JavaScript is disabled in your browser. Please enable JavaScript to view this website.
AB283593

Anti-COX2 / Cyclooxygenase 2 antibody [RM1026] - BSA and Azide free

5

(2 Reviews)

|

(1 Publication)

Rabbit Recombinant Multiclonal COX2 / Cyclooxygenase 2 antibody. Carrier free. Suitable for IP, WB, IHC-P, ICC/IF and reacts with Mouse, Human, Rat samples. Cited in 1 publication.

View Alternative Names

COX2, PTGS2, Prostaglandin G/H synthase 2, Cyclooxygenase-2, PHS II, Prostaglandin H2 synthase 2, Prostaglandin-endoperoxide synthase 2, COX-2, PGH synthase 2, PGHS-2

8 Images
Immunohistochemistry (Formalin/PFA-fixed paraffin-embedded sections) - Anti-COX2 / Cyclooxygenase 2 antibody [RM1026] - BSA and Azide free (AB283593)
  • IHC-P

Supplier Data

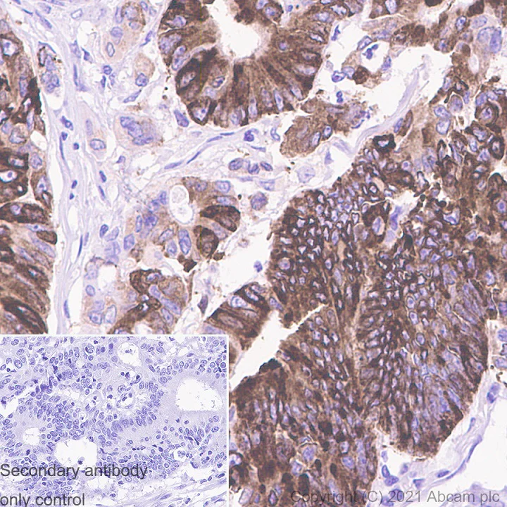
Immunohistochemistry (Formalin/PFA-fixed paraffin-embedded sections) - Anti-COX2 / Cyclooxygenase 2 antibody [RM1026] - BSA and Azide free (AB283593)

This data was developed using ab283574, the same antibody clone in a different buffer formulation.

Immunohistochemical analysis of paraffin-embedded human colon carcinoma tissue labelling COX2 / Cyclooxygenase 2 with ab283574 at 1/500 dilution (1.058 μg/ml) followed by a ready to use Goat Anti-Rabbit IgG H&L (HRP polymer). Positive staining on human colon carcinoma. The section was incubated with ab283574 overnight at 4°C. Counterstained with Hematoxylin.

Secondary antibody only control : Secondary antibody is a ready to use Goat Anti-Rabbit IgG H&L (HRP polymer).

Heat mediated antigen retrieval using ab93684 (Tris/EDTA buffer, pH 9.0)

Immunocytochemistry/ Immunofluorescence - Anti-COX2 / Cyclooxygenase 2 antibody [RM1026] - BSA and Azide free (AB283593)
  • ICC/IF

Supplier Data

Immunocytochemistry/ Immunofluorescence - Anti-COX2 / Cyclooxygenase 2 antibody [RM1026] - BSA and Azide free (AB283593)

This data was developed using ab283574, the same antibody clone in a different buffer formulation.

Immunofluorescent analysis of 4% paraformaldehyde-fixed, 0.1% TritonX-100 permeabilized U-87 MG (human glioblastoma-astrocytoma epithelial cell) cells labelling COX2 / Cyclooxygenase 2 with ab283574 at 1/500 dilution (1.058 μg/ml), followed by ab150081 Goat Anti-Rabbit IgG H&L (Alexa Fluor® 488) preadsorbed antibody at 1/1000 dilution (2 μg/ml)(Green). Confocal image showing cytoplasmic staining in of U-87 MG cell line. Negative control : MCF7 (PMID : 18199541) is observed. ab195889 Anti-alpha Tubulin mouse monoclonal antibody - Microtubule Marker (Alexa Fluor® 594) was used to counterstain tubulin at 1/200 dilution (2.5 μg/ml)(Red). The Nuclear counterstain was DAPI (Blue).

Secondary antibody only control : Secondary antibody is ab150081 Goat Anti-Rabbit IgG H&L (Alexa Fluor® 488) preadsorbed at 1/1000 dilution (2 μg/ml).

