JavaScript is disabled in your browser. Please enable JavaScript to view this website.
AB307742

Anti-COX2 / Cyclooxygenase 2 antibody [SP21] - BSA and Azide free

Be the first to review this product! Submit a review

|

(0 Publication)

Rabbit Recombinant Monoclonal COX2 / Cyclooxygenase 2 antibody. Carrier free. Suitable for IHC-P and reacts with Human samples.

View Alternative Names

COX2, PTGS2, Prostaglandin G/H synthase 2, Cyclooxygenase-2, PHS II, Prostaglandin H2 synthase 2, Prostaglandin-endoperoxide synthase 2, COX-2, PGH synthase 2, PGHS-2

3 Images
Immunohistochemistry (Formalin/PFA-fixed paraffin-embedded sections) - Anti-COX2 / Cyclooxygenase 2 antibody [SP21] - BSA and Azide free (AB307742)
  • IHC-P

Lab

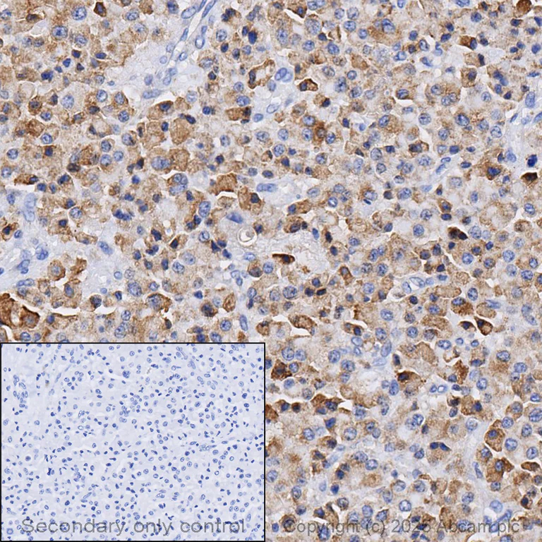
Immunohistochemistry (Formalin/PFA-fixed paraffin-embedded sections) - Anti-COX2 / Cyclooxygenase 2 antibody [SP21] - BSA and Azide free (AB307742)

This data was developed using [ab16701], the same antibody clone in a different buffer formulation.

Immunohistochemical analysis of formalin fixed paraffin embedded human liver hepatocellular carcinoma labelling COX2 with ab16701 at a concentration of 0.1µg/ml. The immunostaining was performed on a Ventana DISCOVERY ULTRA (Roche Tissue Diagnostics) instrument with a OptiView DAB IHC Detection Kit. Heat mediated antigen retrieval was performed with DISCOVERY cell conditioning solution (CC1) 100°C, pH8.5 for 32mins. ab16701 Anti-COX2 / Cyclooxygenase 2 antibody [SP21] was incubated for 16mins at 37°C. Sections were counterstained with Hematoxylin II. Image inset shows absence of staining in secondary antibody only control.

Customers are encouraged to optimise antigen retrieval conditions, antibody concentration, incubation times and temperature for best results in their own IHC assay workflow (automated and manual).

Immunohistochemistry (Formalin/PFA-fixed paraffin-embedded sections) - Anti-COX2 / Cyclooxygenase 2 antibody [SP21] - BSA and Azide free (AB307742)
  • IHC-P

Lab

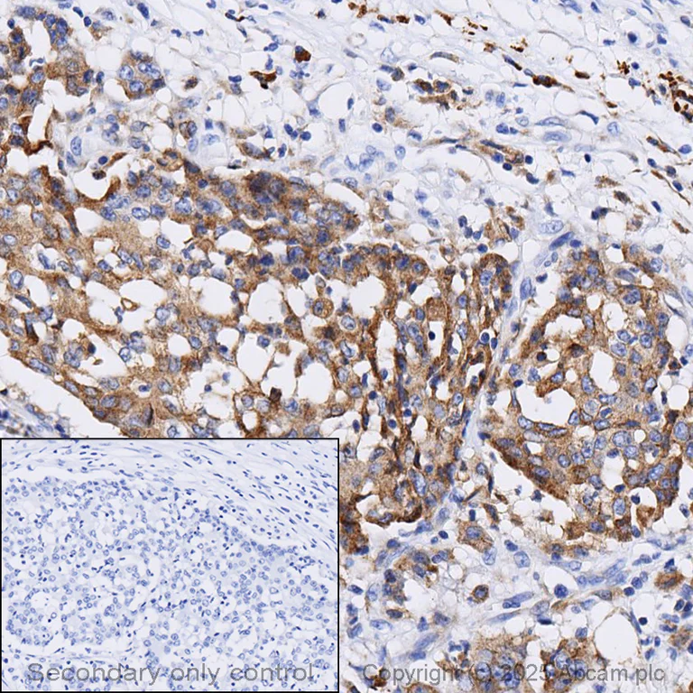
Immunohistochemistry (Formalin/PFA-fixed paraffin-embedded sections) - Anti-COX2 / Cyclooxygenase 2 antibody [SP21] - BSA and Azide free (AB307742)

