JavaScript is disabled in your browser. Please enable JavaScript to view this website.
AB315332

Anti-CPEB4 antibody [EPR27416-141]

  • BOND RX™ Validated
  • 20ul selling size
  • RabMAb
  • Recombinant
  • KO Validated
  • What is this?

Be the first to review this product! Submit a review

|

(0 Publication)

Knockout Tested Rabbit Recombinant Monoclonal CPEB4 antibody. Suitable for WB, ICC/IF, IP, IHC-Fr, Flow Cyt (Intra) and reacts with Human, Mouse, Rat samples.

View Alternative Names

KIAA1673, CPEB4, Cytoplasmic polyadenylation element-binding protein 4, CPE-BP4, CPE-binding protein 4, hCPEB-4

11 Images
Immunocytochemistry/ Immunofluorescence - Anti-CPEB4 antibody [EPR27416-141] (AB315332)
  • ICC/IF

Supplier Data

Immunocytochemistry/ Immunofluorescence - Anti-CPEB4 antibody [EPR27416-141] (AB315332)

Immunofluorescent analysis of 4% Paraformaldehyde-fixed, 0.1% TritonX-100 permeabilized U266B1 (human multiple myeloma B lymphocyte) cells labelling CPEB4 with ab315332 at 1/50 (10.32 ug/ml) dilution, followed by ab150081 Goat Anti-Rabbit IgG H&L (Alexa Fluor® 488) preadsorbed antibody at 1/1000 2 ug/ml dilution (Green).

Confocal image showing cytoplasmic staining in U266B1 cells. Low expression : A-204. Image was taken with a confocal microscope (Leica-Microsystems, TCS SP8).

ab195889 Anti-alpha Tubulin mouse monoclonal antibody - Microtubule Marker (Alexa Fluor® 594) was used to counterstain tubulin at 1/200 2.5ug/ml dilution (Red). The Nuclear counterstain was DAPI (Blue).

Secondary antibody only control : Secondary antibody is ab150081 Goat Anti-Rabbit IgG H&L (Alexa Fluor® 488) preadsorbed at 1/1000 2 ug/ml dilution.

Flow Cytometry (Intracellular) - Anti-CPEB4 antibody [EPR27416-141] (AB315332)
  • Flow Cyt (Intra)

Supplier Data

Flow Cytometry (Intracellular) - Anti-CPEB4 antibody [EPR27416-141] (AB315332)

Flow cytometric analysis of 4% paraformaldehyde fixed 90% methanol permeabilized A-204 (human muscle rhabdomyosarcoma cell, Left) / U266B1 (human multiple myeloma B lymphocyte, Right) cells labelling CPEB4 with ab315332 at 1/50 dilution (1 ug)/Red (Red) compared with a Rabbit monoclonal IgG (ab172730) (Black) isotype control and an unlabelled control (cells without incubation with primary antibody and secondary antibody) (Blue).

Goat Anti-Rabbit IgG (Alexa Fluor® 488, ab150081) at 1/5000 dilution was used as the secondary antibody.

Low expression : A-204.

Immunoprecipitation - Anti-CPEB4 antibody [EPR27416-141] (AB315332)
  • IP

Supplier Data

Immunoprecipitation - Anti-CPEB4 antibody [EPR27416-141] (AB315332)

CPEB4 was immunoprecipitated from 0.35 mg U266B1 (human multiple myeloma B lymphocyte) whole cell lysate with ab315332 at 1/30 dilution (2ug in 0.35mg lysates). Western blot was performed on the immunoprecipitate using ab315332 at 1/1000 dilution. VeriBlot for IP secondary antibody (HRP) (ab131366) was used at 1/5000 dilution.

Blocking and diluting buffer and concentration : 5% NFDM/TBST.