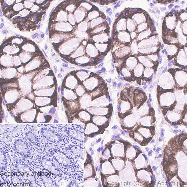
Immunohistochemistry (Formalin/PFA-fixed paraffin-embedded sections) - Anti-COX2 / Cyclooxygenase 2 antibody [RM1026] - BSA and Azide free (AB283593)
  • IHC-P

Supplier Data

Immunohistochemistry (Formalin/PFA-fixed paraffin-embedded sections) - Anti-COX2 / Cyclooxygenase 2 antibody [RM1026] - BSA and Azide free (AB283593)

This data was developed using ab283574, the same antibody clone in a different buffer formulation.

Immunohistochemical analysis of paraffin-embedded human colon tissue labelling COX2 / Cyclooxygenase 2 with ab283574 at 1/500 dilution (1.058 μg/ml) followed by a ready to use Goat Anti-Rabbit IgG H&L (HRP polymer). Positive staining on human colon. The section was incubated with ab283574 overnight at 4°C. Counterstained with Hematoxylin.

Secondary antibody only control : Secondary antibody is a ready to use Goat Anti-Rabbit IgG H&L (HRP polymer).

Heat mediated antigen retrieval using ab93684 (Tris/EDTA buffer, pH 9.0)

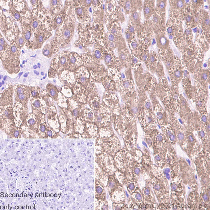
Immunohistochemistry (Formalin/PFA-fixed paraffin-embedded sections) - Anti-COX2 / Cyclooxygenase 2 antibody [RM1026] - BSA and Azide free (AB283593)
  • IHC-P

Supplier Data

Immunohistochemistry (Formalin/PFA-fixed paraffin-embedded sections) - Anti-COX2 / Cyclooxygenase 2 antibody [RM1026] - BSA and Azide free (AB283593)

This data was developed using ab283574, the same antibody clone in a different buffer formulation.

Immunohistochemical analysis of paraffin-embedded human liver tissue labeling COX2 / Cyclooxygenase 2 with ab283574 at 1/500 dilution (1.058 μg/ml) followed by a ready to use Goat Anti-Rabbit IgG H&L (HRP polymer). Positive staining on human colon liver. The section was incubated with ab283574 overnight at 4°C. Counterstained with Hematoxylin.

Secondary antibody only control : Secondary antibody is a ready to use Goat Anti-Rabbit IgG H&L (HRP polymer).

Heat mediated antigen retrieval using ab93684 (Tris/EDTA buffer, pH 9.0)

Immunoprecipitation - Anti-COX2 / Cyclooxygenase 2 antibody [RM1026] - BSA and Azide free (AB283593)
  • IP

Supplier Data

Immunoprecipitation - Anti-COX2 / Cyclooxygenase 2 antibody [RM1026] - BSA and Azide free (AB283593)

This data was developed using ab283574, the same antibody clone in a different buffer formulation.

COX2 / Cyclooxygenase 2 was immunoprecipitated from 0.35 mg U-87 MG (human glioblastoma-astrocytoma epithelial cell) whole cell lysate with ab283574 at 1/30 dilution (2μg in 0.35mg lysates). Western blot was performed on the immunoprecipitate using ab283574 at 1/1000 dilution. VeriBlot for IP secondary antibody(HRP)(ab131366) was used at 1/5000 dilution.

Lane 1 : U-87 MG (Human glioblastoma-astrocytoma epithelial cell) whole cell lysate 10μg

Lane 2 : ab283574 IP in U-87 MG whole cell lysate

Lane 3 : Rabbit monoclonal IgG (ab172730) instead of ab283574 in U-87 MG whole cell lysate

Blocking and dilution buffer and concentration : 5% NFDM/TBST.

Exposure time : 6 seconds

Lower bands could be COX-2 fragments due to proteolysis. (PMID : 32366045)

All lanes:

Immunoprecipitation - Anti-COX2 / Cyclooxygenase 2 antibody [RM1026] (<a href='/en-us/products/primary-antibodies/cox2-cyclooxygenase-2-antibody-rm1026-ab283574'>ab283574</a>)

Predicted band size: 69 kDa

false

Immunocytochemistry/ Immunofluorescence - Anti-COX2 / Cyclooxygenase 2 antibody [RM1026] - BSA and Azide free (AB283593)
  • ICC/IF

Supplier Data

Immunocytochemistry/ Immunofluorescence - Anti-COX2 / Cyclooxygenase 2 antibody [RM1026] - BSA and Azide free (AB283593)

This data was developed using ab283574, the same antibody clone in a different buffer formulation.

