JavaScript is disabled in your browser. Please enable JavaScript to view this website.
AB248972

Anti-CPM antibody [EPR8052] - BSA and Azide free

Be the first to review this product! Submit a review

|

(0 Publication)

Rabbit Recombinant Monoclonal CPM antibody. Carrier free. Suitable for IHC-P, WB and reacts with Human samples.

View Alternative Names

Carboxypeptidase M, CPM

6 Images
Immunohistochemistry (Formalin/PFA-fixed paraffin-embedded sections) - Anti-CPM antibody [EPR8052] - BSA and Azide free (AB248972)
  • IHC-P

Lab

Immunohistochemistry (Formalin/PFA-fixed paraffin-embedded sections) - Anti-CPM antibody [EPR8052] - BSA and Azide free (AB248972)

This data was developed using ab150405, the same antibody clone in a different buffer formulation.

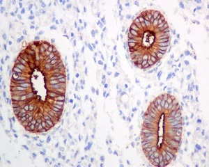
Immunohistochemistry (Formalin/PFA-fixed paraffin-embedded sections) analysis of human endometrium tissue labelling CPM with purified ab150405 at 1/500. Heat mediated antigen retrieval was performed using Tris/EDTA buffer pH 9. ab97051, a HRP-conjugated goat anti-rabbit IgG (H+L) was used as the secondary antibody (1/500). Negative control using PBS instead of primary antibody. Counterstained with hematoxylin.

Western blot - Anti-CPM antibody [EPR8052] - BSA and Azide free (AB248972)
  • WB

Lab

Western blot - Anti-CPM antibody [EPR8052] - BSA and Azide free (AB248972)

This data was developed using ab150405, the same antibody clone in a different buffer formulation.

Blocking and dilution buffer : 5% NFDM/TBST.

All lanes:

Western blot - Anti-CPM antibody [EPR8052] (<a href='/en-us/products/primary-antibodies/cpm-antibody-epr8052-ab150405'>ab150405</a>) at 1/2500 dilution

All lanes:

Human placenta tissue lysate at 10 µg

Secondary

All lanes:

HRP-conjugated goat anti-rabbit IgG, specific to the non-reduced form of IgG at 1/1000 dilution

Predicted band size: 51 kDa

Observed band size: 62 kDa

false

Immunohistochemistry (Formalin/PFA-fixed paraffin-embedded sections) - Anti-CPM antibody [EPR8052] - BSA and Azide free (AB248972)
  • IHC-P

Unknown

Immunohistochemistry (Formalin/PFA-fixed paraffin-embedded sections) - Anti-CPM antibody [EPR8052] - BSA and Azide free (AB248972)

This data was developed using ab150405, the same antibody clone in a different buffer formulation.

Immunohistochemistry (Formalin/PFA-fixed paraffin-embedded sections) analysis of human uterus tissue labelling CPM with unpurified ab150405 at a dilution of 1/50.

Perform heat mediated antigen retrieval before commencing with IHC staining protocol.

Western blot - Anti-CPM antibody [EPR8052] - BSA and Azide free (AB248972)
  • WB

Unknown

Western blot - Anti-CPM antibody [EPR8052] - BSA and Azide free (AB248972)

This data was developed using ab150405, the same antibody clone in a different buffer formulation.

All lanes:

Western blot - Anti-CPM antibody [EPR8052] (<a href='/en-us/products/primary-antibodies/cpm-antibody-epr8052-ab150405'>ab150405</a>) at 1/1000 dilution

Lane 1:

293T (Human embryonic kidney epithelial cell) cell lysate at 10 µg

Lane 2:

Human fetal kidney tissue lysate at 10 µg

Lane 3:

Human fetal liver tissue lysate at 10 µg

Lane 4:

Human placenta lysate at 10 µg

Secondary

All lanes:

HRP-conjugated goat anti-rabbit IgG at 1/2000 dilution

Predicted band size: 51 kDa

Observed band size: 62 kDa

false

Western blot - Anti-CPM antibody [EPR8052] - BSA and Azide free (AB248972)
  • WB

Lab

Western blot - Anti-CPM antibody [EPR8052] - BSA and Azide free (AB248972)

This data was developed using ab150405, the same antibody clone in a different buffer formulation.

