JavaScript is disabled in your browser. Please enable JavaScript to view this website.
AB180136

Anti-COX5B antibody [EPR14439(B)]

4

(1 Review)

|

(8 Publications)

Rabbit Recombinant Monoclonal COX5B antibody. Suitable for IHC-P, IP, WB, ICC/IF, Flow Cyt (Intra) and reacts with Human samples. Cited in 8 publications.

View Alternative Names

Cytochrome c oxidase polypeptide Vb, COX5B

7 Images
Flow Cytometry (Intracellular) - Anti-COX5B antibody [EPR14439(B)] (AB180136)
  • Flow Cyt (Intra)

Supplier Data

Flow Cytometry (Intracellular) - Anti-COX5B antibody [EPR14439(B)] (AB180136)

Intracellular Flow Cytometry analysis of HeLa cells labeling COX5B using ab180136 at 1/10 dilution. A Goat anti rabbit IgG (FITC) at 1/75 dilution was used as secondary antibody. Cells were fixed with 2% paraformaldehyde. Isotype control : Rabbit IgG.

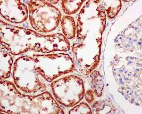
Immunohistochemistry (Formalin/PFA-fixed paraffin-embedded sections) - Anti-COX5B antibody [EPR14439(B)] (AB180136)
  • IHC-P

Supplier Data

Immunohistochemistry (Formalin/PFA-fixed paraffin-embedded sections) - Anti-COX5B antibody [EPR14439(B)] (AB180136)

Immunohistochemical analysis of paraffin-embedded human kidney tissue labeling COX5B using ab180136 at 1/500 dilution. A Goat anti rabbit IgG (HRP) prediluted was used as secondary. Counterstain : Hematoxylin.

Perform heat mediated antigen retrieval with citrate buffer pH 6 before commencing with IHC staining protocol.

Immunocytochemistry/ Immunofluorescence - Anti-COX5B antibody [EPR14439(B)] (AB180136)
  • ICC/IF

Supplier Data

Immunocytochemistry/ Immunofluorescence - Anti-COX5B antibody [EPR14439(B)] (AB180136)

Immunofluorescence analysis of HepG2 cells labeling COX5B using ab180136 at 1/1000 dilution. A Goat anti rabbit IgG (Dylight 555) at 1/250 dilution was used as secondary antibody. Cells were fixed with 4% paraformaldehyde. Counterstain : DAPI.

Immunoprecipitation - Anti-COX5B antibody [EPR14439(B)] (AB180136)
  • IP

Supplier Data

Immunoprecipitation - Anti-COX5B antibody [EPR14439(B)] (AB180136)

Immunoprecipitation analysis of Human fetal heart lysate labeling COX5B using ab180136 at 1/70 dilution. A Goat Anti-Rabbit IgG, (H+L), Peroxidase conjugated at 1/1000 was used as secondary antibody.

All lanes:

Immunoprecipitation - Anti-COX5B antibody [EPR14439(B)] (ab180136)

Predicted band size: 14 kDa,481 kDa

false

Western blot - Anti-COX5B antibody [EPR14439(B)] (AB180136)
  • WB

Supplier Data

Western blot - Anti-COX5B antibody [EPR14439(B)] (AB180136)

All lanes:

Western blot - Anti-COX5B antibody [EPR14439(B)] (ab180136) at 1/50000 dilution

Lane 1:

Human fetal heart lysate at 20 µg

Lane 2:

HepG2 cell lysate at 20 µg

Lane 3:

HeLa cell lysate at 20 µg

Secondary

All lanes:

Goat Anti-Rabbit IgG, (H+L), Peroxidase conjugated at 1/1000 dilution

Predicted band size: 14 kDa

false

Western blot - Anti-COX5B antibody [EPR14439(B)] (AB180136)
  • WB

Supplier Data

Western blot - Anti-COX5B antibody [EPR14439(B)] (AB180136)

All lanes:

Western blot - Anti-COX5B antibody [EPR14439(B)] (ab180136) at 1/10000 dilution

All lanes:

U87-MG cell lysate at 20 µg

Secondary

All lanes:

Goat Anti-Rabbit IgG, (H+L), Peroxidase conjugated at 1/1000 dilution

Predicted band size: 14 kDa

false

Western blot - Anti-COX5B antibody [EPR14439(B)] (AB180136)
  • WB

AbReview79479****

Western blot - Anti-COX5B antibody [EPR14439(B)] (AB180136)

All lanes:

Western blot - Anti-COX5B antibody [EPR14439(B)] (ab180136) at 1/10000 dilution

Lane 1:

IMR32- human neuroblastoma whole cell lysate at 35 µg

Lane 2:

9464D- murine Neuroblastoma whole cell lysate at 35 µg

Secondary

All lanes:

Anti-rabbit IgG, HRP-linked Antibody at 1/6000 dilution

false

This image is courtesy of an Abreview submitted by Divya Nagarajan

  • Carrier free

    Anti-COX5B antibody [EPR14439(B)] - BSA and Azide free

Key facts

Host species

Rabbit

Clonality

Monoclonal

Clone number

EPR14439(B)

Isotype

IgG

Carrier free

No

Reacts with

Human

Applications

ICC/IF, IHC-P, IP, WB, Flow Cyt (Intra)

applications

Immunogen

The exact immunogen used to generate this antibody is proprietary information.

Reactivity data

{ "title": "Reactivity Data", "filters": { "stats": ["", "Species", "Dilution Info", "Notes"], "tabs": { "all-applications": {"fullname" : "All Applications", "shortname": "All Applications"}, "IHCP" : {"fullname" : "Immunohistochemistry (Formalin/PFA-fixed paraffin-embedded sections)", "shortname":"IHC-P"}, "IP" : {"fullname" : "Immunoprecipitation", "shortname":"IP"}, "WB" : {"fullname" : "Western blot", "shortname":"WB"}, "ICCIF" : {"fullname" : "Immunocytochemistry/ Immunofluorescence", "shortname":"ICC/IF"}, "FlowCytIntra" : {"fullname" : "Flow Cytometry (Intracellular)", "shortname":"Flow Cyt (Intra)"} }, "product-promise": { "all": "all", "testedAndGuaranteed": "tested", "guaranteed": "expected", "predicted": "predicted", "notRecommended": "not-recommended" } }, "values": { "Human": { "IHCP-species-checked": "testedAndGuaranteed", "IHCP-species-dilution-info": "1/500", "IHCP-species-notes": "<p></p> Perform heat-mediated antigen retrieval with citrate buffer pH 6 before commencing with IHC staining protocol.", "IP-species-checked": "testedAndGuaranteed", "IP-species-dilution-info": "1/70", "IP-species-notes": "<p></p>", "WB-species-checked": "testedAndGuaranteed", "WB-species-dilution-info": "1/10000 - 1/50000", "WB-species-notes": "<p></p>", "ICCIF-species-checked": "testedAndGuaranteed", "ICCIF-species-dilution-info": "1/1000", "ICCIF-species-notes": "<p></p>", "FlowCytIntra-species-checked": "testedAndGuaranteed", "FlowCytIntra-species-dilution-info": "1/10", "FlowCytIntra-species-notes": "<p><a href='/en-us/products/primary-antibodies/rabbit-igg-monoclonal-epr25a-isotype-control-ab172730'>ab172730</a> - Rabbit monoclonal IgG, is suitable for use as an isotype control with this antibody.</p>" }, "Mouse": { "IHCP-species-checked": "predicted", "IHCP-species-dilution-info": "", "IHCP-species-notes": "", "IP-species-checked": "predicted", "IP-species-dilution-info": "", "IP-species-notes": "", "WB-species-checked": "predicted", "WB-species-dilution-info": "", "WB-species-notes": "", "ICCIF-species-checked": "predicted", "ICCIF-species-dilution-info": "", "ICCIF-species-notes": "", "FlowCytIntra-species-checked": "predicted", "FlowCytIntra-species-dilution-info": "", "FlowCytIntra-species-notes": "" }, "Rat": { "IHCP-species-checked": "predicted", "IHCP-species-dilution-info": "", "IHCP-species-notes": "", "IP-species-checked": "predicted", "IP-species-dilution-info": "", "IP-species-notes": "", "WB-species-checked": "predicted", "WB-species-dilution-info": "", "WB-species-notes": "", "ICCIF-species-checked": "predicted", "ICCIF-species-dilution-info": "", "ICCIF-species-notes": "", "FlowCytIntra-species-checked": "predicted", "FlowCytIntra-species-dilution-info": "", "FlowCytIntra-species-notes": "" } } }

Product details

Patented technology
Our RabMAb® technology is a patented hybridoma-based technology for making rabbit monoclonal antibodies. For details on our patents, please refer to RabMAb® patents.

