 1:

Wild-type A549 cell lysate at 20 µg

Lane 2:

PTGS2 knockout A549 cell lysate at 20 µg

Lane 3:

U-87 MG cell lysate at 20 µg

Lane 4:

MOLT-4 cell lysate at 20 µg

Observed band size: 74-76 kDa

false

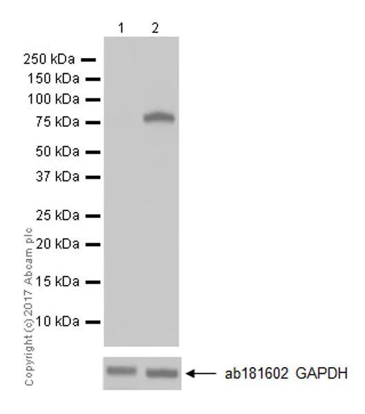
Western blot - Anti-COX2 / Cyclooxygenase 2 antibody [EPR18377-106] - N-terminal (AB188183)
  • WB

Supplier Data

Western blot - Anti-COX2 / Cyclooxygenase 2 antibody [EPR18377-106] - N-terminal (AB188183)

Exposure time : Lane 1 : 8 seconds; Lane 2 : 2 seconds.

Blocking/Dilution buffer : 5% NFDM/TBST.

All lanes:

Western blot - Anti-COX2 / Cyclooxygenase 2 antibody [EPR18377-106] - N-terminal (ab188183) at 1/1000 dilution

Lane 1:

A549 (human lung carcinoma cell line) whole cell lysate at 20 µg

Lane 2:

NIH/3T3 (mouse embryo fibroblast cell line) whole cell lysate at 20 µg

Secondary

All lanes:

Western blot - Goat Anti-Rabbit IgG H&L (HRP) (<a href='/en-us/products/secondary-antibodies/goat-rabbit-igg-h-l-hrp-ab97051'>ab97051</a>) at 1/100000 dilution

Predicted band size: 69 kDa

Observed band size: 74 kDa

true

Western blot - Anti-COX2 / Cyclooxygenase 2 antibody [EPR18377-106] - N-terminal (AB188183)
  • WB

Supplier Data

Western blot - Anti-COX2 / Cyclooxygenase 2 antibody [EPR18377-106] - N-terminal (AB188183)

Blocking/Dilution buffer : 5% NFDM/TBST.

The expression profile and molecular weight observed is consistent with what has been described in the literature (PMID : 9737714). COX2 protein expression is induced by LPS in neutrophils.

All lanes:

Western blot - Anti-COX2 / Cyclooxygenase 2 antibody [EPR18377-106] - N-terminal (ab188183) at 1/1000 dilution

Lane 1:

Untreated RAW 264.7 (mouse macrophage cell line transformed with Abelson murine leukemia virus) whole cell lysate at 20 µg

Lane 2:

RAW 264.7 treated with 1 μg/ml LPS for 6 hours whole cell lysate at 20 µg

Secondary

All lanes:

Western blot - Goat Anti-Rabbit IgG H&L (HRP) (<a href='/en-us/products/secondary-antibodies/goat-rabbit-igg-h-l-hrp-ab97051'>ab97051</a>) at 1/100000 dilution

Predicted band size: 69 kDa

Observed band size: 74 kDa

true

Exposure time: 1s

  • Carrier free

    Anti-COX2 / Cyclooxygenase 2 antibody [EPR18377-106] - BSA and Azide free

Key facts

Host species

Rabbit

Clonality

Monoclonal

Clone number

EPR18377-106

Isotype

IgG

Carrier free

No

Reacts with

Mouse, Human

Applications

IP, ICC/IF, WB

applications

Immunogen

The exact immunogen used to generate this antibody is proprietary information.