Immunofluorescent analysis of 4% paraformaldehyde-fixed, 0.1% TritonX-100 permeabilized RAW 264.7 (mouse Abelson murine leukemia virus-induced tumor macrophage) cells labelling COX2 / Cyclooxygenase 2 with ab283574 at 1/1000 dilution (0.529 μg/ml), followed by ab150081 Goat Anti-Rabbit IgG H&L (Alexa Fluor® 488) preadsorbed antibody at 1/1000 dilution (2 μg/ml)(Green). Confocal image showing cytoplasmic staining in RAW 264.7 cell line after treatment with lipopolysaccharide (1 μg/ml) for 6 hours is observed. ab195889 Anti-alpha Tubulin mouse monoclonal antibody - Microtubule Marker (Alexa Fluor® 594) was used to counterstain tubulin at 1/200 dilution (2.5 μg/ml)(Red). The Nuclear counterstain was DAPI (Blue).

Secondary antibody only control : Secondary antibody is ab150081 Goat Anti-Rabbit IgG H&L (Alexa Fluor® 488) preadsorbed at 1/1000 dilution (2 μg/ml).

Immunoprecipitation - Anti-COX2 / Cyclooxygenase 2 antibody [RM1026] - BSA and Azide free (AB283593)
  • IP

Supplier Data

Immunoprecipitation - Anti-COX2 / Cyclooxygenase 2 antibody [RM1026] - BSA and Azide free (AB283593)

This data was developed using ab283574, the same antibody clone in a different buffer formulation.

COX2 / Cyclooxygenase 2 was immunoprecipitated from 0.35 mg RAW 264.7 (mouse Abelson murine leukemia virus-induced tumor macrophage) treated with 1 μg/ml LPS for 6h whole cell lysate with ab283574 at 1/30 dilution (2μg in 0.35mg lysates). Western blot was performed on the immunoprecipitate using ab283574 at 1/1000 dilution. VeriBlot for IP secondary antibody(HRP)(ab131366) was used at 1/5000 dilution.

Lane 1 : RAW 264.7 (Mouse Abelson murine leukemia virus-induced tumor macrophage) treated with 1ug/ml LPS for 6h whole cell lysate 10μg

Lane 2 : ab283574 IP in RAW 264.7 treated with 1 μg/ml LPS for 6h whole cell lysate

Lane 3 : Rabbit monoclonal IgG (ab172730) instead of ab283574 in RAW 264.7 treated with 1 μg/ml LPS for 6h whole cell lysate

Blocking and dilution buffer and concentration : 5% NFDM/TBST.

Exposure time : 6 seconds

All lanes:

Immunoprecipitation - Anti-COX2 / Cyclooxygenase 2 antibody [RM1026] (<a href='/en-us/products/primary-antibodies/cox2-cyclooxygenase-2-antibody-rm1026-ab283574'>ab283574</a>)

Predicted band size: 69 kDa

false

Western blot - Anti-COX2 / Cyclooxygenase 2 antibody [RM1026] - BSA and Azide free (AB283593)
  • WB

Lab

Western blot - Anti-COX2 / Cyclooxygenase 2 antibody [RM1026] - BSA and Azide free (AB283593)

This data was developed using ab283574, the same antibody clone in a different buffer formulation.

Blocking and diluting buffer and concentration : 5% NFDM/TBST

Negative control : MCF7 (PMID : 24325753, PMID : 16997132)

Lower bands could be COX-2 fragments due to proteolysis. (PMID : 32366045)

Exposure time : Lane 1-4 : 2 min Lane 5-6 : 3 min

All lanes:

Western blot - Anti-COX2 / Cyclooxygenase 2 antibody [RM1026] (<a href='/en-us/products/primary-antibodies/cox2-cyclooxygenase-2-antibody-rm1026-ab283574'>ab283574</a>) at 1/1000 dilution

Lane 1:

U-87 MG (Human glioblastoma-astrocytoma epithelial cell) whole cell lysate at 20 µg

Lane 2:

MCF7 (Human breast adenocarcinoma epithelial cell) whole cell lysate at 20 µg

Lane 3:

RAW 264.7 (Mouse Abelson murine leukemia virus-induced tumor macrophage) whole cell lysate at 20 µg

Lane 4:

RAW 264.7 treated with 1 µg/ml lipopolysaccharide (LPS) for 6h whole cell lysate at 20 µg

Lane 5:

C6 (Rat glial tumor glial cell) whole cell lysate at 20 µg

Lane 6:

