JavaScript is disabled in your browser. Please enable JavaScript to view this website.
AB140629

Anti-COX7B antibody [EPR9326(B)]

Be the first to review this product! Submit a review

|

(1 Publication)

Rabbit Recombinant Monoclonal COX7B antibody. Suitable for IHC-P, WB, ICC/IF and reacts with Human samples. Cited in 1 publication.

View Alternative Names

Cytochrome c oxidase polypeptide VIIb, COX7B

5 Images
Immunocytochemistry/ Immunofluorescence - Anti-COX7B antibody [EPR9326(B)] (AB140629)
  • ICC/IF

Unknown

Immunocytochemistry/ Immunofluorescence - Anti-COX7B antibody [EPR9326(B)] (AB140629)

Immunofluorescent staining of 293 cells labelling COX7B with ab140629 at 1/250 dilution.

Immunohistochemistry (Formalin/PFA-fixed paraffin-embedded sections) - Anti-COX7B antibody [EPR9326(B)] (AB140629)
  • IHC-P

Unknown

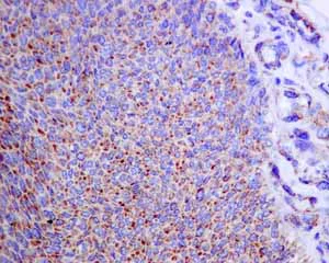
Immunohistochemistry (Formalin/PFA-fixed paraffin-embedded sections) - Anti-COX7B antibody [EPR9326(B)] (AB140629)

Immunohistochemical analysis of paraffin-embedded Human bladder carcinoma tissue labelling COX7B with ab140629 at 1/50 dilution.

Perform heat mediated antigen retrieval with citrate buffer pH 6 before commencing with IHC staining protocol.

Immunohistochemistry (Formalin/PFA-fixed paraffin-embedded sections) - Anti-COX7B antibody [EPR9326(B)] (AB140629)
  • IHC-P

Unknown

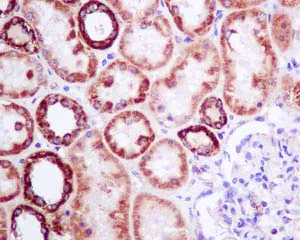
Immunohistochemistry (Formalin/PFA-fixed paraffin-embedded sections) - Anti-COX7B antibody [EPR9326(B)] (AB140629)

Immunohistochemical analysis of paraffin-embedded Human kidney tissue labelling COX7B with ab140629 at 1/50 dilution.

Perform heat mediated antigen retrieval with citrate buffer pH 6 before commencing with IHC staining protocol.

Western blot - Anti-COX7B antibody [EPR9326(B)] (AB140629)
  • WB

Lab

Western blot - Anti-COX7B antibody [EPR9326(B)] (AB140629)

Lanes 1-3 : Merged signal (red and green). Green - ab140629 observed at 13 kDa. Red - loading control ab8245 observed at 36 kDa.

ab140629 Anti-COX7B antibody [EPR9326(B)] was shown to specifically react with COX7B in wild-type HeLa cells. Loss of signal was observed when knockout cell line ab265549 (knockout cell lysate ab257897) was used. Wild-type and COX7B knockout samples were subjected to SDS-PAGE. ab140629 and Anti-GAPDH antibody [6C5] - Loading Control (ab8245) were incubated overnight at 4°C at 1 in 1000 dilution and 1 in 20000 dilution respectively. Blots were developed with Goat anti-Rabbit IgG H&L (IRDye® 800CW) preadsorbed (ab216773) and Goat anti-Mouse IgG H&L (IRDye® 680RD) preadsorbed (ab216776) secondary antibodies at 1 in 20000 dilution for 1 hour at room temperature before imaging.

All lanes:

Western blot - Anti-COX7B antibody [EPR9326(B)] (ab140629) at 1/1000 dilution

Lane 1:

Wild-type HeLa cell lysate at 20 µg

Lane 2:

COX7B knockout HeLa cell lysate at 20 µg

Lane 3:

MCF7 cell lysate at 20 µg

Secondary

All lanes:

Western blot - Goat anti-Rabbit IgG H&L (IRDye® 800CW) preadsorbed (<a href='/en-us/products/secondary-antibodies/goat-rabbit-igg-h-l-irdye-800cw-preadsorbed-ab216773'>ab216773</a>) at 1/10000 dilution

