JavaScript is disabled in your browser. Please enable JavaScript to view this website.
AB243696

Anti-CP110 antibody

Be the first to review this product! Submit a review

|

(4 Publications)

Rabbit Polyclonal CP110 antibody. Suitable for IHC-P, ICC/IF and reacts with Human samples. Cited in 4 publications. Immunogen corresponding to Recombinant Fragment Protein within Human CCP110 aa 250-450.

View Alternative Names

CEP110, CP110, KIAA0419, CCP110, Centriolar coiled-coil protein of 110 kDa, Centrosomal protein of 110 kDa, Cep110

5 Images
Immunohistochemistry (Formalin/PFA-fixed paraffin-embedded sections) - Anti-CP110 antibody (AB243696)
  • IHC-P

Supplier Data

Immunohistochemistry (Formalin/PFA-fixed paraffin-embedded sections) - Anti-CP110 antibody (AB243696)

Negative control :

Formalin-fixed, paraffin-embedded human skeletal muscle tissue stained for CP110 using ab243696 at 1/200 dilution in immunohistochemical analysis.

Immunohistochemistry (Formalin/PFA-fixed paraffin-embedded sections) - Anti-CP110 antibody (AB243696)
  • IHC-P

Supplier Data

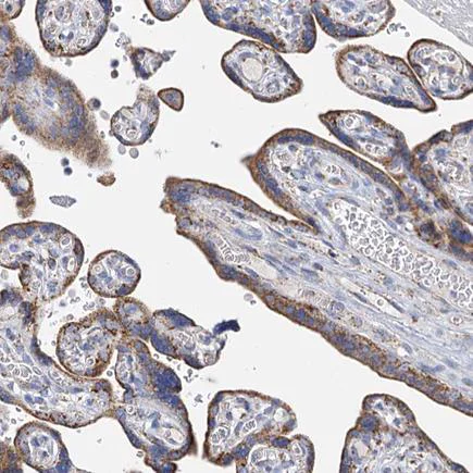
Immunohistochemistry (Formalin/PFA-fixed paraffin-embedded sections) - Anti-CP110 antibody (AB243696)

Formalin-fixed, paraffin-embedded human placenta tissue stained for CP110 using ab243696 at 1/200 dilution in immunohistochemical analysis.

Immunocytochemistry/ Immunofluorescence - Anti-CP110 antibody (AB243696)
  • ICC/IF

Supplier Data

Immunocytochemistry/ Immunofluorescence - Anti-CP110 antibody (AB243696)

Paraformaldehyde-fixed, Triton X-100 permeabilized U-251 MG (human brain glioma cell line) cells labeling CP110 (Green) with ab243696 at 4 μg/mL in ICC/IF analysis.

Immunohistochemistry (Formalin/PFA-fixed paraffin-embedded sections) - Anti-CP110 antibody (AB243696)
  • IHC-P

Supplier Data

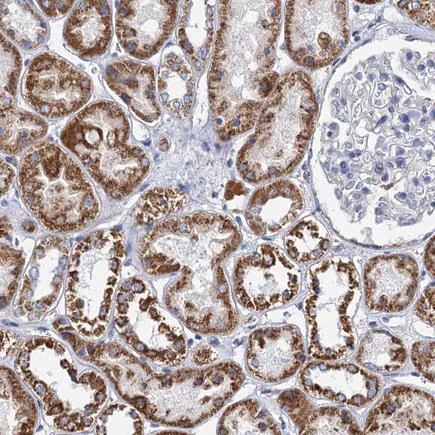
Immunohistochemistry (Formalin/PFA-fixed paraffin-embedded sections) - Anti-CP110 antibody (AB243696)

Formalin-fixed, paraffin-embedded human kidney tissue stained for CP110 using ab243696 at 1/200 dilution in immunohistochemical analysis.

Immunohistochemistry (Formalin/PFA-fixed paraffin-embedded sections) - Anti-CP110 antibody (AB243696)
  • IHC-P

Supplier Data

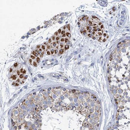
Immunohistochemistry (Formalin/PFA-fixed paraffin-embedded sections) - Anti-CP110 antibody (AB243696)

Formalin-fixed, paraffin-embedded human testis tissue stained for CP110 using ab243696 at 1/200 dilution in immunohistochemical analysis.

Key facts

Host species

Rabbit

Clonality

Polyclonal

Isotype

IgG

Carrier free

No

Reacts with

Human

Applications

ICC/IF, IHC-P

applications

Immunogen

Recombinant Fragment Protein within Human CCP110 aa 250-450. The exact immunogen used to generate this antibody is proprietary information.

O43303

Reactivity data

{ "title": "Reactivity Data", "filters": { "stats": ["", "Species", "Dilution Info", "Notes"], "tabs": { "all-applications": {"fullname" : "All Applications", "shortname": "All Applications"}, "IHCP" : {"fullname" : "Immunohistochemistry (Formalin/PFA-fixed paraffin-embedded sections)", "shortname":"IHC-P"}, "ICCIF" : {"fullname" : "Immunocytochemistry/ Immunofluorescence", "shortname":"ICC/IF"} }, "product-promise": { "all": "all", "testedAndGuaranteed": "tested", "guaranteed": "expected", "predicted": "predicted", "notRecommended": "not-recommended" } }, "values": { "Human": { "IHCP-species-checked": "testedAndGuaranteed", "IHCP-species-dilution-info": "1/200 - 1/500", "IHCP-species-notes": "<p></p> Perform heat-mediated antigen retrieval with citrate buffer pH 6 before commencing with IHC staining protocol.", "ICCIF-species-checked": "testedAndGuaranteed", "ICCIF-species-dilution-info": "0.25-2 µg/mL", "ICCIF-species-notes": "<p>Fixation/Permeabilization: PFA/Triton X-100.</p>" } } }

