JavaScript is disabled in your browser. Please enable JavaScript to view this website.
AB308464

Anti-CPLX3 antibody [EPR28433-43] - BSA and Azide free

  • BOND RX™ Validated
  • RabMAb
  • Recombinant
  • Advanced Validation
  • What is this?

Be the first to review this product! Submit a review

|

(0 Publication)

Rabbit Recombinant Monoclonal CPLX3 antibody. Carrier free. Suitable for WB, IHC-P, IHC-Fr, IP, mIHC and reacts with Transfected cell lysate - Mouse, Mouse, Rat, Human samples.

View Alternative Names

Complexin-3, Complexin III, CPX III, Cplx3

16 Images
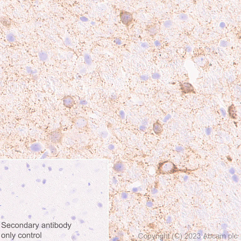
Immunohistochemistry (Formalin/PFA-fixed paraffin-embedded sections) - Anti-CPLX3 antibody [EPR28433-43] - BSA and Azide free (AB308464)
  • IHC-P

Supplier Data

Immunohistochemistry (Formalin/PFA-fixed paraffin-embedded sections) - Anti-CPLX3 antibody [EPR28433-43] - BSA and Azide free (AB308464)

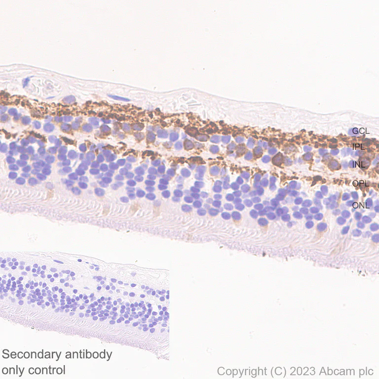
Immunohistochemical analysis of paraffin-embedded Human retina tissue labelling CPLX3 with ab308463 at 1/100 (5.19 ug/ml) followed by a ready to use LeicaDS9800 (Bond™ Polymer Refine Detection). Positive staining on human retina.The section was incubated with ab308463 for 30 mins at room temperature. The immunostaining was performed on a Leica Biosystems BOND® RX instrument Counterstained with Hematoxylin. Secondary antibody only control : Secondary antibody is a ready to use LeicaDS9800 (Bond™ Polymer Refine Detection). Heat mediated antigen retrieval was performed with Tris-EDTA buffer (pH 9.0, Epitope Retrieval Solution2) for 20 mins

Immunohistochemistry (Formalin/PFA-fixed paraffin-embedded sections) - Anti-CPLX3 antibody [EPR28433-43] - BSA and Azide free (AB308464)
  • IHC-P

Supplier Data

Immunohistochemistry (Formalin/PFA-fixed paraffin-embedded sections) - Anti-CPLX3 antibody [EPR28433-43] - BSA and Azide free (AB308464)

Immunohistochemical analysis of paraffin-embedded Human skeletal muscl tissue labelling CPLX3 with ab308463 at 1/100 (5.19 ug/ml) followed by a ready to use LeicaDS9800 (Bond™ Polymer Refine Detection). Negative control : No staining on human skeletal muscle.The section was incubated with ab308463 for 30 mins at room temperature. The immunostaining was performed on a Leica Biosystems BOND® RX instrument Counterstained with Hematoxylin. Secondary antibody only control : Secondary antibody is a ready to use LeicaDS9800 (Bond™ Polymer Refine Detection). Heat mediated antigen retrieval was performed with Tris-EDTA buffer (pH 9.0, Epitope Retrieval Solution2) for 20 mins

Immunohistochemistry (Formalin/PFA-fixed paraffin-embedded sections) - Anti-CPLX3 antibody [EPR28433-43] - BSA and Azide free (AB308464)
  • IHC-P

Supplier Data

Immunohistochemistry (Formalin/PFA-fixed paraffin-embedded sections) - Anti-CPLX3 antibody [EPR28433-43] - BSA and Azide free (AB308464)

Immunohistochemical analysis of paraffin-embedded Rat retina tissue labelling CPLX3 with ab308463 at 1/5000 (0.104 ug/ml) followed by a ready to use LeicaDS9800 (Bond™ Polymer Refine Detection). Positive staining on rat retina.The section was incubated with ab308463 for 30 mins at room temperature. The immunostaining was performed on a Leica Biosystems BOND® RX instrumentIncubate slides with 3% Hydrogen Peroxide for 10 mins at room temperature after secondary antibody incubation to reduce the background. Counterstained with Hematoxylin. Secondary antibody only control : Secondary antibody is a ready to use LeicaDS9800 (Bond™ Polymer Refine Detection). Heat mediated antigen retrieval was performed with Tris-EDTA buffer (pH 9.0, Epitope Retrieval Solution2) for 20 mins