Blocking and dilution buffer : 5% NFDM/TBST.

All lanes:

Western blot - Anti-CPM antibody [EPR8052] (<a href='/en-us/products/primary-antibodies/cpm-antibody-epr8052-ab150405'>ab150405</a>) at 1/5000 dilution

Lane 1:

Human fetal liver tissue lysate at 10 µg

Lane 2:

Human fetal kidney tissue lysate at 10 µg

Secondary

All lanes:

HRP-conjugated goat anti-rabbit IgG, specific to the non-reduced form of IgG at 1/1000 dilution

Predicted band size: 51 kDa

Observed band size: 62 kDa

false

Immunohistochemistry (Formalin/PFA-fixed paraffin-embedded sections) - Anti-CPM antibody [EPR8052] - BSA and Azide free (AB248972)
  • IHC-P

Unknown

Immunohistochemistry (Formalin/PFA-fixed paraffin-embedded sections) - Anti-CPM antibody [EPR8052] - BSA and Azide free (AB248972)

This data was developed using ab150405, the same antibody clone in a different buffer formulation.

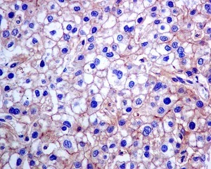
Immunohistochemistry (Formalin/PFA-fixed paraffin-embedded sections) analysis of human hepatocellular carcinoma tissue labelling CPM with unpurified ab150405 at a dilution of 1/50.

Perform heat mediated antigen retrieval before commencing with IHC staining protocol.

Key facts

Host species

Rabbit

Clonality

Monoclonal

Clone number

EPR8052

Isotype

IgG

Carrier free

Yes

Reacts with

Human

Applications

IHC-P, WB

applications

Immunogen

The exact immunogen used to generate this antibody is proprietary information.

Reactivity data

{ "title": "Reactivity Data", "filters": { "stats": ["", "Species", "Dilution Info", "Notes"], "tabs": { "all-applications": {"fullname" : "All Applications", "shortname": "All Applications"}, "IHCP" : {"fullname" : "Immunohistochemistry (Formalin/PFA-fixed paraffin-embedded sections)", "shortname":"IHC-P"}, "FlowCyt" : {"fullname" : "Flow Cytometry", "shortname":"Flow Cyt"}, "WB" : {"fullname" : "Western blot", "shortname":"WB"}, "ICCIF" : {"fullname" : "Immunocytochemistry/ Immunofluorescence", "shortname":"ICC/IF"} }, "product-promise": { "all": "all", "testedAndGuaranteed": "tested", "guaranteed": "expected", "predicted": "predicted", "notRecommended": "not-recommended" } }, "values": { "Human": { "IHCP-species-checked": "testedAndGuaranteed", "IHCP-species-dilution-info": "", "IHCP-species-notes": "<p></p> Perform heat-mediated antigen retrieval before commencing with IHC staining protocol.", "FlowCyt-species-checked": "notRecommended", "FlowCyt-species-dilution-info": "", "FlowCyt-species-notes": "<p></p>", "WB-species-checked": "testedAndGuaranteed", "WB-species-dilution-info": "", "WB-species-notes": "<p></p>", "ICCIF-species-checked": "notRecommended", "ICCIF-species-dilution-info": "", "ICCIF-species-notes": "<p></p>" } } }

Product details

ab248972 is the carrier-free version of ab150405.

Patented technology
Our RabMAb® technology is a patented hybridoma-based technology for making rabbit monoclonal antibodies. For details on our patents, please refer to RabMAb® patents.