All lanes:

Immunoprecipitation - Anti-CPEB4 antibody [EPR27416-141] (ab315332) at 1/1000 dilution

Lane 1:

U266B1 (human multiple myeloma B lymphocyte) whole cell lysate

Lane 2:

ab315332 at 1/30 IP in U266B1 (human multiple myeloma B lymphocyte) whole cell lysate

Lane 3:

Rabbit monoclonal IgG (<a href='/en-us/products/primary-antibodies/rabbit-igg-monoclonal-epr25a-isotype-control-ab172730'>ab172730</a>) instead of ab315332 in U266B1 whole cell lysate

Secondary

All lanes:

Immunoprecipitation - VeriBlot for IP Detection Reagent (HRP) (<a href='/en-us/products/reagents/veriblot-for-ip-detection-reagent-hrp-ab131366'>ab131366</a>) at 1/5000 dilution

false

Exposure time: 119s

Immunohistochemistry (Frozen sections) - Anti-CPEB4 antibody [EPR27416-141] (AB315332)
  • IHC-Fr

Supplier Data

Immunohistochemistry (Frozen sections) - Anti-CPEB4 antibody [EPR27416-141] (AB315332)

Immunohistochemical analysis of 4% PFA-fixed, 0.2% Triton X-100 permeabilized frozen Mouse hippocampus (fresh frozen) tissue labeling CPEB4 with ab315332 at 1/100 (5.16 ug/ml) dilution followed by ab150081 Goat Anti-Rabbit IgG H&L (Alexa Fluor® 488) preadsorbed at 1/1000 2 ug/mL dilution (Green).

Confocal image showing positive staining on mouse hippocampus. The nuclear counterstain was DAPI (Blue). The section was incubated with ab315332 for 60 mins at room temperature. The section was then mounted using Fluoromount®. The immunostaining was performed on a Leica Biosystems BOND® RX instrument. Image was taken with a confocal microscope (Leica-Microsystems, TCS SP8). The nuclear counterstain was DAPI (Blue).

Secondary antibody control : Secondary antibody is ab150081 Goat Anti-Rabbit IgG H&L (Alexa Fluor® 488) preadsorbed at 1/1000 2 ug/mL dilution.

Immunocytochemistry/ Immunofluorescence - Anti-CPEB4 antibody [EPR27416-141] (AB315332)
  • ICC/IF

Supplier Data

Immunocytochemistry/ Immunofluorescence - Anti-CPEB4 antibody [EPR27416-141] (AB315332)

Immunofluorescent analysis of 4% Paraformaldehyde-fixed, 0.1% TritonX-100 permeabilized Neuro-2a (mouse neuroblastoma neuroblast) cells labelling CPEB4 with ab315332 at 1/50 (10.32 ug/ml) dilution, followed by ab150081 Goat Anti-Rabbit IgG H&L (Alexa Fluor® 488) preadsorbed antibody at 1/1000 2 ug/ml dilution (Green).

Confocal image showing cytoplasmic staining in Neuro-2a cells and showing weak staining in F9 cells. Low expression : F9. Image was taken with a confocal microscope (Leica-Microsystems, TCS SP8).

ab195889 Anti-alpha Tubulin mouse monoclonal antibody - Microtubule Marker (Alexa Fluor® 594) was used to counterstain tubulin at 1/200 2.5ug/ml dilution (Red). The Nuclear counterstain was DAPI (Blue).

Secondary antibody only control : Secondary antibody is ab150081 Goat Anti-Rabbit IgG H&L (Alexa Fluor® 488) preadsorbed at 1/1000 2 ug/ml dilution.

Immunohistochemistry (Frozen sections) - Anti-CPEB4 antibody [EPR27416-141] (AB315332)
  • IHC-Fr

Supplier Data

Immunohistochemistry (Frozen sections) - Anti-CPEB4 antibody [EPR27416-141] (AB315332)

Immunohistochemical analysis of 4% PFA-fixed, 0.2% Triton X-100 permeabilized frozen Mouse kidney (fresh frozen) tissue labeling CPEB4 with ab315332 at 1/100 (5.16 ug/ml) dilution followed by ab150081 Goat Anti-Rabbit IgG H&L (Alexa Fluor® 488) preadsorbed at 1/1000 2 ug/mL dilution (Green).

Low expression : confocal image showing no staining on mouse kidney (PMID : 17024188). The nuclear counterstain was DAPI (Blue). The section was incubated with ab315332 for 60 mins at room temperature. The section was then mounted using Fluoromount®. The immunostaining was performed on a Leica Biosystems BOND® RX instrument. Image was taken with a confocal microscope (Leica-Microsystems, TCS SP8). The nuclear counterstain was DAPI (Blue).

