JavaScript is disabled in your browser. Please enable JavaScript to view this website.
AB124874

Anti-CPN1 antibody [EPR6229]

Be the first to review this product! Submit a review

|

(1 Publication)

Rabbit Recombinant Monoclonal CPN1 antibody. Suitable for WB and reacts with Human samples. Cited in 1 publication.

View Alternative Names

ACBP, CPN1, Carboxypeptidase N catalytic chain, CPN, Anaphylatoxin inactivator, Arginine carboxypeptidase, Carboxypeptidase N polypeptide 1, Carboxypeptidase N small subunit, Kininase-1, Lysine carboxypeptidase, Plasma carboxypeptidase B, Serum carboxypeptidase N, SCPN

1 Images
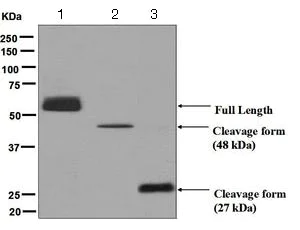
Western blot - Anti-CPN1 antibody [EPR6229] (AB124874)
  • WB

Unknown

Western blot - Anti-CPN1 antibody [EPR6229] (AB124874)

All lanes:

Western blot - Anti-CPN1 antibody [EPR6229] (ab124874) at 1/1000 dilution

Lane 1:

Human plasma lysate at 10 µg

Lane 2:

HepG2 lysate at 10 µg

Lane 3:

Human fetal liver lysate at 10 µg

Secondary

All lanes:

HRP labelled goat anti-rabbit at 1/2000 dilution

Predicted band size: 52 kDa

Observed band size: 27 kDa,48 kDa

false

  • Carrier free

    Anti-CPN1 antibody [EPR6229] - BSA and Azide free

Key facts

Host species

Rabbit

Clonality

Monoclonal

Clone number

EPR6229

Isotype

IgG

Carrier free

No

Reacts with

Human

Applications

WB

applications

Immunogen

The exact immunogen used to generate this antibody is proprietary information.

Reactivity data

{ "title": "Reactivity Data", "filters": { "stats": ["", "Species", "Dilution Info", "Notes"], "tabs": { "all-applications": {"fullname" : "All Applications", "shortname": "All Applications"}, "IP" : {"fullname" : "Immunoprecipitation", "shortname":"IP"}, "FlowCyt" : {"fullname" : "Flow Cytometry", "shortname":"Flow Cyt"}, "WB" : {"fullname" : "Western blot", "shortname":"WB"}, "IHCP" : {"fullname" : "Immunohistochemistry (Formalin/PFA-fixed paraffin-embedded sections)", "shortname":"IHC-P"} }, "product-promise": { "all": "all", "testedAndGuaranteed": "tested", "guaranteed": "expected", "predicted": "predicted", "notRecommended": "not-recommended" } }, "values": { "Human": { "IP-species-checked": "notRecommended", "IP-species-dilution-info": "", "IP-species-notes": "<p></p>", "FlowCyt-species-checked": "notRecommended", "FlowCyt-species-dilution-info": "", "FlowCyt-species-notes": "<p></p>", "WB-species-checked": "testedAndGuaranteed", "WB-species-dilution-info": "1/1000 - 1/10000", "WB-species-notes": "<p>Note: The 48-kDa form is generated by proteolytic cleavage at the C-terminus. This subunitis cleaved into a peptide</p>", "IHCP-species-checked": "notRecommended", "IHCP-species-dilution-info": "", "IHCP-species-notes": "<p></p>" } } }

Product details

Species reactivity
Mouse, Rat: We have preliminary internal testing data to indicate this antibody may not react with these species.
Please contact us for more information.

Patented technology
Our RabMAb® technology is a patented hybridoma-based technology for making rabbit monoclonal antibodies. For details on our patents, please refer to RabMAb® patents.

What are the advantages of a recombinant monoclonal antibody?
This product is a recombinant monoclonal antibody, which offers several advantages including:

  • - High batch-to-batch consistency and reproducibility
  • - Improved sensitivity and specificity
  • - Long-term security of supply
  • - Animal-free batch production

For more information, read more on recombinant antibodies.

Properties and storage information

Form
Liquid
Purification technique
Affinity purification Protein A
Storage buffer
pH: 7.2 - 7.4 Preservative: 0.05% Sodium azide Constituents: 50% Tissue culture supernatant, 40% Glycerol (glycerin, glycerine), 9.85% Tris glycine
Shipped at conditions
Blue Ice
Appropriate short-term storage conditions
+4°C
Appropriate long-term storage conditions
-20°C
Storage information
Stable for 12 months at -20°C

Supplementary information

This supplementary information is collated from multiple sources and compiled automatically.

Carboxypeptidase N also known as CPN or arginine carboxypeptidase is a metallo-protease enzyme with a mass of approximately 280 kDa. It exists as a tetrameric complex composed of two heavy and two light subunits. CPN1 shows expression in plasma and certain tissues like the liver influencing its functional enzyme activity. CPN1 cleaves basic amino acids like lysine and arginine from the C-terminal of peptides impacting several protein activation and inactivation processes.
Biological function summary

Carboxypeptidase N influences various physiological and pathological processes. It functions as part of a plasma-associated complex modulating peptides and proteins post-translationally. CPN1 activity regulates wound healing peptide hormone regulation and modulation of inflammatory response. The enzyme's activity influences the balance of active peptides thereby impacting downstream signaling and cellular responses.

Pathways

Carboxypeptidase N plays significant roles in the complement and kinin-kallikrein systems. In the complement system it deactivates anaphylatoxins like C3a and C5a modulating immune responses. Its ability to cleave kinins highlights its participation in the kallikrein-kinin pathway where it interacts with proteins like bradykinin influencing processes like blood pressure regulation and pain sensation.

Mutations or dysregulation of carboxypeptidase N have links with hereditary angioedema and neuropathological disorders. Hereditary angioedema stems from CPN1's role in metabolizing bradykinin which if not regulated leads to excessive edema. Connections between CPN1 and disorders like schistosomiasis exist involving its interaction with complement proteins C3a and C5a implicating this enzyme in immune response misregulation.

Product protocols

For this product, it's our understanding that no specific protocols are required. You can visit:

Target data

Protects the body from potent vasoactive and inflammatory peptides containing C-terminal Arg or Lys (such as kinins or anaphylatoxins) which are released into the circulation.
See full target information CPN1

Publications (1)

Recent publications for all applications. Explore the full list and refine your search

eLife 10: PubMed33973518

2021

Limited inhibition of multiple nodes in a driver network blocks metastasis.

Applications

Unspecified application

Species

Unspecified reactive species

Ali Ekrem Yesilkanal,Dongbo Yang,Andrea Valdespino,Payal Tiwari,Alan U Sabino,Long Chi Nguyen,Jiyoung Lee,Xiao-He Xie,Siqi Sun,Christopher Dann,Lydia Robinson-Mailman,Ethan Steinberg,Timothy Stuhlmiller,Casey Frankenberger,Elizabeth Goldsmith,Gary L Johnson,Alexandre F Ramos,Marsha R Rosner
View all publications

Product promise

We are committed to supporting your work with high-quality reagents, and we're here for you every step of the way. In the unlikely event that one of our products does not perform as expected, you're protected by our Product Promise.
For full details, please see our Terms & Conditions

Please note: All products are 'FOR RESEARCH USE ONLY. NOT FOR USE IN DIAGNOSTIC OR THERAPEUTIC PROCEDURES'.

For licensing inquiries, please contact partnerships@abcam.com