Predicted band size: 9 kDa

Observed band size: 13 kDa

false

Western blot - Anti-COX7B antibody [EPR9326(B)] (AB140629)
  • WB

Unknown

Western blot - Anti-COX7B antibody [EPR9326(B)] (AB140629)

All lanes:

Western blot - Anti-COX7B antibody [EPR9326(B)] (ab140629) at 1/1000 dilution

Lane 1:

293T cell lysate at 10 µg

Lane 2:

Fetal kidney tissue lysate at 10 µg

Lane 3:

MCF7 cell lysate at 10 µg

Lane 4:

Fetal heart tissue lysate at 10 µg

Predicted band size: 9 kDa

false

  • Carrier free

    Anti-COX7B antibody [EPR9326(B)] - BSA and Azide free

Key facts

Host species

Rabbit

Clonality

Monoclonal

Clone number

EPR9326(B)

Isotype

IgG

Carrier free

No

Reacts with

Human

Applications

ICC/IF, IHC-P, WB

applications

Immunogen

The exact immunogen used to generate this antibody is proprietary information.

Reactivity data

{ "title": "Reactivity Data", "filters": { "stats": ["", "Species", "Dilution Info", "Notes"], "tabs": { "all-applications": {"fullname" : "All Applications", "shortname": "All Applications"}, "IHCP" : {"fullname" : "Immunohistochemistry (Formalin/PFA-fixed paraffin-embedded sections)", "shortname":"IHC-P"}, "IP" : {"fullname" : "Immunoprecipitation", "shortname":"IP"}, "FlowCyt" : {"fullname" : "Flow Cytometry", "shortname":"Flow Cyt"}, "WB" : {"fullname" : "Western blot", "shortname":"WB"}, "ICCIF" : {"fullname" : "Immunocytochemistry/ Immunofluorescence", "shortname":"ICC/IF"} }, "product-promise": { "all": "all", "testedAndGuaranteed": "tested", "guaranteed": "expected", "predicted": "predicted", "notRecommended": "not-recommended" } }, "values": { "Human": { "IHCP-species-checked": "testedAndGuaranteed", "IHCP-species-dilution-info": "1/50 - 1/100", "IHCP-species-notes": "<p></p>", "IP-species-checked": "notRecommended", "IP-species-dilution-info": "", "IP-species-notes": "<p></p>", "FlowCyt-species-checked": "notRecommended", "FlowCyt-species-dilution-info": "", "FlowCyt-species-notes": "<p></p>", "WB-species-checked": "testedAndGuaranteed", "WB-species-dilution-info": "1/1000 - 1/10000", "WB-species-notes": "<p></p>", "ICCIF-species-checked": "testedAndGuaranteed", "ICCIF-species-dilution-info": "1/250 - 1/500", "ICCIF-species-notes": "<p></p>" }, "Mouse": { "IHCP-species-checked": "predicted", "IHCP-species-dilution-info": "", "IHCP-species-notes": "", "IP-species-checked": "notRecommended", "IP-species-dilution-info": "", "IP-species-notes": "", "FlowCyt-species-checked": "notRecommended", "FlowCyt-species-dilution-info": "", "FlowCyt-species-notes": "", "WB-species-checked": "predicted", "WB-species-dilution-info": "", "WB-species-notes": "", "ICCIF-species-checked": "predicted", "ICCIF-species-dilution-info": "", "ICCIF-species-notes": "" }, "Rat": { "IHCP-species-checked": "predicted", "IHCP-species-dilution-info": "", "IHCP-species-notes": "", "IP-species-checked": "notRecommended", "IP-species-dilution-info": "", "IP-species-notes": "", "FlowCyt-species-checked": "notRecommended", "FlowCyt-species-dilution-info": "", "FlowCyt-species-notes": "", "WB-species-checked": "predicted", "WB-species-dilution-info": "", "WB-species-notes": "", "ICCIF-species-checked": "predicted", "ICCIF-species-dilution-info": "", "ICCIF-species-notes": "" } } }

Product details

Patented technology
Our RabMAb® technology is a patented hybridoma-based technology for making rabbit monoclonal antibodies. For details on our patents, please refer to RabMAb® patents.

What are the advantages of a recombinant monoclonal antibody?
This product is a recombinant monoclonal antibody, which offers several advantages including:

  • - High batch-to-batch consistency and reproducibility
  • - Improved sensitivity and specificity
  • - Long-term security of supply
  • - Animal-free batch production

For more information, read more on recombinant antibodies.