This data was developed using [ab16701], the same antibody clone in a different buffer formulation.

Immunohistochemical analysis of formalin fixed paraffin embedded human colon adenocarcinoma labelling COX2 with ab16701 at a concentration of 0.1µg/ml. The immunostaining was performed on a Ventana DISCOVERY ULTRA (Roche Tissue Diagnostics) instrument with a OptiView DAB IHC Detection Kit. Heat mediated antigen retrieval was performed with DISCOVERY cell conditioning solution (CC1) 100°C, pH8.5 for 32mins. ab16701 Anti-COX2 / Cyclooxygenase 2 antibody [SP21] was incubated for 16mins at 37°C. Sections were counterstained with Hematoxylin II. Image inset shows absence of staining in secondary antibody only control.

Customers are encouraged to optimise antigen retrieval conditions, antibody concentration, incubation times and temperature for best results in their own IHC assay workflow (automated and manual).

Immunohistochemistry (Formalin/PFA-fixed paraffin-embedded sections) - Anti-COX2 / Cyclooxygenase 2 antibody [SP21] - BSA and Azide free (AB307742)
  • IHC-P

Lab

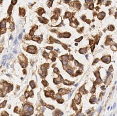
Immunohistochemistry (Formalin/PFA-fixed paraffin-embedded sections) - Anti-COX2 / Cyclooxygenase 2 antibody [SP21] - BSA and Azide free (AB307742)

This data was developed using [ab16701], the same antibody clone in a different buffer formulation.

Immunohistochemical analysis of paraffin-embedded Human colon carcinoma labeling COX2/Cyclooxygenase 2 with ab16701 at 1/100 (6 μg/ml). The section was pre-treated using heat mediated antigen retrieval with sodium citrate buffer (pH 6.0, epitope retrieval solution 1) for 20 mins. The section was then incubated with ab16701 for 15 mins at room temperature and detected using an HRP conjugated compact polymer system. The immunostaining was performed on a Leica Biosystems BOND® RX instrument. DAB was used as the chromogen. Counterstained with Hematoxylin and mounted with DPX.

Key facts

Host species

Rabbit

Clonality

Monoclonal

Clone number

SP21

Isotype

IgG

Carrier free

Yes

Reacts with

Human

Applications

IHC-P

applications

Immunogen

The exact immunogen used to generate this antibody is proprietary information.

Reactivity data

{ "title": "Reactivity Data", "filters": { "stats": ["", "Species", "Dilution Info", "Notes"], "tabs": { "all-applications": {"fullname" : "All Applications", "shortname": "All Applications"}, "IHCP" : {"fullname" : "Immunohistochemistry (Formalin/PFA-fixed paraffin-embedded sections)", "shortname":"IHC-P"}, "WB" : {"fullname" : "Western blot", "shortname":"WB"} }, "product-promise": { "all": "all", "testedAndGuaranteed": "tested", "guaranteed": "expected", "predicted": "predicted", "notRecommended": "not-recommended" } }, "values": { "Human": { "IHCP-species-checked": "testedAndGuaranteed", "IHCP-species-dilution-info": "", "IHCP-species-notes": "<p></p> Perform heat-mediated antigen retrieval before commencing with IHC staining protocol.", "WB-species-checked": "notRecommended", "WB-species-dilution-info": "", "WB-species-notes": "" }, "Mouse": { "IHCP-species-checked": "predicted", "IHCP-species-dilution-info": "", "IHCP-species-notes": "", "WB-species-checked": "notRecommended", "WB-species-dilution-info": "", "WB-species-notes": "<p></p>" }, "Rat": { "IHCP-species-checked": "predicted", "IHCP-species-dilution-info": "", "IHCP-species-notes": "", "WB-species-checked": "notRecommended", "WB-species-dilution-info": "", "WB-species-notes": "" } } }

Product details

ab307742 is the carrier free version of ab16701

Patented technology
Our RabMAb® technology is a patented hybridoma-based technology for making rabbit monoclonal antibodies. For details on our patents, please refer to RabMAb® patents.

