JavaScript is disabled in your browser. Please enable JavaScript to view this website.
AB308612

Anti-CP2c antibody [14/LSF] - BSA and Azide free

Be the first to review this product! Submit a review

|

(0 Publication)

Mouse Recombinant Monoclonal CP2c antibody. Carrier free. Suitable for IP, WB and reacts with Mouse, Rat, Human samples.

View Alternative Names

LSF, SEF, TFCP2, Alpha-globin transcription factor CP2, SAA3 enhancer factor, Transcription factor LSF

6 Images
Immunoprecipitation - Anti-CP2c antibody [14/LSF] - BSA and Azide free (AB308612)
  • IP

Supplier Data

Immunoprecipitation - Anti-CP2c antibody [14/LSF] - BSA and Azide free (AB308612)

This data was developed using ab308611 the same antibody clone in a different buffer formulation. CP2c was immunoprecipitated from 0.35 mg K-562 (human chronic myelogenous leukemia lymphoblast) whole cell lysate 10 ug with ab308611 at 1/30 dilution (2ug in 0.35mg lysates). Western blot was performed on the immunoprecipitate using ab308611 at 1/1000 dilution. mouse IgG for IP (HRP) (ab131368) was used at 1/1000 dilution. Lane 1 : K-562 (human chronic myelogenous leukemia lymphoblast) whole cell lysate Lane 2 : ab308611 IP in K-562 (human chronic myelogenous leukemia lymphoblast) whole cell lysate Lane 3 : Mouse monoclonal IgG (ab18443) instead of ab308611 in K-562 whole cell lysate Blocking and dilution buffer and concentration : 5% NFDM/TBST. Exposure time : 24 seconds

All lanes:

Immunoprecipitation - Anti-CP2c antibody [14/LSF] (<a href='/en-us/products/primary-antibodies/cp2c-antibody-14-lsf-ab308611'>ab308611</a>) at 1/30 dilution

All lanes:

K-562 (human chronic myelogenous leukemia lymphoblast) whole cell lysate

Secondary

All lanes:

Immunoprecipitation - Anti-mouse IgG for IP (HRP) (<a href='/en-us/products/secondary-antibodies/mouse-igg-for-ip-hrp-ab131368'>ab131368</a>) at 1/1000 dilution

false

Exposure time: 24s

Immunoprecipitation - Anti-CP2c antibody [14/LSF] - BSA and Azide free (AB308612)
  • IP

Supplier Data

Immunoprecipitation - Anti-CP2c antibody [14/LSF] - BSA and Azide free (AB308612)

This data was developed using ab308611 the same antibody clone in a different buffer formulation. CP2c was immunoprecipitated from 0.35 mg Hepa1-6 (mouse hepatoma epithelial cell) whole cell lysate 10 ug with ab308611 at 1/30 dilution (2ug in 0.35mg lysates). Western blot was performed on the immunoprecipitate using ab308611 at 1/1000 dilution. Peroxidase-Conjugated Goat anti-Mouse IgG (H+L) was used at 1/10000 dilution. Lane 1 : Hepa1-6 (mouse hepatoma epithelial cell) whole cell lysate Lane 2 : ab308611 IP in Hepa1-6 (mouse hepatoma epithelial cell) whole cell lysate Lane 3 : Mouse monoclonal IgG (ab18443) instead of ab308611 in Hepa1-6 whole cell lysate Blocking and dilution buffer and concentration : 5% NFDM/TBST. Exposure time : 59 seconds

All lanes:

Immunoprecipitation - Anti-CP2c antibody [14/LSF] (<a href='/en-us/products/primary-antibodies/cp2c-antibody-14-lsf-ab308611'>ab308611</a>) at 1/30 dilution

All lanes:

Hepa1-6 (mouse hepatoma epithelial cell) whole cell lysate

Secondary

All lanes:

Peroxidase-Conjugated Goat anti-Mouse IgG (H+L) at 1/10000 dilution

false

Exposure time: 59s

Immunoprecipitation - Anti-CP2c antibody [14/LSF] - BSA and Azide free (AB308612)
  • IP

Supplier Data

Immunoprecipitation - Anti-CP2c antibody [14/LSF] - BSA and Azide free (AB308612)

