JavaScript is disabled in your browser. Please enable JavaScript to view this website.
AB317196

Anti-CP110 antibody [HL2312]

Be the first to review this product! Submit a review

|

(0 Publication)

Rabbit Monoclonal CP110 antibody. Suitable for IHC-P, WB and reacts with Rat, Human, Mouse samples. Immunogen corresponding to Recombinant Fragment Protein within Human CCP110.

View Alternative Names

CEP110, CP110, KIAA0419, CCP110, Centriolar coiled-coil protein of 110 kDa, Centrosomal protein of 110 kDa, Cep110

5 Images
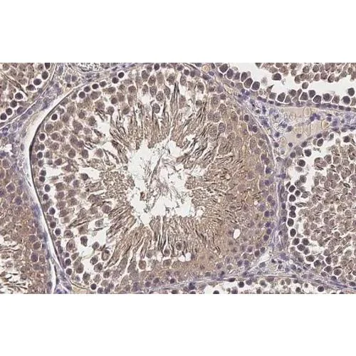
Immunohistochemistry (Formalin/PFA-fixed paraffin-embedded sections) - Anti-CP110 antibody [HL2312] (AB317196)
  • IHC-P

Supplier Data

Immunohistochemistry (Formalin/PFA-fixed paraffin-embedded sections) - Anti-CP110 antibody [HL2312] (AB317196)

ab317196 detects CP110 protein at cytoplasm by immunohistochemical analysis. Sample : Paraffin-embedded rat testis. CP110 stained by ab317196 diluted at 1 : 1000. Antigen Retrieval : Citrate buffer pH 6.0 15 min.

Western blot - Anti-CP110 antibody [HL2312] (AB317196)
  • WB

Supplier Data

Western blot - Anti-CP110 antibody [HL2312] (AB317196)

Various whole cell extracts (30 ug) were separated by 7.5% SDS-PAGE and the membrane was blotted with ab317196 diluted at 1 : 2000. The HRP-conjugated anti-rabbit IgG antibody was used to detect the primary antibody.

All lanes:

Western blot - Anti-CP110 antibody [HL2312] (ab317196) at 1/2000 dilution

Lane 1:

Molt-4 whole cell extracts at 30 µg

Lane 2:

293T whole cell extracts at 30 µg

Secondary

All lanes:

HRP-conjugated anti-rabbit IgG antibody

false

Western blot - Anti-CP110 antibody [HL2312] (AB317196)
  • WB

Supplier Data

Western blot - Anti-CP110 antibody [HL2312] (AB317196)

Various whole cell extracts (30 ug) were separated by 7.5% SDS-PAGE and the membrane was blotted with ab317196 diluted at 1 : 1000. The HRP-conjugated anti-rabbit IgG antibody was used to detect the primary antibody and the signal was developed with Trident ECL plus-Enhanced.

All lanes:

Western blot - Anti-CP110 antibody [HL2312] (ab317196) at 1/1000 dilution

Lane 1:

293T whole cell extracts at 30 µg

Lane 2:

A431 whole cell extracts at 30 µg

Lane 3:

HeLa whole cell extracts at 30 µg

Lane 4:

HepG2 whole cell extracts at 30 µg

Secondary

All lanes:

HRP-conjugated anti-rabbit IgG antibody

true

Western blot - Anti-CP110 antibody [HL2312] (AB317196)
  • WB

Supplier Data

Western blot - Anti-CP110 antibody [HL2312] (AB317196)

Mouse tissue extract (50 ug) was separated by 7.5% SDS-PAGE and the membrane was blotted with ab317196 diluted at 1 : 1000. The HRP-conjugated anti-rabbit IgG antibody was used to detect the primary antibody.

All lanes:

Western blot - Anti-CP110 antibody [HL2312] (ab317196) at 1/1000 dilution

All lanes:

Mouse testis tissue extract at 50 µg

Secondary

All lanes:

HRP-conjugated anti-rabbit IgG antibody

false

Western blot - Anti-CP110 antibody [HL2312] (AB317196)
  • WB

Supplier Data

Western blot - Anti-CP110 antibody [HL2312] (AB317196)

Rat tissue extract (50 ug) was separated by 7.5% SDS-PAGE and the membrane was blotted with ab317196 diluted at 1 : 1000. The HRP-conjugated anti-rabbit IgG antibody was used to detect the primary antibody.

All lanes:

Western blot - Anti-CP110 antibody [HL2312] (ab317196) at 1/1000 dilution

All lanes:

Rat testis tissue extract at 50 µg

Secondary

All lanes:

HRP-conjugated anti-rabbit IgG antibody

false

Key facts

Host species

Rabbit

Clonality

Monoclonal

Clone number

HL2312

Isotype

IgG

Carrier free

No

Reacts with

Human, Mouse, Rat

Applications

WB, IHC-P

applications

Immunogen

Recombinant Fragment Protein within Human CCP110.