What are the advantages of a recombinant monoclonal antibody?
This product is a recombinant monoclonal antibody, which offers several advantages including:

  • - High batch-to-batch consistency and reproducibility
  • - Improved sensitivity and specificity
  • - Long-term security of supply
  • - Animal-free batch production

For more information, read more on recombinant antibodies.

Conjugation ready
Our carrier-free antibodies are typically supplied in a PBS-only formulation, purified and free of BSA, sodium azide and glycerol. This conjugation-ready format is designed for use with fluorochromes, metal isotopes, oligonucleotides, and enzymes, which makes them ideal for antibody labelling, functional and cell-based assays, flow-based assays (e.g. mass cytometry) and Multiplex Imaging applications.

Use our conjugation kits for antibody conjugates that are ready-to-use in as little as 20 minutes with 1 minute hands-on-time and 100% antibody recovery: available for fluorescent dyes, HRP, biotin and gold.

Compatibility
This product is compatible with the Maxpar® Antibody Labeling Kit from Fluidigm, without the need for antibody preparation. Maxpar® is a trademark of Fluidigm Canada Inc.

Properties and storage information

Form
Liquid
Purification technique
Affinity purification Protein A
Storage buffer
pH: 7.2 - 7.4 Constituents: PBS
Shipped at conditions
Blue Ice
Appropriate short-term storage conditions
+4°C
Appropriate long-term storage conditions
+4°C
Storage information
Do Not Freeze

Supplementary information

This supplementary information is collated from multiple sources and compiled automatically.

Carboxypeptidase M (CPM) is an enzyme that cleaves C-terminal basic residues from peptides and proteins. Also known as carboxypeptidase M1 CPM has a molecular weight of approximately 50 kDa. It is expressed on the surface of various cell types such as macrophages epithelial cells and specific tumor cells. CPM functions optimally at physiological pH and high levels of expression are seen in the lung placenta and kidney tissues. This broad expression pattern suggests that CPM plays significant roles in diverse physiological contexts.
Biological function summary

CPM is involved in peptide processing and degradation contributing to the regulation of hormonal and neurotransmitter peptides. As part of a larger proteolytic system CPM modifies the activity and half-life of bioactive peptides by removing terminal residues. Its activity influences the regulation of peptide signaling pathways. In such roles it resounds in processes like local inflammatory response and modulation of cell surface receptors. CPM’s enzymatic activity ensures the proper function of the physiological regulatory mechanisms where peptidase activity is required.

Pathways

CPM is instrumental in the kallikrein-kinin and complement pathways. In the kallikrein-kinin system CPM regulates kinin levels influencing blood pressure and inflammation. It also relates to the complement system interacting with components that participate in immune responses. CPM’s function closely links to other carboxypeptidases in these pathways enhancing its role in regulating peptide effects or degradation. Its enzymatic interactions can influence the outcomes of these pathways ensuring an adequate biological response.

CPM has associations with conditions like hypertension and chronic inflammation. Its influence on the kallikrein-kinin system corresponds to implications for blood pressure regulation connecting CPM to pathways affecting hypertension. In chronic inflammatory conditions CPM affects the local inflammatory response by modulating active peptide levels. Related proteins like carboxypeptidase N and other members of the metallocarboxypeptidase family augment this functional network highlighting CPM’s relevance in managing peptide-mediated pathological processes.

Product protocols

For this product, it's our understanding that no specific protocols are required. You can visit:

Target data

Specifically removes C-terminal basic residues (Arg or Lys) from peptides and proteins. It is believed to play important roles in the control of peptide hormone and growth factor activity at the cell surface, and in the membrane-localized degradation of extracellular proteins.
See full target information Carboxypeptidase M

Product promise

We are committed to supporting your work with high-quality reagents, and we're here for you every step of the way. In the unlikely event that one of our products does not perform as expected, you're protected by our Product Promise.
For full details, please see our Terms & Conditions

Please note: All products are 'FOR RESEARCH USE ONLY. NOT FOR USE IN DIAGNOSTIC OR THERAPEUTIC PROCEDURES'.

For licensing inquiries, please contact partnerships@abcam.com