JavaScript is disabled in your browser. Please enable JavaScript to view this website.
AB110303

Anti-CPS1 antibody [2E4AE11]

5

(1 Review)

|

(2 Publications)

Mouse Monoclonal CPS1 antibody. Suitable for IHC-P, ICC, IP, Flow Cyt and reacts with Human samples. Cited in 2 publications.

View Alternative Names

Carbamoyl-phosphate synthetase I, CPSase I, CPS1

4 Images
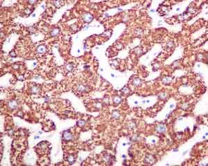
Immunohistochemistry (Formalin/PFA-fixed paraffin-embedded sections) - Anti-CPS1 antibody [2E4AE11] (AB110303)
  • IHC-P

Unknown

Immunohistochemistry (Formalin/PFA-fixed paraffin-embedded sections) - Anti-CPS1 antibody [2E4AE11] (AB110303)

IHC image of ab110303 staining in human duodenum formalin fixed paraffin embedded tissue section, performed on a Leica BondTM system using the standard protocol F. The section was pre-treated using heat mediated antigen retrieval with sodium citrate buffer (pH6, epitope retrieval solution 1) for 20 mins. The section was then incubated with ab110303, 10µg/ml, for 15 mins at room temperature and detected using an HRP conjugated compact polymer system. DAB was used as the chromogen. The section was then counterstained with haematoxylin and mounted with DPX.

For other IHC staining systems (automated and non-automated) customers should optimize variable parameters such as antigen retrieval conditions, primary antibody concentration and antibody incubation times.

Flow Cytometry - Anti-CPS1 antibody [2E4AE11] (AB110303)
  • Flow Cyt

Unknown

Flow Cytometry - Anti-CPS1 antibody [2E4AE11] (AB110303)

Flow cytometric analysis using ab110303 at 1µg/ml staining CPS1 in HeLa cells (blue). Isotype control antibody (red).

Immunocytochemistry - Anti-CPS1 antibody [2E4AE11] (AB110303)
  • ICC

Unknown

Immunocytochemistry - Anti-CPS1 antibody [2E4AE11] (AB110303)

Immunocytochemistry analysis using ab110303 at 10μg/ml staining CPS1 in HDFn cells (paraformaldehyde fixed and Triton X-100 permeabilized). The secondary antibody was (red) Alexa Fluor® 594 goat anti-mouse IgG (H+L) used at a 1/1000 dilution for 1h. 10% Goat serum was used as the blocking agent for all blocking steps. DAPI was used to stain the cell nuclei (blue). Target protein locates mainly in mitochondria.

Immunoprecipitation - Anti-CPS1 antibody [2E4AE11] (AB110303)
  • IP

Unknown

Immunoprecipitation - Anti-CPS1 antibody [2E4AE11] (AB110303)

Detection of ab110303 by immunoprecipitation staining of 164kDa CPS1, a liver mitochondrial marker in human liver mitochondrial lysate.

All lanes:

Immunoprecipitation - Anti-CPS1 antibody [2E4AE11] (ab110303)

Predicted band size: 165 kDa

false

Key facts

Host species

Mouse

Clonality

Monoclonal

Clone number

2E4AE11

Isotype

IgG1

Light chain type

kappa

Carrier free

No

Reacts with

Human

Applications

Flow Cyt, IP, IHC-P, ICC

applications

Reactivity data

{ "title": "Reactivity Data", "filters": { "stats": ["", "Species", "Dilution Info", "Notes"], "tabs": { "all-applications": {"fullname" : "All Applications", "shortname": "All Applications"}, "IHCP" : {"fullname" : "Immunohistochemistry (Formalin/PFA-fixed paraffin-embedded sections)", "shortname":"IHC-P"}, "ICC" : {"fullname" : "Immunocytochemistry", "shortname":"ICC"}, "IP" : {"fullname" : "Immunoprecipitation", "shortname":"IP"}, "FlowCyt" : {"fullname" : "Flow Cytometry", "shortname":"Flow Cyt"} }, "product-promise": { "all": "all", "testedAndGuaranteed": "tested", "guaranteed": "expected", "predicted": "predicted", "notRecommended": "not-recommended" } }, "values": { "Human": { "IHCP-species-checked": "testedAndGuaranteed", "IHCP-species-dilution-info": "10 µg/mL", "IHCP-species-notes": "<p></p> Perform heat-mediated antigen retrieval before commencing with IHC staining protocol.", "ICC-species-checked": "testedAndGuaranteed", "ICC-species-dilution-info": "10 µg/mL", "ICC-species-notes": "<p></p>", "IP-species-checked": "testedAndGuaranteed", "IP-species-dilution-info": "", "IP-species-notes": "<p></p>", "FlowCyt-species-checked": "testedAndGuaranteed", "FlowCyt-species-dilution-info": "1 µg/mL", "FlowCyt-species-notes": "<p><a href='/en-us/products/primary-antibodies/mouse-igg1-kappa-monoclonal-15-6e10a7-isotype-control-ab170190'>ab170190</a> - Mouse monoclonal IgG1, is suitable for use as an isotype control with this antibody.</p>" } } }

