JavaScript is disabled in your browser. Please enable JavaScript to view this website.
AB232802

Anti-CPN1 antibody

Be the first to review this product! Submit a review

|

(2 Publications)

Rabbit Polyclonal CPN1 antibody. Suitable for WB, IHC-P and reacts with Human samples. Cited in 2 publications. Immunogen corresponding to Recombinant Fragment Protein within Human CPN1 aa 150-350.

View Alternative Names

ACBP, CPN1, Carboxypeptidase N catalytic chain, CPN, Anaphylatoxin inactivator, Arginine carboxypeptidase, Carboxypeptidase N polypeptide 1, Carboxypeptidase N small subunit, Kininase-1, Lysine carboxypeptidase, Plasma carboxypeptidase B, Serum carboxypeptidase N, SCPN

3 Images
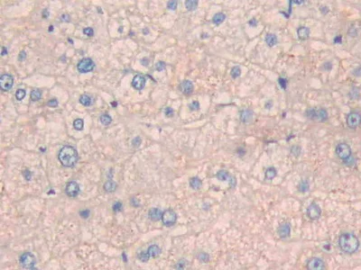
Immunohistochemistry (Formalin/PFA-fixed paraffin-embedded sections) - Anti-CPN1 antibody (AB232802)
  • IHC-P

Supplier Data

Immunohistochemistry (Formalin/PFA-fixed paraffin-embedded sections) - Anti-CPN1 antibody (AB232802)

Formalin-fixed, paraffin-embedded human liver tissue stained for CPN1 using ab232802 at 20 μg/ml in immunohistochemical analysis. DAB staining.

Western blot - Anti-CPN1 antibody (AB232802)
  • WB

Supplier Data

Western blot - Anti-CPN1 antibody (AB232802)

All lanes:

Western blot - Anti-CPN1 antibody (ab232802) at 2 µg/mL

All lanes:

Recombinant human CPN1 protein

Predicted band size: 52 kDa

false

Western blot - Anti-CPN1 antibody (AB232802)
  • WB

Supplier Data

Western blot - Anti-CPN1 antibody (AB232802)

All lanes:

Western blot - Anti-CPN1 antibody (ab232802) at 2 µg/mL

All lanes:

A549 (human lung carcinoma cell line) cell lysate

Predicted band size: 52 kDa

false

Key facts

Host species

Rabbit

Clonality

Polyclonal

Isotype

IgG

Carrier free

No

Reacts with

Human

Applications

IHC-P, WB

applications

Immunogen

Recombinant Fragment Protein within Human CPN1 aa 150-350. The exact immunogen used to generate this antibody is proprietary information.

P15169

Reactivity data

{ "title": "Reactivity Data", "filters": { "stats": ["", "Species", "Dilution Info", "Notes"], "tabs": { "all-applications": {"fullname" : "All Applications", "shortname": "All Applications"}, "WB" : {"fullname" : "Western blot", "shortname":"WB"}, "IHCP" : {"fullname" : "Immunohistochemistry (Formalin/PFA-fixed paraffin-embedded sections)", "shortname":"IHC-P"} }, "product-promise": { "all": "all", "testedAndGuaranteed": "tested", "guaranteed": "expected", "predicted": "predicted", "notRecommended": "not-recommended" } }, "values": { "Human": { "WB-species-checked": "testedAndGuaranteed", "WB-species-dilution-info": "0.2-2 µg/mL", "WB-species-notes": "<p></p>", "IHCP-species-checked": "testedAndGuaranteed", "IHCP-species-dilution-info": "5-20 µg/mL", "IHCP-species-notes": "<p></p>" }, "Cow": { "WB-species-checked": "predicted", "WB-species-dilution-info": "", "WB-species-notes": "", "IHCP-species-checked": "predicted", "IHCP-species-dilution-info": "", "IHCP-species-notes": "" } } }