What are the advantages of a recombinant monoclonal antibody?
This product is a recombinant monoclonal antibody, which offers several advantages including:

  • - High batch-to-batch consistency and reproducibility
  • - Improved sensitivity and specificity
  • - Long-term security of supply
  • - Animal-free batch production

For more information, read more on recombinant antibodies.

Conjugation ready
Our carrier-free antibodies are typically supplied in a PBS-only formulation, purified and free of BSA, sodium azide and glycerol. This conjugation-ready format is designed for use with fluorochromes, metal isotopes, oligonucleotides, and enzymes, which makes them ideal for antibody labelling, functional and cell-based assays, flow-based assays (e.g. mass cytometry) and Multiplex Imaging applications.

Use our conjugation kits for antibody conjugates that are ready-to-use in as little as 20 minutes with 1 minute hands-on-time and 100% antibody recovery: available for fluorescent dyes, HRP, biotin and gold.

Compatibility
This product is compatible with the Maxpar® Antibody Labeling Kit from Fluidigm, without the need for antibody preparation. Maxpar® is a trademark of Fluidigm Canada Inc.

Properties and storage information

Form
Liquid
Purification technique
Affinity purification Protein A
Storage buffer
pH: 7.2 - 7.4 Constituents: PBS
Shipped at conditions
Blue Ice
Appropriate short-term storage conditions
+4°C
Appropriate long-term storage conditions
+4°C

Supplementary information

This supplementary information is collated from multiple sources and compiled automatically.

Cyclooxygenase 2 also known as COX2 is an enzyme involved in the conversion of arachidonic acid to prostaglandins which are lipid compounds with hormone-like effects. It has alternative names including prostaglandin-endoperoxide synthase 2. The molecular weight of COX2 is approximately 72 kDa. This enzyme is expressed in various tissues including the brain kidneys and areas of inflammation. COX2 expression increases during inflammatory responses and is induced by pro-inflammatory cytokines.
Biological function summary

COX2 plays a significant role in the inflammatory response and is part of the complex process of synthesizing prostaglandins. These compounds mediate inflammation and pain making COX2 an important target for understanding these processes. COX2 is not ubiquitously expressed but rather is induced in activated macrophages and other cells during inflammatory conditions. Its function is also important for normal physiological processes like ovulation and implantation.

Pathways

COX2 is essential in the prostaglandin biosynthesis pathway connecting it to the arachidonic acid metabolism pathway. Cyclooxygenase 2 works with phospholipase A2 which releases arachidonic acid from the phospholipid membrane. COX2 then converts this acid to prostaglandin H2 a precursor for other prostaglandins. COX1 the other isoform of cyclooxygenase is closely related to COX2 and while they have different expression patterns they share some functional similarities in these pathways.

COX2 is connected to inflammatory conditions like arthritis and cancer. Its expression often increases in various cancer types contributing to tumor growth and metastasis by promoting angiogenesis and suppressing immune responses. The enzyme is also linked to rheumatoid arthritis where its overexpression exacerbates inflammation. COX2 inhibitors like ketorolac tromethamine or naproxen structure mitigate symptoms by decreasing prostaglandin synthesis. These inhibitors also interact with COX1 but selective inhibition of COX2 targets inflammation more effectively with fewer gastric side effects associated with COX1 inhibition.