Product details

Want a custom formulation?
This antibody clone is manufactured by Abcam. If you require a custom buffer formulation or conjugation for your experiments, please contact orders@abcam.com

Properties and storage information

Form
Liquid
Purification technique
Affinity purification
Purification notes
ab110303 was produced in vitro using hybridomas grown in serum-free medium.Purity: >95% by SDS-PAGE.
Storage buffer
pH: 7.5 Preservative: 0.02% Sodium azide Constituents: HEPES buffered saline
Shipped at conditions
Blue Ice
Appropriate short-term storage conditions
+4°C
Appropriate long-term storage conditions
+4°C
Storage information
Do Not Freeze

Supplementary information

This supplementary information is collated from multiple sources and compiled automatically.

CPS1 also known as carbamoyl-phosphate synthetase 1 is an important mitochondrial enzyme with a mass of around 165 kDa. It acts in the urea cycle by converting ammonia and bicarbonate into carbamoyl phosphate. CPS1 expression occurs in the liver and intestinal enterocytes which situates it in tissues responsible for metabolism and detoxification processes. This enzyme plays a critical role in the removal of excess nitrogen from the body.
Biological function summary

Carbamoyl-phosphate synthetase 1 functions as an initial step enzyme in the urea cycle which is a metabolic pathway for nitrogen disposal. It does not function alone as it forms part of multi-enzyme complexes to enhance efficiency in the cycle. These complexes facilitate the process of converting toxic ammonia into urea which the body can safely excrete. The proper function of CPS1 ensures that ammonia levels remain non-toxic.

Pathways

The urea cycle remains the chief pathway involving CPS1 collaborating with enzymes like ornithine transcarbamylase and argininosuccinate synthetase. This cycle intersects with the mitochondrial respiratory chain showcasing a relationship between CPS1 and cellular energy balance. Besides the urea cycle the enzyme also links to other metabolic functions like gluconeogenesis given its prerequisite for maintaining a stable nitrogen homeostasis.

CPS1 deficiencies can lead to urea cycle disorders like hyperammonemia characterized by elevated ammonia levels in blood. This may result in neurological damage if untreated. Another condition related to CPS-1 is pulmonary arterial hypertension where studies suggest mishandling of ammonia may alter blood pressure regulation. Genetic mutations affecting the CPS1 protein often underlie these conditions highlighting the importance of genetic screening in affected individuals.

Product protocols

For this product, it's our understanding that no specific protocols are required. You can visit:

Target data

Involved in the urea cycle of ureotelic animals where the enzyme plays an important role in removing excess ammonia from the cell.
See full target information CPS1

Publications (2)

Recent publications for all applications. Explore the full list and refine your search

Liver international : official journal of the International Association for the Study of the Liver 42:1658-1673 PubMed35485355

2022

miR-2392 functions as tumour suppressor and inhibits malignant progression of hepatocellular carcinoma via directly targeting JAG2.

Applications

Unspecified application

Species

Unspecified reactive species

Bin Sun,Weidan Ji,Chunying Liu,Xuejing Lin,Lei Chen,Haihua Qian,Changqing Su

PloS one 9:e96185 PubMed24763545

2014

Detection of circulating tumor cells in hepatocellular carcinoma using antibodies against asialoglycoprotein receptor, carbamoyl phosphate synthetase 1 and pan-cytokeratin.

Applications

Flow Cyt

Species

Human

Jun Li,Lei Chen,Xiaofeng Zhang,Yu Zhang,Huiying Liu,Bin Sun,Linlin Zhao,Naijian Ge,Haihua Qian,Yefa Yang,Mengchao Wu,Zhengfeng Yin
View all publications

Product promise

We are committed to supporting your work with high-quality reagents, and we're here for you every step of the way. In the unlikely event that one of our products does not perform as expected, you're protected by our Product Promise.
For full details, please see our Terms & Conditions

Please note: All products are 'FOR RESEARCH USE ONLY. NOT FOR USE IN DIAGNOSTIC OR THERAPEUTIC PROCEDURES'.

For licensing inquiries, please contact partnerships@abcam.com