Reactivity data

{ "title": "Reactivity Data", "filters": { "stats": ["", "Species", "Dilution Info", "Notes"], "tabs": { "all-applications": {"fullname" : "All Applications", "shortname": "All Applications"}, "IP" : {"fullname" : "Immunoprecipitation", "shortname":"IP"}, "WB" : {"fullname" : "Western blot", "shortname":"WB"}, "ICCIF" : {"fullname" : "Immunocytochemistry/ Immunofluorescence", "shortname":"ICC/IF"}, "FlowCytIntra" : {"fullname" : "Flow Cytometry (Intracellular)", "shortname":"Flow Cyt (Intra)"} }, "product-promise": { "all": "all", "testedAndGuaranteed": "tested", "guaranteed": "expected", "predicted": "predicted", "notRecommended": "not-recommended" } }, "values": { "Human": { "IP-species-checked": "guaranteed", "IP-species-dilution-info": "", "IP-species-notes": "", "WB-species-checked": "testedAndGuaranteed", "WB-species-dilution-info": "1/1000", "WB-species-notes": "<p></p>", "ICCIF-species-checked": "guaranteed", "ICCIF-species-dilution-info": "", "ICCIF-species-notes": "", "FlowCytIntra-species-checked": "notRecommended", "FlowCytIntra-species-dilution-info": "", "FlowCytIntra-species-notes": "<p></p>" }, "Mouse": { "IP-species-checked": "testedAndGuaranteed", "IP-species-dilution-info": "1/30", "IP-species-notes": "<p></p>", "WB-species-checked": "testedAndGuaranteed", "WB-species-dilution-info": "1/1000", "WB-species-notes": "<p></p>", "ICCIF-species-checked": "testedAndGuaranteed", "ICCIF-species-dilution-info": "1/250", "ICCIF-species-notes": "<p></p>", "FlowCytIntra-species-checked": "notRecommended", "FlowCytIntra-species-dilution-info": "", "FlowCytIntra-species-notes": "<p></p>" } } }

Product details

Patented technology
Our RabMAb® technology is a patented hybridoma-based technology for making rabbit monoclonal antibodies. For details on our patents, please refer to RabMAb® patents.

What are the advantages of a recombinant monoclonal antibody?
This product is a recombinant monoclonal antibody, which offers several advantages including:

  • - High batch-to-batch consistency and reproducibility
  • - Improved sensitivity and specificity
  • - Long-term security of supply
  • - Animal-free batch production

For more information, read more on recombinant antibodies.

Properties and storage information

Form
Liquid
Purification technique
Affinity purification Protein A
Storage buffer
pH: 7.2 - 7.4 Preservative: 0.01% Sodium azide Constituents: PBS, 40% Glycerol (glycerin, glycerine), 0.05% BSA
Shipped at conditions
Blue Ice
Appropriate short-term storage duration
1-2 weeks
Appropriate short-term storage conditions
+4°C
Appropriate long-term storage conditions
-20°C
Aliquoting information
Upon delivery aliquot
Storage information
Avoid freeze / thaw cycle

Supplementary information

This supplementary information is collated from multiple sources and compiled automatically.

Cyclooxygenase 2 also known as COX2 is an enzyme involved in the conversion of arachidonic acid to prostaglandins which are lipid compounds with hormone-like effects. It has alternative names including prostaglandin-endoperoxide synthase 2. The molecular weight of COX2 is approximately 72 kDa. This enzyme is expressed in various tissues including the brain kidneys and areas of inflammation. COX2 expression increases during inflammatory responses and is induced by pro-inflammatory cytokines.
Biological function summary

COX2 plays a significant role in the inflammatory response and is part of the complex process of synthesizing prostaglandins. These compounds mediate inflammation and pain making COX2 an important target for understanding these processes. COX2 is not ubiquitously expressed but rather is induced in activated macrophages and other cells during inflammatory conditions. Its function is also important for normal physiological processes like ovulation and implantation.

Pathways

COX2 is essential in the prostaglandin biosynthesis pathway connecting it to the arachidonic acid metabolism pathway. Cyclooxygenase 2 works with phospholipase A2 which releases arachidonic acid from the phospholipid membrane. COX2 then converts this acid to prostaglandin H2 a precursor for other prostaglandins. COX1 the other isoform of cyclooxygenase is closely related to COX2 and while they have different expression patterns they share some functional similarities in these pathways.