Immunohistochemistry (Formalin/PFA-fixed paraffin-embedded sections) - Anti-CPLX3 antibody [EPR28433-43] - BSA and Azide free (AB308464)
  • IHC-P

Supplier Data

Immunohistochemistry (Formalin/PFA-fixed paraffin-embedded sections) - Anti-CPLX3 antibody [EPR28433-43] - BSA and Azide free (AB308464)

Immunohistochemical analysis of paraffin-embedded Mouse skeletal muscl tissue labelling CPLX3 with ab308463 at 1/5000 (0.104 ug/ml) followed by a ready to use LeicaDS9800 (Bond™ Polymer Refine Detection). Negative control : No staining on mouse skeletal muscle.The section was incubated with ab308463 for 30 mins at room temperature. The immunostaining was performed on a Leica Biosystems BOND® RX instrumentIncubate slides with 3% Hydrogen Peroxide for 10 mins at room temperature after secondary antibody incubation to reduce the background. Counterstained with Hematoxylin. Secondary antibody only control : Secondary antibody is a ready to use LeicaDS9800 (Bond™ Polymer Refine Detection). Heat mediated antigen retrieval was performed with Tris-EDTA buffer (pH 9.0, Epitope Retrieval Solution2) for 20 mins

Immunohistochemistry (Formalin/PFA-fixed paraffin-embedded sections) - Anti-CPLX3 antibody [EPR28433-43] - BSA and Azide free (AB308464)
  • IHC-P

Supplier Data

Immunohistochemistry (Formalin/PFA-fixed paraffin-embedded sections) - Anti-CPLX3 antibody [EPR28433-43] - BSA and Azide free (AB308464)

Immunohistochemical analysis of paraffin-embedded Rat cerebrum tissue labelling CPLX3 with ab308463 at 1/5000 (0.104 ug/ml) followed by a ready to use LeicaDS9800 (Bond™ Polymer Refine Detection). Positive staining on rat cerebrum.The section was incubated with ab308463 for 30 mins at room temperature. The immunostaining was performed on a Leica Biosystems BOND® RX instrumentIncubate slides with 3% Hydrogen Peroxide for 10 mins at room temperature after secondary antibody incubation to reduce the background. Counterstained with Hematoxylin. Secondary antibody only control : Secondary antibody is a ready to use LeicaDS9800 (Bond™ Polymer Refine Detection). Heat mediated antigen retrieval was performed with Tris-EDTA buffer (pH 9.0, Epitope Retrieval Solution2) for 20 mins

Immunohistochemistry (Formalin/PFA-fixed paraffin-embedded sections) - Anti-CPLX3 antibody [EPR28433-43] - BSA and Azide free (AB308464)
  • IHC-P

Supplier Data

Immunohistochemistry (Formalin/PFA-fixed paraffin-embedded sections) - Anti-CPLX3 antibody [EPR28433-43] - BSA and Azide free (AB308464)

Immunohistochemical analysis of paraffin-embedded Rat skeletal muscle tissue labelling CPLX3 with ab308463 at 1/5000 (0.104 ug/ml) followed by a ready to use LeicaDS9800 (Bond™ Polymer Refine Detection). Negative control : No staining on rat skeletal muscle.The section was incubated with ab308463 for 30 mins at room temperature. The immunostaining was performed on a Leica Biosystems BOND® RX instrumentIncubate slides with 3% Hydrogen Peroxide for 10 mins at room temperature after secondary antibody incubation to reduce the background. Counterstained with Hematoxylin. Secondary antibody only control : Secondary antibody is a ready to use LeicaDS9800 (Bond™ Polymer Refine Detection). Heat mediated antigen retrieval was performed with Tris-EDTA buffer (pH 9.0, Epitope Retrieval Solution2) for 20 mins

Immunohistochemistry (Formalin/PFA-fixed paraffin-embedded sections) - Anti-CPLX3 antibody [EPR28433-43] - BSA and Azide free (AB308464)
  • IHC-P

Supplier Data

Immunohistochemistry (Formalin/PFA-fixed paraffin-embedded sections) - Anti-CPLX3 antibody [EPR28433-43] - BSA and Azide free (AB308464)