This data was developed using ab308611 the same antibody clone in a different buffer formulation. CP2c was immunoprecipitated from 0.35 mg C6 (rat glial tumor glial cell) whole cell lysate 10 ug with ab308611 at 1/30 dilution (2ug in 0.35mg lysates). Western blot was performed on the immunoprecipitate using ab308611 at 1/1000 dilution. Peroxidase-Conjugated Goat anti-Mouse IgG (H+L) was used at 1/10000 dilution. Lane 1 : C6 (rat glial tumor glial cell) whole cell lysate Lane 2 : ab308611 IP in C6 (rat glial tumor glial cell) whole cell lysate Lane 3 : Mouse monoclonal IgG (ab18443) instead of ab308611 in C6 whole cell lysate Blocking and dilution buffer and concentration : 5% NFDM/TBST. Exposure time : 59 seconds

All lanes:

Immunoprecipitation - Anti-CP2c antibody [14/LSF] (<a href='/en-us/products/primary-antibodies/cp2c-antibody-14-lsf-ab308611'>ab308611</a>) at 1/30 dilution

All lanes:

C6 (rat glial tumor glial cell) whole cell lysate

Secondary

All lanes:

Peroxidase-Conjugated Goat anti-Mouse IgG (H+L) at 1/10000 dilution

false

Exposure time: 59s

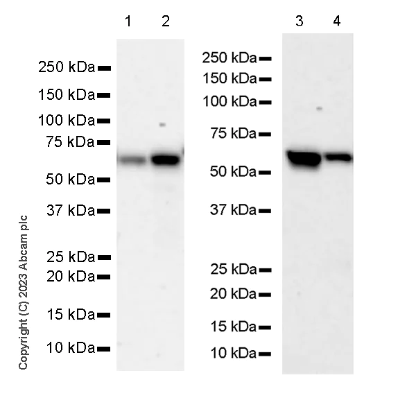
Western blot - Anti-CP2c antibody [14/LSF] - BSA and Azide free (AB308612)
  • WB

Supplier Data

Western blot - Anti-CP2c antibody [14/LSF] - BSA and Azide free (AB308612)

This data was developed using ab308611, the same antibody clone in a different buffer formulation. Blocking and diluting buffer and concentration : 5% NFDM/TBST Exposure time : 114 seconds

All lanes:

Western blot - Anti-CP2c antibody [14/LSF] (<a href='/en-us/products/primary-antibodies/cp2c-antibody-14-lsf-ab308611'>ab308611</a>) at 1/1000 dilution

Lane 1:

Human heart tissue lysate at 20 µg

Lane 2:

Human kidney tissue lysate at 20 µg

Lane 3:

Rat heart tissue lysate at 20 µg

Lane 4:

Rat kidney tissue lysate at 20 µg

Secondary

All lanes:

Peroxidase-Conjugated Goat anti-Mouse IgG (H+L) (ZB-2305) at 1/10000 dilution

Observed band size: 65 kDa

false

Exposure time: 114s

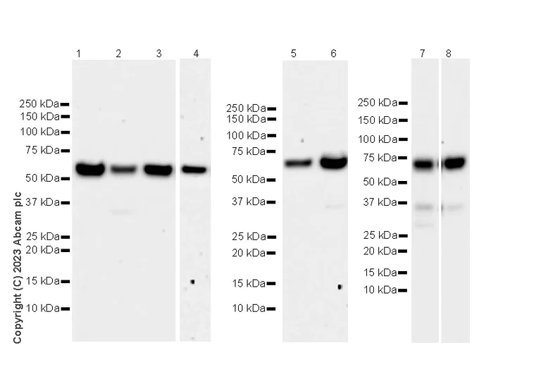
Western blot - Anti-CP2c antibody [14/LSF] - BSA and Azide free (AB308612)
  • WB

Supplier Data

Western blot - Anti-CP2c antibody [14/LSF] - BSA and Azide free (AB308612)

This data was developed using ab308611, the same antibody clone in a different buffer formulation. Blocking and diluting buffer and concentration : 5% NFDM/TBST Exposure time : Lanes 1-3 : 37seconds, lane 4 : 3 minutes Lanes 5-8 : 48seconds

All lanes:

Western blot - Anti-CP2c antibody [14/LSF] (<a href='/en-us/products/primary-antibodies/cp2c-antibody-14-lsf-ab308611'>ab308611</a>) at 1/1000 dilution