Product protocols

For this product, it's our understanding that no specific protocols are required. You can visit:

Target data

Dual cyclooxygenase and peroxidase in the biosynthesis pathway of prostanoids, a class of C20 oxylipins mainly derived from arachidonate ((5Z,8Z,11Z,14Z)-eicosatetraenoate, AA, C20 : 4(n-6)), with a particular role in the inflammatory response (PubMed : 11939906, PubMed : 16373578, PubMed : 19540099, PubMed : 22942274, PubMed : 26859324, PubMed : 27226593, PubMed : 7592599, PubMed : 7947975, PubMed : 9261177). The cyclooxygenase activity oxygenates AA to the hydroperoxy endoperoxide prostaglandin G2 (PGG2), and the peroxidase activity reduces PGG2 to the hydroxy endoperoxide prostaglandin H2 (PGH2), the precursor of all 2-series prostaglandins and thromboxanes (PubMed : 16373578, PubMed : 22942274, PubMed : 26859324, PubMed : 27226593, PubMed : 7592599, PubMed : 7947975, PubMed : 9261177). This complex transformation is initiated by abstraction of hydrogen at carbon 13 (with S-stereochemistry), followed by insertion of molecular O2 to form the endoperoxide bridge between carbon 9 and 11 that defines prostaglandins. The insertion of a second molecule of O2 (bis-oxygenase activity) yields a hydroperoxy group in PGG2 that is then reduced to PGH2 by two electrons (PubMed : 16373578, PubMed : 22942274, PubMed : 26859324, PubMed : 27226593, PubMed : 7592599, PubMed : 7947975, PubMed : 9261177). Similarly catalyzes successive cyclooxygenation and peroxidation of dihomo-gamma-linoleate (DGLA, C20 : 3(n-6)) and eicosapentaenoate (EPA, C20 : 5(n-3)) to corresponding PGH1 and PGH3, the precursors of 1- and 3-series prostaglandins (PubMed : 11939906, PubMed : 19540099). In an alternative pathway of prostanoid biosynthesis, converts 2-arachidonoyl lysophopholipids to prostanoid lysophopholipids, which are then hydrolyzed by intracellular phospholipases to release free prostanoids (PubMed : 27642067). Metabolizes 2-arachidonoyl glycerol yielding the glyceryl ester of PGH2, a process that can contribute to pain response (PubMed : 22942274). Generates lipid mediators from n-3 and n-6 polyunsaturated fatty acids (PUFAs) via a lipoxygenase-type mechanism. Oxygenates PUFAs to hydroperoxy compounds and then reduces them to corresponding alcohols (PubMed : 11034610, PubMed : 11192938, PubMed : 9048568, PubMed : 9261177). Plays a role in the generation of resolution phase interaction products (resolvins) during both sterile and infectious inflammation (PubMed : 12391014). Metabolizes docosahexaenoate (DHA, C22 : 6(n-3)) to 17R-HDHA, a precursor of the D-series resolvins (RvDs) (PubMed : 12391014). As a component of the biosynthetic pathway of E-series resolvins (RvEs), converts eicosapentaenoate (EPA, C20 : 5(n-3)) primarily to 18S-HEPE that is further metabolized by ALOX5 and LTA4H to generate 18S-RvE1 and 18S-RvE2 (PubMed : 21206090). In vascular endothelial cells, converts docosapentaenoate (DPA, C22 : 5(n-3)) to 13R-HDPA, a precursor for 13-series resolvins (RvTs) shown to activate macrophage phagocytosis during bacterial infection (PubMed : 26236990). In activated leukocytes, contributes to oxygenation of hydroxyeicosatetraenoates (HETE) to diHETES (5,15-diHETE and 5,11-diHETE) (PubMed : 22068350, PubMed : 26282205). Can also use linoleate (LA, (9Z,12Z)-octadecadienoate, C18 : 2(n-6)) as substrate and produce hydroxyoctadecadienoates (HODEs) in a regio- and stereospecific manner, being (9R)-HODE ((9R)-hydroxy-(10E,12Z)-octadecadienoate) and (13S)-HODE ((13S)-hydroxy-(9Z,11E)-octadecadienoate) its major products (By similarity). During neuroinflammation, plays a role in neuronal secretion of specialized preresolving mediators (SPMs) 15R-lipoxin A4 that regulates phagocytic microglia (By similarity).
See full target information PTGS2

Product promise

We are committed to supporting your work with high-quality reagents, and we're here for you every step of the way. In the unlikely event that one of our products does not perform as expected, you're protected by our Product Promise.
For full details, please see our Terms & Conditions

Please note: All products are 'FOR RESEARCH USE ONLY. NOT FOR USE IN DIAGNOSTIC OR THERAPEUTIC PROCEDURES'.

For licensing inquiries, please contact partnerships@abcam.com