COX2 is connected to inflammatory conditions like arthritis and cancer. Its expression often increases in various cancer types contributing to tumor growth and metastasis by promoting angiogenesis and suppressing immune responses. The enzyme is also linked to rheumatoid arthritis where its overexpression exacerbates inflammation. COX2 inhibitors like ketorolac tromethamine or naproxen structure mitigate symptoms by decreasing prostaglandin synthesis. These inhibitors also interact with COX1 but selective inhibition of COX2 targets inflammation more effectively with fewer gastric side effects associated with COX1 inhibition.

Product protocols

For this product, it's our understanding that no specific protocols are required. You can visit:

Target data

Dual cyclooxygenase and peroxidase in the biosynthesis pathway of prostanoids, a class of C20 oxylipins mainly derived from arachidonate ((5Z,8Z,11Z,14Z)-eicosatetraenoate, AA, C20 : 4(n-6)), with a particular role in the inflammatory response (PubMed : 11939906, PubMed : 16373578, PubMed : 19540099, PubMed : 22942274, PubMed : 26859324, PubMed : 27226593, PubMed : 7592599, PubMed : 7947975, PubMed : 9261177). The cyclooxygenase activity oxygenates AA to the hydroperoxy endoperoxide prostaglandin G2 (PGG2), and the peroxidase activity reduces PGG2 to the hydroxy endoperoxide prostaglandin H2 (PGH2), the precursor of all 2-series prostaglandins and thromboxanes (PubMed : 16373578, PubMed : 22942274, PubMed : 26859324, PubMed : 27226593, PubMed : 7592599, PubMed : 7947975, PubMed : 9261177). This complex transformation is initiated by abstraction of hydrogen at carbon 13 (with S-stereochemistry), followed by insertion of molecular O2 to form the endoperoxide bridge between carbon 9 and 11 that defines prostaglandins. The insertion of a second molecule of O2 (bis-oxygenase activity) yields a hydroperoxy group in PGG2 that is then reduced to PGH2 by two electrons (PubMed : 16373578, PubMed : 22942274, PubMed : 26859324, PubMed : 27226593, PubMed : 7592599, PubMed : 7947975, PubMed : 9261177). Similarly catalyzes successive cyclooxygenation and peroxidation of dihomo-gamma-linoleate (DGLA, C20 : 3(n-6)) and eicosapentaenoate (EPA, C20 : 5(n-3)) to corresponding PGH1 and PGH3, the precursors of 1- and 3-series prostaglandins (PubMed : 11939906, PubMed : 19540099). In an alternative pathway of prostanoid biosynthesis, converts 2-arachidonoyl lysophopholipids to prostanoid lysophopholipids, which are then hydrolyzed by intracellular phospholipases to release free prostanoids (PubMed : 27642067). Metabolizes 2-arachidonoyl glycerol yielding the glyceryl ester of PGH2, a process that can contribute to pain response (PubMed : 22942274). Generates lipid mediators from n-3 and n-6 polyunsaturated fatty acids (PUFAs) via a lipoxygenase-type mechanism. Oxygenates PUFAs to hydroperoxy compounds and then reduces them to corresponding alcohols (PubMed : 11034610, PubMed : 11192938, PubMed : 9048568, PubMed : 9261177). Plays a role in the generation of resolution phase interaction products (resolvins) during both sterile and infectious inflammation (PubMed : 12391014). Metabolizes docosahexaenoate (DHA, C22 : 6(n-3)) to 17R-HDHA, a precursor of the D-series resolvins (RvDs) (PubMed : 12391014). As a component of the biosynthetic pathway of E-series resolvins (RvEs), converts eicosapentaenoate (EPA, C20 : 5(n-3)) primarily to 18S-HEPE that is further metabolized by ALOX5 and LTA4H to generate 18S-RvE1 and 18S-RvE2 (PubMed : 21206090). In vascular endothelial cells, converts docosapentaenoate (DPA, C22 : 5(n-3)) to 13R-HDPA, a precursor for 13-series resolvins (RvTs) shown to activate macrophage phagocytosis during bacterial infection (PubMed : 26236990). In activated leukocytes, contributes to oxygenation of hydroxyeicosatetraenoates (HETE) to diHETES (5,15-diHETE and 5,11-diHETE) (PubMed : 22068350, PubMed : 26282205). Can also use linoleate (LA, (9Z,12Z)-octadecadienoate, C18 : 2(n-6)) as substrate and produce hydroxyoctadecadienoates (HODEs) in a regio- and stereospecific manner, being (9R)-HODE ((9R)-hydroxy-(10E,12Z)-octadecadienoate) and (13S)-HODE ((13S)-hydroxy-(9Z,11E)-octadecadienoate) its major products (By similarity). During neuroinflammation, plays a role in neuronal secretion of specialized preresolving mediators (SPMs) 15R-lipoxin A4 that regulates phagocytic microglia (By similarity).
See full target information PTGS2