C6 treated with 100 ng/ml lipopolysaccharide (LPS) for 4h whole cell lysate at 20 µg

Secondary

All lanes:

Western blot - Goat Anti-Rabbit IgG H&L (HRP) (<a href='/en-us/products/secondary-antibodies/goat-rabbit-igg-h-l-hrp-ab97051'>ab97051</a>) at 1/100000 dilution

Predicted band size: 69 kDa

false

  • Unconjugated

    Anti-COX2 / Cyclooxygenase 2 antibody [RM1026]

Key facts

Host species

Rabbit

Clonality

Multiclonal

Clone number

RM1026

Isotype

IgG

Carrier free

Yes

Reacts with

Human, Rat, Mouse

Applications

ICC/IF, IP, WB, IHC-P

applications

Immunogen

The exact immunogen used to generate this antibody is proprietary information.

Reactivity data

{ "title": "Reactivity Data", "filters": { "stats": ["", "Species", "Dilution Info", "Notes"], "tabs": { "all-applications": {"fullname" : "All Applications", "shortname": "All Applications"}, "IP" : {"fullname" : "Immunoprecipitation", "shortname":"IP"}, "WB" : {"fullname" : "Western blot", "shortname":"WB"}, "IHCP" : {"fullname" : "Immunohistochemistry (Formalin/PFA-fixed paraffin-embedded sections)", "shortname":"IHC-P"}, "ICCIF" : {"fullname" : "Immunocytochemistry/ Immunofluorescence", "shortname":"ICC/IF"}, "FlowCytIntra" : {"fullname" : "Flow Cytometry (Intracellular)", "shortname":"Flow Cyt (Intra)"}, "IHCFr" : {"fullname" : "Immunohistochemistry (Frozen sections)", "shortname":"IHC-Fr"} }, "product-promise": { "all": "all", "testedAndGuaranteed": "tested", "guaranteed": "expected", "predicted": "predicted", "notRecommended": "not-recommended" } }, "values": { "Human": { "IP-species-checked": "testedAndGuaranteed", "IP-species-dilution-info": "", "IP-species-notes": "<p></p>", "WB-species-checked": "testedAndGuaranteed", "WB-species-dilution-info": "", "WB-species-notes": "<p></p>", "IHCP-species-checked": "testedAndGuaranteed", "IHCP-species-dilution-info": "", "IHCP-species-notes": "<p></p>", "ICCIF-species-checked": "testedAndGuaranteed", "ICCIF-species-dilution-info": "", "ICCIF-species-notes": "<p></p>", "FlowCytIntra-species-checked": "notRecommended", "FlowCytIntra-species-dilution-info": "", "FlowCytIntra-species-notes": "<p></p>", "IHCFr-species-checked": "notRecommended", "IHCFr-species-dilution-info": "", "IHCFr-species-notes": "" }, "Mouse": { "IP-species-checked": "testedAndGuaranteed", "IP-species-dilution-info": "", "IP-species-notes": "<p></p>", "WB-species-checked": "testedAndGuaranteed", "WB-species-dilution-info": "", "WB-species-notes": "<p></p>", "IHCP-species-checked": "notRecommended", "IHCP-species-dilution-info": "", "IHCP-species-notes": "<p></p>", "ICCIF-species-checked": "testedAndGuaranteed", "ICCIF-species-dilution-info": "", "ICCIF-species-notes": "<p></p>", "FlowCytIntra-species-checked": "notRecommended", "FlowCytIntra-species-dilution-info": "", "FlowCytIntra-species-notes": "<p></p>", "IHCFr-species-checked": "notRecommended", "IHCFr-species-dilution-info": "", "IHCFr-species-notes": "<p></p>" }, "Rat": { "IP-species-checked": "guaranteed", "IP-species-dilution-info": "", "IP-species-notes": "", "WB-species-checked": "testedAndGuaranteed", "WB-species-dilution-info": "", "WB-species-notes": "<p></p>", "IHCP-species-checked": "notRecommended", "IHCP-species-dilution-info": "", "IHCP-species-notes": "<p></p>", "ICCIF-species-checked": "guaranteed", "ICCIF-species-dilution-info": "", "ICCIF-species-notes": "", "FlowCytIntra-species-checked": "notRecommended", "FlowCytIntra-species-dilution-info": "", "FlowCytIntra-species-notes": "<p></p>", "IHCFr-species-checked": "notRecommended", "IHCFr-species-dilution-info": "", "IHCFr-species-notes": "<p></p>" } } }

Product details

ab283593 is the carrier-free version of ab283574.