Secondary antibody control : Secondary antibody is ab150081 Goat Anti-Rabbit IgG H&L (Alexa Fluor® 488) preadsorbed at 1/1000 2 ug/mL dilution.

Immunohistochemistry (Frozen sections) - Anti-CPEB4 antibody [EPR27416-141] (AB315332)
  • IHC-Fr

Supplier Data

Immunohistochemistry (Frozen sections) - Anti-CPEB4 antibody [EPR27416-141] (AB315332)

Immunohistochemical analysis of 4% PFA-fixed, 0.2% Triton X-100 permeabilized frozen Mouse skeletal muscle (fresh frozen) tissue labeling CPEB4 with ab315332 at 1/100 (5.16 ug/ml) dilution followed by ab150081 Goat Anti-Rabbit IgG H&L (Alexa Fluor® 488) preadsorbed at 1/1000 2 ug/mL dilution (Green).

Low expression : confocal image showing no staining on mouse skeletal muscle (PMID : 17024188). The nuclear counterstain was DAPI (Blue). The section was incubated with ab315332 for 60 mins at room temperature. The section was then mounted using Fluoromount®. The immunostaining was performed on a Leica Biosystems BOND® RX instrument. Image was taken with a confocal microscope (Leica-Microsystems, TCS SP8). The nuclear counterstain was DAPI (Blue).

Secondary antibody control : Secondary antibody is ab150081 Goat Anti-Rabbit IgG H&L (Alexa Fluor® 488) preadsorbed at 1/1000 2 ug/mL dilution.

Immunohistochemistry (Frozen sections) - Anti-CPEB4 antibody [EPR27416-141] (AB315332)
  • IHC-Fr

Supplier Data

Immunohistochemistry (Frozen sections) - Anti-CPEB4 antibody [EPR27416-141] (AB315332)

Immunohistochemical analysis of 4% PFA-fixed, 0.2% Triton X-100 permeabilized frozen Mouse hippocampus (fresh frozen) tissue labeling CPEB4 with ab315332 at 1/100 (5.16 ug/ml) dilution followed by ab150081 Goat Anti-Rabbit IgG H&L (Alexa Fluor® 488) preadsorbed at 1/1000 2 ug/mL dilution (Green).

Panel A : merged staining of anti-CPEB4 (ab315332, green), anti-NeuN (ab190565, grey) and anti-GFAP (ab201732, red) on mouse hippocampus. Panel B : anti-CPEB4 stained on mouse hippocampus. Panel C : anti-NeuN stained in neurons of mouse hippocampus. Panel D : anti-GFAP stained in astrocytes of mouse hippocampus. The nuclear counterstain was DAPI (Blue). The section was incubated with ab315332 for 60 mins at room temperature. The section was then mounted using Fluoromount®. The immunostaining was performed on a Leica Biosystems BOND® RX instrument. Image was taken with a confocal microscope (Leica-Microsystems, TCS SP8). The nuclear counterstain was DAPI (Blue).

Secondary antibody control : Secondary antibody is ab150081 Goat Anti-Rabbit IgG H&L (Alexa Fluor® 488) preadsorbed at 1/1000 2 ug/mL dilution.

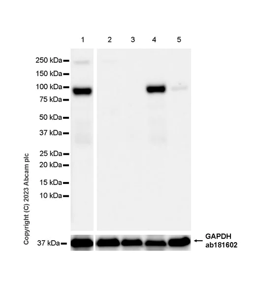
Western blot - Anti-CPEB4 antibody [EPR27416-141] (AB315332)
  • WB

Supplier Data

Western blot - Anti-CPEB4 antibody [EPR27416-141] (AB315332)

Low expression : A-204, A-673, F9.

In Western blot, Anti-GAPDH antibody [EPR16891] - Loading Control (ab181602) staining at 1/200000 dilution.

Blocking and diluting buffer and concentration : 5% NFDM/TBST.

