JavaScript is disabled in your browser. Please enable JavaScript to view this website.
AB250141

Anti-COX5A antibody [EPR14208(B)] - BSA and Azide free

Be the first to review this product! Submit a review

|

(0 Publication)

Rabbit Recombinant Monoclonal COX5A antibody. Carrier free. Suitable for IHC-P, IP, WB and reacts with Human, Mouse, Rat samples.

View Alternative Names

Cytochrome c oxidase polypeptide Va, COX5A

5 Images
Immunoprecipitation - Anti-COX5A antibody [EPR14208(B)] - BSA and Azide free (AB250141)
  • IP

Unknown

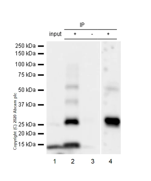
Immunoprecipitation - Anti-COX5A antibody [EPR14208(B)] - BSA and Azide free (AB250141)

Purified ab180129 at 1/80 dilution (2ug) immunoprecipitating COX5A in Mouse heart lysate.

Lane 1 (input) : Mouse heart lysate (10μg)

Lane 2 (+) : ab180129 + Mouse heart lysate.

Lane 3 (-) : Rabbit monoclonal IgG (ab172730) instead of ab180129 in Mouse heart lysate.

Lane 4 : Mouse heart lysate captured by ab180129 and detected by anti-Ubiquitin antibody (ab134953).

VeriBlot for IP Detection Reagent (HRP) (ab131366) (1/1000) was used for Western blotting.
Blocking Buffer and concentration : 5% NFDM/TBST.
Diluting buffer and concentration : 5% NFDM/TBST.
Observed band size : 13 kDa
The ladder band pattern could be ubiquitylated Cox5a as validated by anti-Ubiquitin antibody (ab134953, Lane4)
This data was developed using the same antibody clone in a different buffer formulation containing PBS, BSA, glycerol, and sodium azide (ab180129).

All lanes:

Immunoprecipitation - Anti-COX5A antibody [EPR14208(B)] (<a href='/en-us/products/primary-antibodies/cox5a-antibody-epr14208b-ab180129'>ab180129</a>)

false

Western blot - Anti-COX5A antibody [EPR14208(B)] - BSA and Azide free (AB250141)
  • WB

Unknown

Western blot - Anti-COX5A antibody [EPR14208(B)] - BSA and Azide free (AB250141)

The molecular weight observed is consistent with what has been described in PMID : 28082314.

This data was developed using the same antibody clone in a different buffer formulation containing PBS, BSA, glycerol, and sodium azide (ab180129).

All lanes:

Western blot - Anti-COX5A antibody [EPR14208(B)] (<a href='/en-us/products/primary-antibodies/cox5a-antibody-epr14208b-ab180129'>ab180129</a>) at 1/5000 dilution

Lane 1:

HeLa (Human cervix adenocarcinoma epithelial cell) whole cell lysates at 20 µg

Lane 2:

Human heart lysates at 20 µg

Lane 3:

Mouse brain lysates at 20 µg

Lane 4:

Mouse heart lysates at 20 µg

Lane 5:

Rat brain lysates at 20 µg

Lane 6:

Rat heart lysates at 20 µg

Secondary

All lanes:

Goat Anti-Rabbit IgG (HRP) with minimal cross-reactivity with human IgG at 1/2000 dilution

false

Immunohistochemistry (Formalin/PFA-fixed paraffin-embedded sections) - Anti-COX5A antibody [EPR14208(B)] - BSA and Azide free (AB250141)
  • IHC-P

Unknown

Immunohistochemistry (Formalin/PFA-fixed paraffin-embedded sections) - Anti-COX5A antibody [EPR14208(B)] - BSA and Azide free (AB250141)

Immunohistochemistry (Formalin/PFA-fixed paraffin-embedded sections) analysis of human colon carcinoma tissue sections labeling COX5A with Purified ab180129 at 1/3000 dilution (0.5 μg/mL). Heat mediated antigen retrieval using Bond™™ Epitope Retrieval Solution 1 (pH 6.0). Rabbit specific IHC polymer detection kit HRP/DAB (ab209101) was used as the secondary antibody. Negative control : PBS instead of the primary antibody. Hematoxylin was used as a counterstain.
This data was developed using the same antibody clone in a different buffer formulation containing PBS, BSA, glycerol, and sodium azide (ab180129).

Immunohistochemistry (Formalin/PFA-fixed paraffin-embedded sections) - Anti-COX5A antibody [EPR14208(B)] - BSA and Azide free (AB250141)
  • IHC-P

Unknown

Immunohistochemistry (Formalin/PFA-fixed paraffin-embedded sections) - Anti-COX5A antibody [EPR14208(B)] - BSA and Azide free (AB250141)

Immunohistochemistry (Formalin/PFA-fixed paraffin-embedded sections) analysis of rat stomach tissue sections labeling COX5A with Purified ab180129 at 1/3000 dilution (0.5 μg/mL). Heat mediated antigen retrieval using Bond™™ Epitope Retrieval Solution 1 (pH 6.0). Rabbit specific IHC polymer detection kit HRP/DAB (ab209101) was used as the secondary antibody. Negative control : PBS instead of the primary antibody. Hematoxylin was used as a counterstain.
This data was developed using the same antibody clone in a different buffer formulation containing PBS, BSA, glycerol, and sodium azide (ab180129).

