JavaScript is disabled in your browser. Please enable JavaScript to view this website.
AB3465

Anti-CPEB1 antibody

4

(1 Review)

|

(7 Publications)

Rabbit Polyclonal CPEB1 antibody. Suitable for WB, IHC-P, ICC/IF and reacts with Human, Mouse, Rat samples. Cited in 7 publications. Immunogen corresponding to Synthetic Peptide within Human CPEB1 aa 500 to C-terminus.

View Alternative Names

CPEB, CPEB1, Cytoplasmic polyadenylation element-binding protein 1, CPE-BP1, CPE-binding protein 1, h-CPEB, hCPEB-1

8 Images
Immunocytochemistry/ Immunofluorescence - Anti-CPEB1 antibody (AB3465)
  • ICC/IF

Supplier Data

Immunocytochemistry/ Immunofluorescence - Anti-CPEB1 antibody (AB3465)

Immunofluorescent analysis of CPEB (green) showing staining in the cytoplasm of HeLa cells (right) compared to a negative control without primary antibody (left). Formalin-fixed cells were permeabilized with 0.1% Triton X-100 in TBS for 5-10 minutes and blocked with 3% BSA-PBS for 30 minutes at room temperature. Cells were probed with ab3465 in 3% BSA-PBS at a dilution of 1/100 and incubated overnight at 4°C in a humidified chamber. Cells were washed with PBST and incubated with a DyLight®-conjugated secondary antibody in PBS at room temperature in the dark. Actin was stained using Alexa Fluor® 554 (red) and nuclei were stained with Hoechst or DAPI (blue). Images were taken at a magnification of 60x.

Immunocytochemistry/ Immunofluorescence - Anti-CPEB1 antibody (AB3465)
  • ICC/IF

Supplier Data

Immunocytochemistry/ Immunofluorescence - Anti-CPEB1 antibody (AB3465)

Immunofluorescent analysis of CPEB (green) showing staining in the cytoplasm of U251 cells (right) compared to a negative control without primary antibody (left). Formalin-fixed cells were permeabilized with 0.1% Triton X-100 in TBS for 5-10 minutes and blocked with 3% BSA-PBS for 30 minutes at room temperature. Cells were probed with ab3465 in 3% BSA-PBS at a dilution of 1/100 and incubated overnight at 4°C in a humidified chamber. Cells were washed with PBST and incubated with a DyLight®-conjugated secondary antibody in PBS at room temperature in the dark. Actin was stained using Alexa Fluor® 554 (red) and nuclei were stained with Hoechst or DAPI (blue). Images were taken at a magnification of 60x.

Immunohistochemistry (Formalin/PFA-fixed paraffin-embedded sections) - Anti-CPEB1 antibody (AB3465)
  • IHC-P

Supplier Data

Immunohistochemistry (Formalin/PFA-fixed paraffin-embedded sections) - Anti-CPEB1 antibody (AB3465)

Immunohistochemistry analysis of CPEB showing staining in the cytoplasm of paraffin-embedded human brain tissue (right) compared to a negative control without primary antibody (left). To expose target proteins, antigen retrieval was performed using 10 mM sodium citrate (pH 6.0), microwaved for 8-15 min. Following antigen retrieval, tissues were blocked in 3% H2O2-methanol for 15 min at room temperature, washed with ddH2O and PBS, and then probed with ab3465 diluted in 3% BSA-PBS at a dilution of 1/100 overnight at 4°C in a humidified chamber. Tissues were washed extensively in PBST and detection was performed using an HRP-conjugated secondary antibody followed by colorimetric detection using a DAB kit. Tissues were counterstained with hematoxylin and dehydrated with ethanol and xylene to prep for mounting.

Immunohistochemistry (Formalin/PFA-fixed paraffin-embedded sections) - Anti-CPEB1 antibody (AB3465)
  • IHC-P

Supplier Data

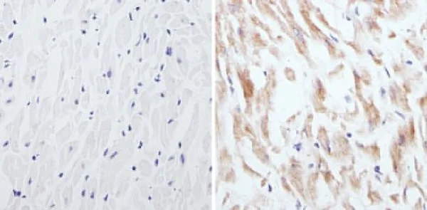
Immunohistochemistry (Formalin/PFA-fixed paraffin-embedded sections) - Anti-CPEB1 antibody (AB3465)

Immunohistochemistry analysis of CPEB showing staining in the cytoplasm of paraffin-embedded human hearat tissue (right) compared to a negative control without primary antibody (left). To expose target proteins, antigen retrieval was performed using 10 mM sodium citrate (pH 6.0), microwaved for 8-15 min. Following antigen retrieval, tissues were blocked in 3% H2O2-methanol for 15 min at room temperature, washed with ddH2O and PBS, and then probed with ab3465 diluted in 3% BSA-PBS at a dilution of 1/50 overnight at 4°C in a humidified chamber. Tissues were washed extensively in PBST and detection was performed using an HRP-conjugated secondary antibody followed by colorimetric detection using a DAB kit. Tissues were counterstained with hematoxylin and dehydrated with ethanol and xylene to prep for mounting.