What are the advantages of a recombinant monoclonal antibody?
This product is a recombinant monoclonal antibody, which offers several advantages including:

  • - High batch-to-batch consistency and reproducibility
  • - Improved sensitivity and specificity
  • - Long-term security of supply
  • - Animal-free batch production

For more information, read more on recombinant antibodies.

Properties and storage information

Form
Liquid
Purification technique
Affinity purification Protein A
Storage buffer
Preservative: 0.01% Sodium azide Constituents: PBS, 40% Glycerol (glycerin, glycerine), 0.05% BSA
Shipped at conditions
Blue Ice
Appropriate short-term storage duration
1-2 weeks
Appropriate short-term storage conditions
+4°C
Appropriate long-term storage conditions
-20°C
Aliquoting information
Upon delivery aliquot
Storage information
Avoid freeze / thaw cycle

Supplementary information

This supplementary information is collated from multiple sources and compiled automatically.

The target COX5B also known as cytochrome c oxidase subunit 5B is a subunit of the cytochrome c oxidase (complex IV) in mitochondria. This protein has a mass of approximately 13.2 kDa and plays an essential role in the electron transport chain. COX5B aids in the terminal step of the mitochondrial respiratory chain by facilitating electron transfer from reduced cytochrome c to oxygen. This process occurs mainly in mitochondria-rich tissues such as muscles neurons and cardiac muscle where high energy demand exists.
Biological function summary

COX5B acts within the larger cytochrome c oxidase complex which consists of multiple subunits that work together to promote efficient oxidative phosphorylation. This subunit contributes to the enzymatic activity that pumps protons across the inner mitochondrial membrane a critical step for ATP synthesis. The operation of COX5B is important for cellular respiration and energy production impacting metabolic functions across various cell types. It maintains cellular energy homeostasis by regulating how efficiently cells convert nutrients into energy.

Pathways

COX5B plays an important role in the oxidative phosphorylation pathway and is a part of the electron transport chain (ETC). It interacts with other ETC proteins such as COX2 and COX3 to ensure the proper function of the chain. Furthermore COX5B's involvement in oxidative phosphorylation links it to pathways like ATP synthesis where it indirectly influences essential cellular processes such as apoptosis and cellular metabolism due to its role in energy production.

COX5B has associations with conditions involving mitochondrial dysfunction such as mitochondrial myopathy and mitochondrial encephalomyopathy. Alterations in COX5B expression or function might disrupt the electron transport chain compromising ATP production. These conditions often coexist with mutations or dysregulation in other mitochondrial proteins such as COX6A1 which indicate a broader spectrum of mitochondrial disorders. Understanding COX5B's role in such diseases could lead to insights into potential therapeutic targets for mitochondrial-related disorders.

Product protocols

For this product, it's our understanding that no specific protocols are required. You can visit:

Target data

Component of the cytochrome c oxidase, the last enzyme in the mitochondrial electron transport chain which drives oxidative phosphorylation. The respiratory chain contains 3 multisubunit complexes succinate dehydrogenase (complex II, CII), ubiquinol-cytochrome c oxidoreductase (cytochrome b-c1 complex, complex III, CIII) and cytochrome c oxidase (complex IV, CIV), that cooperate to transfer electrons derived from NADH and succinate to molecular oxygen, creating an electrochemical gradient over the inner membrane that drives transmembrane transport and the ATP synthase. Cytochrome c oxidase is the component of the respiratory chain that catalyzes the reduction of oxygen to water. Electrons originating from reduced cytochrome c in the intermembrane space (IMS) are transferred via the dinuclear copper A center (CU(A)) of subunit 2 and heme A of subunit 1 to the active site in subunit 1, a binuclear center (BNC) formed by heme A3 and copper B (CU(B)). The BNC reduces molecular oxygen to 2 water molecules using 4 electrons from cytochrome c in the IMS and 4 protons from the mitochondrial matrix.
See full target information Cytochrome c oxidase subunit 5B, mitochondrial

Publications (8)

Recent publications for all applications. Explore the full list and refine your search

International journal of biological sciences 21:5393-5410 PubMed40959270

2025

Altered Heme and Redox Homeostasis Underpin Late-onset Alzheimer's Disease.

