JavaScript is disabled in your browser. Please enable JavaScript to view this website.
AB122168

Anti-CPAMD8 antibody

Be the first to review this product! Submit a review

|

(1 Publication)

Rabbit Polyclonal CPAMD8 antibody. Suitable for IHC-P and reacts with Human samples. Cited in 1 publication. Immunogen corresponding to Recombinant Fragment Protein within Human CPAMD8 aa 850-1000.

View Alternative Names

KIAA1283, CPAMD8, C3 and PZP-like alpha-2-macroglobulin domain-containing protein 8

1 Images
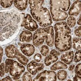
Immunohistochemistry (Formalin/PFA-fixed paraffin-embedded sections) - Anti-CPAMD8 antibody (AB122168)
  • IHC-P

Unknown

Immunohistochemistry (Formalin/PFA-fixed paraffin-embedded sections) - Anti-CPAMD8 antibody (AB122168)

ab122168 at 1/10 dilution staining CPAMD8 in Paraffin-embedded Human kidney tissue by Immunohistochemistry.

Key facts

Host species

Rabbit

Clonality

Polyclonal

Isotype

IgG

Carrier free

No

Reacts with

Human

Applications

IHC-P

applications

Immunogen

Recombinant Fragment Protein within Human CPAMD8 aa 850-1000. The exact immunogen used to generate this antibody is proprietary information.

Q8IZJ3

Reactivity data

{ "title": "Reactivity Data", "filters": { "stats": ["", "Species", "Dilution Info", "Notes"], "tabs": { "all-applications": {"fullname" : "All Applications", "shortname": "All Applications"}, "IHCP" : {"fullname" : "Immunohistochemistry (Formalin/PFA-fixed paraffin-embedded sections)", "shortname":"IHC-P"} }, "product-promise": { "all": "all", "testedAndGuaranteed": "tested", "guaranteed": "expected", "predicted": "predicted", "notRecommended": "not-recommended" } }, "values": { "Human": { "IHCP-species-checked": "testedAndGuaranteed", "IHCP-species-dilution-info": "1/10 - 1/20", "IHCP-species-notes": "<p></p> Perform heat-mediated antigen retrieval with citrate buffer pH 6 before commencing with IHC staining protocol." } } }

Properties and storage information

Form
Liquid
Purification technique
Affinity purification Immunogen
Storage buffer
pH: 7.2 Preservative: 0.02% Sodium azide Constituents: PBS, 40% Glycerol (glycerin, glycerine)
Shipped at conditions
Blue Ice
Appropriate short-term storage conditions
+4°C
Appropriate long-term storage conditions
-20°C
Aliquoting information
Upon delivery aliquot
Storage information
Avoid freeze / thaw cycle

Supplementary information

This supplementary information is collated from multiple sources and compiled automatically.

CPAMD8 also known as Complement Component C3 and PZP-Like Alpha-2-Macroglobulin Domain Containing 8 is a protein characterized by a specific function in cellular processes. This protein has a molecular mass of approximately 215 kDa. Expression of CPAMD8 occurs in various tissues including eye and kidney suggesting its involvement in different physiological roles. Scientists have investigated this protein for its meaningful contributions to immune and structural systems.
Biological function summary

CPAMD8 participates in immune regulation and structural organization within tissues. It performs tasks as part of a multiprotein complex interacting with other components to maintain cellular homeostasis. This protein influences processes that are essential for tissue integrity and immune responses where its activity affects cell adhesion and defense mechanisms.

Pathways

CPAMD8 takes part in the complement system and extracellular matrix organization. It interacts with other key proteins such as Complement Component C9 and Laminins significantly impacting pathways involved in immune response modulation and structural framework stabilization. These interactions highlight the protein's role in maintaining immune and tissue health.

CPAMD8 has links with familial glaucoma and corneal dystrophies. Studies indicate that mutations or dysregulation of CPAMD8 can lead to these conditions often in association with proteins like MYOC (Myocilin) and TGFBI (Transforming Growth Factor Beta-Induced Protein). These connections underline the protein's importance in eye structure and function where its normal operation is important for preventing disease.

Product protocols

For this product, it's our understanding that no specific protocols are required. You can visit:

Publications (1)

Recent publications for all applications. Explore the full list and refine your search

International journal of oncology 64: PubMed38426627

2024

Characterization of KIF20B as a novel prognostic biomarker and therapeutic target for breast cancer.

Applications

Unspecified application

Species

Unspecified reactive species

Regina Wachuka Mbugua,Atsushi Takano,Bayarbat Tsevegjav,Tomoyuki Yokose,Toshinari Yamashita,Yohei Miyagi,Yataro Daigo
View all publications

Product promise

We are committed to supporting your work with high-quality reagents, and we're here for you every step of the way. In the unlikely event that one of our products does not perform as expected, you're protected by our Product Promise.
For full details, please see our Terms & Conditions

Please note: All products are 'FOR RESEARCH USE ONLY. NOT FOR USE IN DIAGNOSTIC OR THERAPEUTIC PROCEDURES'.

For licensing inquiries, please contact partnerships@abcam.com