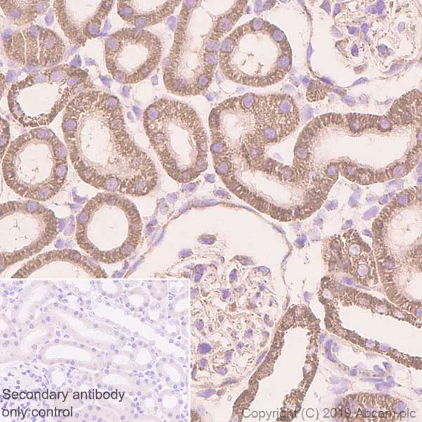
Immunohistochemistry (Formalin/PFA-fixed paraffin-embedded sections) - Anti-COX5A antibody [EPR14208(B)] - BSA and Azide free (AB250141)
  • IHC-P

Unknown

Immunohistochemistry (Formalin/PFA-fixed paraffin-embedded sections) - Anti-COX5A antibody [EPR14208(B)] - BSA and Azide free (AB250141)

Immunohistochemistry (Formalin/PFA-fixed paraffin-embedded sections) analysis of mouse kidney tissue sections labeling COX5A with Purified ab180129 at 1/3000 dilution (0.5 μg/mL). Heat mediated antigen retrieval using Bond™™ Epitope Retrieval Solution 1 (pH 6.0). Rabbit specific IHC polymer detection kit HRP/DAB (ab209101) was used as the secondary antibody. Negative control : PBS instead of the primary antibody. Hematoxylin was used as a counterstain.
This data was developed using the same antibody clone in a different buffer formulation containing PBS, BSA, glycerol, and sodium azide (ab180129).

Key facts

Host species

Rabbit

Clonality

Monoclonal

Clone number

EPR14208(B)

Isotype

IgG

Carrier free

Yes

Reacts with

Mouse, Rat, Human

Applications

IP, WB, IHC-P

applications

Immunogen

The exact immunogen used to generate this antibody is proprietary information.

Reactivity data

{ "title": "Reactivity Data", "filters": { "stats": ["", "Species", "Dilution Info", "Notes"], "tabs": { "all-applications": {"fullname" : "All Applications", "shortname": "All Applications"}, "IHCP" : {"fullname" : "Immunohistochemistry (Formalin/PFA-fixed paraffin-embedded sections)", "shortname":"IHC-P"}, "IP" : {"fullname" : "Immunoprecipitation", "shortname":"IP"}, "WB" : {"fullname" : "Western blot", "shortname":"WB"} }, "product-promise": { "all": "all", "testedAndGuaranteed": "tested", "guaranteed": "expected", "predicted": "predicted", "notRecommended": "not-recommended" } }, "values": { "Human": { "IHCP-species-checked": "testedAndGuaranteed", "IHCP-species-dilution-info": "", "IHCP-species-notes": "<p>The immunostaining was performed on a Leica Biosystems BOND<sup>®</sup> RX instrument.</p>", "IP-species-checked": "guaranteed", "IP-species-dilution-info": "", "IP-species-notes": "", "WB-species-checked": "testedAndGuaranteed", "WB-species-dilution-info": "", "WB-species-notes": "<p></p>" }, "Mouse": { "IHCP-species-checked": "testedAndGuaranteed", "IHCP-species-dilution-info": "", "IHCP-species-notes": "<p>The immunostaining was performed on a Leica Biosystems BOND<sup>®</sup> RX instrument.</p>", "IP-species-checked": "testedAndGuaranteed", "IP-species-dilution-info": "", "IP-species-notes": "<p></p>", "WB-species-checked": "guaranteed", "WB-species-dilution-info": "", "WB-species-notes": "" }, "Rat": { "IHCP-species-checked": "testedAndGuaranteed", "IHCP-species-dilution-info": "", "IHCP-species-notes": "<p>The immunostaining was performed on a Leica Biosystems BOND<sup>®</sup> RX instrument.</p>", "IP-species-checked": "guaranteed", "IP-species-dilution-info": "", "IP-species-notes": "", "WB-species-checked": "guaranteed", "WB-species-dilution-info": "", "WB-species-notes": "" } } }

You may be interested in:

AB239711

Cytochrome C Oxidase Assay Kit

0

0 Reviews

View product

We recommend this product because it’s often used in the same experiment or related research.

We advise that you always check the datasheet to ensure it fits your experiments, or contact ourtechnical teamfor help.

Product details

ab250141 is the carrier-free version of ab180129.