All lanes:

Western blot - Anti-CPEB4 antibody [EPR27416-141] (ab315332) at 1/1000 dilution

Lane 1:

U266B1 (human mtiple myeloma B lymphocyte) whole cell lysate at 50 µg

Lane 2:

A-204 (rat muscle rhabdomyosarcoma) whole cell lysate at 50 µg

Lane 3:

A-673 (human muscle ewis sarcoma) whole cell lysate at 50 µg

Lane 4:

Neuro-2a (mouse neuroblastoma neuroblast) whole cell lysate at 50 µg

Lane 5:

F9 (mouse embryonal carcinoma epithelial cell) whole cell lysate at 50 µg

Secondary

All lanes:

Western blot - Goat Anti-Rabbit IgG H&L (HRP) (<a href='/en-us/products/secondary-antibodies/goat-rabbit-igg-h-l-hrp-ab97051'>ab97051</a>) at 1/20000 dilution

Observed band size: 90 kDa,36 kDa

false

Exposure time: 8s

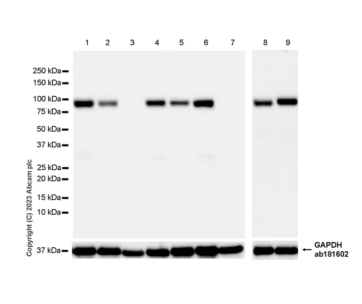
Western blot - Anti-CPEB4 antibody [EPR27416-141] (AB315332)
  • WB

Supplier Data

Western blot - Anti-CPEB4 antibody [EPR27416-141] (AB315332)

Low expression : kidney (PMID : 17024188).

In Western blot, Anti-GAPDH antibody [EPR16891] - Loading Control (ab181602) staining at 1/200000 dilution.

Exposure time : Lane 1-7 : 10 seconds, Lane 8-9 : 48 seconds.

Blocking and diluting buffer and concentration : 5% NFDM/TBST.

All lanes:

Western blot - Anti-CPEB4 antibody [EPR27416-141] (ab315332) at 1/1000 dilution

Lane 1:

Mouse brain tissue lysate at 50 µg

Lane 2:

Mouse cerebellum tissue lysate at 50 µg

Lane 3:

Mouse kidney tissue lysate at 50 µg

Lane 4:

Rat brain tissue lysate at 50 µg

Lane 6:

Rat hippocampus tissue lysate at 50 µg

Lane 7:

Rat kidney tissue lysate at 50 µg

Lane 8:

Human brain tissue lysate at 50 µg

Lane 9:

Human cerebellum tissue lysate at 50 µg

Secondary

All lanes:

Goat Anti-Rabbit IgG (HRP) with minimal cross-reactivity with human IgG at 1/2000 dilution

Observed band size: 90 kDa,36 kDa

false

Western blot - Anti-CPEB4 antibody [EPR27416-141] (AB315332)
  • WB

Lab

Western blot - Anti-CPEB4 antibody [EPR27416-141] (AB315332)

Western blot : Anti-CPEB4 antibody [EPR27416-141] (ab315332) staining at 1/1000 dilution, shown in green; Mouse anti-GAPDH antibody [6C5] (ab8245) loading control staining at 1/20000 dilution, shown in magenta. In Western blot, ab315332 was shown to bind specifically to CPEB4. A band was observed at 80 kDa in wild-type A549 cell lysates with no signal observed at this size in CPEB4 knockout cell line. To generate this image, wild-type and CPEB4 knockout A549 cell lysates were analysed. First, samples were run on an SDS-PAGE gel then transferred onto a nitrocellulose membrane. Membranes were blocked in 3 % milk in TBS-0.1 % Tween® 20 (TBS-T) before incubation with primary antibodies overnight at 4 °C. Blots were washed four times in TBS-T, incubated with secondary antibodies for 1 h at room temperature, washed again four times then imaged. Secondary antibodies used were Goat anti-Rabbit IgG H&L 800CW and Goat anti-Mouse IgG H&L 680RD at 1/20000 dilution.