Properties and storage information

Form
Liquid
Purification technique
Affinity purification Immunogen
Storage buffer
pH: 7.2 Preservative: 0.02% Sodium azide Constituents: PBS, 40% Glycerol (glycerin, glycerine)
Shipped at conditions
Blue Ice
Appropriate short-term storage duration
1-2 weeks
Appropriate short-term storage conditions
+4°C
Appropriate long-term storage conditions
-20°C
Aliquoting information
Upon delivery aliquot
Storage information
Avoid freeze / thaw cycle

Supplementary information

This supplementary information is collated from multiple sources and compiled automatically.

CP110 also known as centrosomal protein 110 is a critical component involved in centriole duplication spindle pole organization and ciliogenesis. It has a molecular weight of approximately 110 kDa. This protein is expressed in various tissues but shows higher expression in those with active cell division cycles such as embryonic tissues and cancer cell lines. As a centrosomal protein CP110 localizes to the centrosome an important cellular structure that manages microtubule organization and cell cycle progression.
Biological function summary

CP110 interacts with several other proteins to regulate centrosome function and cell division. It is a part of the centriole duplication complex which is essential for proper ciliogenesis and cell cycle control. CP110 caps the mother centriole and prevents the formation of cilia when the cell is in a dividing state therefore playing a role in the balance between cell division and the formation of cilia which contribute to cellular signaling and sensory functions.

Pathways

The centriole duplication and ciliogenesis processes involve CP110 as it interacts with pathways such as the cell cycle and the Sonic Hedgehog signaling pathway. CP110 partners with proteins like CEP97 and CEP290 to manage the length of centrioles and assist in the timely progression of the cell cycle. The regulation by CP110 ensures that centrosome duplication happens correctly preventing errors that might lead to cell division abnormalities.

CP110 has connections to ciliopathies and cancer. In ciliopathies where cilia formation is compromised impaired CP110 regulation can lead to disorders like Bardet-Biedl syndrome. In cancer overexpression or misregulation of CP110 may result in aberrant cell division and tumorigenesis. Another protein Cyclin-dependent kinase 2 (CDK2) plays a role in cell cycle regulation and works closely with CP110 indicating that disturbances in this interaction could also contribute to these diseases.

Product protocols

For this product, it's our understanding that no specific protocols are required. You can visit:

Target data

Necessary for centrosome duplication at different stages of procentriole formation. Acts as a key negative regulator of ciliogenesis in collaboration with CEP97 by capping the mother centriole thereby preventing cilia formation (PubMed : 17681131, PubMed : 17719545, PubMed : 23486064, PubMed : 30375385, PubMed : 35301795). Also involved in promoting ciliogenesis. May play a role in the assembly of the mother centriole subdistal appendages (SDA) thereby effecting the fusion of recycling endosomes to basal bodies during cilia formation (By similarity). Required for correct spindle formation and has a role in regulating cytokinesis and genome stability via cooperation with CALM1 and CETN2 (PubMed : 16760425).
See full target information CCP110

Publications (4)

Recent publications for all applications. Explore the full list and refine your search

Cell communication and signaling : CCS 22:348 PubMed38961488

2024

TonEBP inhibits ciliogenesis by controlling aurora kinase A and regulating centriolar satellite integrity.

Applications

Unspecified application

Species

Unspecified reactive species

Batchingis Chinbold,Hyug Moo Kwon,Raekil Park

Life science alliance 6: PubMed36384894

2022

GPER1 links estrogens to centrosome amplification and chromosomal instability in human colon cells.

Applications

Unspecified application

Species

Unspecified reactive species

Miriam Bühler,Jeanine Fahrländer,Alexander Sauter,Markus Becker,Elisa Wistorf,Matthias Steinfath,Ailine Stolz

Cells 10: PubMed34685691

2021

The SZT2 Interactome Unravels New Functions of the KICSTOR Complex.

Applications

Unspecified application

Species

Unspecified reactive species

Cecilia Cattelani,Dominik Lesiak,Gudrun Liebscher,Isabel I Singer,Taras Stasyk,Moritz H Wallnöfer,Alexander M Heberle,Corrado Corti,Michael W Hess,Kristian Pfaller,Marcel Kwiatkowski,Peter P Pramstaller,Andrew A Hicks,Kathrin Thedieck,Thomas Müller,Lukas A Huber,Mariana Eca Guimaraes de Araujo

Anesthesiology 121:79-88 PubMed24589481

2014

Disruption of hippocampal neuregulin 1-ErbB4 signaling contributes to the hippocampus-dependent cognitive impairment induced by isoflurane in aged mice.

Applications

Unspecified application

Species

Unspecified reactive species

Xiao-Min Li,Fan Su,Mu-Huo Ji,Guang-Fen Zhang,Li-Li Qiu,Min Jia,Jun Gao,Zhongcong Xie,Jian-Jun Yang
View all publications

Product promise

We are committed to supporting your work with high-quality reagents, and we're here for you every step of the way. In the unlikely event that one of our products does not perform as expected, you're protected by our Product Promise.
For full details, please see our Terms & Conditions

Please note: All products are 'FOR RESEARCH USE ONLY. NOT FOR USE IN DIAGNOSTIC OR THERAPEUTIC PROCEDURES'.

For licensing inquiries, please contact partnerships@abcam.com