Patented technology
Our RabMAb® technology is a patented hybridoma-based technology for making rabbit monoclonal antibodies. For details on our patents, please refer to RabMAb® patents.

What are the advantages of a recombinant monoclonal antibody?
This product is a recombinant monoclonal antibody, which offers several advantages including:

  • - High batch-to-batch consistency and reproducibility
  • - Improved sensitivity and specificity
  • - Long-term security of supply
  • - Animal-free batch production

For more information, read more on recombinant antibodies.

Conjugation ready
Our carrier-free antibodies are typically supplied in a PBS-only formulation, purified and free of BSA, sodium azide and glycerol. This conjugation-ready format is designed for use with fluorochromes, metal isotopes, oligonucleotides, and enzymes, which makes them ideal for antibody labelling, functional and cell-based assays, flow-based assays (e.g. mass cytometry) and Multiplex Imaging applications.

Use our conjugation kits for antibody conjugates that are ready-to-use in as little as 20 minutes with 1 minute hands-on-time and 100% antibody recovery: available for fluorescent dyes, HRP, biotin and gold.

Compatibility
This product is compatible with the Maxpar® Antibody Labeling Kit from Fluidigm, without the need for antibody preparation. Maxpar® is a trademark of Fluidigm Canada Inc.

Properties and storage information

Form
Liquid
Purification technique
Affinity purification Protein A
Storage buffer
pH: 7.2 - 7.4 Constituents: PBS
Shipped at conditions
Blue Ice
Appropriate short-term storage conditions
+4°C
Appropriate long-term storage conditions
+4°C
Storage information
Do Not Freeze

Supplementary information

This supplementary information is collated from multiple sources and compiled automatically.

COX5A also known as Cytochrome c oxidase subunit 5A plays a role in the electron transport chain which is essential in cellular respiration. This protein has a mass of about 17 kDa and is part of the mitochondrial inner membrane. COX5A is expressed in most tissues given its importance in energy production. It is homologous across species indicating evolutionary conservation and a fundamental biological role.
Biological function summary

COX5A functions as a component of the cytochrome c oxidase complex also known as Complex IV in the mitochondrial electron transport chain. This complex catalyzes the reduction of oxygen to water facilitating ATP synthesis by oxidative phosphorylation. The assembly of cytochrome c oxidase involves several subunits and COX5A contributes to the structural integrity and regulation of this complex. It helps maintain efficient electron flow and energy conversion supporting high-energy demand processes within cells.

Pathways

COX5A is an important player in the oxidative phosphorylation pathway. This pathway is critical for ATP production linking electron transfer with proton transport and chemiosmotic coupling. COX5A interacts with proteins like cytochrome c and other subunits of Complex IV to ensure proper function and energy conversion. The protein is also involved in cellular responses to hypoxia where it helps modulate oxygen utilization.

COX5A has connections to conditions related to impaired energy metabolism such as mitochondrial disorders like MELAS syndrome. Defects or insufficiencies in COX5A contribute to decreased mitochondrial function impacting tissues with high metabolic rates. The protein also relates to neurodegenerative diseases through its effect on mitochondrial stability and function. Its activity may influence disease progression by interacting with proteins that regulate mitochondrial dynamics such as others in the electron transport chain.

Product protocols

For this product, it's our understanding that no specific protocols are required. You can visit:

Target data

Component of the cytochrome c oxidase, the last enzyme in the mitochondrial electron transport chain which drives oxidative phosphorylation. The respiratory chain contains 3 multisubunit complexes succinate dehydrogenase (complex II, CII), ubiquinol-cytochrome c oxidoreductase (cytochrome b-c1 complex, complex III, CIII) and cytochrome c oxidase (complex IV, CIV), that cooperate to transfer electrons derived from NADH and succinate to molecular oxygen, creating an electrochemical gradient over the inner membrane that drives transmembrane transport and the ATP synthase. Cytochrome c oxidase is the component of the respiratory chain that catalyzes the reduction of oxygen to water. Electrons originating from reduced cytochrome c in the intermembrane space (IMS) are transferred via the dinuclear copper A center (CU(A)) of subunit 2 and heme A of subunit 1 to the active site in subunit 1, a binuclear center (BNC) formed by heme A3 and copper B (CU(B)). The BNC reduces molecular oxygen to 2 water molecules using 4 electrons from cytochrome c in the IMS and 4 protons from the mitochondrial matrix.
See full target information Cytochrome c oxidase subunit 5A, mitochondrial

Product promise

We are committed to supporting your work with high-quality reagents, and we're here for you every step of the way. In the unlikely event that one of our products does not perform as expected, you're protected by our Product Promise.
For full details, please see our Terms & Conditions

Please note: All products are 'FOR RESEARCH USE ONLY. NOT FOR USE IN DIAGNOSTIC OR THERAPEUTIC PROCEDURES'.

For licensing inquiries, please contact partnerships@abcam.com