O43303

Reactivity data

{ "title": "Reactivity Data", "filters": { "stats": ["", "Species", "Dilution Info", "Notes"], "tabs": { "all-applications": {"fullname" : "All Applications", "shortname": "All Applications"}, "IHCP" : {"fullname" : "Immunohistochemistry (Formalin/PFA-fixed paraffin-embedded sections)", "shortname":"IHC-P"}, "WB" : {"fullname" : "Western blot", "shortname":"WB"} }, "product-promise": { "all": "all", "testedAndGuaranteed": "tested", "guaranteed": "expected", "predicted": "predicted", "notRecommended": "not-recommended" } }, "values": { "Human": { "IHCP-species-checked": "guaranteed", "IHCP-species-dilution-info": "", "IHCP-species-notes": "", "WB-species-checked": "testedAndGuaranteed", "WB-species-dilution-info": "1/500 - 1/3000", "WB-species-notes": "<p></p>" }, "Mouse": { "IHCP-species-checked": "guaranteed", "IHCP-species-dilution-info": "", "IHCP-species-notes": "", "WB-species-checked": "testedAndGuaranteed", "WB-species-dilution-info": "1/500 - 1/3000", "WB-species-notes": "<p></p>" }, "Rat": { "IHCP-species-checked": "testedAndGuaranteed", "IHCP-species-dilution-info": "1/1000", "IHCP-species-notes": "<p></p> Perform heat-mediated antigen retrieval with citrate buffer pH 6 before commencing with IHC staining protocol.", "WB-species-checked": "testedAndGuaranteed", "WB-species-dilution-info": "1/500 - 1/3000", "WB-species-notes": "<p></p>" } } }

Properties and storage information

Form
Liquid
Storage buffer
pH: 7.4 Constituents: PBS
Shipped at conditions
Blue Ice
Appropriate short-term storage duration
1-2 weeks
Appropriate short-term storage conditions
+4°C
Appropriate long-term storage conditions
-20°C
Aliquoting information
Upon delivery aliquot
Storage information
Avoid freeze / thaw cycle

Supplementary information

This supplementary information is collated from multiple sources and compiled automatically.

CP110 also known as centrosomal protein 110 is a critical component involved in centriole duplication spindle pole organization and ciliogenesis. It has a molecular weight of approximately 110 kDa. This protein is expressed in various tissues but shows higher expression in those with active cell division cycles such as embryonic tissues and cancer cell lines. As a centrosomal protein CP110 localizes to the centrosome an important cellular structure that manages microtubule organization and cell cycle progression.
Biological function summary

CP110 interacts with several other proteins to regulate centrosome function and cell division. It is a part of the centriole duplication complex which is essential for proper ciliogenesis and cell cycle control. CP110 caps the mother centriole and prevents the formation of cilia when the cell is in a dividing state therefore playing a role in the balance between cell division and the formation of cilia which contribute to cellular signaling and sensory functions.

Pathways

The centriole duplication and ciliogenesis processes involve CP110 as it interacts with pathways such as the cell cycle and the Sonic Hedgehog signaling pathway. CP110 partners with proteins like CEP97 and CEP290 to manage the length of centrioles and assist in the timely progression of the cell cycle. The regulation by CP110 ensures that centrosome duplication happens correctly preventing errors that might lead to cell division abnormalities.

CP110 has connections to ciliopathies and cancer. In ciliopathies where cilia formation is compromised impaired CP110 regulation can lead to disorders like Bardet-Biedl syndrome. In cancer overexpression or misregulation of CP110 may result in aberrant cell division and tumorigenesis. Another protein Cyclin-dependent kinase 2 (CDK2) plays a role in cell cycle regulation and works closely with CP110 indicating that disturbances in this interaction could also contribute to these diseases.

Product protocols

For this product, it's our understanding that no specific protocols are required. You can visit:

Target data

Necessary for centrosome duplication at different stages of procentriole formation. Acts as a key negative regulator of ciliogenesis in collaboration with CEP97 by capping the mother centriole thereby preventing cilia formation (PubMed : 17681131, PubMed : 17719545, PubMed : 23486064, PubMed : 30375385, PubMed : 35301795). Also involved in promoting ciliogenesis. May play a role in the assembly of the mother centriole subdistal appendages (SDA) thereby effecting the fusion of recycling endosomes to basal bodies during cilia formation (By similarity). Required for correct spindle formation and has a role in regulating cytokinesis and genome stability via cooperation with CALM1 and CETN2 (PubMed : 16760425).
See full target information CCP110

Product promise

We are committed to supporting your work with high-quality reagents, and we're here for you every step of the way. In the unlikely event that one of our products does not perform as expected, you're protected by our Product Promise.
For full details, please see our Terms & Conditions

Please note: All products are 'FOR RESEARCH USE ONLY. NOT FOR USE IN DIAGNOSTIC OR THERAPEUTIC PROCEDURES'.

For licensing inquiries, please contact partnerships@abcam.com