Immunocytochemistry/ Immunofluorescence - Anti-CPEB1 antibody (AB3465)
  • ICC/IF

Supplier Data

Immunocytochemistry/ Immunofluorescence - Anti-CPEB1 antibody (AB3465)

Immunofluorescent analysis of CPEB (green) showing staining in the cytoplasm of C6 cells (right) compared to a negative control without primary antibody (left). Formalin-fixed cells were permeabilized with 0.1% Triton X-100 in TBS for 5-10 minutes and blocked with 3% BSA-PBS for 30 minutes at room temperature. Cells were probed with ab3465 in 3% BSA-PBS at a dilution of 1/100 and incubated overnight at 4°C in a humidified chamber. Cells were washed with PBST and incubated with a DyLight®-conjugated secondary antibody in PBS at room temperature in the dark. Nuclei were stained with Hoechst or DAPI (blue). Images were taken at a magnification of 60x.

Immunohistochemistry (Formalin/PFA-fixed paraffin-embedded sections) - Anti-CPEB1 antibody (AB3465)
  • IHC-P

Supplier Data

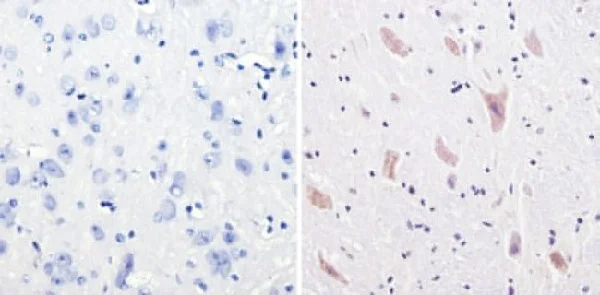
Immunohistochemistry (Formalin/PFA-fixed paraffin-embedded sections) - Anti-CPEB1 antibody (AB3465)

Immunohistochemistry analysis of CPEB showing staining in the cytoplasm of paraffin-embedded mouse brain tissue (right) compared to a negative control without primary antibody (left). To expose target proteins, antigen retrieval was performed using 10 mM sodium citrate (pH 6.0), microwaved for 8-15 min. Following antigen retrieval, tissues were blocked in 3% H2O2-methanol for 15 min at room temperature, washed with ddH2O and PBS, and then probed with ab3465 diluted in 3% BSA-PBS at a dilution of 1/200 overnight at 4°C in a humidified chamber. Tissues were washed extensively in PBST and detection was performed using an HRP-conjugated secondary antibody followed by colorimetric detection using a DAB kit. Tissues were counterstained with hematoxylin and dehydrated with ethanol and xylene to prep for mounting.

Western blot - Anti-CPEB1 antibody (AB3465)
  • WB

Supplier Data

Western blot - Anti-CPEB1 antibody (AB3465)

All lanes:

Western blot - Anti-CPEB1 antibody (ab3465) at 1/500 dilution

Lane 1:

HeLa lysate at 25 µg

Lane 2:

Human brain tissue lysate at 25 µg

Lane 3:

Mouse brain tissue lysate at 25 µg

Secondary

All lanes:

HRP-conjugated anti-rabbit

Predicted band size: 63 kDa

Observed band size: 62 kDa

true

Exposure time: 1min

Western blot - Anti-CPEB1 antibody (AB3465)
  • WB

Unknown

Western blot - Anti-CPEB1 antibody (AB3465)

Western blot detection of 1.0 ng of recombinant mouse CPEB1 using ab3465.

All lanes:

Western blot - Anti-CPEB1 antibody (ab3465)

Predicted band size: 63 kDa

false

Key facts

Host species

Rabbit

Clonality

Polyclonal

Isotype

IgG

Carrier free

No

Reacts with

Mouse, Rat, Human

Applications

WB, ICC/IF, IHC-P

applications

Immunogen

Synthetic Peptide within Human CPEB1 aa 500 to C-terminus. The exact immunogen used to generate this antibody is proprietary information.