Properties and storage information

Form
Liquid
Purification technique
Affinity purification Immunogen
Purification notes
ab232802 was purified by antigen-specific affinity chromatography followed by Protein A affinity chromatography.
Storage buffer
pH: 7.4 Preservative: 0.011% Proclin 300 Constituents: PBS, 55.77% Glycerol (glycerin, glycerine)
Shipped at conditions
Blue Ice
Appropriate short-term storage duration
1-2 weeks
Appropriate short-term storage conditions
+4°C
Appropriate long-term storage conditions
-20°C
Aliquoting information
Upon delivery aliquot
Storage information
Avoid freeze / thaw cycle

Supplementary information

This supplementary information is collated from multiple sources and compiled automatically.

Carboxypeptidase N also known as CPN or arginine carboxypeptidase is a metallo-protease enzyme with a mass of approximately 280 kDa. It exists as a tetrameric complex composed of two heavy and two light subunits. CPN1 shows expression in plasma and certain tissues like the liver influencing its functional enzyme activity. CPN1 cleaves basic amino acids like lysine and arginine from the C-terminal of peptides impacting several protein activation and inactivation processes.
Biological function summary

Carboxypeptidase N influences various physiological and pathological processes. It functions as part of a plasma-associated complex modulating peptides and proteins post-translationally. CPN1 activity regulates wound healing peptide hormone regulation and modulation of inflammatory response. The enzyme's activity influences the balance of active peptides thereby impacting downstream signaling and cellular responses.

Pathways

Carboxypeptidase N plays significant roles in the complement and kinin-kallikrein systems. In the complement system it deactivates anaphylatoxins like C3a and C5a modulating immune responses. Its ability to cleave kinins highlights its participation in the kallikrein-kinin pathway where it interacts with proteins like bradykinin influencing processes like blood pressure regulation and pain sensation.

Mutations or dysregulation of carboxypeptidase N have links with hereditary angioedema and neuropathological disorders. Hereditary angioedema stems from CPN1's role in metabolizing bradykinin which if not regulated leads to excessive edema. Connections between CPN1 and disorders like schistosomiasis exist involving its interaction with complement proteins C3a and C5a implicating this enzyme in immune response misregulation.

Product protocols

For this product, it's our understanding that no specific protocols are required. You can visit:

Target data

Protects the body from potent vasoactive and inflammatory peptides containing C-terminal Arg or Lys (such as kinins or anaphylatoxins) which are released into the circulation.
See full target information CPN1

Publications (2)

Recent publications for all applications. Explore the full list and refine your search

Investigative ophthalmology & visual science 64:15 PubMed38095908

2023

JAM-C Is Important for Lens Epithelial Cell Proliferation and Lens Fiber Maturation in Murine Lens Development.

Applications

Unspecified application

Species

Unspecified reactive species

Qihang Sun,Jiani Li,Jingyu Ma,Yuxing Zheng,Rong Ju,Xuri Li,Xiangrong Ren,Lijuan Huang,Rongyuan Chen,Xuhua Tan,Lixia Luo

Frontiers in pharmacology 13:809454 PubMed35431930

2022

High Expression of RAI14 in Triple-Negative Breast Cancer Participates in Immune Recruitment and Implies Poor Prognosis Through Bioinformatics Analyses.

Applications

Unspecified application

Species

Unspecified reactive species

Ranliang Cui,Ting Zhao,Changsen Bai,Ning Ji,Jialei Hua,Li Ren,Yueguo Li
View all publications

Product promise

We are committed to supporting your work with high-quality reagents, and we're here for you every step of the way. In the unlikely event that one of our products does not perform as expected, you're protected by our Product Promise.
For full details, please see our Terms & Conditions

Please note: All products are 'FOR RESEARCH USE ONLY. NOT FOR USE IN DIAGNOSTIC OR THERAPEUTIC PROCEDURES'.

For licensing inquiries, please contact partnerships@abcam.com