What are recombinant multiclonals?
Recombinant multiclonals are a mixture of recombinant antibodies co-expressed from a library of heavy and light chains. They offer several advantages including:

  • - The sensitivity of polyclonal antibodies by recognising multiple epitopes
  • - High batch-to-batch consistency and reproducibility
  • - Improved sensitivity and specificity
  • - Long-term security of supply
  • - Animal-free batch production

View our range of recombinant multiclonal antibodies.

Patented technology
Our RabMAb® technology is a patented hybridoma-based technology for making rabbit monoclonal antibodies. For details on our patents, please refer to RabMAb® patents.

Conjugation ready
Our carrier-free antibodies are typically supplied in a PBS-only formulation, purified and free of BSA, sodium azide and glycerol. This conjugation-ready format is designed for use with fluorochromes, metal isotopes, oligonucleotides, and enzymes, which makes them ideal for antibody labelling, functional and cell-based assays, flow-based assays (e.g. mass cytometry) and Multiplex Imaging applications.

Use our conjugation kits for antibody conjugates that are ready-to-use in as little as 20 minutes with 1 minute hands-on-time and 100% antibody recovery: available for fluorescent dyes, HRP, biotin and gold.

Compatibility
This product is compatible with the Maxpar® Antibody Labeling Kit from Fluidigm, without the need for antibody preparation. Maxpar® is a trademark of Fluidigm Canada Inc.

Properties and storage information

Form
Liquid
Purification technique
Affinity purification Protein A
Storage buffer
pH: 7.2 - 7.4 Constituents: PBS
Shipped at conditions
Blue Ice
Appropriate short-term storage conditions
+4°C
Appropriate long-term storage conditions
+4°C

Supplementary information

This supplementary information is collated from multiple sources and compiled automatically.

Cyclooxygenase 2 also known as COX2 is an enzyme involved in the conversion of arachidonic acid to prostaglandins which are lipid compounds with hormone-like effects. It has alternative names including prostaglandin-endoperoxide synthase 2. The molecular weight of COX2 is approximately 72 kDa. This enzyme is expressed in various tissues including the brain kidneys and areas of inflammation. COX2 expression increases during inflammatory responses and is induced by pro-inflammatory cytokines.
Biological function summary

COX2 plays a significant role in the inflammatory response and is part of the complex process of synthesizing prostaglandins. These compounds mediate inflammation and pain making COX2 an important target for understanding these processes. COX2 is not ubiquitously expressed but rather is induced in activated macrophages and other cells during inflammatory conditions. Its function is also important for normal physiological processes like ovulation and implantation.

Pathways

COX2 is essential in the prostaglandin biosynthesis pathway connecting it to the arachidonic acid metabolism pathway. Cyclooxygenase 2 works with phospholipase A2 which releases arachidonic acid from the phospholipid membrane. COX2 then converts this acid to prostaglandin H2 a precursor for other prostaglandins. COX1 the other isoform of cyclooxygenase is closely related to COX2 and while they have different expression patterns they share some functional similarities in these pathways.

COX2 is connected to inflammatory conditions like arthritis and cancer. Its expression often increases in various cancer types contributing to tumor growth and metastasis by promoting angiogenesis and suppressing immune responses. The enzyme is also linked to rheumatoid arthritis where its overexpression exacerbates inflammation. COX2 inhibitors like ketorolac tromethamine or naproxen structure mitigate symptoms by decreasing prostaglandin synthesis. These inhibitors also interact with COX1 but selective inhibition of COX2 targets inflammation more effectively with fewer gastric side effects associated with COX1 inhibition.

Product protocols

For this product, it's our understanding that no specific protocols are required. You can visit:

Target data

Dual cyclooxygenase and peroxidase in the biosynthesis pathway of prostanoids, a class of C20 oxylipins mainly derived from arachidonate ((5Z,8Z,11Z,14Z)-eicosatetraenoate, AA, C20 : 4(n-6)), with a particular role in the inflammatory response (PubMed : 11939906, PubMed : 16373578, PubMed : 19540099, PubMed : 22942274, PubMed : 26859324, PubMed : 27226593, PubMed : 7592599, PubMed : 7947975, PubMed : 9261177). The cyclooxygenase activity oxygenates AA to the hydroperoxy endoperoxide prostaglandin G2 (PGG2), and the peroxidase activity reduces PGG2 to the hydroxy endoperoxide prostaglandin H2 (PGH2), the precursor of all 2-series prostaglandins and thromboxanes (PubMed : 16373578, PubMed : 22942274, PubMed : 26859324, PubMed : 27226593, PubMed : 7592599, PubMed : 7947975, PubMed : 9261177). This complex transformation is initiated by abstraction of hydrogen at carbon 13 (with S-stereochemistry), followed by insertion of molecular O2 to form the endoperoxide bridge between carbon 9 and 11 that defines prostaglandins. The insertion of a second molecule of O2 (bis-oxygenase activity) yields a hydroperoxy group in PGG2 that is then reduced to PGH2 by two electrons (PubMed : 16373578, PubMed : 22942274, PubMed : 26859324, PubMed : 27226593, PubMed : 7592599, PubMed : 7947975, PubMed : 9261177). Similarly catalyzes successive cyclooxygenation and peroxidation of dihomo-gamma-linoleate (DGLA, C20 : 3(n-6)) and eicosapentaenoate (EPA, C20 : 5(n-3)) to corresponding PGH1 and PGH3, the precursors of 1- and 3-series prostaglandins (PubMed : 11939906, PubMed : 19540099). In an alternative pathway of prostanoid biosynthesis, converts 2-arachidonoyl lysophopholipids to prostanoid lysophopholipids, which are then hydrolyzed by intracellular phospholipases to release free prostanoids (PubMed : 27642067). Metabolizes 2-arachidonoyl glycerol yielding the glyceryl ester of PGH2, a process that can contribute to pain response (PubMed : 22942274). Generates lipid mediators from n-3 and n-6 polyunsaturated fatty acids (PUFAs) via a lipoxygenase-type mechanism. Oxygenates PUFAs to hydroperoxy compounds and then reduces them to corresponding alcohols (PubMed : 11034610, PubMed : 11192938, PubMed : 9048568, PubMed : 9261177). Plays a role in the generation of resolution phase interaction products (resolvins) during both sterile and infectious inflammation (PubMed : 12391014). Metabolizes docosahexaenoate (DHA, C22 : 6(n-3)) to 17R-HDHA, a precursor of the D-series resolvins (RvDs) (PubMed : 12391014). As a component of the biosynthetic pathway of E-series resolvins (RvEs), converts eicosapentaenoate (EPA, C20 : 5(n-3)) primarily to 18S-HEPE that is further metabolized by ALOX5 and LTA4H to generate 18S-RvE1 and 18S-RvE2 (PubMed : 21206090). In vascular endothelial cells, converts docosapentaenoate (DPA, C22 : 5(n-3)) to 13R-HDPA, a precursor for 13-series resolvins (RvTs) shown to activate macrophage phagocytosis during bacterial infection (PubMed : 26236990). In activated leukocytes, contributes to oxygenation of hydroxyeicosatetraenoates (HETE) to diHETES (5,15-diHETE and 5,11-diHETE) (PubMed : 22068350, PubMed : 26282205). Can also use linoleate (LA, (9Z,12Z)-octadecadienoate, C18 : 2(n-6)) as substrate and produce hydroxyoctadecadienoates (HODEs) in a regio- and stereospecific manner, being (9R)-HODE ((9R)-hydroxy-(10E,12Z)-octadecadienoate) and (13S)-HODE ((13S)-hydroxy-(9Z,11E)-octadecadienoate) its major products (By similarity). During neuroinflammation, plays a role in neuronal secretion of specialized preresolving mediators (SPMs) 15R-lipoxin A4 that regulates phagocytic microglia (By similarity).
See full target information PTGS2

Publications (1)

Recent publications for all applications. Explore the full list and refine your search

Scientific reports 13:6499 PubMed37081089

2023

The effect of oral administration of undenatured type II collagen on monosodium iodoacetate-induced osteoarthritis in young and old rats.

Applications

Unspecified application

Species

Unspecified reactive species

Emre Sahin,Cemal Orhan,Fusun Erten,Zainulabedin Saiyed,Elnaz Karimian Azari,Shane Durkee,Kazim Sahin
View all publications

Product promise

We are committed to supporting your work with high-quality reagents, and we're here for you every step of the way. In the unlikely event that one of our products does not perform as expected, you're protected by our Product Promise.
For full details, please see our Terms & Conditions

Please note: All products are 'FOR RESEARCH USE ONLY. NOT FOR USE IN DIAGNOSTIC OR THERAPEUTIC PROCEDURES'.

For licensing inquiries, please contact partnerships@abcam.com