Applications

Unspecified application

Species

Unspecified reactive species

Adedamola Saidi Soladogun,Chantal Vidal,Maria Del Carmen Chacon Castro,Heng Du,Li Zhang

RNA (New York, N.Y.) 30:223-239 PubMed38164626

2024

LARP4 is an RNA-binding protein that binds nuclear-encoded mitochondrial mRNAs to promote mitochondrial function.

Applications

Unspecified application

Species

Unspecified reactive species

Benjamin M Lewis,Chae Yun Cho,Hsuan-Lin Her,Orel Mizrahi,Tony Hunter,Gene W Yeo

Biomedicines 10: PubMed35052740

2021

COX5B-Mediated Bioenergetic Alterations Modulate Cell Growth and Anticancer Drug Susceptibility by Orchestrating Claudin-2 Expression in Colorectal Cancers.

Applications

Unspecified application

Species

Unspecified reactive species

Yu-De Chu,Siew-Na Lim,Chau-Ting Yeh,Wey-Ran Lin

Cancers 12: PubMed32580279

2020

COX5B-Mediated Bioenergetic Alteration Regulates Tumor Growth and Migration by Modulating AMPK-UHMK1-ERK Cascade in Hepatoma.

Applications

Unspecified application

Species

Unspecified reactive species

Yu-De Chu,Wey-Ran Lin,Yang-Hsiang Lin,Wen-Hsin Kuo,Chin-Ju Tseng,Siew-Na Lim,Yen-Lin Huang,Shih-Chiang Huang,Ting-Jung Wu,Kwang-Huei Lin,Chau-Ting Yeh

Oxidative medicine and cellular longevity 2020:5408452 PubMed32587661

2020

Proteomic Profile of Mouse Brain Aging Contributions to Mitochondrial Dysfunction, DNA Oxidative Damage, Loss of Neurotrophic Factor, and Synaptic and Ribosomal Proteins.

Applications

Unspecified application

Species

Unspecified reactive species

Yingchao Li,Haitao Yu,Chongyang Chen,Shupeng Li,Zaijun Zhang,Hua Xu,Feiqi Zhu,Jianjun Liu,Peter S Spencer,Zhongliang Dai,Xifei Yang

International journal of urology : official journal of the Japanese Urological Association 26:910-916 PubMed31280487

2019

Systematic expression analysis of the mitochondrial respiratory chain protein subunits identifies COX5B as a prognostic marker in clear cell renal cell carcinoma.

Applications

Unspecified application

Species

Unspecified reactive species

Johannes Stein,Julia Tenbrock,Glen Kristiansen,Stefan C Müller,Jörg Ellinger

Mitochondrion 47:114-124 PubMed31170524

2019

Pyridine nucleotide-disulphide oxidoreductase domain 2 (PYROXD2): Role in mitochondrial function.

Applications

Unspecified application

Species

Unspecified reactive species

Tao Wang,Xiaoyuan Xie,HuiLin Liu,Feng Chen,Jianhua Du,XingZhi Wang,XingYan Jiang,Fang Yu,Handong Fan

The international journal of biochemistry & cell b 79:128-138 PubMed27590850

2016

Circumventing the Crabtree Effect: A method to induce lactate consumption and increase oxidative phosphorylation in cell culture.

Applications

Unspecified application

Species

Unspecified reactive species

Alexandra I Mot,Jeffrey R Liddell,Anthony R White,Peter J Crouch
View all publications

Product promise

We are committed to supporting your work with high-quality reagents, and we're here for you every step of the way. In the unlikely event that one of our products does not perform as expected, you're protected by our Product Promise.
For full details, please see our Terms & Conditions

Please note: All products are 'FOR RESEARCH USE ONLY. NOT FOR USE IN DIAGNOSTIC OR THERAPEUTIC PROCEDURES'.

For licensing inquiries, please contact partnerships@abcam.com