All lanes:

Western blot - Anti-CPEB4 antibody [EPR27416-141] (ab315332) at 1/1000 dilution

Lane 1:

Wild-type A549 cell lysate at 20 µg

Lane 2:

CPEB4 knockout A549 cell lysate at 20 µg

Lane 3:

HeLa cell lysate at 20 µg

Lane 4:

Jurkat cell lysate at 20 µg

Secondary

All lanes:

Goat anti-Rabbit IgG H&L 800CW and Goat anti-Mouse IgG H&L 680RD at 1/20000 dilution

Observed band size: 80 kDa

false

  • Carrier free

    Anti-CPEB4 antibody [EPR27416-141] - BSA and Azide free

Key facts

Host species

Rabbit

Clonality

Monoclonal

Clone number

EPR27416-141

Isotype

IgG

Carrier free

No

Reacts with

Human, Mouse, Rat

Applications

IP, IHC-Fr, WB, Flow Cyt (Intra), ICC/IF

applications

Immunogen

The exact immunogen used to generate this antibody is proprietary information.

Reactivity data

{ "title": "Reactivity Data", "filters": { "stats": ["", "Species", "Dilution Info", "Notes"], "tabs": { "all-applications": {"fullname" : "All Applications", "shortname": "All Applications"}, "WB" : {"fullname" : "Western blot", "shortname":"WB"}, "ICCIF" : {"fullname" : "Immunocytochemistry/ Immunofluorescence", "shortname":"ICC/IF"}, "IP" : {"fullname" : "Immunoprecipitation", "shortname":"IP"}, "IHCFr" : {"fullname" : "Immunohistochemistry (Frozen sections)", "shortname":"IHC-Fr"}, "FlowCytIntra" : {"fullname" : "Flow Cytometry (Intracellular)", "shortname":"Flow Cyt (Intra)"}, "IHCP" : {"fullname" : "Immunohistochemistry (Formalin/PFA-fixed paraffin-embedded sections)", "shortname":"IHC-P"} }, "product-promise": { "all": "all", "testedAndGuaranteed": "tested", "guaranteed": "expected", "predicted": "predicted", "notRecommended": "not-recommended" } }, "values": { "Human": { "WB-species-checked": "testedAndGuaranteed", "WB-species-dilution-info": "1/1000", "WB-species-notes": "<p></p>", "ICCIF-species-checked": "testedAndGuaranteed", "ICCIF-species-dilution-info": "1/50", "ICCIF-species-notes": "<p></p>", "IP-species-checked": "testedAndGuaranteed", "IP-species-dilution-info": "1/30", "IP-species-notes": "<p></p>", "IHCFr-species-checked": "guaranteed", "IHCFr-species-dilution-info": "", "IHCFr-species-notes": "", "FlowCytIntra-species-checked": "testedAndGuaranteed", "FlowCytIntra-species-dilution-info": "1/50", "FlowCytIntra-species-notes": "<p></p>", "IHCP-species-checked": "notRecommended", "IHCP-species-dilution-info": "", "IHCP-species-notes": "<p></p>" }, "Mouse": { "WB-species-checked": "testedAndGuaranteed", "WB-species-dilution-info": "1/1000", "WB-species-notes": "<p></p>", "ICCIF-species-checked": "testedAndGuaranteed", "ICCIF-species-dilution-info": "1/50", "ICCIF-species-notes": "<p></p>", "IP-species-checked": "guaranteed", "IP-species-dilution-info": "", "IP-species-notes": "", "IHCFr-species-checked": "testedAndGuaranteed", "IHCFr-species-dilution-info": "1/100", "IHCFr-species-notes": "<p></p>", "FlowCytIntra-species-checked": "guaranteed", "FlowCytIntra-species-dilution-info": "", "FlowCytIntra-species-notes": "", "IHCP-species-checked": "notRecommended", "IHCP-species-dilution-info": "", "IHCP-species-notes": "<p></p>" }, "Rat": { "WB-species-checked": "testedAndGuaranteed", "WB-species-dilution-info": "1/1000", "WB-species-notes": "<p></p>", "ICCIF-species-checked": "guaranteed", "ICCIF-species-dilution-info": "", "ICCIF-species-notes": "", "IP-species-checked": "guaranteed", "IP-species-dilution-info": "", "IP-species-notes": "", "IHCFr-species-checked": "guaranteed", "IHCFr-species-dilution-info": "", "IHCFr-species-notes": "", "FlowCytIntra-species-checked": "guaranteed", "FlowCytIntra-species-dilution-info": "", "FlowCytIntra-species-notes": "", "IHCP-species-checked": "notRecommended", "IHCP-species-dilution-info": "", "IHCP-species-notes": "<p></p>" } } }

Product details

Patented technology
Our RabMAb® technology is a patented hybridoma-based technology for making rabbit monoclonal antibodies. For details on our patents, please refer to RabMAb® patents.