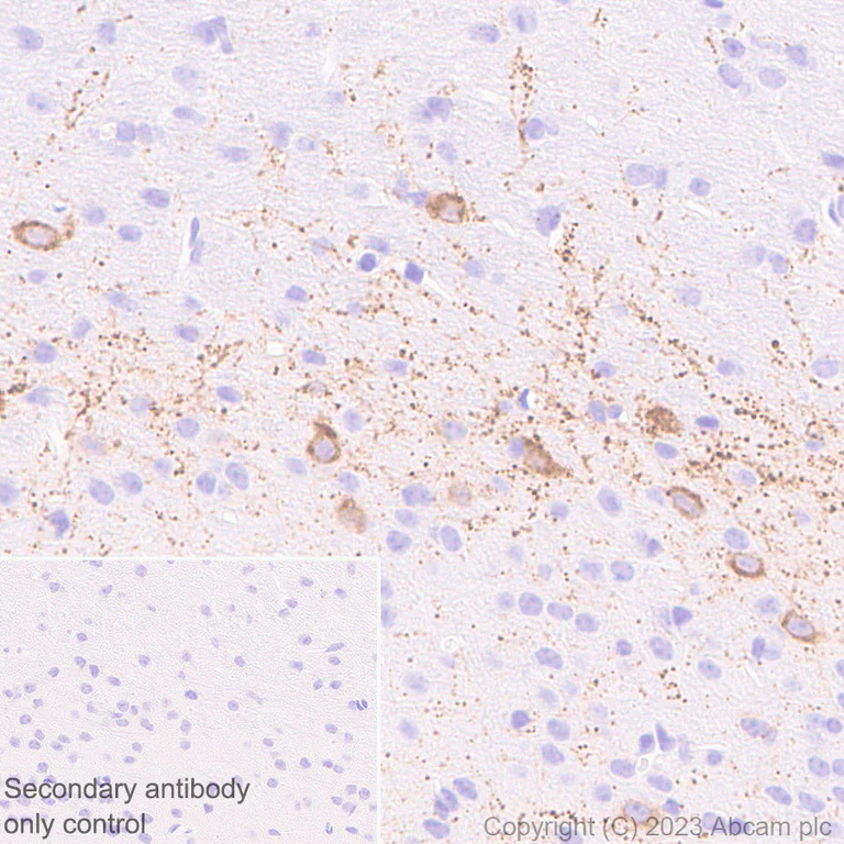
Immunohistochemical analysis of paraffin-embedded Mouse cerebrum tissue labelling CPLX3 with ab308463 at 1/5000 (0.104 ug/ml) followed by a ready to use LeicaDS9800 (Bond™ Polymer Refine Detection). Positive staining on mouse cerebrum (PMID : 34193558).The section was incubated with ab308463 for 30 mins at room temperature. The immunostaining was performed on a Leica Biosystems BOND® RX instrumentIncubate slides with 3% Hydrogen Peroxide for 10 mins at room temperature after secondary antibody incubation to reduce the background. Counterstained with Hematoxylin. Secondary antibody only control : Secondary antibody is a ready to use LeicaDS9800 (Bond™ Polymer Refine Detection). Heat mediated antigen retrieval was performed with Tris-EDTA buffer (pH 9.0, Epitope Retrieval Solution2) for 20 mins

Immunohistochemistry (Frozen sections) - Anti-CPLX3 antibody [EPR28433-43] - BSA and Azide free (AB308464)
  • IHC-Fr

Supplier Data

Immunohistochemistry (Frozen sections) - Anti-CPLX3 antibody [EPR28433-43] - BSA and Azide free (AB308464)

This data was developed using ab308463, the same antibody clone in a different buffer formulation. Immunohistochemical analysis of 4% PFA-fixed, 0.2% Triton X-100 permeabilized frozen Mouse skeletal muscle (fresh) tissue labeling CPLX3 with ab308463 at 1/100 (5.19 ug/ml) dilution followed by ab150081 Goat Anti-Rabbit IgG H&L (Alexa Fluor® 488) preadsorbed at 1/1000 2 ug/mL dilution (Green). Low expression : confocal image showing no staining on mouse skeletal muscle (PMID : 15911881). The nuclear counterstain was DAPI (Blue). The section was incubated with ab308463 for 60 mins at room temperature. The section was then mounted using Fluoromount®.The immunostaining was performed on a Leica Biosystems BOND® RX instrument. Image was taken with a confocal microscope (Leica-Microsystems, TCS SP8). is observed. The nuclear counterstain was DAPI (Blue). Secondary antibody control : Secondary antibody is ab150081 Goat Anti-Rabbit IgG H&L (Alexa Fluor® 488) preadsorbed at 1/1000 2 ug/mL dilution.