Publications (7)

Recent publications for all applications. Explore the full list and refine your search

Science advances 11:eadq2881 PubMed40009679

2025

Local soft niches in mechanically heterogeneous primary tumors promote brain metastasis via mechanotransduction-mediated HDAC3 activity.

Applications

Unspecified application

Species

Unspecified reactive species

Kai Tang,Yufan Zheng,Guanshuo Hu,Ying Xin,Keming Li,Cunyu Zhang,Xi Chen,Bai Zhang,Xueyi Li,Bing Hu,Qiong Jia,Yong-Ping Zheng,Mo Yang,Youhua Tan

International journal of molecular sciences 24: PubMed37108248

2023

Adhesion to the Brain Endothelium Selects Breast Cancer Cells with Brain Metastasis Potential.

Applications

Unspecified application

Species

Unspecified reactive species

Bai Zhang,Xueyi Li,Kai Tang,Ying Xin,Guanshuo Hu,Yufan Zheng,Keming Li,Cunyu Zhang,Youhua Tan

Frontiers in pharmacology 13:952950 PubMed36238561

2022

Omaveloxolone inhibits IL-1β-induced chondrocyte apoptosis through the Nrf2/ARE and NF-κB signalling pathways and attenuates osteoarthritis .

Applications

Unspecified application

Species

Unspecified reactive species

Zengxin Jiang,Guobin Qi,Wei Lu,Hao Wang,Defang Li,Weibin Chen,Lei Ding,Xiuying Yang,Hengfeng Yuan,Qingmin Zeng

Cell cycle (Georgetown, Tex.) 21:618-629 PubMed35073820

2022

miR-26a-5p suppresses nasopharyngeal carcinoma progression by inhibiting PTGS2 expression.

Applications

Unspecified application

Species

Unspecified reactive species

Binlin Cai,Xiu Qu,Dan Kan,Yi Luo

ACS nano 16:50-67 PubMed34873906

2021

Targeted Inhibition of Tumor Inflammation and Tumor-Platelet Crosstalk by Nanoparticle-Mediated Drug Delivery Mitigates Cancer Metastasis.

Applications

Unspecified application

Species

Unspecified reactive species

Shujie Li,Lian Li,Xi Lin,Cheng Chen,Chaohui Luo,Yuan Huang

Experimental and therapeutic medicine 22:825 PubMed34149871

2021

Celecoxib ameliorates diabetic neuropathy by decreasing apoptosis and oxidative stress in dorsal root ganglion neurons via the miR-155/COX-2 axis.

Applications

Unspecified application

Species

Unspecified reactive species

Xiaoliang Cheng,Ling Zhao,Tingyu Ke,Xi Wang,Lijun Cao,Shuyan Liu,Jie He,Wei Rong

Molecular medicine reports 17:4611-4618 PubMed29328454

2018

Resveratrol ameliorates depressive disorder through the NETRIN1-mediated extracellular signal-regulated kinase/cAMP signal transduction pathway.

Applications

Unspecified application

Species

Unspecified reactive species

Feifei Wang,Jinhui Wang,Jinghong An,Guoming Yuan,Xiaolei Hao,Yi Zhang
View all publications

Product promise

We are committed to supporting your work with high-quality reagents, and we're here for you every step of the way. In the unlikely event that one of our products does not perform as expected, you're protected by our Product Promise.
For full details, please see our Terms & Conditions

Please note: All products are 'FOR RESEARCH USE ONLY. NOT FOR USE IN DIAGNOSTIC OR THERAPEUTIC PROCEDURES'.

For licensing inquiries, please contact partnerships@abcam.com