Lane 1:

THP-1 (human monocytic leukemia monocyte) whole cell lysate at 20 µg

Lane 2:

HepG2 (human hepatocellular carcinoma epithelial cell) whole cell lysate at 20 µg

Lane 3:

K-562 (human chronic myelogenous leukemia lymphoblast) whole cell lysate at 20 µg

Lane 4:

Hepa1-6 (mouse hepatoma epithelial cell) whole cell lysate at 20 µg

Lane 5:

Huh7 (human hepatocellular carcinoma epithelial cell) whole cell lysate at 20 µg

Lane 6:

B16-F0 (mouse melanoma epithelial cell-like) whole cell lysate at 20 µg

Lane 7:

C6 (rat glial tumor glial cell) whole cell lysate at 20 µg

Lane 8:

NIH/3T3 (mouse embryonic fibroblast) whole cell lysate at 20 µg

Secondary

All lanes:

Peroxidase-Conjugated Goat anti-Mouse IgG (H+L) (ZB-2305) at 1/10000 dilution

Observed band size: 65 kDa

false

Western blot - Anti-CP2c antibody [14/LSF] - BSA and Azide free (AB308612)
  • WB

Supplier Data

Western blot - Anti-CP2c antibody [14/LSF] - BSA and Azide free (AB308612)

This data was developed using ab308611, the same antibody clone in a different buffer formulation.Blocking and diluting buffer and concentration : 5% NFDM/TBST. In Western blot, Anti-GAPDH antibody (ab181602) loading control staining at 1/200000 dilution Exposure time : 5.5 seconds

All lanes:

Western blot - Anti-CP2c antibody [14/LSF] (<a href='/en-us/products/primary-antibodies/cp2c-antibody-14-lsf-ab308611'>ab308611</a>) at 1/1000 dilution

Lane 1:

293T (human embryonic kidney epithelial cell) transfected with scrambled siRNA control whole cell lysate at 20 µg

Lane 2:

293T transfected with siRNA specifically targeting CP2c whole cell lysate at 20 µg

Secondary

All lanes:

Peroxidase-Conjugated Goat anti-Mouse IgG (H+L) (ZB-2305) at 1/10000 dilution

Observed band size: 65 kDa

false

Exposure time: 5.5s

Key facts

Host species

Mouse

Clonality

Monoclonal

Clone number

14/LSF

Isotype

IgG1

Carrier free

Yes

Reacts with

Human, Mouse, Rat

Applications

IP, WB

applications

Immunogen

The exact immunogen used to generate this antibody is proprietary information.

Reactivity data

{ "title": "Reactivity Data", "filters": { "stats": ["", "Species", "Dilution Info", "Notes"], "tabs": { "all-applications": {"fullname" : "All Applications", "shortname": "All Applications"}, "IP" : {"fullname" : "Immunoprecipitation", "shortname":"IP"}, "WB" : {"fullname" : "Western blot", "shortname":"WB"}, "ICCIF" : {"fullname" : "Immunocytochemistry/ Immunofluorescence", "shortname":"ICC/IF"} }, "product-promise": { "all": "all", "testedAndGuaranteed": "tested", "guaranteed": "expected", "predicted": "predicted", "notRecommended": "not-recommended" } }, "values": { "Human": { "IP-species-checked": "testedAndGuaranteed", "IP-species-dilution-info": "", "IP-species-notes": "<p></p>", "WB-species-checked": "testedAndGuaranteed", "WB-species-dilution-info": "", "WB-species-notes": "<p></p>", "ICCIF-species-checked": "notRecommended", "ICCIF-species-dilution-info": "", "ICCIF-species-notes": "<p></p>" }, "Mouse": { "IP-species-checked": "testedAndGuaranteed", "IP-species-dilution-info": "", "IP-species-notes": "<p></p>", "WB-species-checked": "testedAndGuaranteed", "WB-species-dilution-info": "", "WB-species-notes": "<p></p>", "ICCIF-species-checked": "notRecommended", "ICCIF-species-dilution-info": "", "ICCIF-species-notes": "<p></p>" }, "Rat": { "IP-species-checked": "testedAndGuaranteed", "IP-species-dilution-info": "", "IP-species-notes": "<p></p>", "WB-species-checked": "testedAndGuaranteed", "WB-species-dilution-info": "", "WB-species-notes": "<p></p>", "ICCIF-species-checked": "notRecommended", "ICCIF-species-dilution-info": "", "ICCIF-species-notes": "<p></p>" } } }