Q9BZB8

Reactivity data

{ "title": "Reactivity Data", "filters": { "stats": ["", "Species", "Dilution Info", "Notes"], "tabs": { "all-applications": {"fullname" : "All Applications", "shortname": "All Applications"}, "WB" : {"fullname" : "Western blot", "shortname":"WB"}, "IHCP" : {"fullname" : "Immunohistochemistry (Formalin/PFA-fixed paraffin-embedded sections)", "shortname":"IHC-P"}, "ICCIF" : {"fullname" : "Immunocytochemistry/ Immunofluorescence", "shortname":"ICC/IF"} }, "product-promise": { "all": "all", "testedAndGuaranteed": "tested", "guaranteed": "expected", "predicted": "predicted", "notRecommended": "not-recommended" } }, "values": { "Human": { "WB-species-checked": "testedAndGuaranteed", "WB-species-dilution-info": "1 µg/mL", "WB-species-notes": "<p></p>", "IHCP-species-checked": "testedAndGuaranteed", "IHCP-species-dilution-info": "1/50 - 1/500", "IHCP-species-notes": "<p></p>", "ICCIF-species-checked": "testedAndGuaranteed", "ICCIF-species-dilution-info": "1/50 - 1/500", "ICCIF-species-notes": "<p></p>" }, "Mouse": { "WB-species-checked": "testedAndGuaranteed", "WB-species-dilution-info": "1 µg/mL", "WB-species-notes": "<p></p>", "IHCP-species-checked": "testedAndGuaranteed", "IHCP-species-dilution-info": "1/50 - 1/500", "IHCP-species-notes": "<p></p>", "ICCIF-species-checked": "guaranteed", "ICCIF-species-dilution-info": "", "ICCIF-species-notes": "" }, "Rat": { "WB-species-checked": "guaranteed", "WB-species-dilution-info": "", "WB-species-notes": "", "IHCP-species-checked": "guaranteed", "IHCP-species-dilution-info": "", "IHCP-species-notes": "", "ICCIF-species-checked": "testedAndGuaranteed", "ICCIF-species-dilution-info": "1/50 - 1/500", "ICCIF-species-notes": "<p></p>" } } }

Properties and storage information

Form
Liquid
Purification technique
Affinity purification Immunogen
Storage buffer
Preservative: 0.05% Sodium azide Constituents: PBS, 0.1% BSA
Shipped at conditions
Blue Ice
Appropriate short-term storage duration
1-2 weeks
Appropriate short-term storage conditions
+4°C
Appropriate long-term storage conditions
-20°C
Aliquoting information
Upon delivery aliquot
Storage information
Avoid freeze / thaw cycle

Supplementary information

This supplementary information is collated from multiple sources and compiled automatically.

The Cytoplasmic Polyadenylation Element Binding Protein 1 (CPEB1) functions mechanically as a regulator of mRNA translation. Often referred to simply as CPEB1 this protein has a mass of approximately 62 kDa. CPEB1 is expressed in various tissues including the brain and ovary indicating its role in diverse physiological processes. It binds to the cytoplasmic polyadenylation element typically found at the 3' untranslated region of mRNAs controlling the length of the poly(A) tail and therefore influencing mRNA stability and translation.
Biological function summary

CPEB1 regulates cell cycle progression synaptic plasticity and gametogenesis. This protein sometimes part of larger ribonucleoprotein complexes acts by coordinating the temporal and spatial translation of target mRNAs. In neurons CPEB1 plays a significant role in the regulation of local protein synthesis impacting synaptic function and plasticity. In reproductive biology it influences oocyte maturation by modulating the translation of mRNAs important for meiotic progression.

Pathways

CPEB1 plays critical roles within pathways associated with long-term potentiation and the cell cycle. In the long-term potentiation pathway CPEB1 works alongside proteins such as eIF2α to enhance synaptic strength and memory formation. In cell cycle regulation CPEB1 affects the translational activation of cyclins thereby controlling the progression through the cell cycle phases. These pathways highlight its involvement in maintaining cellular homeostasis and response to external stimuli.

CPEB1 has been implicated in neurological disorders such as Alzheimer's disease and Fragile X syndrome. In Alzheimer's disease dysregulation of CPEB1 can lead to impaired synaptic function exacerbating cognitive decline. Similarly CPEB1's interaction with FMRP links it to Fragile X syndrome where it influences synaptic plasticity and neuronal development. These associations highlight the importance of CPEB1 in brain health and cognitive functionality.