Immunohistochemistry (Frozen sections) - Anti-CPLX3 antibody [EPR28433-43] - BSA and Azide free (AB308464)
  • IHC-Fr

Supplier Data

Immunohistochemistry (Frozen sections) - Anti-CPLX3 antibody [EPR28433-43] - BSA and Azide free (AB308464)

This data was developed using ab308463, the same antibody clone in a different buffer formulation. Immunohistochemical analysis of 4% PFA-fixed, 0.2% Triton X-100 permeabilized frozen Mouse retina (fresh) tissue labeling CPLX3 with ab308463 at 1/100 (5.19 ug/ml) dilution followed by ab150081 Goat Anti-Rabbit IgG H&L (Alexa Fluor® 488) preadsorbed at 1/1000 2 ug/mL dilution (Green). Confocal image showing positive staining on mouse retina. The nuclear counterstain was DAPI (Blue). The section was incubated with ab308463 for 60 mins at room temperature. The section was then mounted using Fluoromount®.The immunostaining was performed on a Leica Biosystems BOND® RX instrument. Image was taken with a confocal microscope (Leica-Microsystems, TCS SP8). is observed. The nuclear counterstain was DAPI (Blue). Secondary antibody control : Secondary antibody is ab150081 Goat Anti-Rabbit IgG H&L (Alexa Fluor® 488) preadsorbed at 1/1000 2 ug/mL dilution.

Multiplex immunohistochemistry - Anti-CPLX3 antibody [EPR28433-43] - BSA and Azide free (AB308464)
  • mIHC

Lab

Multiplex immunohistochemistry - Anti-CPLX3 antibody [EPR28433-43] - BSA and Azide free (AB308464)

This data was developed using ab308463, the same antibody clone in a different buffer formulation.

Multiplex immunohistochemistry analysis of formalin/PFA-fixed paraffin-embedded rat retina tissue staining RPE65 with ab231782 at a 1/8000 dilution, ab308463 anti-CPLX3 used at 1/5000 dilution and ab303504 anti-ABCA4 used at a 1/500 dilution.

Panel A : merged staining of anti-RPE65 (green; Opal™520), anti-CPLX3 (magenta; Opal™690) and anti-ABCA4 (gray; Opal™570) on rat retina.
Panel B : anti-RPE65 staining pigmented layer in rat retina.
Panel C : ant-CPLX3 staining ribbon synapses of photoreceptors and bipolar cells in rat retina.
Panel D : ant-ABCA4 staining photoreceptor outer segments in rat retina.
Nuclear DNA was labeled with DAPI (shown in blue).

The section was incubated in three rounds of staining : in the order of ab231782, ab308463 and ab303504 for 30 mins at room temperature. Each round was followed by a separate fluorescent tyramide signal amplification system.

The immunostaining was performed on a Leica Biosystems BOND® RX instrument with an Opal™ 4-color kit. Image acquisition was performed with Leica SP8 confocal microscope.

Heat mediated antigen retrieval was performed with Tris-EDTA buffer (pH 9.0, Epitope Retrieval Solution2) for 20 mins.

Multiplex immunohistochemistry - Anti-CPLX3 antibody [EPR28433-43] - BSA and Azide free (AB308464)
  • mIHC

Lab

Multiplex immunohistochemistry - Anti-CPLX3 antibody [EPR28433-43] - BSA and Azide free (AB308464)

This data was developed using ab308463, the same antibody clone in a different buffer formulation.

Multiplex immunohistochemistry analysis of formalin/PFA-fixed paraffin-embedded mouse retina tissue staining RPE65 with ab231782 at a 1/8000 dilution, ab308463 anti-CPLX3 used at 1/5000 dilution and ab303504 anti-ABCA4 used at a 1/500 dilution.

Panel A : merged staining of anti-RPE65 (green; Opal™520), anti-CPLX3 (magenta; Opal™690) and anti-ABCA4 (gray; Opal™570) on mouse retina.
Panel B : anti-RPE65 staining pigmented layer in mouse retina.
Panel C : ant-CPLX3 staining ribbon synapses of photoreceptors and bipolar cells in mouse retina.
Panel D : ant-ABCA4 staining photoreceptor outer segments in mouse retina.
Nuclear DNA was labeled with DAPI (shown in blue).

The section was incubated in three rounds of staining : in the order of ab231782, ab308463 and ab303504 for 30 mins at room temperature. Each round was followed by a separate fluorescent tyramide signal amplification system.