What are the advantages of a recombinant monoclonal antibody?
This product is a recombinant monoclonal antibody, which offers several advantages including:

  • - High batch-to-batch consistency and reproducibility
  • - Improved sensitivity and specificity
  • - Long-term security of supply
  • - Animal-free batch production

For more information, read more on recombinant antibodies.

Properties and storage information

Form
Liquid
Purification technique
Affinity purification Protein A
Storage buffer
pH: 7.2 - 7.4 Preservative: 0.01% Sodium azide Constituents: PBS, 40% Glycerol (glycerin, glycerine), 0.05% BSA
Shipped at conditions
Blue Ice
Appropriate short-term storage duration
1-2 weeks
Appropriate short-term storage conditions
+4°C
Appropriate long-term storage conditions
-20°C
Aliquoting information
Upon delivery aliquot
Storage information
Avoid freeze / thaw cycle

Supplementary information

This supplementary information is collated from multiple sources and compiled automatically.

CPEB4 also known as Cytoplasmic Polyadenylation Element Binding Protein 4 plays an important role in post-transcriptional regulation specifically in mRNA polyadenylation. This protein with a molecular weight of about 75 kDa is part of the CPEB family. Researchers have discovered its expression in various tissues including the brain and testes where it binds mRNA to control translation during processes like oocyte maturation and synaptic plasticity.
Biological function summary

The protein influences gene expression by modulating mRNA stability and translational efficiency. CPEB4 is not isolated in function; it interacts with other proteins as a part of the cytoplasmic polyadenylation complex. Through these interactions CPEB4 affects cell cycle progression stress responses and neuronal development therefore integrating environmental signals into cellular responses.

Pathways

The function of CPEB4 fits into critical signaling routes including the MAPK and PI3K-AKT pathways. Within these pathways CPEB4 interacts with proteins like MEK and AKT impacting cell survival growth and differentiation. The protein modulates mRNA translation in response to signaling cues serving as a conduit for transmitting intracellular messages that dictate cellular adaptation and response.

Researchers have linked CPEB4 to conditions such as cancer and neurodegenerative diseases. In glioblastoma for example the protein's aberrant expression affects tumorigenesis pathways often in conjunction with proteins like P53 to manipulate cell proliferation and survival. In neurodegenerative conditions alterations in CPEB4 can impact proteins involved in synaptic maintenance thereby contributing to cognitive decline and neural dysfunction.

Product protocols

For this product, it's our understanding that no specific protocols are required. You can visit:

Target data

Sequence-specific RNA-binding protein that binds to the cytoplasmic polyadenylation element (CPE), an uridine-rich sequence element (consensus sequence 5'-UUUUUAU-3') within the mRNA 3'-UTR (PubMed : 24990967). RNA binding results in a clear conformational change analogous to the Venus fly trap mechanism (PubMed : 24990967). Regulates activation of unfolded protein response (UPR) in the process of adaptation to ER stress in liver, by maintaining translation of CPE-regulated mRNAs in conditions in which global protein synthesis is inhibited (By similarity). Required for cell cycle progression, specifically for cytokinesis and chromosomal segregation (PubMed : 26398195). Plays a role as an oncogene promoting tumor growth and progression by positively regulating translation of t-plasminogen activator/PLAT (PubMed : 22138752). Stimulates proliferation of melanocytes (PubMed : 27857118). In contrast to CPEB1 and CPEB3, does not play role in synaptic plasticity, learning and memory (By similarity).
See full target information CPEB4

Product promise

We are committed to supporting your work with high-quality reagents, and we're here for you every step of the way. In the unlikely event that one of our products does not perform as expected, you're protected by our Product Promise.
For full details, please see our Terms & Conditions

Please note: All products are 'FOR RESEARCH USE ONLY. NOT FOR USE IN DIAGNOSTIC OR THERAPEUTIC PROCEDURES'.

For licensing inquiries, please contact partnerships@abcam.com