Properties and storage information

Form
Liquid
Purification technique
Affinity purification Protein A
Storage buffer
pH: 7.2 - 7.4 Preservative: 0.01% Sodium azide Constituents: PBS, 50% Tissue culture supernatant, 40% Glycerol (glycerin, glycerine), 0.05% BSA
Shipped at conditions
Blue Ice
Appropriate short-term storage conditions
+4°C
Appropriate long-term storage conditions
-20°C

Supplementary information

This supplementary information is collated from multiple sources and compiled automatically.

COX7B also known as Cytochrome c oxidase subunit 7B is a small protein with a molecular mass of approximately 11 kDa. It performs a mechanical function as a component of the cytochrome c oxidase (COX) complex which is the terminal enzyme of the mitochondrial electron transport chain. COX7B is widely expressed in tissues with high energy demand such as the heart muscle and brain. The protein enables the electron transport chain to conduct its role efficiently by aiding the enzyme's proper assembly and stability.
Biological function summary

Within the architecture of aerobic respiration COX7B functions as a vital component of the protein complex cytochrome c oxidase also referred to as Complex IV. This complex is important for the last step of the electron transport chain facilitating the transfer of electrons from cytochrome c to molecular oxygen. During this process COX7B participates in promoting the creation of a proton gradient across the mitochondrial inner membrane which is an important step in ATP synthesis.

Pathways

Multiple cellular energy production pathways include COX7B's activity such as oxidative phosphorylation and the mitochondrial respiratory chain pathway. It interacts with proteins like cytochrome c and other subunits within Complex IV to ensure effective cellular respiration. By acting in the electron transport chain COX7B helps in controlling the flow of electrons and maintaining mitochondrial function which is essential for metabolic balance.

Mitochondrial dysfunctions involving COX7B have associations with particular conditions like Leigh syndrome and mitochondrial complex IV deficiency. These disorders connect COX7B to the pathology where energy production becomes compromised. Other proteins such as those in the COX complex and components of the mitochondrial maze link indirectly with COX7B contributing to disease understanding due to their shared involvement in respiratory defects.

Product protocols

For this product, it's our understanding that no specific protocols are required. You can visit:

Target data

Component of the cytochrome c oxidase, the last enzyme in the mitochondrial electron transport chain which drives oxidative phosphorylation. The respiratory chain contains 3 multisubunit complexes succinate dehydrogenase (complex II, CII), ubiquinol-cytochrome c oxidoreductase (cytochrome b-c1 complex, complex III, CIII) and cytochrome c oxidase (complex IV, CIV), that cooperate to transfer electrons derived from NADH and succinate to molecular oxygen, creating an electrochemical gradient over the inner membrane that drives transmembrane transport and the ATP synthase. Cytochrome c oxidase is the component of the respiratory chain that catalyzes the reduction of oxygen to water. Electrons originating from reduced cytochrome c in the intermembrane space (IMS) are transferred via the dinuclear copper A center (CU(A)) of subunit 2 and heme A of subunit 1 to the active site in subunit 1, a binuclear center (BNC) formed by heme A3 and copper B (CU(B)). The BNC reduces molecular oxygen to 2 water molecules using 4 electrons from cytochrome c in the IMS and 4 protons from the mitochondrial matrix (By similarity). Plays a role in proper central nervous system (CNS) development in vertebrates (PubMed : 23122588).
See full target information Cytochrome c oxidase subunit 7B, mitochondrial

Publications (1)

Recent publications for all applications. Explore the full list and refine your search

PLoS biology 17:e2006571 PubMed30653498

2019

Organic cation transporter 3 (Oct3) is a distinct catecholamines clearance route in adipocytes mediating the beiging of white adipose tissue.

Applications

Unspecified application

Species

Unspecified reactive species

Wenxin Song,Qi Luo,Yuping Zhang,Linkang Zhou,Ye Liu,Zhilong Ma,Jianan Guo,Yuedong Huang,Lili Cheng,Ziyi Meng,Zicheng Li,Bin Zhang,Siqi Li,Sook Wah Yee,Hao Fan,Peng Li,Kathleen M Giacomini,Ligong Chen
View all publications

Product promise

We are committed to supporting your work with high-quality reagents, and we're here for you every step of the way. In the unlikely event that one of our products does not perform as expected, you're protected by our Product Promise.
For full details, please see our Terms & Conditions

Please note: All products are 'FOR RESEARCH USE ONLY. NOT FOR USE IN DIAGNOSTIC OR THERAPEUTIC PROCEDURES'.

For licensing inquiries, please contact partnerships@abcam.com