The immunostaining was performed on a Leica Biosystems BOND® RX instrument with an Opal™ 4-color kit. Image acquisition was performed with Leica SP8 confocal microscope.

Heat mediated antigen retrieval was performed with Tris-EDTA buffer (pH 9.0, Epitope Retrieval Solution2) for 20 mins.

Immunohistochemistry (Formalin/PFA-fixed paraffin-embedded sections) - Anti-CPLX3 antibody [EPR28433-43] - BSA and Azide free (AB308464)
  • IHC-P

Supplier Data

Immunohistochemistry (Formalin/PFA-fixed paraffin-embedded sections) - Anti-CPLX3 antibody [EPR28433-43] - BSA and Azide free (AB308464)

Immunohistochemical analysis of paraffin-embedded Mouse retina tissue labelling CPLX3 with ab308463 at 1/5000 (0.104 ug/ml) followed by a ready to use LeicaDS9800 (Bond™ Polymer Refine Detection). Positive staining on mouse retina (PMID : 22694764).The section was incubated with ab308463 for 30 mins at room temperature. The immunostaining was performed on a Leica Biosystems BOND® RX instrumentIncubate slides with 3% Hydrogen Peroxide for 10 mins at room temperature after secondary antibody incubation to reduce the background. Counterstained with Hematoxylin. Secondary antibody only control : Secondary antibody is a ready to use LeicaDS9800 (Bond™ Polymer Refine Detection). Heat mediated antigen retrieval was performed with Tris-EDTA buffer (pH 9.0, Epitope Retrieval Solution2) for 20 mins

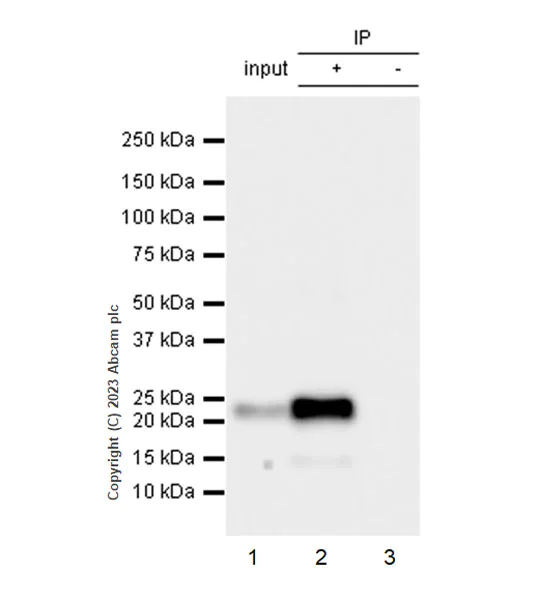
Immunoprecipitation - Anti-CPLX3 antibody [EPR28433-43] - BSA and Azide free (AB308464)
  • IP

Supplier Data

Immunoprecipitation - Anti-CPLX3 antibody [EPR28433-43] - BSA and Azide free (AB308464)

This data was developed using ab308463, the same antibody clone in a different buffer formulation.

CPLX3 was immunoprecipitated from 0.35 mg Mouse retina tissue lysate with ab308463 at 1/30 dilution (2ug in 0.35mg lysates). Western blot was performed on the immunoprecipitate using ab308463 at 1/1000 dilution. VeriBlot for IP secondary antibody (HRP) (ab131366) was used at 1/5000 dilution.

Lane 1 : Mouse retina tissue lysate
Lane 2 : ab308463 IP in Mouse retina tissue lysate
Lane 3 : Rabbit monoclonal IgG (ab172730) instead of ab308463 in mouse retina tissue lysate

Blocking and dilution buffer and concentration : 5% NFDM/TBST.

Exposure time : 15 seconds

All lanes:

Immunoprecipitation - Anti-CPLX3 antibody [EPR28433-43] (<a href='/en-us/products/primary-antibodies/cplx3-antibody-epr28433-43-ab308463'>ab308463</a>) at 1/1000 dilution

All lanes:

Mouse retina tissue lysate at 10 µg

Secondary

All lanes:

Immunoprecipitation - VeriBlot for IP Detection Reagent (HRP) (<a href='/en-us/products/reagents/veriblot-for-ip-detection-reagent-hrp-ab131366'>ab131366</a>) at 1/5000 dilution

Observed band size: 20 kDa

false

Exposure time: 15s

Western blot - Anti-CPLX3 antibody [EPR28433-43] - BSA and Azide free (AB308464)
  • WB

Supplier Data

Western blot - Anti-CPLX3 antibody [EPR28433-43] - BSA and Azide free (AB308464)

This data was produced using ab308463, the same antibody clone but in a different formulation. Blocking and diluting buffer and concentration : 5% NFDM/TBST. In Western blot, anti-His antibody (ab213204) staining at 1/5000 dilution. In Western blot, anti-GAPDH antibody (ab181602) loading control staining at 1/200, 000 dilution. Exposure time : 3 seconds.