Product protocols

For this product, it's our understanding that no specific protocols are required. You can visit:

Target data

Sequence-specific RNA-binding protein that regulates mRNA cytoplasmic polyadenylation and translation initiation during oocyte maturation, early development and at postsynapse sites of neurons. Binds to the cytoplasmic polyadenylation element (CPE), an uridine-rich sequence element (consensus sequence 5'-UUUUUAU-3') within the mRNA 3'-UTR. RNA binding results in a clear conformational change analogous to the Venus fly trap mechanism (PubMed : 24990967). In absence of phosphorylation and in association with TACC3 is also involved as a repressor of translation of CPE-containing mRNA; a repression that is relieved by phosphorylation or degradation (By similarity). Involved in the transport of CPE-containing mRNA to dendrites; those mRNAs may be transported to dendrites in a translationally dormant form and translationally activated at synapses (By similarity). Its interaction with APLP1 promotes local CPE-containing mRNA polyadenylation and translation activation (By similarity). Induces the assembly of stress granules in the absence of stress. Required for cell cycle progression, specifically for prophase entry (PubMed : 26398195).
See full target information CPEB1

Publications (7)

Recent publications for all applications. Explore the full list and refine your search

Cell reports 39:110853 PubMed35675768

2022

CPEB3-dependent increase in GluA2 subunits impairs excitatory transmission onto inhibitory interneurons in a mouse model of fragile X.

Applications

Unspecified application

Species

Unspecified reactive species

Jee-Yeon Hwang,Hannah R Monday,Jingqi Yan,Andrea Gompers,Adina R Buxbaum,Kirsty J Sawicka,Robert H Singer,Pablo E Castillo,R Suzanne Zukin

Tissue barriers 9:1929786 PubMed34107845

2021

Asymmetric distribution of dynamin-2 and β-catenin relative to tight junction spikes in alveolar epithelial cells.

Applications

Unspecified application

Species

Unspecified reactive species

K Sabrina Lynn,Kristen F Easley,Francisco J Martinez,Ryan C Reed,Barbara Schlingmann,Michael Koval

Journal of orthopaedic surgery and research 15:552 PubMed33228708

2020

miR-129-3p alleviates chondrocyte apoptosis in knee joint fracture-induced osteoarthritis through CPEB1.

Applications

Unspecified application

Species

Unspecified reactive species

Ruixiong Chen,Baoqing Ye,Han Xie,Yuliang Huang,Zhehui Wu,Hongbo Wu,Xiaofeng Wang,Haixiong Miao,Weiguo Liang

Life sciences 239:116874 PubMed31521690

2019

Depletion of CPEB1 protects against oxidized LDL-induced endothelial apoptosis and inflammation though SIRT1/LOX-1 signalling pathway.

Applications

Unspecified application

Species

Unspecified reactive species

Kaicheng Xu, Xiwen Liu,Guanghao Ren,Dexin Yin,Suli Guo,Yue Zhao

Scientific reports 8:17444 PubMed30487553

2018

Micro-RNAs, their target proteins, predispositions and the memory of filial imprinting.

Applications

Unspecified application

Species

Unspecified reactive species

Giorgi Margvelani,Maia Meparishvili,Tamar Kiguradze,Brian J McCabe,Revaz Solomonia

Oncotarget 2:1011-27 PubMed22184288

2011

Geminin overexpression induces mammary tumors via suppressing cytokinesis.

Applications

Unspecified application

Species

Unspecified reactive species

Zannel Blanchard,Rohit Malik,Nicole Mullins,Christine Maric,Hugh Luk,David Horio,Brenda Hernandez,Jeffrey Killeen,Wael M Elshamy

Genes & development 25:755-66 PubMed21460039

2011

Genome-wide analysis of translation reveals a critical role for deleted in azoospermia-like (Dazl) at the oocyte-to-zygote transition.

Applications

WB

Species

Mouse

Jing Chen,Collin Melton,Nayoung Suh,Jeong Su Oh,Kathleen Horner,Fang Xie,Claudio Sette,Robert Blelloch,Marco Conti
View all publications

Product promise

We are committed to supporting your work with high-quality reagents, and we're here for you every step of the way. In the unlikely event that one of our products does not perform as expected, you're protected by our Product Promise.
For full details, please see our Terms & Conditions

Please note: All products are 'FOR RESEARCH USE ONLY. NOT FOR USE IN DIAGNOSTIC OR THERAPEUTIC PROCEDURES'.

For licensing inquiries, please contact partnerships@abcam.com