Product details

Want a custom formulation?
This antibody clone is manufactured by Abcam. If you require a custom buffer formulation or conjugation for your experiments, please contact orders@abcam.com

What are the advantages of a recombinant monoclonal antibody?
This product is a recombinant monoclonal antibody, which offers several advantages including:

  • - High batch-to-batch consistency and reproducibility
  • - Improved sensitivity and specificity
  • - Long-term security of supply
  • - Animal-free batch production

For more information, read more on recombinant antibodies.

Conjugation ready
Our carrier-free antibodies are typically supplied in a PBS-only formulation, purified and free of BSA, sodium azide and glycerol. This conjugation-ready format is designed for use with fluorochromes, metal isotopes, oligonucleotides, and enzymes, which makes them ideal for antibody labelling, functional and cell-based assays, flow-based assays (e.g. mass cytometry) and Multiplex Imaging applications.

Use our conjugation kits for antibody conjugates that are ready-to-use in as little as 20 minutes with 1 minute hands-on-time and 100% antibody recovery: available for fluorescent dyes, HRP, biotin and gold.

Compatibility
This product is compatible with the Maxpar® Antibody Labeling Kit from Fluidigm, without the need for antibody preparation. Maxpar® is a trademark of Fluidigm Canada Inc.

Properties and storage information

Form
Liquid
Purification technique
Affinity purification Protein A
Storage buffer
pH: 7.2 - 7.4 Constituents: PBS
Shipped at conditions
Blue Ice
Appropriate short-term storage conditions
+4°C
Appropriate long-term storage conditions
+4°C

Supplementary information

This supplementary information is collated from multiple sources and compiled automatically.

CP2c also known as LSF or TFCP2 functions as a transcription factor involved in the regulation of gene expression. CP2c has a mass of approximately 37 kDa. It is expressed in various tissues with higher levels observed in the liver brain and lymphoid tissues. This protein is critical in influencing the expression of genes through direct binding to specific DNA sequences thereby altering transcriptional activities.
Biological function summary

CP2c serves as an important component in transcriptional regulation networks. It often functions as a part of multi-protein complexes interacting with co-activators or co-repressors to modulate target gene expression. CP2c plays significant roles in cell cycle control growth and differentiation by regulating genes involved in these biological processes.

Pathways

CP2c integrates into key regulatory networks impacting several important pathways such as cell cycle and nucleotide metabolism. In the context of the cell cycle CP2c interacts with proteins such as p53 and Rb which are essential in controlling cell division and DNA repair processes. These interactions help maintain normal cellular function and prevent unchecked cell proliferation.

CP2c links to conditions like cancer and viral infections. Its regulation of genes involved in cell proliferation is important in oncogenesis where dysregulated CP2c activity may contribute to tumor progression. In viral infections CP2c modulates the host cellular environment affecting how viruses replicate within host cells. Aberrant interactions with proteins like p53 reinforce the connection between CP2c and the development of cancer emphasizing the importance of this protein as a target for therapeutic intervention.

Product protocols

For this product, it's our understanding that no specific protocols are required. You can visit:

Target data

Binds a variety of cellular and viral promoters including fibrinogen, alpha-globin, SV40 and HIV-1 promoters. Activation of the alpha-globin promoter in erythroid cells is via synergistic interaction with UBP1 (By similarity). Functions as part of the SSP (stage selector protein) complex. Facilitates the interaction of the gamma-globin genes with enhancer elements contained in the locus control region in fetal erythroid cells. Interacts by binding to the stage selector element (SSE) in the proximal gamma-globin promoter.
See full target information TFCP2

Product promise

We are committed to supporting your work with high-quality reagents, and we're here for you every step of the way. In the unlikely event that one of our products does not perform as expected, you're protected by our Product Promise.
For full details, please see our Terms & Conditions

Please note: All products are 'FOR RESEARCH USE ONLY. NOT FOR USE IN DIAGNOSTIC OR THERAPEUTIC PROCEDURES'.

For licensing inquiries, please contact partnerships@abcam.com