All lanes:

Western blot - Anti-CPLX3 antibody [EPR28433-43] (<a href='/en-us/products/primary-antibodies/cplx3-antibody-epr28433-43-ab308463'>ab308463</a>) at 1/1000 dilution

Lane 1:

HEK-293 (human embryonic kidney) transfected with an empty vector (vector control), containing a myc-His-tag®, whole cell lysate at 20 µg

Lane 2:

HEK-293 transfected with mouse CPLX3 (WT) expression vector containing a myc-His-tag®, whole cell lysate at 20 µg

Secondary

All lanes:

Western blot - Goat Anti-Rabbit IgG H&L (HRP) (<a href='/en-us/products/secondary-antibodies/goat-rabbit-igg-h-l-hrp-ab97051'>ab97051</a>) at 1/100000 dilution

Predicted band size: 17 kDa

Observed band size: 20 kDa

false

Exposure time: 3s

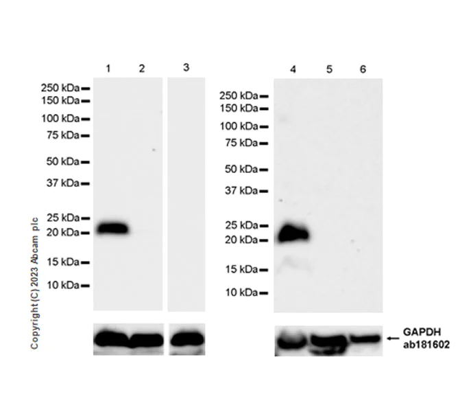
Western blot - Anti-CPLX3 antibody [EPR28433-43] - BSA and Azide free (AB308464)
  • WB

Supplier Data

Western blot - Anti-CPLX3 antibody [EPR28433-43] - BSA and Azide free (AB308464)

This data was produced using ab308463, the same antibody clone but in a different formulation. Blocking and diluting buffer and concentration : 5% NFDM/TBST. Negative control : skeletal muscle (PMID : 15911881). Low expression : brain (PMID : 34193558). In Western blot, anti-GAPDH antibody (ab181602) loading control staining at 1/200, 000 dilution. Exposure times : Lanes 1-3 : 15 seconds; Lanes 4-6 : 70 seconds.

All lanes:

Western blot - Anti-CPLX3 antibody [EPR28433-43] (<a href='/en-us/products/primary-antibodies/cplx3-antibody-epr28433-43-ab308463'>ab308463</a>) at 1/1000 dilution

Lane 1:

Mouse retina tissue lysate at 20 µg

Lane 2:

Mouse skeletal muscle tissue lysate at 20 µg

Lane 3:

Mouse brain tissue lysate at 20 µg

Lane 4:

Rat retina tissue lysate at 20 µg

Lane 5:

Rat skeletal muscle tissue lysate at 20 µg

Lane 6:

Rat brain tissue lysate at 20 µg

Secondary

All lanes:

Western blot - Goat Anti-Rabbit IgG H&L (HRP) (<a href='/en-us/products/secondary-antibodies/goat-rabbit-igg-h-l-hrp-ab97051'>ab97051</a>) at 1/20000 dilution

Predicted band size: 17 kDa

Observed band size: 20 kDa

false

Western blot - Anti-CPLX3 antibody [EPR28433-43] - BSA and Azide free (AB308464)
  • WB

Supplier Data

Western blot - Anti-CPLX3 antibody [EPR28433-43] - BSA and Azide free (AB308464)

This data was developed using ab308463, the same antibody clone in a different buffer formulation.

Blocking and diluting buffer concentration : 5% NFDM/TBST.

ab213204 was used as a loading control at 1/5000 dilution.

ab308463 shows weak cross reactivity with Complexin-4.

All lanes:

Western blot - Anti-CPLX3 antibody [EPR28433-43] (<a href='/en-us/products/primary-antibodies/cplx3-antibody-epr28433-43-ab308463'>ab308463</a>) at 1/1000 dilution

Lane 1:

His-tagged mouse Complexin-3 recombinant protein (aa2-155) at 0.01 µg

Lane 2:

His-tagged mouse Complexin-4 recombinant protein (aa1-160) at 0.01 µg

Secondary

All lanes:

Western blot - Goat Anti-Rabbit IgG H&L (HRP) (<a href='/en-us/products/secondary-antibodies/goat-rabbit-igg-h-l-hrp-ab97051'>ab97051</a>) at 1/20000 dilution

Predicted band size: 17 kDa

Observed band size: 20 kDa,22 kDa

false

Exposure time: 20s

Key facts

Host species

Rabbit

Clonality

Monoclonal

Clone number

EPR28433-43

Isotype

IgG

Carrier free

Yes

Reacts with

Human, Mouse, Rat

Applications

IP, WB, mIHC, IHC-P, IHC-Fr

applications

Immunogen

The exact immunogen used to generate this antibody is proprietary information.

Specificity

Unsuitable for rat IHC-Fr.

ab308463 shows weak cross reactivity with  Complexin-4.

Reactivity data

{ "title": "Reactivity Data", "filters": { "stats": ["", "Species", "Dilution Info", "Notes"], "tabs": { "all-applications": {"fullname" : "All Applications", "shortname": "All Applications"}, "WB" : {"fullname" : "Western blot", "shortname":"WB"}, "IHCP" : {"fullname" : "Immunohistochemistry (Formalin/PFA-fixed paraffin-embedded sections)", "shortname":"IHC-P"}, "IHCFr" : {"fullname" : "Immunohistochemistry (Frozen sections)", "shortname":"IHC-Fr"}, "IP" : {"fullname" : "Immunoprecipitation", "shortname":"IP"}, "mIHC" : {"fullname" : "Multiplex immunohistochemistry", "shortname":"mIHC"} }, "product-promise": { "all": "all", "testedAndGuaranteed": "tested", "guaranteed": "expected", "predicted": "predicted", "notRecommended": "not-recommended" } }, "values": { "Human": { "WB-species-checked": "guaranteed", "WB-species-dilution-info": "", "WB-species-notes": "", "IHCP-species-checked": "testedAndGuaranteed", "IHCP-species-dilution-info": "", "IHCP-species-notes": "<p></p>", "IHCFr-species-checked": "guaranteed", "IHCFr-species-dilution-info": "", "IHCFr-species-notes": "", "IP-species-checked": "guaranteed", "IP-species-dilution-info": "", "IP-species-notes": "", "mIHC-species-checked": "guaranteed", "mIHC-species-dilution-info": "", "mIHC-species-notes": "" }, "Mouse": { "WB-species-checked": "testedAndGuaranteed", "WB-species-dilution-info": "", "WB-species-notes": "<p></p>", "IHCP-species-checked": "testedAndGuaranteed", "IHCP-species-dilution-info": "", "IHCP-species-notes": "<p></p>", "IHCFr-species-checked": "testedAndGuaranteed", "IHCFr-species-dilution-info": "", "IHCFr-species-notes": "<p></p>", "IP-species-checked": "testedAndGuaranteed", "IP-species-dilution-info": "", "IP-species-notes": "<p></p>", "mIHC-species-checked": "testedAndGuaranteed", "mIHC-species-dilution-info": "", "mIHC-species-notes": "<p></p>" }, "Rat": { "WB-species-checked": "testedAndGuaranteed", "WB-species-dilution-info": "", "WB-species-notes": "<p></p>", "IHCP-species-checked": "testedAndGuaranteed", "IHCP-species-dilution-info": "", "IHCP-species-notes": "<p></p>", "IHCFr-species-checked": "notRecommended", "IHCFr-species-dilution-info": "", "IHCFr-species-notes": "<p></p>", "IP-species-checked": "guaranteed", "IP-species-dilution-info": "", "IP-species-notes": "", "mIHC-species-checked": "guaranteed", "mIHC-species-dilution-info": "", "mIHC-species-notes": "" }, "Transfected cell lysate - Mouse": { "WB-species-checked": "testedAndGuaranteed", "WB-species-dilution-info": "", "WB-species-notes": "<p></p>", "IHCP-species-checked": "notRecommended", "IHCP-species-dilution-info": "", "IHCP-species-notes": "", "IHCFr-species-checked": "notRecommended", "IHCFr-species-dilution-info": "", "IHCFr-species-notes": "", "IP-species-checked": "notRecommended", "IP-species-dilution-info": "", "IP-species-notes": "", "mIHC-species-checked": "notRecommended", "mIHC-species-dilution-info": "", "mIHC-species-notes": "" } } }

Product details

Patented technology
Our RabMAb® technology is a patented hybridoma-based technology for making rabbit monoclonal antibodies. For details on our patents, please refer to RabMAb® patents.

What are the advantages of a recombinant monoclonal antibody?
This product is a recombinant monoclonal antibody, which offers several advantages including:

  • - High batch-to-batch consistency and reproducibility
  • - Improved sensitivity and specificity
  • - Long-term security of supply
  • - Animal-free batch production

For more information, read more on recombinant antibodies.

Conjugation ready
Our carrier-free antibodies are typically supplied in a PBS-only formulation, purified and free of BSA, sodium azide and glycerol. This conjugation-ready format is designed for use with fluorochromes, metal isotopes, oligonucleotides, and enzymes, which makes them ideal for antibody labelling, functional and cell-based assays, flow-based assays (e.g. mass cytometry) and Multiplex Imaging applications.

Use our conjugation kits for antibody conjugates that are ready-to-use in as little as 20 minutes with 1 minute hands-on-time and 100% antibody recovery: available for fluorescent dyes, HRP, biotin and gold.

Compatibility
This product is compatible with the Maxpar® Antibody Labeling Kit from Fluidigm, without the need for antibody preparation. Maxpar® is a trademark of Fluidigm Canada Inc.

Properties and storage information

Form
Liquid
Purification technique
Affinity purification Protein A
Storage buffer
pH: 7.2 - 7.4 Constituents: PBS
Shipped at conditions
Blue Ice
Appropriate short-term storage conditions
+4°C
Appropriate long-term storage conditions
+4°C

Supplementary information

This supplementary information is collated from multiple sources and compiled automatically.

CPLX3 also known as Complexin-3 is a small synaptic protein with a molecular weight of approximately 18 kDa. It is expressed abundantly in the brain specifically in sensory-related areas where it acts at the presynaptic terminal. CPLX3 belongs to the complexin family which includes Complexin-1 Complexin-2 and Complexin-4. Its expression patterns suggest a role in the central nervous system (CNS) in neurons associated with sensory processing.
Biological function summary

Complexin-3 participates in synaptic vesicle exocytosis by binding to the SNARE complex. This interaction helps regulate the release of neurotransmitters which is essential for proper synaptic function. CPLX3 plays a part in the synaptic vesicle cycle and ensures the precise timing of neurotransmitter release. It may also modulate synaptic plasticity which influences learning and memory processes in the CNS.

Pathways

Complexin-3 operates within the synaptic vesicle cycle and neurotransmitter release pathways. It collaborates closely with SNARE proteins like Syntaxin and Synaptobrevin both key for membrane fusion and neurotransmitter release. CPLX3 fine-tunes these processes impacting the efficiency and dynamics of synaptic transmission. Its function in these pathways highlights its relevance in regulating synaptic communication and plasticity.

Complexin-3 has been implicated in neurological conditions such as schizophrenia and autism spectrum disorders. Altered expression levels of CPLX3 may disrupt synaptic signaling contributing to the pathophysiology of these conditions. Its interaction with SNARE proteins underlies its potential involvement in these disorders. Understanding CPLX3's role in these diseases can inform therapeutic strategies for managing synaptic dysfunctions associated with neurological conditions.

Product protocols

For this product, it's our understanding that no specific protocols are required. You can visit:

Target data

Complexin that regulates SNARE protein complex-mediated synaptic vesicle fusion (PubMed : 19386896). Required for the maintenance of synaptic ultrastructure in the adult retina (PubMed : 19386896). Positively regulates synaptic transmission through synaptic vesicle availability and exocytosis of neurotransmitters at photoreceptor ribbon synapses in the retina (PubMed : 15911881, PubMed : 19386896, PubMed : 27335398). Suppresses tonic photoreceptor activity and baseline 'noise' by suppression of Ca(2+) vesicle tonic release and the facilitation of evoked synchronous and asynchronous Ca(2+) vesicle release (PubMed : 22694764, PubMed : 27335398).
See full target information Cplx3

Product promise

We are committed to supporting your work with high-quality reagents, and we're here for you every step of the way. In the unlikely event that one of our products does not perform as expected, you're protected by our Product Promise.
For full details, please see our Terms & Conditions

Please note: All products are 'FOR RESEARCH USE ONLY. NOT FOR USE IN DIAGNOSTIC OR THERAPEUTIC PROCEDURES'.

For licensing inquiries, please contact partnerships@abcam.com